發病原因
該病徵病因尚不明,有報導認為繼發者可能與變態反應有關;
小兒腎澱粉樣變性原發病例有發病家族史,為顯性或隱性遺傳病。該病徵根據有無原發性疾病或者澱粉樣物質沉著的部位,分為以下幾類:
1、原發性澱粉樣變性:主要侵犯臟器的順序為心、消化道、舌、脾、肝、腎、肺。
2、繼發性澱粉樣變性:常繼發於各種慢性感染性疾病和結締組織疾病及代謝性疾病(糖尿病)等。主要侵犯臟器的順序為:腎、脾、腎上腺、肝、淋巴結、胰腺等。
3、遺傳性家族性澱粉樣變性。
4、局限性澱粉樣變性:本節主要述及腎澱粉樣變性。
發病機制
1、澱粉樣纖維蛋白:澱粉樣蛋白是一種無定形的玻璃樣透明物質,蘇木精染色呈淺粉紅色,剛果紅染色呈磚紅色,在偏光顯微鏡下為蘋果綠色雙摺光現象,電鏡下可見由非分支的小纖維排列而成,澱粉樣纖維蛋白包括以下8種成分,其中以AL蛋白及AA蛋白為主要成分。
2、發病機制
(1)蛋白的過量產生:澱粉樣變性病可能與機體的免疫功能異常、蛋白質代謝異常和結締組織的變性分解有關,但現認為是由於一族蛋白質沉積所致,這組蛋白具有共同的特性,這些蛋白的過量產生有助其沉積,尤其在AL型澱粉樣變性病伴發多發性骨髓瘤患者。
(2)繼發性澱粉樣變性病:在繼發性澱粉樣變性病和家族性地中海熱,部分在急性期合成增加的血清AA阿朴脂蛋白可作為AA澱粉樣物質沉積;在β2-M引起的澱粉樣變性病,β2-M的血清水平增加,是由於產生過多或分泌或降解減少所致,但沉積與血清水平無關,而有文章認為β2-M的血清水平增加,足以在組織中積累引起澱粉樣變。
長程血透患者Aβ2-M沉積的可能發病機制如下:①尿毒症血透患者:尿毒症血透患者的腎功能喪失,腎小球濾出的β2-M減少,血β2-M蓄積升高。長期套用一般透析器作血液透析者,因銅仿膜及纖維素膜對β2-M清除極少。如換用PAN膜、聚碸膜或碳酸甲脂膜透析器,因對流清除Aβ2-M蓄量增加,且膜表面對β2-M的吸附增加,可使Aβ2-M清除增加,使血中β2-M水平降低。②透析液內毒素污染及透析膜作用:可激活單核巨噬細胞及淋巴細胞,致使細胞因子如白介素-1(IL-1)、腫瘤壞死因子(TNF)及轉化生長因子(TGF)產生增加,並釋放入骨基質和軟骨中,促使Aβ2-M在骨沉積而致病。它們促進骨質吸收作用比甲狀旁腺激素更大。
(3)分子生化特性變化:在一些澱粉樣蛋白,尤其是ASC蛋白或AE蛋白,由於單個胺基酸的替代,使得沉積蛋白不同於正常的相似物,因此認為沉積可能直接與由於肽順序的改變而引起的分子生化特性變化有關。在AL型澱粉樣變,沉積的輕鏈常是原輕鏈的水解片段,偶爾為原輕鏈。
(4)澱粉樣沉積媒介的突變和分解:由於澱粉樣沉積的可能媒介的部分突變和分解,在β2-M沉積中,所涉及的蛋白質比正常的β2-M更偏酸性和高級糖基化的特徵,糖基化β2-M可引起TNF-α、IL-1和單核細胞趨化呈短暫性升高。
(5)與氨基多糖和SAP蛋白一起沉積:確實所有的澱粉樣蛋白常與氨基多糖和澱粉樣P物質(即SAP蛋白)一起沉積。澱粉樣蛋白沉積的分子機制仍在研究中。
臨床症狀
