病因
老年人腎病綜合徵老年人腎病綜合徵中繼發性腎病綜合徵發生率高其中以腎澱粉樣變最高約占全部老年患者腎病綜合徵的15%,其次是各種腫瘤,也常引起老年人繼發腎病綜合徵,如胃腸道腫瘤淋巴瘤白血病肺癌發生率為11%還有其他疾病,如老年糖尿病腎病、B型肝炎,某些藥物(非特異性消炎藥、金製劑青黴胺),血管炎、冷球蛋白血症巨球蛋白血症等在原發性腎病綜合徵中病理分型以膜性腎病最為常見。據國外80年代的資料分析:膜性腎病占36.5%,微小病變占19.4%,各類增殖性腎炎占15.3%局灶性腎小球硬化占7.7%,其他類型少見
發病機制: 腎小球疾病的病因還未完全闡明,它們發病機理也不盡相同但可以認為免疫因素是它們致病的主要機制。
臨床表現
老年人腎病綜合徵1.水腫 呈全身性、體性、可凹性水腫初期多見於踝部,晨起時眼瞼、面部水腫,隨著病程發展,水腫可至全身並出現胸腹腔及陰囊積液甚至心包積液老年患者水腫嚴重時可發生心衰
2.大量蛋白尿 尿蛋白>3.5g/24h嚴重者達十幾克,呈選擇性或非選擇性蛋白尿
3.低蛋白血症 血漿總蛋白降低主要是血漿白蛋白降低。大多在10~30g/L(1~3g/dl),偶有降至5.8g/L(0.58g/dl)
4.高脂血症 大部分患者血中膽固醇磷脂及三醯甘油均可升高這4點中,大量蛋白尿和低蛋白血症作為診斷的必備條件。
併發症
老年人腎病綜合徵1.感染 老年人患腎病綜合徵時因機體免疫力在激素作用下明顯下降,易出現感染,且感染起病隱襲,臨床表現不典型,本徵也易引起泌尿系感染但尿中出現有核細胞時不要輕易診斷泌尿系感染。應做尿培養以區別是否是細菌感染注意糖皮質激素常加重細菌感染特別是結核菌感染的易感性。套用細胞毒類藥物,則加重病毒的易感性。感染的部位多為肺部腹部、腦膜及下泌尿道一旦感染出現應及時選用敏感、強效及無腎毒性的抗生素治療。對老年人可以採取預防措施。如注射疫苗及高免疫血清球蛋白。
2.血栓、栓塞 此乃本徵嚴重的致死性合併症之一,已公認腎病綜合徵時,存在高凝狀態,這與本徵凝血、抗凝及纖溶的變化有關加以低蛋白、高脂血症所致血液濃縮,血液黏稠度增加使本徵時凝血血栓形成傾向更嚴重強利尿劑及長期大量糖皮質激素加重這一傾向血栓栓塞的發生率占腎病綜合徵的8%~50%其中以腎靜脈血栓(RVT)最多見,膜性腎病可達患者之50%或更多可發生嚴重的蛋白尿血尿甚至腎功能不全其次是肺動脈和肺靜脈的原位血栓形成。周圍靜脈好發於下腔深靜脈血栓及下肢深靜脈,成人發生率6%,表現為下肢腫脹。老年人腎靜脈血栓形成下肢靜脈血栓形成以及肺栓塞的發生率較年輕人明顯增多。
3.腎功能損傷
(1)特發性急性腎功能衰竭:本病發病機制至今尚不明多發生於腎病綜合徵起病1個月左右,無任何誘因突發少尿血尿、腎功能急驟惡化,給予膠體液擴容不僅不能達到利尿效果,反而引起肺水腫。常需透析治療。能自然緩解、恢復需7周左右這一急性腎衰多發生在50歲以上患者。病理上呈瀰漫性間質水腫腎小管上皮細胞變性壞死。脫落伴再生,腎小球病變很輕,85%以上為輕微病變因病人多為中老年人常伴小動脈透明樣變及彈力層擴張本病需與下列疾病相鑑別:①急進性腎炎;②非固醇類消炎藥引起的急性間質性腎炎,可有腎病綜合徵表現,常伴有全身及腎臟過敏表現;③因感染用藥引起急性腎小管壞死;④腎病綜合徵並發雙腎靜脈主幹大血栓引起的急性腎衰排除以上原因後方能診斷。
