名稱
長骨骨化性纖維瘤長骨骨化性纖維瘤
簡介
1、病因病理
病因不明。
肉眼觀察,腫瘤切面呈灰白色,或呈黃色、紅色,質地堅韌,切開時有沙礫感。顯微鏡下可見梭形的纖維母細胞樣細胞,呈鏇渦狀或席紋狀排列。同時,有不同程度的板層骨形成,骨小梁表面有活躍的骨母細胞增生。在病變中央纖維組織多而不成熟骨少,在病變周圍或骨膜下骨小梁多、肥厚,互相吻合,為板狀骨。組織學圖像與纖維異樣增殖症相似,但骨小梁表面有大量骨母細胞覆蓋,可作為組織學鑑別的主要依據。
2、臨床表現
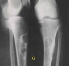
長骨骨化性纖維瘤多發生在10歲以前,其中5歲以內最多。男多於女。脛骨最多,其次為腓骨。多為單側病變,偶爾有雙側者。位於骨幹或遠近端的1/3部位,自覺症狀不明顯,多為無痛性腫脹或包塊,或者是脛骨彎曲變形。偶見病理骨折和假關節形成。
X線顯示病變呈單房性或多房性囊性透亮區,透亮區內可見鈣化斑塊狀陰影。骨皮質內偏心性溶骨性破壞,皮質骨膨脹、變薄,髓腔變窄、邊緣硬化。發生於脛骨時可見前方骨皮質有膨脹性透亮病損,邊緣清晰,很少骨膜反應。少見脛骨多發病變或侵入大部骨幹。
3、診斷及鑑別診斷
(1)纖維異常增殖症:見本節。
(2)長骨牙釉質細胞瘤:病因不明,低度惡性,發病率低,占惡性腫瘤0.5%。男性多見,21~40歲多發。80%發生在脛骨,主要為發展緩慢腫塊和疼痛,可有病理骨折。X線顯示骨幹乾骺端多房狀偏心性及溶骨性改變,邊界清楚或硬化,皮質膨脹。一旦穿破皮質,皮質缺損呈鋸齒狀,形成軟組織包塊,無骨膜反應。顯微鏡下見多種腫瘤細胞如基底細胞、梭形細胞等。治療採取廣泛切除或根治性手術,同時行淋巴結清掃,20%病人肺轉移。
4、治療
按病程、性質、生長速度、X線形態和組織學檢查來決定。5歲以前偶有自愈的可能,保守治療為主。手術治療後容易復發。5~10歲時,儘量推遲手術。當出現廣泛病變、嚴重膨脹而骨脆弱或者形成假關節時,必須手術。10~12歲時需要手術治療,常用的方法是徹底刮除或切除,同時截骨矯正畸形。受患骨膜應切除。切除或刮除過度時,可作植骨。有人採用放射治療,但有惡變危險。