澱粉樣變性病為一種全身性疾患,除有腎臟受累外,尚有其他臟器受累;由於受累的臟器不同,輕重程度及病變部位不同,故臨床表現亦不同;繼發性者由於基礎疾病不同,其臨床表現各異。亦有全身受累不明顯,而以腎受累為首發表現者。
1、腎臟的表現:超出3/4的澱粉樣變患者有腎臟病的表現,腎臟受累者的臨床表現分4期。
(1)臨床前期:患者在這個時期沒有任何自覺症狀及體徵,化驗結果亦無異常,僅僅在做腎活檢的時候才可以做出診斷。這個階段可以長達5~6年之久。
(2)蛋白尿期:蛋白尿是最早出現的症狀,在蛋白尿出現之前,已能從組織中檢查出澱粉樣物質,半數以上者主要為大分子量、低選擇性蛋白尿,數量因人而異。尿蛋白幾乎都是白蛋白,血清檢查發現球蛋白增加。尿中球蛋白增多,而且常常是本-周蛋白,一天內尿蛋白量亦可達20~30g。而且小球損害的程度和尿蛋白量之間無關。即使少量的澱粉樣物質沉積在腎小球,相反的亦能見到腎功能高度障礙時的蛋白尿,因此呈現腎病綜合徵的發病率也高。可表現為無症狀性蛋白尿,持續數年之久。鏡下血尿和細胞管型少見。最近統計伴高血壓者占20%~50%,體位性低血壓是自主神經病變的特徵表現。
體位性低血壓又叫直立性脫虛,是由於體位的改變,如從平臥位突然轉為直立,或長時間站立發生的腦供血不足引起的低血壓。通常認為,站立後收縮壓較平臥位時下降20毫米汞柱或舒張壓下降10毫米汞柱,即為體位性低血壓。
(3)腎病綜合徵期:在這個時期,出現大量蛋白尿、低白蛋白血症及水腫,高脂血症則比較少見,少數僅有長期少量蛋白尿。腎靜脈血栓是腎病綜合徵之最常見併發症,大多起病隱匿,表現為難治性腎病綜合徵,少數病例為急性起病,有腹痛、血尿加重、蛋白尿增多及腎功能惡化,腹平片或B超檢查發現腎臟較前明顯增大。腎病綜合徵由AA蛋白所致者占30%~40%,AL蛋白所致者占35%。一旦腎病綜合徵出現,病情進展迅速,預後差,存活3年者不超過10%。患者常因衰弱和慢性感染而早期死亡。
腎靜脈血栓:典型臨床表現包括:(1)腰脅疼或腹痛,可伴噁心、嘔吐等;(2)尿檢異常:鏡下血尿或肉眼血尿,可出現蛋白尿或使原有蛋白尿加重;(3)腎小球功能異常:雙腎或孤立腎急性在血栓形成可致少尿性ARF;(4)影像學檢查患側腎增大;(5)其它:如發熱、血白細胞增高、小管功能紊亂等。
難治性腎病綜合徵是指在足量激素治療8至12周以上病情仍未緩解的腎病綜合徵,該病症經久不愈可誘發嚴重感染、急性腎功能衰竭、血栓栓塞綜合症等致命的併發症,最終發展成為慢性腎衰竭,給病人造成巨大的身體負擔和經濟擔,甚至威脅生命。
(4)尿毒症期:繼腎病綜合徵之後,出現進行性腎功能減退,多達半數者有氮質血症,重症死於尿毒症。腎小管及腎間質偶可受累,後者表現為多尿,甚至呈尿崩症表現,少數病例有腎性糖尿、腎小管酸中毒及低鉀血症等電解質紊亂。由腎病綜合徵發展到尿毒症需1~3年。腎小球的澱粉樣沉積的程度與腎功能的相關性很差。
尿崩症:尿量超過3L/d稱尿崩。引起尿崩的常見疾病稱尿崩症。其特點是多尿、煩渴、低比重尿和低滲尿。
