用藥方式
人的大腦就像一個司令部統戰全身,大腦一旦出事就會影響到由大腦支配的語言神經、運動神經、思維等系統,造成嚴重的後果,如果搶救及時並且在恢復期防治得當,這部分腦梗死患者就不會留有後遺症,重新投入到生活甚至工作當中去,而一旦病情嚴重,並且沒有及時救治更得不到科學持久的後續治療,那么,後遺症甚至會伴隨終身,一旦復發就越來越重威脅生命。臨床資料顯示,腦梗死患者三到十年間是致死率最高的時期,可見腦梗死持續治療的重要性。什麼是腦梗死的持續治療呢?腦梗死的持續治療包括:腦梗死長效藥物的科學服用、腦梗死患者高血壓高血脂等危險因素的控制、生活中清淡飲食調節、針對症狀的功能性康復訓練等等,都需要持續進行,才能夠防止復發進展,逐步改善症狀,日益康復起來。治療多發性腦梗死的有效藥物:多發性腦梗死是指腦內有多個缺血性軟化梗塞灶而言,又稱為多發性腦軟化。除常見的癱瘓、感覺與言語障礙外,還可能出現痴呆。醫生們就將這種痴呆稱為多梗塞性痴呆(即動脈硬化性痴呆)。本病好發於50—60歲的男性,高血壓動脈硬化是主要的病因。本病的病灶越多,痴呆的發生率越高,雙側梗塞較單側容易發生痴呆。所以,應該積極預防腦梗死的復發。西藥治療多發性腦梗死具有起效快,治療針對性強的優點,多用於急性期治療為主要治療,西藥的缺點是作用靶點單一,難以做到部分大複方現代中藥能夠從血液及血管同時作用的目的,而血液及血管同時病變才是多發性腦梗死的根本原因;而且多數西藥副作用及抗藥性明顯,即使多發性腦梗死臨床基礎用藥阿司匹林也會產生47%的用藥抵抗,所以單獨服用西藥並不適宜長期對多發性腦梗死病症的防治。對多發性腦梗死恢復期及後遺症期病人來說,只有通過可靠的中西藥結合治療,利用中西藥各自的治療優勢,才能達到增效減毒,標本兼治,有效改善症狀,縮短病程防止復發的多重治療效果。
西藥
1、拜阿司匹林片(德國拜耳公司生產的阿司匹林腸溶片)可以抑制血小板的聚集,從而起到防止血液凝固,進而預防多發性腦梗死的作用。與活血化瘀、芳香開竅降脂抗凝類中藥結合治療,療效更加顯著。自從上世紀70年代以來,全世界已經有超過30萬人參與的300多個臨床試驗,證實每天100(75-150)毫克阿司匹林可以有效地預防所有的血栓性疾病,包括腦梗死、心肌梗死、心絞痛等發病和死亡危險。比如去年發表的女性健康研究,美國近4萬名女性醫務工作者親自參加試驗,每日口服阿司匹林長達10年,最終結果顯示阿司匹林使首次多發性腦梗死發生率下降24%。因此,阿司匹林是目前多發性腦梗死防治中的最基本用藥之一。用法用量:口服,每晚100毫克。2、複方腦蛋白水解物片能通過血腦屏障,促進腦神經元的蛋白質合成和加強腦神經的呼吸作用,並增強腦組織內葡萄糖氧的利用,提高腦組織對缺氧的耐受性,起到保護腦細胞,促進受損腦組織功能恢復的作用,需要注意的是癲癇患者禁用。用法用量:口服,一次4片,一日3次。
中藥
天欣泰血栓心脈寧片我國唯一二次研發成功的多發性腦梗死治療中藥。隨著中藥現代化產業進程的不斷發展與壯大,現代中藥的療效已經開始與西藥抗衡,而道地選材與現代工藝的完美融合,使現代中藥的安全性相比西藥又更勝一籌。對於需要長期治療的中老年腦梗死患者,從療效好到安全高需要合二為一,既要治療治好腦梗死的病因及其帶來的症狀,又不會引起身體其他部位的不良反應,這就是現代中藥治療的雙贏的結果。現代中藥比西藥更合適長期治療腦梗死,是腦梗死患者在恢復期及後遺症期的主要治療藥物,那么,現代中藥有沒有缺點呢?臨床用藥表明,現代中藥存在藥物成份不穩定,劑量大,劑型不便於吸收的缺點,一種中成藥的幾百種有效成份,不是簡單的一種西藥的一個分子式就能說明問題的。