疾病症狀
多在頸部一側或雙側長出疙瘩,逐漸長大,不痛不癢,推入滑動,無明顯壓痛,如身體抵抗力低則逐漸增大,皮膚發變紫,最終破潰流水樣膿液並排出黃濁樣乾酪樣膿液,中醫稱之謂“老鼠瘡”。反覆潰爛少,部分病人可有低熱、盜、汗食欲不振、消瘦等全身中毒症狀。病因病理
淋巴結結核發病原因有兩種:一種是結核桿菌通過上呼吸道或隨食物在口腔及鼻咽部尤其是扁桃體腺引起的原發灶上感染。後沿淋巴管到達頸部淺深層淋巴結。各部位多為單側性淋巴結。受累咽部。重發病以上吸收後受累淋巴結核仍繼續發展形成冷膿腫或潰瘍。另一種是原髮結核感染後血中結核桿菌隨血行進入內側頸淋巴結,引起頸淋巴結核;還可以從腰腹部淋巴感染,然後汲及深部淋巴結群繼發感染,在頸淋巴結結核發病中較為常見。
分型
淋巴結核分型:乾酪型結核、增殖型結核、混合型結核、無反應性結核。疾病分類
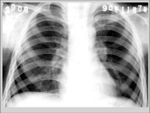
左肺門淋巴結結核頸部淋巴結核這是淋巴結核中最為常見的,女性多於男性。據日本資料統計,男性以30歲年齡組最多,女性以50歲年齡組最多。發病部位以右側為多見。西醫認為,本病多因結核桿菌經口腔(齲齒或扁桃體)侵入,由淋巴管到達頜下或頦下淋巴結;亦可因肺、腸結核病灶經血液擴散所致。中醫認為,本病為情志所傷,肝氣鬱結,脾虛生痰。肝鬱則化熱,痰熱互搏,敬於頸項之脈絡,而成瘰癧。亦因素體虛弱,肺腎陰虧,致使陰虧而火旺,痰火凝結而成瘰癧。
腋窩部淋巴結核本病臨床較少見。病人往往主訴腋窩部淋巴結腫大,疼痛就診;也有在胸部X線檢查時發現腋窩部或胸壁上部有鈣化灶。
腹股溝部淋巴結核腹股溝部淋巴結腫大,多來自下肢或外陰部的外傷。但是,結核菌向全身播散,偶爾也可發生。開始可為僅伴有輕度疼痛的腫脹,如不積極處理,則可自潰。
腹部淋巴結核一般由於全身播散或在腸結核的基礎上,相繼出現腹部淋巴結腫大。在主訴中,過去可能沒有任何消化系統症狀,肺部也未發現病變是常有的。也有包括過去曾有腸結核症狀,或者是因為治療肺結核,早已接受化療者。
肺門淋巴結核當機體尚未產生變態反應時,肺內初感染原發灶中結核菌借淋巴流侵入所屬淋巴結。從肺門到縱隔有許多淋巴結。病勢進展時,縱隔淋巴結也相繼發病,形成各種不同程度的乾酪化,從肺淋巴結流借肺門縱隔淋巴結,最後多從右靜脈角淋巴流入肺靜脈內,故結核菌隨其易於流入血流。因此,肺門淋巴結核是處於容易發生潛在性菌血症的狀態。
疾病診斷
根據結核病接觸史、局部體徵,特別是已形成寒性膿腫或已潰破形成經久不愈的竇道或潰瘍時多可作出明確診斷;必要時可作胸部透視明確有無肺結核。結核菌素試驗能幫助診斷。如僅有頸淋巴結腫大而無寒性膿腫或潰瘍形成,頸部一側或兩側有多個大小不等的腫大淋巴結,一般位於胸鎖乳突肌的前後緣。初期腫大的淋巴結較硬、無痛,可推動。病變繼續發展發生淋巴結周圍炎,使淋巴結與皮膚和周圍組織發生粘連,;各個淋巴結也可相互粘連,融合成團形成不易推動的結節性腫塊。晚期淋巴結髮生乾酪樣壞死,液化形成寒性膿腫。膿腫破潰後流出豆渣樣或稀米湯樣膿液,最後形成一經久不愈的竇道或慢性潰瘍。;潰瘍邊緣皮膚暗紅,肉芽組織蒼白、水腫,上述不同階段的病變可同時出現於同一病人的各個淋巴結。病人抗病能力增強和經過恰當治療後淋巴結的結核病變可停止發展而鈣化。
診斷依據
(1)頸側部淋巴結腫大,結節狀,無痛。多見於兒童和青年。(2)初期為孤立結節,較光滑,可活動,以後結節融合成塊,不規則,活動度差。腫塊可形成膿腫,有波動感,破潰後可形成竇道,隨皮膚下部潛行,經久不愈。
(3)分泌物稀薄,常含有乾酪樣物,創面肉芽不健康。
(4)可有低熱、盜汗、乏力、消瘦等全身症狀。
(5)有些患者可有肺部等結核病史或病變。
(6)取病變組織進行PCR檢測,可呈陽性結果。
(7)病理活檢可明確診斷。
檢查順序
用兩手指滑動觸診耳前、耳後(乳突區)淋巴結。後患者將頭轉向右側或左側,檢查者用右手或左手觸診枕骨下區的枕後淋巴結。後檢查者用左手扶住頭部,右手(翻掌)指尖觸摸頜下及頦下淋巴結,同法檢查左側。用雙手指在頸前三角區先沿胸鎖乳突肌前緣觸診。再用雙手指在頸後三角沿斜方肌前緣和胸鎖乳突肌的後緣觸診。最後用雙手指尖在鎖骨上窩內由淺到深觸摸鎖骨上淋巴結。(頸部淋巴結的觸診順序為耳前、耳後、枕部、頜下、頦下、頸前、頸後、鎖骨上淋巴結共8組.)頸部淋巴結檢查順序——頸部淋巴結結核應該做哪些檢查?