(2)急性腎前性腎功能衰竭:主要因血容量不足通常與嚴重的低蛋白血症和過度使用強利尿劑有關呈少尿無尿伴血容量不足表現(四肢厥冷體位性血壓下降,脈壓小,血液濃縮血細胞比容上升)。此時輸入血漿或擴容藥進行治療。
(3)腎小管功能損害:可引起糖尿高磷酸尿丟失鉀和丟失碳酸氫鹽。有此症狀者對糖皮質激素效果差,長期預防也差。
診斷
老年人腎病綜合徵各種病理類型的腎病綜合徵有著不同的症狀特點和病因:
1.微小病變型 占老年腎病綜合徵25%臨床表現中伴有舒張期高血壓和血肌酐超過正常值,高於成年人而血尿少於成年人,原發性較多
2.膜性腎病 占老年腎病綜合徵70%膜性腎病型常與腫瘤和某些藥物(金製劑青黴胺)有關。腫瘤多與肺腫瘤、胃腸道腫瘤、淋巴瘤白血病有關。臨床症狀無特殊。
3.腎澱粉樣 大部分是原發性澱粉樣變,少數繼發於多發性骨髓瘤和慢性疾病如類風濕關節炎。澱粉樣變可以波及全身時可出現牙齦或直腸的剛果紅染色陽性且預後較差,無有效治療方法。常於診斷後14個月內死亡。
典型的腎病綜合徵臨床診斷並不困難,但由於老年人腎臟的老化改變以及其他系統性疾病可掩蓋某些腎病綜合徵的表現,使其變得不典型實際上做出準確的診斷的是不容易的因此為了明確腎病綜合徵的病因並確定適宜的治療方案許多學者認為有必要進行腎組織活檢,但因為腎臟老化改變有時必須結合臨床資料進行分析。
鑑別診斷: 須與繼發性腎病綜合徵相鑑別。
檢查
老年人腎病綜合徵2.血清蛋白電泳測定 主要表現為白蛋白的降低,α2及β2球蛋白增高γ球蛋白正常低限或降低。
3.尿C3測定 尿中C3含量增加,主要見於增殖性及硬化性病例在腎病綜合徵的鑑別診斷中有參考價值。
4.尿纖維蛋白降解產物測定(FDP) 本檢查對腎病綜合徵的類型及選擇治療方案有一定幫助微小病變時,尿FDP<1.25µg/ml者占大多數而增殖性腎小球腎炎者多數>1.2µg/ml,如果尿FDP>3µg/ml,持續不降低,提示病變活動性較強
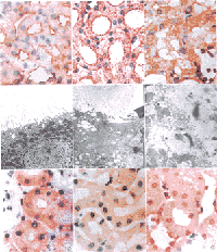
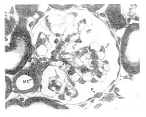
其它輔助檢查: 腎穿刺活組織檢查:該檢查可以為確定腎病綜合徵和病理類型提供形態學診斷並對治療方案確定的及估計預後有著指導性意義。
相關檢查: 尿纖維蛋白降解產物 甘油三酯 白蛋白 紅細胞果糖1,6二磷酸 肌氨酸酐 蛋白定量(尿) 血清蛋白電泳
治療
治療(1)一般處理:
①腎病綜合徵時應以臥床休息為主,臥床可增加腎血流量、尿量增加預防交叉感染。但也應適當床旁活動避免肢體血栓形成。當症狀有所改善後可適當增加活動這樣有利於降低血脂減少合併症但如有尿蛋白增加需減少活動
②飲食治療,應進易消化、吸收的清談半流飲食因腎病綜合徵病人水腫時常伴有消化道黏膜水腫消化功能受影響,在飲食成分中應注意。