2、澱粉樣物質沉著:澱粉樣物質沉著在交感神經節和腎上腺可引起直立性低血壓,沉著在近端腎小管引起Fanconi症候群,沉著在遠端腎小管引起高鉀性腎小管酸中毒,沉著在髓質可引起腎性尿崩症。完整的診斷包括:澱粉樣變的定性、原發病、澱粉樣物質的類型、重要臟器受累程度、併發症五方面。
臨床診斷
1、臨床特點
(1)特點:在易引起繼發性腎澱粉樣變性的疾病中,出現蛋白尿、原因不明的腎功能不全、心功能不全、末梢神經障礙以及發病率不高的腎小管酸中毒、腎性尿崩症、肝脾腫大、小腸吸收不良、巨舌以及角膜晶體異常引起的視力障礙等情況下應疑及本病。
(2)γ球蛋白增高:以腎病綜合徵表現,而血漿蛋白電泳中的γ球蛋白>20%時,亦要疑及本病徵。
(3)詢問家族史:家族性因素及地理環境因素亦必須考慮,有必要時應詢問家族史。
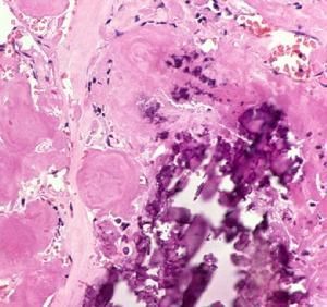
2、腎活檢:根據腎活檢做病理檢查,標本以剛果紅染色,一般光學顯微鏡足以明確診斷。
併發症狀
小兒腎澱粉樣變性可並發高血壓、體位性低血壓、低蛋白血症、多尿、腎性糖尿、代
小兒腎澱粉樣變性謝性酸中毒、低鉀血症、感染等,晚期發生尿毒症。可發生各系統的損害,並發心功能衰竭,繼發血管栓塞性併發症,並發出血及血栓等等。
1、高血壓:在未用抗高血壓藥情況下,收縮壓≥139mmHg和/或舒張壓≥89mmHg,按血壓水平將高血壓分為1,2,3級。收縮壓≥140mmHg和舒張壓<90mmHg單列為單純性收縮期高血壓。患者既往有高血壓史,目前正在用抗高血壓藥,血壓雖然低於140/90mmHg,亦應該診斷為高血壓。
2、體位性低血壓:體位性低血壓又叫直立性脫虛,是由於體位的改變,如從平臥位突然轉為直立,或長時間站立發生的腦供血不足引起的低血壓。通常認為,站立後收縮壓較平臥位時下降20毫米汞柱或舒張壓下降10毫米汞柱,即為體位性低血壓。
3、低蛋白血症:指血漿總蛋白質,特別是血漿白蛋白的減少。主要表現營養不良。
4、多尿:正常健康人24h尿量約1500~2000ml;如果24h尿量超過2500ml稱為多尿。
5、腎性糖尿:腎性糖尿(renalglucosuria)是指在血糖濃度正常或低於正常腎糖閾的情況下,由於近端腎小管重吸收葡萄糖功能減低所引起的糖尿的疾病。臨床診斷(按照Marble標準):(1)血糖正常或偏低。糖耐量曲線正常(口服葡萄糖耐量試驗正常或略有波動)。(2)尿糖陽性,一般每天尿糖量<30g,持續出現尿糖而不隨飲食波動。(3)尿中可檢出葡萄糖還原物質。(4)碳水化合物儲積和利用正常。(5)有陽性家族史,無糖尿病和既往腎臟病史。
6、代謝性酸中毒:代謝性酸中毒是最常見的一種酸鹼平衡紊亂,是細胞外液H+增加或HCO3-丟失而引起的以原發性HCO3-降低(<21mmol/L)和PH值降低(<7.35)為特徵。心血管系統方面的總的表現為各組織灌注減少,回心血量增加,心臟負擔加重。如果造成酸中毒的基礎疾病同時對心臟有影響,則上述因素可使心力衰竭出現。呼吸系統表現為呼吸加快加深,典型者稱為Kussmaul呼吸。胃腸系統可以出現輕微腹痛、腹瀉、噁心、嘔吐、胃納下降等。