1.胸部X線或CT掃描明確有無肺結構的損害。
2.間接喉鏡及後鼻鏡檢查有時可發現肺結核喉結核及鼻咽結核等。
3.結核菌素PPD(純化蛋白衍生物)試驗血沉檢查有助於診斷。
鑑別診斷
(一)淋巴結核與性傳播疾病致淋巴結腫大的鑑別診斷1、軟下疳
為Ducreyi嗜血桿菌引起的局灶性傳染病。陰部疼痛性小丘疹迅速破潰形成淺表潰瘍,邊緣不齊,周邊發紅,常相互融合。腹股溝淋巴結腫大、壓痛並粘連在一起而形成膿腫、有波動感。膿腫上方皮膚紅亮,可破潰形成竇道。應與膿腫型淋巴結結核鑑別。診斷主要由臨床表現及性生活史確立,且可與淋巴結結核鑑別。本病細菌培養較難。
2、性病性淋巴肉芽腫
本病由沙眼衣菌屬的免疫型所引起,多見於熱帶和亞熱帶地區。最初的症狀為單側有壓痛的腹股淋巴結腫大,發展形成巨大而有壓痛和波動的腫塊,與深部組織粘連、上方皮膚有炎症,可形成瘺管。可伴有發熱、頭痛、關節痛等全身症狀。診斷依性生活史、臨床表現及補體結合試驗,有條件可作免疫螢光鏡檢。
3、愛滋病
愛滋病相關徵候群中有一個亞型,表現為頑固的全身淋巴結病、淋巴結腫大常持續3個月以上,而近期並無任何可致淋巴結病的疾病或用藥史。查AIDS病病毒抗體(HIV)陽性。①近期內(3~6個月)體重減輕10%以上,且持續高熱38℃一個月以上;②近期內(3~6個月)體重減輕10%以上,且持續腹瀉(每日達3~5次)一個月以上;③卡氏肺囊蟲性肺炎(P.C.R);④卡波西肉瘤(K.S);⑤明顯的黴菌或其他條件致病菌感染。
若HIV抗體陽性者體重減輕、發熱、腹瀉症狀接近上述①標準且具有以下任何一項時,可為實驗確診AIDS病人:①CD4+/CD8淋巴細胞計數比值<1,細胞計數下降;②全身淋巴結腫大;③明顯的中樞神經系統占位性病變的症狀和體徵,出現痴呆、辨別能力喪失或運動神經功能障礙。
雖有全身淋巴結腫大,依病史(賣血或接受使用血液製品史、靜脈吸毒、性紊濫等)及上述臨床表現和實驗室檢查不難淋巴結結核鑑別。活檢淋巴結反應性增生。
(二)淋巴結核與結締組織病和風濕病的淋巴結腫大的鑑別診斷
1、變應性亞敗血症
兒童較成人多見,臨床表現為:①長期反覆發熱;②反覆一過性多形性皮疹與關節痛;③淋巴結、肝、脾腫大;④血、骨髓培養陰性;⑤抗生素治療無效,而腎上腺皮質激素有效。
2、結節病
為一原因不明的多系統肉芽腫疾病。可引起淺表淋巴結腫大如頸部、滑車上、腋窩等處淋巴結腫大,有時可達核桃大小,質硬,永不軟化,不粘連,與皮膚無粘連。診斷依據:①多器官損害的臨床表現;②X線檢查顯示結節樣肺泡炎、肺浸潤可伴有肺門、縱隔淋巴結腫大;③病理學檢查發現上皮樣細胞肉芽腫,但無乾酪樣變;④皮膚Kviem試驗陽性,結核菌素皮試陰性。
3、系統性紅斑性狼瘡
部分系統性紅斑性狼瘡(SLE)患者可出現局部或全身淋巴結腫大,但淋巴結腫並非SLE的診斷線索,當病人尤其是青年女性出現發熱,伴有皮膚紅斑、多關節炎、腎臟損害、間歇性胸膜炎性疼痛、白細胞減少、高球蛋白血症、抗DNA抗體陽性等,診斷不難。SLE在早期很難同其他結締組織疾病區別。根據病史、結核菌素試驗及穿刺或病理組織學檢查,不難與淋巴結核鑑別。
(三)淋巴結核與腫瘤所致淋巴結腫大的鑑別診斷
1、惡性淋巴瘤
