介紹
緻密性骨炎(condensing ostitis)是一種骨質硬化性疾病,好發於20-25歲青年,女性多見,易累及髂骨、腰椎和骶骨鄰近關節邊緣部,單側或雙側同時(先後)發病。
髂骨緻密性骨炎症狀
臨床上,症狀多輕微,局部可有輕壓痛或肌肉痙攣。X線和CT上,髂骨耳狀面下均勻性高密度硬化,骨結構不清,骨小梁間隙消失,內緣以骶髂關節。骨質硬化區表現為三角形、新月形或梨形,尖端向上,寬基向下。
範圍病變範圍不一,可累及耳狀面的全部或中下2/3,亦可僅限於中1/3或下1/3。椎體也可發病,多位於腰椎前上角,以L4、L5多見,多單發,亦可累及多個椎體,表現位椎體前上緣三角形緻密影,椎間縫正常。部分病例經隨訪觀察病變範圍可縮小,骨硬化密度減低,但多數無任何改變。
骶髂關節緻密性骨炎鑑別診斷包括:1結核性骶髂關節炎多局限於中下2/3,主要表現為進行性骨質破壞,病變邊界不清,關節間隙狹窄,附近可有大小不一的鈣化影;2強直性脊柱炎時,局部骨質疏鬆,骶髂關節有骨性強直,常見脊柱韌帶鈣化;3低毒力感染性骶髂關節炎常有關節間隙變窄,關節面不整齊,關節面破壞,可資鑑別。
事例一位年輕女性當上媽媽不久就發現腰部酸痛,開始以為是抱孩子勞累過度,可到現在已經半個多月了,疼痛沒有減輕反而加重。經醫生詳細檢查,腰椎各棘突、兩側腰肌無明顯壓痛,生理彎曲正常,各方向活動可,右臀部、髂後上棘下方處有壓痛,骨盆分離擠壓試驗陽性,右“4”字試驗陽性,活動時感到下腰部酸脹。對此醫生考慮不是腰椎的疾病,可能為骶髂關節部的原因,於是開了骨盆部X線平片和抽血做血沉、類風濕因子等項目的檢查。化驗結構顯示:右骶髂關節面中下1/3處靠近髂骨側有高密均勻一致的骨質,骨小梁完全消失,無骨質破壞,骶髂關節間隙清晰,血沉26毫摩/升,類風濕周子陰性。詢問既往無腰痛病史,生產順利,婦科情況良好,家族中無明顯遺傳病。最後確診她得的是“髂骨緻密性骨炎”。
主要疾病
骶髂關節緻密性骨炎骶髂關節緻密性骨炎好發於女性,20~40歲的中青年女性多見。臨床症狀是患有復發性腰痛,有時可向下放射至臀部和大腿,但不是根性疼痛,腰活動時可加重症狀,有人認為這是一種可自愈的病。李晶氏對骶髂關節緻密性骨炎的病理解剖所見記載:妊娠、分娩、外傷、感染等均可引起能熔關節的撕裂而使局部血供受阻。因此,早期呈現充血、水腫和滲出增加等,漸而局部出現增生與變性反應,隨著膠原纖維的緻密化而向硬化演變;血管形成厚壁血管,易閉塞而引起髂骨耳狀面處缺血和缺氧,骨質呈現硬化性改變,以致手術時局部出血較少。骶髂關節囊壁顯示纖維增生、彈性降低及鬆動樣改變。繼發於盆腔內炎症者亦出現相類似的病理改變,可能系細菌內毒素作用所致”。祖國醫學認為:人體若素質虛弱或積累性勞損,以及閃挫外跌,均能損傷經脈之血,氣滯血瘀,絡脈阻塞不通,這已為上述病理解剖所見而證實。《素問·脈要精微論》雲:“腰者,腎之府,轉搖不能,腎將憊矣。”因此,腎臟精氣可滋養五臟,主骨生髓,骨的生長發育和修復均須依賴腎臟精氣的滋養和推動,如果腎虛則易至腰部扭閃和勞損。各種疾病必有外邪潛伏在經絡,久病入絡,久病必瘀(郁),以致出現腎虛而影響其他臟器。如腎精不足而引起的肝陰不足等。中醫有肝主筋芷血,肝鬱是“萬病之源”的學說,肝血充盈筋骨得所養,腎虛影響肝血充盈,充盈不足必然發病。方劑:鹿含草20g,肉蓯蓉15g,川斷20g,寄生20g,當歸20g,生地20g,延胡15g,牛膝15g,大黃5g,萊菔子5g,甘草5g加水800ml煎成150ml,復渣,每日服2次。