針對現代中藥都存在的問題,我們國家在新世紀初,提出了中藥的二次研發產業計畫,針對療效確切、有發展前景的現代中藥,國家專項撥款進行二次研發,力爭打造我們國家中藥的毫無缺憾的頂級品種。經歷漫長付諸實踐,今天曆時八年,國家專項撥款1200萬進行二次研發的現代中藥已經上市了,事實勝於雄辯,中藥二次研發的路子走對了,二次研發中藥締造了中藥治療慢性病的神話,那就是一個沒有副作用、長效性好、藥物成份跟西藥分子式一樣穩定的、劑量小、劑型合理、沒有用藥依賴及抵抗的頂級中藥,目前我國唯一二次研發成功的腦梗死治療中藥就是天欣泰血栓心脈寧片,與清開靈注射液、天士力的複方丹參滴丸一樣都是我國二次研發成功的經典之作,不同的是,複方丹參滴丸用了四年時間,而天欣泰血栓心脈寧片經歷八年研發,不可辯駁地成為治療腦梗死中藥之冠!多發性腦梗死是血液病變(血脂高、血小板功能異常等)和血管病變(動脈粥樣硬化)共同作用的結果,只有同時從總體病因治療才能達到理想療效。天欣泰血栓心脈寧片組方成份選用動物類、植物類和香類藥共十味名貴藥材,通過川芎嗪、丹參酮、水蛭素、麝香酮、膽紅素等上百種有效成分的協同及抗拮作用,達到多靶點綜合治療的作用。有效成份川芎嗪和水蛭素能從血液病變入手,能夠抑制血小板聚集,高效抗凝,降低血漿粘度和血漿脂質過氧化物,使血液中的脂質物質不易在動脈堆積形成血栓,並且能加速血氧自由基的清除,對已生成的動脈壁上的脂質物質能夠有效清除,防止動脈粥樣硬化形成,為心腦創造一個良好的內環境。丹參酮和麝香酮能夠增加動脈血流量,提高心腦的耐缺氧能力,保護血管壁內皮細胞,使其不易受損,預防血栓形成。體外培育牛黃的強心和降壓作用明顯,這是多發性腦梗死治療的重要要素之一。天欣泰血栓心脈寧片的十味道地藥材的配伍,是經過科學組方針對心腦血管病總體病因病機進行的協同及抗拮,經過十幾年的臨床驗證組方精良療效準確,缺一不可,是能夠有效改善症狀,抑制進展,防止反覆的治療多發性腦梗死的臨床良藥。天欣泰血栓心脈寧片(國家醫保甲類中藥)是我國首個著眼二級預防進行二次研發的多發性腦梗死中藥品種,是在優質優價品種基礎上二次研發(升級拔高)的現代中藥,內含麝香和體外培育牛黃兩個國家一類新藥,利用十多種現代生產工藝及高於國家標準的質量鑑別標準,成功攻克了傳統中藥有效成分損失大、療效不穩定、劑量大、劑型不合理等缺點,成為集高效,安全於一身的現代中藥。利用活血化瘀,芳香開竅雙效優勢,天欣泰血栓心脈寧片有效改善多發性腦梗死如半身不遂,失語,等症狀,有效防止多發性腦梗死復發,是多發性腦梗死患者的臨床首選中藥。用法用量:口服,一次2片,一日3次。
飲食原則
食物多樣,穀類為主;多吃桃、橙、香蕉、菠菜、毛豆、甜薯、馬鈴薯等富含鉀的食物,可降低血壓,預防中風;缺鈣可促使小動脈痙攣,血壓升高,每天攝入1克以上的鈣,可使血壓降低;鎂與鈣的作用相似,應多吃粗糧、堅果、海藻等富含鎂的食物;多吃蔬菜、香蕉、薯類和纖維素多的食物;每天吃奶類、豆類或其製品;常吃適量魚禽蛋、瘦肉,少吃肥肉、皮、蹄和葷菜;食量與體力活動要平衡,保持適宜體重;吃清淡少鹽、少糖膳食,應把食鹽量降至每天6克左右。
建議搭配餐:
早餐:玉米面粥一碗(25克玉米面)
果醬包1個(麵粉25克,果醬15克)
熗黃瓜條一小盤 黃瓜150克 250毫升
加餐:牛奶一杯 250毫升 大米100克
午餐:米飯一碗 大米100克
熘雞肉片木耳萵筍1盤(雞肉75克、萵筍150克、木耳適量)
油菜豆腐湯1碗(油菜50克,豆腐50克)
加餐:香蕉1根 150克
晚餐:餛鈍一碗(面50克,肉25克,西紅柿50 克)