惡性淋巴瘤分為霍奇金病及非霍奇金淋巴瘤兩大類,均以無痛性進行性淋巴結腫大,早期無粘連,可活動為特徵,好發於頸部、縱隔及腹膜後淋巴結、質地中等偏硬如橡皮。隨病情發展,侵及範圍極廣,很快融合成塊,無移動性,此時觸診有軟骨樣感覺。霍奇金病患者可伴有周期性發熱、盜汗、皮膚瘙癢等全身症狀及肝臟明顯腫大。可因腫大淋巴結壓迫鄰近臟器出現相應壓迫症狀,如聲嘶、呼吸困難、霍納(Horner)綜合徵等。外周血液及淋巴結病理檢查發現R-S細胞是其主要的診斷依據。非霍奇金淋巴瘤以無痛性淋巴結腫大為主,最多發生於頸部淋巴結,繼之累及腋下和腹股溝淋巴結。如起病於結外淋巴組織(胃腸道、扁桃體、鼻咽部、肺部、脾臟、肝、骨骼、皮膚等),早期易誤診。深部淋巴結腫大時,也可早期出現相應壓迫症狀。約1/3患者伴發熱、盜汗、體重減輕、貧血等全身症狀。淋巴瘤晚期可侵犯骨髓、肝臟、皮膚甚至中樞神經系統並引起相應的臨床表現。病理活檢是確診淋巴瘤的主要依據。當僅有縱隔、腹腔淋巴結腫大時,可依靠CT或超音波引導下穿刺活檢,必要時可作胸腔、腹腔探查手術(見第八章血行播散型肺結核鑑別診斷)。
2、慢性淋巴細胞白血病
白血病可引起全身廣泛性淋巴結腫大,以慢性淋巴細胞系白血病更明顯,頸部較明顯。腫大淋巴結質硬、無彈性、無壓痛,晚期可互相粘連成串成塊,無移動性,無膿腫形成,直徑可達2~3cm,常伴發熱、出血、貧血、肝脾腫大。白血病的診斷主要不是通過淋巴結,而是通過檢查外周血象及骨髓象做出診斷。白血病患者一般有明顯的血液學異常,經血象及骨髓檢查一般不難斷,但其準確分型常需藉助組化及免疫組化技術。
3、漿細胞瘤
許多漿細胞腫瘤可有淋巴結腫大。多發性骨髓瘤患者血、尿中可有大量M蛋白,溶骨病變及骨髓異常漿細胞,據此不難確立診斷。原發性巨球蛋白血症血清IgM常>20g/L,骨髓中有淋巴樣漿細胞浸潤,重鏈病共有四種不同的重鏈類型,臨床表現各異,但經免疫電泳可查出相應的單克隆性重鏈存在,同時作淋巴結活檢可與淋巴結結核、淋巴瘤、骨髓瘤鑑別。
4、惡性組織細胞病
長期發熱,以高熱為主,伴進行性全身衰竭、消瘦、貧血,淋巴結、肝、脾腫大,全血細胞減少。全身淋巴結腫大多發生在疾病晚期,早期易誤診。診斷主要依據骨髓或外周血中存在數量不等的異常組織細胞,多核巨組織細胞。也可通過淋巴結、肝、脾和其他受累部位的病理活檢確立診斷。近年經免疫組化證實,過去診斷的惡性組織細胞病許多是T淋巴細胞瘤,真正的惡組只占少數。
5、Langerhan組織細胞增多症
為一組病因不明,以淋巴樣和組織細胞增生為主的疾病,病變常累及肝、脾、淋巴結、肺、骨髓等器官。分為三型:①勒-薛氏(Letterer-Siwe)病:見於2歲以下嬰兒,以高熱、紅色斑丘疹、呼吸道症狀,肝脾和淋巴結腫大為主要表現;②韓-薛-柯(Hand-Schuller-Christian)病:兒童和青年多見,以顱骨缺損、突眼和尿崩症三大特徵;③嗜酸粒細胞肉芽腫:多見於兒童,以長骨或扁平骨溶骨破壞為主要表現(見第八章血行播散型肺結核鑑別診斷)。
6、淋巴結轉移癌
對年齡較大而原因不明的淋巴結腫大,應特別注意某些原發腫瘤的轉移。癌轉移的淋巴結一般不超過3cm,質地堅硬、生長快、無壓痛、與基底粘著活動性差,表面凹凸不平。頸部無痛性淋巴腫大應注意鼻咽癌、甲狀腺癌的轉移。乳腺癌常首先轉移至腋窩淋巴結。鎖骨上淋巴結轉移癌可來自胃、支氣管、食管、縱隔、胰腺等臟器,一般而言,右鎖骨上淋巴結轉移癌多年來自呼吸系統癌腫,而左鎖骨上淋巴結轉移癌多來自消化系統癌腫。並且常為晚期徵象。腹股溝淋巴結轉移癌可見於泌尿生殖系癌。利用X線、CT、MRI、B超、放射性核素掃描及某些血清學試驗如甲胎蛋白、癌胚抗原等檢查可幫助尋找原發腫瘤,但確診仍需要組織病理學依據。