7、低鉀血症:血清鉀濃度低於3.5mmol/L(3.5mEq/L),正常人血清鉀濃度的範圍為(3.5~5.5mmol/L)稱為低鉀血症。低鉀血症時,機體的含鉀總量不一定減少,細胞外鉀向細胞內轉移時,情況就是如此。但是,在大多數情況下,低鉀血症的患者也伴有體鉀總量的減少——缺鉀(potassiumdeficit)。神經肌肉系統常見症狀為肌無力和發作性軟癱,後者發作前可先有肌無力。心血管系統低鉀可使心肌應激性減低和出現各種心律失常和傳導阻滯。泌尿系統長期低鉀可使腎小管受損而引起缺鉀性腎病。內分泌代謝系統低鉀血症可有糖耐量減退,長期缺鉀的兒童生長發育延遲。消化系統缺鉀可使腸蠕動減慢。
8、尿毒症:尿毒症實際上是指人體不能通過腎臟產生尿液,將體內代謝產生的廢物和過多的水分排出體外,引起的毒害。尿毒症常見症狀有食慾消失、感覺遲鈍、情感淡漠、嗜睡、尿量減少、顏面和下肢水腫、貧血、皮膚瘍癢、肌肉痙攣,有時可以輾轉不安,甚至出現癲癇。
鑑別診斷
1、AL型澱粉樣變性病與多發性骨髓瘤的鑑別:AL型澱粉樣變性的骨髓檢查常表現為漿細胞計數增加,且兩者的澱粉樣蛋白均為AL型,使其一時很難與多發性骨髓瘤鑑別。如果骨髓漿細胞數少於25%,血或尿的存在少量單克隆蛋白,無相關的貧血、高鈣血症和溶骨性損害,則AL型澱粉樣變性的可能性更大。
2、AA型的各病因之間要注意鑑別。
(1)原發性澱粉樣變性病:男女比例為5∶2,男性發病年齡的中位數為63歲,而女性為59歲,40歲以前者甚少。常見體重減輕、虛弱和疲乏無力,多臟器受累常見。①腎臟受侵犯:最常見,為50%。②心臟受侵犯:常侵犯心臟(40%),引起心肌病變、心臟擴大、心律失常及傳導阻滯,可猝死,50%死於充血性心力衰竭及心律失常,為原發性AL蛋白型者的最常見死因。③胃腸道受累:常見,胃腸道黏膜受累可引起便秘、腹瀉、吸收不良及腸梗阻等症狀,黏膜下血管受累可伴發消化道出血,甚至大出血致死。舌受累出現巨舌,患者言語不清,吞咽困難,仰臥時巨舌後垂而發出響亮的鼾聲。胃受累時症狀如胃癌,反覆嘔吐難以進食。④自主或周圍神經受累(19%):表現為多發性周圍神經炎、肢端感覺異常及肌張力低下和腱反射低下;尺神經損害及周圍肌腱因澱粉樣物沉積表現為腕管綜合徵;可導致自主神經功能失調,表現為體位性低血壓、胃腸功能紊亂、膀胱功能失調或陽萎。老年患者中樞神經系統受累表現為痴呆。⑤骨髓受累:可引起代償性紅細胞增多症。⑥關節受累:表現為多發關節腫、痛,或由於骨受累表現為骨囊性變。⑦其他:肝損害為16%,皮膚紫癜為5%~15%。平滑肌及骨骼肌受累表現為肌無力。
(2)繼發性腎澱粉樣變性病:腎臟病的症狀常被原發病症狀所掩蓋,肝脾亦為主要受累臟器,肝、脾多腫大,肝區痛,重者肝功能減退、門脈壓升高,可出現腹水,黃疸罕見,多見於病程之晚期。此外,腎上腺亦常受累,病變以接近髓質的皮質層最為嚴重,腎上腺皮質腫大,常因腎上腺靜脈血栓形成而引起組織壞死,功能減退,表現為艾迪生病。