花捲1個 麵粉50克
瘦肉絲炒柿椒苦瓜1盤(肉50克、柿椒50 克、苦瓜100克)
加餐:蘋果1個 200克
註:雞蛋每周不宜超過3個
權威療法
腦通疏絡寧栓療法治療系統是在中醫基礎理論指導下,結合現代科技發展的產物,綜合套用中醫理論、生物醫學工程、計算機技術、信息與感測器技術等,而研發出具有中醫特色的智慧型化、規範化診療設備。
一、 多學科定位,綜合中西療法精粹。囊括分子基因學、細胞病理學、納米藥理學、生物物理學、分子免疫學、醫學心理學等學科,根據世界衛生組織(WHO)腦病診療規範,在國際權威腦血栓、腦梗塞、腦供血不足醫療康復機構診治標準基礎之上,結合中國傳統醫學特色研發“腦通疏絡寧栓療法”康復工程。
二、多維定製,“一對一”針對性治療。第一個提出多維治療、立體治療的腦血栓、腦梗塞、腦供血不足治療體系,該體系分別從細胞學、免疫學、基因學、心理學各學科去綜合考慮患者的致病因,按照“一對一”針對性治療準則為每位患者制定個性化的綜合治療方案,運用“雲電摩腦功能循環治療儀”靶點定位,結合患者的自身體質的優缺,做出最有效、安全、快捷的治療體系。在治療過程中及時根據患者具體康復情況調整治療進程。
三、全面評估病情,杜絕藥物損傷機體。首次引進全數位化腦血栓、腦梗塞、腦供血不足病源灶精確定位系統,徹底根絕常規手術治療、藥物治療腦血栓、腦梗塞、腦供血不足為患者帶去的傷害,不損害肝、腎等功能,不給患者身體留下後遺症。
四、治療時間短,康復效果佳。一種中樞神經再生療法,能短時間內修復患者受損腦細胞,恢復腦部病灶供血供氧,激活受損 “休眠” 腦組織細胞,促進腦細胞新生。
相關疾病
多發腦梗死性痴呆(multi-infarctdementia,MID)由加拿大神經病學家Hachinski(1974)提出,是血管性痴呆(VaD)最常見的類型,占39.4%。由於反覆發生卒中,雙側半球大腦中動脈或後動脈多個分支供血區的皮質、白質或基底核區受累。導致智慧型及認知功能障礙綜合徵,是老年性痴呆的常見病因之一。
多發性腦梗死性痴呆是一種因雙側半球白質內的多處小梗死或大梗死導致皮質下白質傳導纖維的損害與多處斷裂引起的,以進行性痴呆呈台階式加重、偏癱、假性延髓性麻痹、帕金森綜合徵等為主要表現的,頭顱部CT或MRI發現多發性腔隙灶、軟化灶、局限性腦萎縮、腦室擴大的慢性腦血管疾病。該病屬於中醫呆病、癲狂等病症範疇,乃由風、火、痰、瘀上擾腦神或肝、腎、脾虧虛、腦髓失充所致。
發病特點
多發於50~65歲男性;有高血壓、腦動脈硬化、短暫性腦缺血發作等病史,常以腦卒中發作開始,呈台階式進展。
病因
腦血管性病變是多發腦梗死性痴呆(MID)的基礎,MID的直接原因,主要是由於動脈粥樣硬化、動脈狹窄和動脈硬化斑塊不斷脫落,引起反覆多發性腦梗死,繼而導致MID。危險因素可能包括年齡、文化程度低、高血壓、糖尿病、高脂血症、腦卒中史、卒中病灶部位及大小、卒中合併失語等。
臨床表現
1、MID的臨床表現無特異性患者有多次缺血性腦卒中事件病史腦梗死局灶性定位體徵如中樞性面舌癱偏癱、偏身感覺障礙、肌張力增高錐體束征假性延髓麻痹感覺過度和尿便失禁等。
2、MID可急性起病,階段性進展,智慧型損害往往呈斑片狀缺損,精神活動障礙與血管病變損及腦組織的部位和體積有直接關係認知功能障礙表現為近記憶力和計算力減退表情淡漠、焦慮、少語抑鬱或欣快不能勝任以往熟悉的工作和進行正常的交往,外出迷路不認家門,穿錯衣褲最終生活不能自理。