(四)淋巴結核與慢性感染致淋巴結腫大的鑑別診斷
1、慢性非特異性淋巴結炎
當頸淋巴結結核處於增殖階段(結節型),此型易與慢性頸部淋巴結炎相混淆。慢性淋巴結炎常累及頜下頸部淺層數個淋巴結,體積較小,多能找到感染病灶,如頭部病灶可傳及耳後和乳突淋巴結;口腔、咽部病變可使頜下、頦下淋巴結腫大。淋巴結活檢或針吸行病理及細胞學檢查可確診,如繫結核可有結核病理改變,如為非特異性慢性淋巴結炎可見中性粒細胞、單核細胞、漿細胞浸潤。
2、非結核性分支桿菌淋巴結炎
本病主要侵犯頜下及上頜附近的淋巴結,多由瘰癧分支桿菌所致。特別好發於5歲以下兒童,往往不伴有肺內結核病變,常需與頸淋巴結核的結節型和潰瘍型相鑑別。在美國非結核型分支桿菌淋巴結炎比結核性淋巴結炎更為多見,是頸部淋巴結炎的重要原因。在美國,非結核性分支桿菌淋巴結炎比典型的結核性淋巴結炎多10倍。
本病症狀比結核性淋巴結炎略急促,腫大淋巴結不紅也不痛,即使淋巴結增大達3cm以上也能移動。抗結核治療療效較結核性淋巴結結核差,久治不愈。其診斷主要依據細菌學檢查,並作細菌分類。
3、傳染性單核細胞增多症
此症往往以上感症狀開始,全身淋巴結急性腫大,常見頸淋巴結腫大,尤其左側頸後組多發,腫大淋巴結中等硬度,不粘連,不化膿,有壓痛。可伴有發熱、咽峽炎、皮疹,淋巴細胞可達50%~90%,並有異形淋巴細胞,嗜異性凝集試驗陽性高達80%~90%。病理檢查可以確診。
4、絲蟲病
班氏和馬來絲蟲感染可引起慢性淋巴管和淋巴結炎,並出現全身或局部淺表或深部淋巴結腫大,最常見為腹股溝淋巴結。若合併下肢淋巴管阻塞,可引起下肢橡皮腫。血中嗜酸性粒細胞增多,在夜間檢查外周血中微絲蚴而確診。
5、弓形蟲病(原蟲病類)
單側頸部可見單個或一群淋巴結腫大,輕度壓痛或不痛,不化膿,可有全身不適低熱或無任何症狀。確診依靠病原體檢查,弓形蟲素試驗與補體結合試驗。
6、鉤端螺鏇體病(螺鏇體病類)(見血行播散型肺結核鑑別診斷)
鼠類和豬為主要傳染源。早期(鉤體血症期)臨床表現為發熱;頭痛突出,全身肌痛,尤其腓腸肌。全身乏力,特別是腿軟較明顯,有時行走困難,導致不能下床活動;眼結膜充血、呈持續性,無分泌物及畏光;腓腸肌壓痛;全身表淺淋巴結腫大,發病早期即可出現,多見於腹股溝、腋窩淋巴結,多為黃豆或蠶豆大,有壓痛,但無充血發炎,亦無化膿。本病早期診斷較困難,臨床確診需要有陽性的病原學或血清學檢查結果。中期和恢復期表現複雜(見第八章血播型肺結核鑑別診斷)。所以應結合流行病學史,早期臨床特點以及化驗室的檢查發現進行綜合分析,可與淋巴結結核區別。
7、真菌感染
足部真菌感染可引起慢性腹股溝淋巴結腫大。組織胞漿菌病常見有肺門淋巴結腫大。孢子絲菌病為一種慢性深部真菌病,受累組織呈乳頭瘤樣損害,可潰破、化膿及引起局部淋巴結腫大。與淋巴結結核的鑑別不難,真菌塗片及培養即可確診。
治療
西醫治療
(一)全身治療 適當注意營養和休息。口服異煙肼1-2年,伴有全身毒性症狀或身體他處有結核病變者。加服對氨水楊酸鈉或利福平或加用鏈黴素肌肉注射。(二)局部治療
1.少數局限的,較大的,能推動的淋巴結,可考慮手術切除。手術時注意勿損傷副神經.