髂骨緻密性骨炎緻密性髂骨炎【概述】
骶髂關節髂骨部下1/2~2/3骨質密度增厚所引起的慢性腰腿痛,稱緻密性髂骨炎。可能與妊娠、勞損及病灶性炎症有關。
【治療措施】
本病患者應暫時避免妊娠,減少勞動,局部熱敷理療或封閉、針灸等,必要時可臥床休息2~4周。症狀減輕或消失後準備離床時應帶圍腰保護,逐漸增加活動量。如經上述治療仍不減輕,應考慮清除病灶或行骶髂關節固定術。
【病因學】
在妊娠後期,如生產過程中,由於內分泌的作用,常使肌腱韌帶鬆弛,使骶髂關節鬆動,失去穩定性。因此骶髂關節可能經常受到異常刺激或損傷,尤其是骶髂關節的髂骨部所受到的損傷可能性更多些。也可能與身體重力,慢性勞損或外傷有關。
【病理改變】
1963年Glogowski首先報告,經病理檢查,發現關節軟骨明顯退變,並有炎症細胞浸潤,軟骨下骨小梁周圍有炎症性反應,成骨細胞生長正常或活躍。骨髓腔纖維化。陷窩內有骨細胞,關節面附近有散在的軟骨島。但無髂骨壞死。
【臨床表現】
本症多見於20~30歲已婚經產婦女,偶見於男性。患者平素身體健康,其主訴為腰腿痛。疼痛一般較輕,也有無症狀或疼痛較重者。疼痛為慢性、間歇性酸痛,並可隨妊娠或生產次數的增加而加重。多數病例病變發生於兩側骶髂關節髂骨部,有局限性壓痛或輕度肌肉痙攣。骨盆分離與擠壓試驗陽性,化驗檢查多在正常範圍。
【臨床表現】
下腰部呈慢性持續性疼痛,並可向臀部,股後部放散,但無明顯根痛症狀。女性患者常可因月經周期的影響下腰部疼痛加重,勞累和外傷亦是導致腰痛加劇的常見因素。
也有個別患者可毫無自覺症狀,只是由於其他原因在X線檢查中偶爾被發現。
臨床體檢時,腰部運動基本正常,在骶髂關節附近或病變部位有局限性的壓痛點,局部肌肉張力增高,直腿抬高試驗,“4”字試驗等均基本正常。
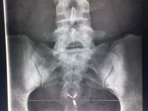
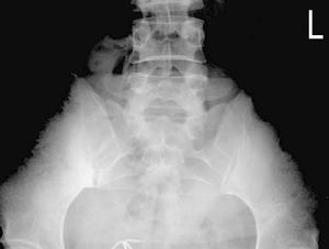
X線檢查:病變在骶髂關節的骼骨耳狀面上出現骨質呈均勻性密度增高,骨小梁消失,邊緣模糊,不侵犯關節面,病變寬度約0.5~3.0厘米,濃白實密徵象。其骨質硬化區構成各種不同的形態,大體上分為三角形、新月形、梨形三種。
【輔助檢查】
X線所見:骶髂關節正位片見關節間隙整齊清晰,靠近骶髂關節面中下2/3的髂骨側骨質異常緻密呈均勻一致的骨質緻密帶,骨小梁紋理完全消失,邊緣清晰但無骨質破壞,不侵犯骶骨側。這種病變多為對稱性,也可發生於單側。局部可呈三角形,新月形或梨形。硬化區可寬達3cm。
本病應與早期強直性脊柱炎的骶髂關節炎,病灶性關節與骶髂關節結核等進行鑑別
診斷
診斷治療:
本病常見於髂骨,病因可能和慢性勞損、血供應障礙與感染有關。肥胖女性多見。X表現:多發生在單側,病變位於骶髂關節前緣之後面呈三角形。病變區出現均勻濃白之實密現象,骨小梁消失,邊緣模糊,病變寬度約為0.5-3.0厘米,而髂骨關節,完全清晰,寬度不超過3毫米。建議到醫院檢查治療.