3、與AD相比血管性痴呆(VaD)在時間及地點定向短篇故事即刻和延遲回憶命名和複述等方面損害較輕,執行功能如自我整理計畫精細運動的協同作業等損害較重。不同的血管性病變引起的臨床表現有所不同。
併發症
患者常合併有自主神經功能紊亂抑鬱症、精神行為異常。另外應注意繼發的肺部感染、尿路感染及褥瘡等。
診斷
根據反覆發生的腦卒中事件、伴發的神經定位體徵及認知功能障礙等確診有賴於病理檢查MID的臨床診斷標準:
1、痴呆伴隨腦血管事件突然或緩慢發生,表現為認知功能障礙和抑鬱等情緒改變。
2、病情呈階段式進展伴失語偏癱、感覺障礙偏盲及錐體束征等皮質及皮質下功能障礙體徵局灶性神經功能缺失體徵呈零星分布,每次卒中後症狀加重。
3、CT或MRI檢查可見多發性梗死病變。
鑑別診斷
1、Binswanger病或稱皮質下動脈粥樣硬化性腦病(subcorticalatheroscleroticencephalopathy)是大腦前部皮質下白質缺血損害導致慢性進展性認知能力低下、步態不穩和尿便失禁等頗似正常顱壓性腦積水的臨床表現,無皮質損害導致的失用症或失認症。
2、進行性多灶性白質腦病(PML)是罕見的多系統疾病病因不明可能與病毒感染和免疫功能障礙有關病變為雙側半球腦白質不對稱多發性脫髓鞘病灶鏡下腦組織壞死炎性細胞浸潤和膠質增生,可有包涵體影像學改變與MID相似,但皮質不受累根據病史和臨床表現通常可以鑑別。
3、AD伴腦卒中AD的認知障礙呈緩慢進展,可有高血壓、糖尿病等卒中危險因素影像學顯示腦梗死和腦萎縮皮質萎縮明顯。
4、常染色體顯性遺傳性腦動脈病伴皮質下梗死和白質腦病(CADASIL)多見於35~45歲,常有家族史表現為反覆發生的TIA、皮質下缺血性梗死及腔隙性梗死,可有偏頭痛痴呆假性延髓麻痹、抑鬱和尿便失禁等,無高血壓病史MRI可見皮質下或腦橋梗死灶,腦或皮膚活檢可見特徵性血管壁變厚血管平滑肌中層細胞嗜鋨顆粒沉積。
檢查
實驗室檢查
腦脊液常規檢查和測定腦脊液、血清中ApoE多態性及Tau蛋白定量β澱粉樣蛋白片段有診斷與鑑別意義。
其它輔助檢查
1、主要通過患者的日常生活和社會能力評定及神經心理測驗完成常用簡易精神狀態檢查量表(MMSE)、韋氏成人智力量表(WAIS-RC)臨床痴呆評定量表(CDR)和Blessed行為量表(BBBS)等Hachinski缺血積分(HIS)量表可與變性病痴呆鑑別。
2、神經影像學檢查
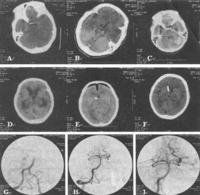
(1)CT掃描:可顯示腦皮質和腦白質內多發的大小不等低密度梗死灶,側腦室體旁暈狀低密度區腦白質疏鬆症(leukoaraeosis)和腦萎縮等。
(2)MRI檢查:可見雙側基底核腦皮質及白質內多發性T1WI低信號、T2WI高信號,陳舊病灶界限清、信號較低無明顯占位效應新鮮病灶界限不清信號強度不明顯,早期T1WI改變可不明顯T2WI可顯示病灶;病灶周圍腦組織局限性腦萎縮或全腦萎縮。
3、電生理檢查
(1)EEG檢查:正常老年人EEG主要表現為α節律減慢α節律從青壯年10~11Hz減慢為老年期9.5Hz,顳區出現3~8Hz慢波;雙側額區和中央區出現瀰漫性θ或δ活動,特別在睏倦狀態下顯著提示腦老化;在多發性腦梗死病灶導致EEG改變的基礎上α節律進一步減慢至8~9Hz以下雙側額區、顳區和中央區出現瀰漫性θ波,伴局灶性陣發高波幅δ節律。
(2)誘發電位:MEP和SEP均出現潛伏期延長和波幅下降,大面積腦梗死的陽性率80%~90%或以上,小灶性梗死陽性率30%~50%;約40%的枕葉梗死導致皮質盲患者VEP可顯示異常波形和潛伏期時限延長,視覺恢復後VEP波形明顯改善;缺血性卒中BAEP的異常檢出率為20%~70%,表現為Ⅰ~Ⅴ峰間潛伏期(IPL)延遲,腦幹梗死患者雙側BAEP異常,Ⅳ~Ⅴ波形消失,絕對潛伏期(PL)延長。