2.已形成寒性膿腫而尚未穿破者,可行潛行性穿刺抽膿。從膿腫周圍的正常皮膚處進針。儘量抽盡膿液,然後向膿腔內注入5%異煙瞬溶液或10%鏈黴素溶液作沖洗。並留適量於膿腔內,每周2次。
3.寒性膿腫破潰形成潰瘍或竇道者,如繼發感染不明顯,可行括除術。細心地將結校病變組織全部括除。傷口不加縫合,用鏈黴素溶液換藥。
4.寒性膿腫繼發化膿性感染者。需先行切開引流,待感染控制後,必要時再行刮除術。
中醫治療
中醫認為,瘰癧發病情況多由三焦、肝、膽等經風熱氣毒蘊結而成,肝腎兩經氣血虧損,虛火內動所致,可分為急性、慢性兩類。急性多因外感風熱、內蘊痰毒而發;慢性多因氣鬱、虛傷而發。該病常恚怒忿郁,謀慮不遂,精神頹靡。手心藥灸療法
主治:淋巴結炎、淋巴結核、淋巴腫瘤。
流傳地區:蘇魯。
主要成分:澱粉、雄黃等。
用法:兩顆藥丸分手用各放24小時。
忌:用藥之後半年之內不食辣三月之內不食海鮮一月之內不食公雞。
注意事項:切勿吞食。
聖玄湯
記載於《蘭室秘藏》》卷三,
是李氏百年來治療瘰癧“淋巴結核”的有效方劑之一。
〖名稱〗內消聖玄湯
〖功能主治〗淋巴結核“瘰癧”軟堅散結,球瘰癧痰核或腫或痛的內消。
〖成 份〗陰仲、玄參、猴棗、天花粉、蟬蛻、玄明等60餘味。
〖用法〗加熱口服。
〖性 狀〗本品為褐黃色包裝湯劑。
〖信息來源〗中國藥典、中醫藥雜誌。
〖禁忌〗孕婦忌用。
〖貯藏〗密封冷藏。
蜈蚣散
〖藥物〗蜈蚣2條,新鮮雞蛋2個。
〖用法〗將蜈蚣置瓦上焙乾研末,分2份;取新鮮雞蛋分別將其一端破一小口,流出蛋清少許。每個雞蛋倒入1份蜈蚣末,用紙或麵餅糊住小口。早上用夏枯草30克煮1隻蛋,吃蛋喝湯;晚上用數層濕紙包裹另1隻雞蛋,置灰火中煨熟食之。10天為1療程。
註:蜈蚣有毒,小兒及體弱含用量酌減;服藥期間禁服辛辣刺激之品,禁房事;發熱咳血者不用,待病情穩定後再用。
貓眼草膏
〖藥物〗貓眼草5000克。
〖用法〗上藥洗淨加水15000克,浸泡水內3天后,慢火熬3小時,去渣,再慢火熬至起泡似魚眼時即成糊狀,裝瓶備用,根據瘡口情況,在局麻下清除創面壞死組織及胬肉後,用塗有貓眼草膏的無菌紗布覆蓋(有竇道者用刮匙刮除豆渣樣物及膿汁後,取適量藥膏納入),包紮固定。視膿汁多少每天或隔大換藥1次,直至瘡口愈台。重者可加服抗癆藥。
〖療效〗此方治療破潰型頸淋巴結核245例,306個瘡口,均痊癒。
註:貓眼草為大戟科植物貓眼草EuphcrbialunulataBge。的全草,有祛痰、鎮咳、平喘及拔毒止癢之功。
蜈蚣蛋
〖藥物〗蜈蚣(去頭足)1條,全蠍3條,雞蛋1個。
〖用法〗上藥焙乾,共研細未,取雞蛋開1小孔,納入藥未,攪勻用麵團包裹,放草木灰中燒熟食之,每天1次,每次1個,10天為1療程。
黃精夏枯膏
〖藥物〗鮮黃精100克,鮮夏枯草200克。
〖用法〗將上藥切碎,加水500毫升煎煮,最後濃縮成膏。用時根據患處大小,將藥膏攤於消毒的紗布上貼於患處。如有潰瘍處,將紗布剪1小孔,便於徘膿。每天換藥1次。
結核膏
〖藥物〗·火石灰80克,石碳酸100毫升,桐油200毫升。
〖用法〗用瓷碗或小鐵鍋裝桐油,微火燒開,放入石碳酸,後放火石灰熬成半膏狀,瓶裝備用。用時塗擦患處,每天2-3次。
〖療效〗此方治療化膿性頸淋巴結核,一般連塗1-2周可愈。
消瘰癧方
〖藥物〗玄參20克,貝母、海藻、夏枯草、生地各15克,穿山甲9克。
〖用法〗每天1劑,水煎服.1個月為1療程。根據體質情況,亦可將上藥蜜製成丸,早晚各服6克
羊膽丸
主要成分:羊膽乾膏、百部、白芨、浙貝母、甘草。
功用與藥理:潤肺化痰,解毒殺蟲。藥理證實,羊膽中膽酸及去氧膽酸對多種細菌均有一定抑菌作用;百部、甘草體外實驗對人型結核桿菌及多種細菌也有抑制作用。
