流行病學
多見於青壯年女性多於男性可有家族史也可發生於肥胖、冠心病、飲食不當和脂代謝異常患者。病因
黃色瘤2.繼發性黃色瘤 本病多繼發於糖尿病甲狀腺功能減退有黏液性水腫患者、動脈粥樣硬化症腎病綜合徵、胰腺炎肝膽疾病及痛風症等慢性代謝性疾病,常有血清膽固醇及三醯甘油和脂蛋白水平升高。少數患者也可因酒精中毒、肥胖雌激素治療或其他網狀內皮系統疾病如組織細胞病X淋巴瘤及白血病等引起因而又稱為症狀性黃色瘤。
3.血脂正常和脂蛋白正常性黃色瘤 如幼年性青年性黃色瘤播散性黃色瘤等血脂正常性黃色瘤。
4.其他 如外傷損害,物理與化學性刺激等對實驗性動物及人類均可誘發黃色瘤黃色瘤多見於肘部及眼部這與其反覆動作刺激局部組織增殖淋巴循環脂蛋白蓄積被組織細胞吞噬有關
發病機制
發病機制尚不完全清楚。黃色瘤中以瞼黃瘤及扁平黃瘤比較常見呈淡黃色柔軟、略高出皮膚表面、與正常皮膚分界清楚、呈小片狀或米粒大小的斑塊瞼黃瘤常常發生上眼瞼與內眥部位,而下瞼較少發生。表皮正常或壓迫性變薄,可見真皮中泡沫細胞或黃瘤細胞浸潤,有Touton多核巨細胞與膽固醇和膽固醇酯沉積早期還可有相關細胞損害,消退期多為成纖維細胞取代。臨床表現
黃色瘤2.瞼黃瘤(lid xanthoma) 最常見青中年女性較多見,經常發生在眼瞼內眥處可單發或多發逐漸發展形成較大範圍的黃色瘤,也可與其他型黃色瘤伴發。
3.結節性黃瘤(tuberous xanthoma) 多發於肘膝關節,皮疹隆起呈圓形,橘黃色結節狀較硬,可單發也可多發大者直徑可達7~8cm,呈巨大結節性黃色瘤,可伴有高脂蛋白血症及冠心病等異常
4.發疹性黃瘤(eruptive xanthoma) 多為針頭大小的皮膚損害小黃瘤呈黃棕色,可迅速成群發生,並有瘙癢皮疹數周后可自行消散多發生於臀部、臂、大腿屈側與股股溝等部位。本型多有高脂血症的高乳糜微粒血症。
5.腱黃瘤(tendon xanthoma) 發生在肌腱上的黃瘤可為丘疹或結節狀,多發於手足背伸肌腱及跟腱部位。血脂可升高也可在正常範圍內。
6.掌黃瘤(palmar xanthoma) 發生在沿掌紋和手指掌面紋理分布的扁平黃色瘤常很微細,呈線狀分布,多有高脂血症
7.播散性黃瘤病(disseminated xanthoma) 比較少見皮損呈多發性小黃丘疹或小黃結節成群分布於頸、腋肘膕窩、腹股溝等部位。
併發症
黃色瘤部分患者還可有黏膜損害,甚至發生尿崩症病程較長且可自行緩解。也可發生血脂升高,伴有冠心病等。診斷
根據其皮膚損害表現特點,如顏色分布,形狀等,比較容易診斷。但應鑑別其臨床類型以及了解其基礎疾病以利治療組織病理檢查及家族史和血脂檢查等可輔助診斷鑑別診斷
一般鑑別診斷為鑑別其原發性繼發性或正常血脂性黃色瘤等。
檢查
瘤細胞2.口服葡萄糖耐量試驗 了解空腹及餐後血糖水平以除外糖尿病及糖耐量減低(餐後高血糖)型血糖異常所引起的高脂血症及高脂蛋白血症。
3.肝功腎功、甲狀腺功能測定 了解白蛋白總蛋白及免疫球蛋白水平等以除外膽汁性肝硬化腎病綜合徵及黏液性水腫等疾病引起的繼發性黃色瘤病。
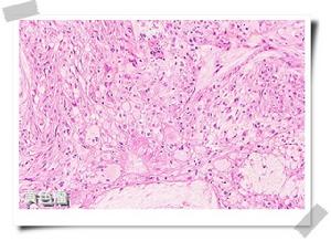
組織病理檢查:各種臨床類型的黃色瘤組織病理表現彼此相似真皮層內含有吞噬脂質的泡沫細胞(即黃色瘤細胞),有時可出現多核巨細胞(Touton細胞)病理早期有炎性細胞晚期有成纖維細胞增生現象。
治療
1.藥物治療 可給予降脂藥物,如考來烯胺(消膽胺)煙酸、非諾貝特、潔脂、洛伐他汀(美降脂)、辛伐他汀(舒降之)紅曲提取物(脂必妥)或藻酸雙脂鈉等,一般採用1或2種即可中藥可採用澤瀉、虎杖首烏、山楂、毛冬青或決明子等。2.局部治療 較小黃色瘤可選用電分解術、電凝術液氮冷凍療法CO2雷射燒灼術40%三氯醋酸腐蝕法等皮損較大者則採用外科手術切除治療
3.原發疾病治療 如同時患有糖尿病腎病綜合徵甲減膽汁性肝硬化胰腺炎、痛風或骨髓瘤等病,必須同時治療。
預後與預防
預後:本病預後良好可以痊癒與好轉但在發病期影響美容部分病人可有心理障礙。如治療不及時或不注意飲食習慣等,本病也可持續多年。
預防:
控制高脂血症進低脂飲食多採用低膽固醇及低飽和脂肪酸飲食治療。