(3)遺傳性家族性澱粉樣變性病:遺傳性家族性澱粉樣變性綜合徵少見,其包括多種疾病,常見為家族性地中海熱(FamilialMediterraneanFever,FMF),屬常染色體隱性遺傳病,腎小球澱粉樣變性以蛋白尿(常為腎病綜合徵)和進展性腎功能不全為常見,常有反覆發作的蕁麻疹和耳聾症狀。其他有FinnishAmyloidosis等。遺傳性家族性澱粉樣變性病可分為腎病型、神經病變型和混合型。
(4)局限性澱粉樣變性病:局限性澱粉樣變性病是指澱粉樣病變僅見於個別器官或組織,如大腦、心血管、皮及尿道。前兩者多見於老年患者。
輔助檢查
實驗室檢查
1、血液檢查:血液生化檢查纖維蛋白原增加,血漿纖維蛋白原增加引起腎靜脈血栓,尿蛋白增多,亦有導致腎功能不全,約30%的腎靜脈血栓由本病徵引起。外周血發現Howell-Jolly小體,提示脾臟受累。
2、蛋白電泳檢查:2/3患者的血清電泳或免疫電泳可發現單克隆的異常蛋白,而尿檢查的陽性率可提高到86%,免疫電泳和免疫固定有時用來測定血或尿中的微量蛋白。血清蛋白電泳中r球蛋白正常,原發性澱粉樣變性M蛋白(單克隆性免疫球蛋白)高。免疫球蛋白濃度測定有助於多發性骨髓瘤的分型診斷,患者尿中有本-周蛋白,能與к鏈和γ鏈的抗血清起反應,而不能與任何一種免疫球蛋白的重鏈起反應。
3、血中SAA蛋白升高:測定血中SAA蛋白水平,AA蛋白由其前身SAA蛋白演變而來,血中SAA濃度升高提示為AA蛋白所致繼發性澱粉樣變性。在類風濕關節炎、潰瘍性結腸炎、結核、腫瘤,及慢性感染急性期時,SAA均升高且同時伴C反應蛋白升高,故SAA高低可用以區別感染是否活動期,SAA>0、2μg/ml見於活動炎症,感染控制後SAA水平降低。長程透析患者有骨病表現時,血中β2M異常升高可助澱粉樣變性的骨病診斷。
4、澱粉樣蛋白的胺基酸序列分析:澱粉樣蛋白的胺基酸組成及殘基的排列順序有助於鑑別AL蛋白和AA蛋白。
5、病理學檢查:病理學檢查是確診的最可靠方法。內臟穿刺活檢使生前診斷率大為提高。蛋白尿明顯者,腎臟活檢陽性率接近為100%。腎活檢後易出血,但不如肝活檢出血嚴重,故目前認為腎活檢較肝活檢更為可取,已成為診斷腎澱粉樣變性病的主要手段。活檢標本經5%高錳酸鉀處理後再進行剛果紅染色,AA蛋白對高錳酸鉀敏感,與剛果紅之親和力小,著色試驗為陰性,而AL蛋白與剛果紅之親和力大,著色試驗為陽性,故可用此法鑑別病變系由AA蛋白或AL蛋白所致,故有助於區分原發性與繼發性澱粉樣變性。
肝活檢陽性率低,僅為50%,有導致大出血的危險,應慎重。骨髓活檢的陽性率約為50%。直腸黏膜活檢取材要深,應包括黏膜的固有層,陽性率為73%。在AL、或AA型澱粉樣變性病,抽吸的腹壁脂肪亦可見澱粉樣蛋白沉積,診斷陽性率為70%~80%。其他可能的組織檢查部位有牙齦、皮膚(低敏感性)、胃黏膜和小腸,通過內鏡下刷擦細胞學和活檢,可提高胃檢查的陽性率,腕管放鬆後切除的滑膜組織是肯定陽性的,但通常這些組織不作診斷評價。
輔助檢查
1、X線腹部平片、超音波檢查如見腎影增大(特別是合併腎靜脈血栓時)可助診斷,但腎影大小正常或晚期腎影縮小,亦不能排除診斷。2、腎靜脈造影:有助於診斷腎靜脈血栓形成。