A.鈉鹽和蛋白質的攝入:如水腫明顯時應低鹽飲食每天攝取食鹽2~3g,不要食醃製的食品儘量少用味素及食鹼對蛋白質的攝入。按每天約1.0g/kg加上尿中丟失蛋白質量攝取。這樣即補充了丟失的蛋白質,還能使病人的肝臟去合成蛋白質能力增強的狀態下增加蛋白質的合成。
B.脂肪的攝入:腎病綜合徵的病人一般常有高脂血症,所以攝入的飲食應少含脂肪酸,富含多聚不飽和脂肪酸(紅花油芝麻油、玉米油和魚油)和含膽固醇較低的素食燕麥、米糠有利於降脂。
(2)對症治療:
①水腫的治療:除限鈉攝入和臥床休息外可適當套用利尿劑
A.滲透性利尿:靜脈注射高漲葡萄糖和果糖或靜脈滴注腎小管不能回收的外源性物質,如低分子右鏇糖酐和甘露醇機制是使更多的溶質和水分到達腎小管使腎小管內滲透壓升高達到增加尿量的目的。但是尿量不足400ml/d時應慎用,以免引起滲透性腎病導致急性腎功衰竭。
B.抑制電解質的重吸收:主要是抑制鈉鉀離子在腎小管的回吸收。如噻嗪類利尿劑,常用氫氯噻嗪(雙氫克尿噻)25~50mg,2~3次/d,對多數患者有利尿作用呋塞米(速尿)等強利尿藥口服肌內、靜脈注射利尿效果更好。用此類藥物注意低血壓
C.抗醛固酮類藥物:醛固酮增多是腎病水腫的一個因素。故可用螺內酯(安體舒通)抑制醛固酮利尿
D.血漿製品:嚴重的低蛋白血症患者,致體位性低血壓和低血容量而產生的難治性水腫、少尿套用人體白蛋白或血漿能暫時增加血容量和滲透壓,有很好的利尿效果特別於輸液結束時給予襻利尿劑如呋塞米(速尿)更能增強利尿效果值得提出的是不能將血漿製品作為營養品及利尿劑使用,因在輸入後24~48h內即全部由尿液排出。而且還增加腎臟負擔降低類固醇的療效。輸入人血白蛋白過多還可引起腎小管上皮細胞損傷導致“蛋白質超負荷腎病”特別是老年人或心功能不全者輸入過快,過多的人血白蛋白,可能有導致左心衰竭的潛在危險
②高脂血症的治療:以往對降脂治療重視不夠,認識到高脂血症使血液黏稠度增加。易形成血栓加速冠心病發生。同時高脂血症能刺激腎小球系膜細胞增生,促進腎小球硬化因此除飲食注意外降脂藥有重要意義
降脂治療有以下藥物:
A.羥甲基二酸單醯輔酶A(HMG-GoA)還原酶抑制劑:主要是阻斷肝臟合成膽固醇這類藥包括洛伐他汀20~80mg/d配合飲食治療,可以增強該藥的療效。根據近6年的套用結果,認為上述藥物是比較合理、安全的一類藥物。此類藥與膽酸結合劑可以聯合使用。但不能與貝特類藥物並用否則將引起嚴重的橫紋肌溶解症。
B.膽酸結合樹脂:降膽固醇,對降三醯甘油無效,一般不單獨使用,如考來烯胺(消膽胺)。
C.用雙濾器血漿置換清除血漿中高血脂有助於治療“激素抵抗型”腎病綜合徵降低蛋白質
(3)腎病綜合徵時併發症的處理:
①感染:腎病綜合徵易發生感染特別是對於老年人患者可以採取預防措施,如肺炎球菌疫苗及注射高免疫血清球蛋白但預防用應在腎病緩解期進行,看法不統一。一旦發生感染,應及時選用敏感、強效及無腎毒性的抗菌藥物治療
②急性腎功能衰竭:特發性急性腎衰治療
A.積極治療基礎病。
B.血液透析,減輕組織及腎間質水腫,幫助度過少尿或無尿難關
C.套用髓襻利尿劑,有效者積極給予
D.碳酸氫鈉、鹼化尿液,以減少管型形成