臨床表現與診斷
本病的診斷不難,主要根據:
1.既往史:多有妊娠、外傷及盆腔感染史。
2.主訴:骶髂部疼痛,80%為一側性,尤以步行、站立及負重為劇,但多可忍受。
3.體徵:①骶髂關節部叩痛及壓痛。②骨盆分離擠壓試驗、“4”字試驗及蓋氏試驗等均陽性。
4.x線平片:早期無變化,後期顯示髂骨面骨質硬化,但無骨質破壞。鄰近骶髂關節的髂骨硬化改變,常累及關節遠側1/2區域,有時兩側同時受累。為可能是分娩前分泌鬆弛素作用於骨盆關節的骨質反應。
1.輕者:以緊身褲,有學者報告早期服用移山參(白參,每天3分,連服1~2月)多可痊癒或好轉,但未經驗證。
2.重者:指影響步行及工作者,可行骶髂關節融合術。一般僅需上方關節融合即可,勿需全關節融合,以免誤傷臀上動脈而引起嚴重後果。
3.各種非手術療法,如中藥、理療、推拿、針炙、火罐及非甾體類抗炎藥等均可選用。
治療
以非手術療法為主。症狀輕者,可適當臥床休息,下床後宜用彈性圍腰保護;症狀嚴重者可服用止痛劑,並用支架保護,待疼痛減輕後鼓勵患者做腹肌鍛鍊,並繼續用彈性腰圍保護。對有頑固性疼痛者,可考慮行骶髂關節融合手術。
預防
髂骨緻密性骨炎(1)不宜多吃糖。多吃糖能影響鈣質的吸收,間接地導致骨質疏鬆症。
(2)不宜攝入蛋白質過多。攝入蛋白質過多會造成鈣的流失。根據實驗發現,婦女每日攝取65克蛋白質,若增加50%,也就是每日攝取98克蛋白質,則每日增加26克鈣的流失。
(3)不宜吃得過鹹。吃鹽過多,也會增加鈣的流失,會使骨質疏鬆症症狀加重。在實驗中發現,每日攝取鹽量為0.5克,尿中鈣量不變,若增加為5克,則尿中鈣量顯著增加。
(4)不宜喝咖啡。嗜好喝咖啡者較不喝者易流失鈣。實驗發現,一組停經婦女患有骨質疏鬆症的患者中,有31%的人每天喝4杯以上的咖啡;而另一組骨質正常者中只有19%的人每天喝4杯以上的咖啡。
預防此病,首先要避免多次妊娠,產後注意適當休息,尤其是年輕的媽媽切勿興奮異常,對寶寶溺愛有加,避免長時間摟抱孩子、彎腰做家務勞動等。因為產後骨盆部充血,機體緩慢恢復需要一段時間,若長時間下腰過量負重,很容易誘發本病。治療方面可以局部用中藥熱敷、微波理療、針灸推拿等,適當臥床休息1—3周是一個很重要的治療環節。若患者在哺乳期,儘量少口服刺激性藥物,以免對嬰兒產生不良影響,以休息及理療(針灸、推拿)為主。症狀減輕離床時應帶腰圍保護,逐漸增加活動量。