3、放射性核素掃描:已經套用來確定澱粉樣病,99mTc-dimercaptosuccinate(DMSA)可被近端腎小管重吸收,當腎小管及腎間質受累時,近端小管重吸收功能減退,對99mTc-DMSA的攝取減少,但缺少分析的敏感性而不用。套用123Ⅰ標記的血清澱粉樣P物質來診斷AA和AL型澱粉樣變,有很好的前景。有報導靜脈內注射放射性β2M來檢測包含β2M的澱粉樣變。
4、二維超聲心動圖:在確定心臟的澱粉樣變性有高的敏感性。
疾病治療
澱粉樣變的病因複雜,原發病較多,對於不同原因引起的澱粉樣變以及澱粉樣變累及重要臟器程度的不同,治療原則也應有所區別。去除病因及治療基礎原發病殊為重要。1、AL型腎澱粉樣變的治療:原先的治療原則主要是對症,現在的研究則著重於抑制或去除異常免疫球蛋白,以達到抑制澱粉樣纖維形成之目的。因AL蛋白由漿細胞生成,故目前主要是使用免疫抑制劑,一般認為環磷醯胺、苯丁酸氮芥、美法侖對緩解骨髓瘤有效,可使生命延長。單用腎上腺皮質激素不僅無明顯效果,相反可使腎臟損害加重。有人主張使用青黴胺、秋水仙鹼、二甲基亞碸、美法侖(左鏇苯丙氨酸氮芥),確切療效有待進一步研究。近年對激素、美法侖及秋水仙鹼的研究較多。
2、非AL型腎澱粉樣變的治療:AL型以外的腎澱粉樣蛋白引起的澱粉樣變,治療原發疾病如結核、慢性感染等,常可使臨床症狀好轉。近年對炎症性腸病並發腎澱粉樣變治療的研究有零星報導。Kullmann等報導1例54歲的克羅恩病患者,以腎病綜合徵為首發症狀,給予硫唑嘌呤免疫治療不僅腎功能惡化,而且尿蛋白也不減少,然後發生了腎性高血壓。Menges等報導,一位20歲的潰瘍性結腸炎患者,繼發腎臟澱粉樣變,表現有腎病綜合徵,全身水腫,在潰瘍性結腸炎常規治療的基礎上,使用小劑量秋水仙鹼後,尿蛋白從10g/d下降到3g/d左右,全身水腫完全消除。
3、腎澱粉樣變發生急進性腎小球腎炎的治療:腎澱粉樣變發生急進性腎小球腎炎的治療與原發性。腎小球疾病急進性腎小球腎炎類似,早期診斷並及時治療至關重要,主要治療措施也是激素衝擊治療、免疫抑制劑衝擊治療及血漿置換等。Watanabe等報導1例47歲女性患者患類風濕性關節炎20年後發生腎臟澱粉樣變,表現為腎病綜合徵及急進性腎小球腎炎,血清澱粉樣A蛋白濃度為83、9mg/ml,抗核抗體陽性,但抗白細胞胞漿抗體、循環免疫複合物及抗腎小球基膜抗體均陰性,腎臟組織檢查顯示嚴重壞死性新月體腎炎伴AA型澱粉樣纖維沉積。在透析治療期間給予皮質激素衝擊治療,並頻繁進行血漿置換,臨床症狀迅速好轉。報導者認為對該患者進行血漿置換療法不僅有助於清除自身抗體,而且亦有助於清除參與血管炎及腎小球炎症反應的細胞因子,而皮質激素則可以抑制浸潤的細胞產生炎症細胞因子。Moroni等報導3例澱粉樣變患者病程中發生急進性腎小球腎炎,病理檢查發現腎臟大量新月體形成與腎臟澱粉樣變重疊。在甲潑尼龍衝擊治療的基礎上,給予免疫抑制劑及皮質激素口服製劑。2例患者獲得部分腎功能恢復;另1例患者因為骨關節發生化膿性感染於開始治療後的數天內停止激素治療,腎功能繼續惡化,最後進行血液透析治療。他們認為,在腎臟澱粉樣變的基礎上可以重疊毛細血管外腎小球腎炎,對這類患者早期診斷後及時治療仍可獲得某種程度的臨床緩解。