用量與用法:每次3g,每日2次,溫開水送服,忌食辛冷油膩
1.每天取鮮土茯苓200克,水煎分2次服用,連用1周為1個療程,1個療程後停用1周,再進行第2個療程,一般用1~3個療程。
2.治淋巴結炎、淋巴 結核、單純性甲狀腺腫:紫菜20克,雞蛋2個,文蛤肉250克,綠豆冬粉60克,馬蹄粉30克。先將馬蹄粉用水調稀;雞蛋去殼攪勻;文蛤肉洗淨,放入鍋內,加清水適量,文火煲熟,放入冬粉、馬蹄粉、雞蛋,煲沸後熄火,隨即放入紫菜調味佐膳。
3.紫菜10克,水煎,一日兩次服,或用紫菜泡湯,每日當菜佐食,連食一兩個月。
4.紫菜蘿蔔湯:紫菜15克,白蘿蔔20克,加陳皮2小片,同煮湯,加少許食鹽調味食用,治甲狀腺腫大和淋巴 結核。
5.用生芋頭3公斤,曬乾研末,另用陳海蜇300克(洗去鹽)及馬蹄300克,兩味加水煮爛去渣,配入芋頭粉製成丸如綠豆大,用溫開水送服,每次6克,一日三次;或用鮮芋頭洗淨放鍋內蒸熟剝去皮,醬油調味,每日當菜吃。治瘰癧,頸淋巴 結核等症。
針灸截根治療
針灸截根療法治療淋巴結核是目前治療效果最好的療法,沒有任何副作用,取穴在人體背部的華佗夾脊穴,對人體沒有任何毒副作用,可以起到根治的作用。傳統的截根療法需要在人體背部用刀開個小口,然後用針挑斷筋膜,效果雖好,都是會留下難看的疤痕。現代通過後人的改進,用針刺代替割治,效果更佳,且預後沒有疤痕。淋巴結核患者治療3-5次可治癒。預防
控制傳染源
結核病的主要傳染源是結核病人,尤其是痰結核菌陽性患者早期接受合理化療,痰中結核菌克在短期內減少,以至消失,幾乎100%可獲治癒,因此早期發現病人,尤其是菌陽性者,並及時給予合理的化療是現代防癆工作的中心環節。早期發現病人的方法是對以下人群及時進行X線胸片和菌細菌學檢查:
(1)慢性咳嗽,咯血經抗生素治療無效者。
(2)開放性肺結核病人周圍的接觸者。
(3)結素試驗強陽性兒童的家庭成員。
(4)廠礦工人尤其是矽肺患者。
(5)定期對結核病較流行地區的人群進行胸部X線檢查,可早期發現一些無症狀病人。
切斷傳染途徑
結核菌主要通過呼吸道傳染。因此禁止隨地吐痰,對菌陽性病人的痰、日用品,以及周圍的東西要加以消毒和適當處理,室內可用紫外線照射消毒每日或隔日一次,每次2小時,患者用過的食具應煮沸消毒10-15分鐘,被褥在列日下暴曬4-6小時,痰盒便器可用5%-10%來蘇浸泡2小時,最好將痰吐在紙上燒掉或用20%漂白粉溶液泡6-8小時。接種卡介苗
卡介苗是一種無致病力的活菌苗,接種於人體後可使未受結核菌感染者獲得對結核病的特異性免疫力,保護率約為80%。可維持5-10年,因而隔數年後對結素試驗轉陰者還需複種。接種對象是未食結核菌感染,結素試驗陰性者,年齡越小越好,一般在出生後三個月內注射,主要為新生兒和嬰幼兒,中國小生和新進入城市的少數民族地區公民,結素試驗陰性者進行接種與複種,接種方法有皮內注射和皮上劃痕兩種,以皮內注射為佳。卡介苗接種效果肯定,尤其是兒童包括急性粟粒型肺結核和結核性腦膜炎的發病率以明顯減少,但種卡介苗所產生的免疫力也是相對的,應重視其它預防措施。保健
精神養生
(1)消除恐懼心理要消除對結核病的恐懼心理,首先要讓患者了解結核病。醫生要向患者講明結核病的病因及治療現狀,使他們明白,結核病的治療比起40年前發生了分配的變化,過去由於沒有抑制殺滅結核菌的藥物,主要靠臥床休息、陽光照射、空氣新鮮、加強營養,聞效很低,死亡率很高。隨著社會的進步,科學技術的發展,有效的抗結核藥物相繼問世,使結核病治癒成為可能。只要患者按照醫生的要求,規律全程用藥,結核病是可以完全治癒的。要經常向患者宣傳講解結核病的防治知識和保健常識,使患者對自己的病情有一個正確的認識,鼓勵病人始終保持樂觀的情緒,振作起精神,心情舒暢能促進促進派進食慾,嗇消化液的分泌和消化道的功能,使會計師嗇。同時愉快的心情能保證良好的睡眠和休息,這樣自然提高了機體的抗病能力,加上有交的抗結核、藥物的使用,患者的身體可以很快康復。