治療
治療包括治療原發性腦血管疾病和腦功能恢復兩方面
1、治療高血壓使血壓維持適當水平,可阻止和延緩痴呆的發生有學者發現VD伴高血壓患者,收縮壓控制在135~150mmHg可改善認知功能低於此水平症狀惡化。
2、改善腦循環增加腦血流量提高氧利用度
(1)二氫麥角鹼類:消除血管痙攣和增加血流量,改善神經元功能常用雙麥角鹼0.5~1mg口服,3次/d,以及尼麥角林(麥角溴煙酯)。
(2)鈣離子拮抗藥:增加腦血流、防止鈣超載及自由基損傷,二氫吡啶類如尼莫地平治療白質疏鬆症病人伴認知障礙1年後病情平穩或改善,二苯烷胺類如氟桂利嗪。
(3)煙酸:可增加腦血流量和改善記憶。
(4)中藥:選用三七總皂苷(血栓通)、葛根素(普樂林)和川芎嗪(甲基吡嗪)等有活血化淤改善血液黏滯度及抗血小板聚集作用。
3、抗血小板聚集:常用阿司匹林75~150mg/d口服,抑制血小板聚集穩定血小板膜改善腦循環,防止血栓形成;噻氯匹定(抵克力得)250mg/d口服作用於細胞膜,直接影響血小板黏附與聚集,抑制血小板間凍乾人纖維蛋白原(纖維蛋白原)橋形成。
4、腦代謝劑:促進腦細胞對胺基酸磷脂及葡萄糖的利用增強病人的反應性和興奮性增強記憶力。
(1)吡咯烷酮:常用吡拉西坦(腦復康)及茴拉西坦,可增加腦內三磷腺苷(ATP)形成和轉運,增加葡萄糖利用和蛋白質合成促進大腦半球信息傳遞。
(2)甲氯芬酯:可起中樞激素作用,增加葡萄糖利用興奮中樞神經系統和改善學習記憶功能。
(3)甲磺酸雙氫麥角毒鹼(雙氫麥角鹼):增強突觸前神經末梢釋放遞質,刺激突觸後受體,改善神經功能及腦細胞能量平衡。
(4)阿咪三嗪:如阿米三嗪/蘿巴新(都可喜)增加動脈血氧分壓和血氧飽和度增加供氧、改善微循環和腦代謝。
(5)其他如腦蛋白水解物(腦活素)、胞磷膽鹼(胞二磷膽鹼)三磷腺苷(ATP)輔酶A等。
5、腦保護藥
(1)鈣離子拮抗藥:如尼莫地平和氟桂利嗪。
(2)興奮性胺基酸受體拮抗藥:如硫酸鎂和MK801。
(3)自由基清除劑:如維生素E、維生素C和銀杏葉製劑等。
6、對症治療
(1)患者有抑鬱症可用選擇性5-HT再攝取抑制劑(SSRI),如氟西汀20mg1次/d,選擇性5-羥色胺與去甲腎上腺素再攝取抑制劑(SNRI)萬拉法新25mg,2~3次/d。
(2)焦慮症可用安定5mg3次/d,症狀明顯可用抗焦慮藥丁螺環酮30mg/d。
(3)失眠患者白天應處於明亮的光線下為恢復正常覺醒周期提供良好環境可用佐匹克隆等。
7、康復治療
臨床分析
由於血管性痴呆的智慧型損害常為斑片狀或非全面性伴局灶性神經體徵康復治療常可收到較好療效。康復要有針對性包括日常生活能力訓練、肌肉關節活動度訓練和言語障礙康復等情緒低落和自發性淡漠是加重痴呆的重要原因應使病人多與外界接觸,參加一定的社交活動。通過中西藥綜合治療、康復及護理等提高患者的生活質量使之部分地回歸社會。 目的探討多發性腦梗死患者智慧型障礙與CT上所示梗死部位、梗死容積及其他因素之間的關係。方法套用長谷川智慧型量表檢測智慧型障礙的發生與梗死部位、容積等諸多因素的關係。結果多發性腦梗死痴呆(MID)65例,其中輕度痴呆36例,占55.4%,中度痴呆25例,占38.5%,重度痴呆4例,占6.1%。頭顱CT掃描發現梗死灶178個,平均2.7個。梗死部位以基底節、皮質下白質、丘腦、內囊多發性梗死多見。結論基底節產生痴呆的病灶比皮質下梗死者小,痴呆程度與梗死數目、腦萎縮明顯相關。