4、澱粉樣變並發出血及血栓形成的治療:某些AL型澱粉樣變患者可發生出血傾向,與澱粉樣物質在血管壁沉積破壞血管壁、凝血機能下降[繼發性凝血因子X減少、循環肝素樣抗凝物質(circulatingheparin-likeanticoagulants)增多及纖維蛋白溶解功能亢進有關。繼發性凝血因子X減少可能是由於該因子被沉積於組織中的澱粉樣纖維非特異性吸附所致。血漿輸注可以暫時緩解特發性澱粉樣變患者的凝血功能,但維持時間較短。最近,Beardell等研究提示血漿置換可以有效而較持久地改善澱粉樣變繼發性凝血因子X減少患者的凝血功能。澱粉樣變繼發血管栓塞性併發症時,全身給予抗凝治療有效。
5、對症治療
(1)腎病綜合徵:呈腎病綜合徵表現時,可予以利尿劑,高蛋白飲食。
(2)腎靜脈血栓:合併腎靜脈血栓時,應避免血容量的減步和脫水。腎上腺皮質激素的效果有待證明,其副作用和合併症亦需考慮,但是作為治療本病徵原發疾患,腎移植前的處置及合併腎上腺皮質功能不全時仍應給予。當出現腎功能不全時,按一般腎功能不全的療法進行治療。
(3)腎功能衰竭:腎功能衰竭時可進行血液淨化透析治療及腎移植術,出現腎功能不全患者可考慮用此方法,可提高患者的生存率。原發病或致澱粉樣變因素不除,移植腎同樣可發生澱粉樣變。慢性腎功能衰竭維持性血液透析的患者,血液β2微球蛋白的清除率低,長期高β2微球蛋白血症,可並發血液透析相關性澱粉樣變。使用高相容性高流量透析對β2微球蛋白的清除率及吸附率高於普通血液透析。
6、特殊療法:對家族性地中海熱可用秋水仙鹼較長期地(2~3年)預防性治療,可以降低其發作次數,1、2~1、8mg/(kg·d),分2~3次靜脈緩慢滴注,可用25%葡萄糖在生理鹽水40ml稀釋。發作次數減少後還要繼續給藥,每天維持量為0、6mg。由於本藥除了可引起短暫腹瀉外,還可使常染色體畸變,精子缺乏,骨髓抑制及精神抑鬱症,故應慎用。本療法只用於活動量顯著受限的病兒。此外用二甲亞楓(Dimethylsulfoxide)治療已有取得臨床症狀及腎功能改善的報導。
預後
該病徵預後不良,有待新療法對預後有所改觀。生存期與原發病及重要臟器(心臟、胃腸道、神經系統及腎臟)受累的程度有關。Rajkumar等的研究結果提示,原發性澱粉樣變伴神經系統損害的患者,進行性澱粉樣變是引起這些患者死亡的最常見原因,血清白蛋白濃度較高(>30g/L)的患者存活時間較長,現有的治療措施不能改善其預後。
一般認為,AL型澱粉樣變患者伴有心功能或腎功能衰竭者預後最差。但Goldsmith等報導1例46歲的男性患者,腎臟AL型澱粉樣變表現為嚴重的腎病綜合徵,存活時間達21年以上。該患者在確診後先接受強化化療,發病10年後進入終末期腎衰竭,然後成功地接受了屍體腎移植,腎存活達10年以上,仍無顯著腎臟及系統性澱粉樣變的表現。Jadoul等報導1例患者在成功地進行了腎臟移植10年後,其腕部澱粉樣變的病理變化仍無顯著改善。提示透析相關性澱粉樣變即使在成功地進行腎臟移植後,原先形成的澱粉樣病變也不易消退。