(2)注意休息,避免勞累
對結核病人來說,雖有合理的治療方案和豐富的營養儀器倘若不注意休息,過於疲勞,會導致病情惡化。因為結核是一種慢性消耗性疾病,常常伴隨著疲勞的產生,只有使患者的機體得到適當的休息,精力和體力才能得以恢復,合理的休息是關係著結核患者能否痊癒的關鍵問題之一。
首先應保證足夠的睡眠。仍在睡眠時,體內的各種生命活動如心率、血壓、呼吸脈搏以及多種代謝功能低下,肌肉處於鬆弛狀態,全身的能量消耗大大減少,使得機能能夠利用充分的能量來修補和恢復人袋子本的患病中所造成的損害。一般來說,晚上至少要保證9個小時的睡眠,中午應有1-2小時的午睡時間,體質虛弱者上午10點應臥床休息1小時左右,同時應注意動靜結合,告誡患者做引起力所能及的活動如散步、繪畫、下棋、養花等等,長久臥床會使全身各臟器的功能減退,減弱人體對疾病的抵抗力,長時間坐著不活動會使腰背肌肉緊張,下腔靜瘀血,所以說充足的睡眠和適量的活動交替進行與合理安排,是增強患者體制、提高抗結核能力的最佳方式。好轉期的患者,可以增強活動時間和強度,做些輕微家務勞動。為恢復正常工作做好準備,但絕對不能超過患者的負荷能力,以不感到疲勞為宜。病情已穩定的患者,可以恢復正常工作,但不可過於疲勞。業餘時間應保證休息。
(3)保持愉快的心情
人的精神狀態和情緒的變化,對身體的健康有著直接的影響。常言道:笑一笑,十年少,悉一悉,白了頭,說明樂觀是養生的重要秘決,心胸開闊的人,很少患病,即使患病,也關於樂觀地同疾病鬥爭,很快;相反,心胸狹窄、多愁善感的人,偶爾一點小病,也會悉出大病人。因此每一個結核患者,為了儘早地治癒自已的疾病,除規律治療外,還要特別注意控制自己的情緒。消極的情緒能降低人體的神經調節能力,而積極的情緒則是提高機體抗病能力的作用。古人言,憂思傷脾,說明精神創傷對消化器官的功能有重大影響,情緒激動如煩惱、憂慮、嗪、恐懼、憤怒,食量減少,營養不良,抵抗力下降,自然就容易生病。所以控制自己的情緒病,積極配合治療,這樣就能促使疾病早日康復。
飲食養生
(1)加強營養結核病是一種慢性消耗性疾病,治療應從整體出發,扶正固本,藥亨與食療兼顧。如果只治療,不注意患者的營養,雖有物效藥物,主要靠臥床休息,陽光照射,加強營養等提高機體免疫力的療養方法治療結核病,竟然也能使一小部分病人治癒說明人體自身的免疫力在結核治療的過程中發揮著重要的作用。目前,國內外許多專家提出了結核病的結合防治措施,包括提高生活水平、改善營養、住房投機倒把、工作環境、文體娛樂、尤其是營養在結核病的發生也發展中起著重要作用。飲食療法的重點就是供給充足的營養,以補償疾病的消耗和增強機體的抗病能力。
在結核活動期,患者多有結核中毒症狀,消化能力差,食慾減退,這時要吃淡可口、營養豐富、容易消化的食物。當患者食慾恢復後,應加強營養,補充高蛋白、高熱量、高維生素的食物。①高熱量:結核患者由於能量消耗高於一般人,因此總熱量的供給應高於正常人。對食枘差的病人應給予助消化藥物。②高蛋白:結核病人由於長期低熱,蛋白質消耗較多,結核病灶修復也有賴於蛋白質的補充,因此結核病人應給高蛋白的膳食,如:內、雞、蛋、奶、豆製品等等。③高維生素:主要補充維生素A、B、C、D維生素A能促進派進上皮細胞的修復,維生素D可幫助鈣的吸收,維生素B、C參與代謝,增加體質,因此應多食各種新鮮蔬菜、水果、核桃、花生等。
(2)忌灑戒菸
國內外研究證明,吸菸對呼吸系統疾病的發生有著密切的關係。煙霧中含有尼古丁、甲醛、乙配合、氨、二氧化氮、二氧化硫、硫化氫、氫氰酸等多種有害物質,對肺氣近和支氣管均有刺激性和毒性。動物實驗說明,吸菸霧後副交感神經興奮性增加,使支氣管收縮,痙攣呼吸道黏膜上皮細胞纖摶運動受到掏;支氣管黏膜充血、水腫,黏膜積聚,肺泡中的吞噬細胞功能減弱,這些因素均易引起感染和發病。有調查表明,吸菸比不吸菸的人結核發病率明顯增高。特別是肺結核,吸菸時間愈長,煙量愈大,患病率也愈高。戒菸後可使呼吸道症狀減輕,肺功能改善。同時煙霧中的有害物質會阻礙肺結核的癒合,從而延長了治療時間,甚至會使靜止期病情惡化,因此結核病人應當戒菸。
飲酒會給人體帶來多種損害。如果飲酒過量,發生酒精中毒,會使支配咽喉部的吞咽、喉神經和迷走神經功能發生障礙,出現吞咽困難,誤將口腔內的分泌物吸入呼吸道,引起肺部感染。曾有人做過研究,將正常人分為兩組,一組為飲酒組,另一組為非飲酒組,分別測定其肺功能,結果表明飲酒組的肺功能指標降低,非飲酒組正常,說明飲酒時肺功能有影響,尤其是患者有慢性肺疾患的病人經常經常飲酒,肺功能不全更明顯,另一方面,飲酒對肝臟損害很大,肺結核患者所用的抗結合藥物如異煙肼、利福平、嗪醯胺、對氨基水楊酸納等肝臟本來就有損害,如果在飲酒,會加重肝臟的損害,因此應當奉勸結核病患者不要飲酒。
(3)飲食禁忌
這一點是非常重要的,不然的話是很難治癒的。(有些醫生對這病的認識不是很深,居然說不用忌口,其實是錯誤的!我生這病7年了,比那些醫生更有發言權!)雞肉、牛肉、鵝肉、狗肉、貓肉、羊肉、魚蝦蟹(所有的魚類都不能吃)、肥豬肉、豬油、辣椒(所有辛辣食物)、花生、韭菜、南瓜。以上這幾種食物千萬不能吃!會加重病情的!可能有些食物沒寫全,只要吃後感覺不舒服的食物都不能吃。
常見誤區
治療誤區
在上世紀中葉抗生素得到廣泛套用的時候,結核桿菌也遭到了滅頂之災,大大降低結核病患者的死亡率,使人們長舒了一口氣,不再談“癆”色變了。於是在人們意識中形成了“結核病好治”的印象。20世紀80年代以來,由於抗生素的濫用以及治療不規範,使大批抗結核患者產生耐藥現象。據統計,耐藥結核病患者約占首次治療者總數的28%—41%,這是一種非常令人擔憂的局面,
給人們敲響了警鐘;結核病不好治了。
流行發病誤區
過去人們普遍認為,結核病是窮病,只在貧窮的農村發生。如今這種印象被殘忍的現實打破了。近十年來,我國城市結核病人數量猛增,主要原因是由於環境質量日趨惡化,人們日常生活必需的水、空氣、食品等受到了工業污染,人們的抵抗能力下降了,由空氣傳播的結核病有死灰復燃之勢。其實是因為肺炎和愛滋病的發病率、帶菌率人數急劇上升,也給結核病的發病帶來了可乘之機,肺炎並髮結核、愛滋病髮結核已成為一種新的感染方式,我國現有結核病人590萬。據專家分析,590萬結核病患者中,有傳染性者大約占一半。由於農村轉入城市的人口急劇增加,引起城市結核病疫情的回升,現在出現了城市結核病傳播快於農村的反常現象。誤區三:結核病死不了幾個人過去人們認為癌症最可怕,一旦得了癌症就等於判了死刑,所以談癌色變,至於結核病普遍認為不是絕症,即使一下子治不好,也死不了人。這種觀點大錯特錯。我國現有結核病人590萬人,每年死於結核病者達13萬,為各種其他傳染病死亡總數之和的兩倍。
我們應當正確對待肺結核。不能盲目輕視,但也不能過於恐慌!積極配合治療,自身注意保護,提高防範意識!我們還是能戰勝它的!