③血栓形成:抗凝治療可阻止血栓擴展方法:肝素25mg靜滴或皮下注,1次/4~6h長期抗凝時用雙嘧達莫(潘生丁)300~600mg/d,或阿司匹林40~80mg/d還可以用尿激酶或鏈激酶。注意防止出血應密切觀察。
2.糖皮質激素細胞霉類藥物
(1)糖皮質激素:此類藥物的抗免疫及抗炎症作用如下:
①對單核巨噬細胞及T淋巴細胞的抑制效應要比對B淋巴細胞作用強
②較大劑量時抑制B細胞產生抗體並促進抗體的分解代謝從而抑制抗原抗體反應
③小劑量即可抑制磷脂酶A2及花生四烯酸代謝,從而抑制磷脂酶的活性,減輕炎症反應;同時此類藥物通過抗醛固酮及抗利尿激素的作用而有利尿的功效常用的激素口服的有潑尼松(強的松片)潑尼松龍(強的松龍片)曲安西龍(阿塞松片)等靜脈點滴的有甲潑尼龍(甲基強的松龍)。要提高糖皮質激素的療效減少副作用,臨床上應注意:
A. 潑尼松(強的松)的用法:①起始用量要足潑尼松(強的松)40~60mg/d共服6~8周,效果不明顯可延長至12周②減藥速度要緩慢,一般有效病例,每2~3周減去原用量的5%~10%當減至每天20mg左右時容易反跳,宜謹慎觀察;③維持時間要長久,每天5~10mg或隔天10~20mg維持6個月或更久
B. 甲潑尼龍(甲基強的松龍)的衝擊治療:難治性腎病綜合徵、狼瘡性腎炎急進性腎炎,是衝擊治療的適應證用藥方法:甲潑尼龍(甲基強的松龍)0.5~1.0g溶於5%葡萄糖液中,靜脈滴注每天或隔天1次3天為1個療程1周后開始第2個療程,一般不超過3個療程注意感染水鈉瀦留、高血糖、心臟等嚴重併發症老年人腎病綜合徵患者在使用該類藥物時更宜慎重,因為更易出現藥物副作用。應根據病因及病理類型選擇套用並儘量個體化,老年人用類固醇激素常發生白內障及其他併發症如肺栓塞腦血管病潰瘍穿孔等骨病也時有發生患精神病的危險也增加,據Bolton的經驗,隔天頓服潑尼松(強的松)能降低併發症的發生率還推薦老年人潑尼松(強的松)的劑量應減少一般劑量的25%。
(2)細胞毒類藥物(免疫抑制劑):此類藥單獨用於治療腎病綜合徵療效不如糖皮質激素但與糖皮質激素合用治療難治性,腎病綜合徵可有輔助作用常用藥物有環磷醯胺氮芥(鹽酸氮芥)
①環磷醯胺(CTX)適應證:復發的腎病綜合徵、難治性腎炎、狼瘡性腎炎用法,用量100~150mg分2~3次服用,或200mg靜脈隔天注射總量6~8g。副作用:胃腸反應、骨髓抑制肝損害脫髮出血性膀胱炎,還可出現性腺抑制(尤其男性)。大量用環磷醯胺(CTX)遠期副作用可能引起膀胱纖維化,甚至發生腫瘤,故用藥期間應定期複查血常規肝功能每周或每2周1次。
②氮芥:1949年開始用於腎病綜合徵有效率20%~30%適應證與環磷醯胺(CTX)相同用法第1次為1mg隔天注射1次每次加1mg直到5mg然後按每周2次注射,積累量為1.5~2mg/kg。副作用:除胃腸道反應、靜脈炎以外尚有骨髓抑制,而肝毒性較輕該藥療效佳但副作用較嚴重注意使用中注射完畢要續滴液體,沖洗血管以防靜脈炎
(3)其他免疫抑制劑:環孢素(Cyclosporin A,CsA) 環孢素(CsA)為11個胺基酸環狀多肽,是一種強效的免疫抑制劑抑制T輔助淋巴細胞產生白細胞介素α及其他一些細胞因子增強腎小球基膜電荷屏障作用,使尿蛋白漏出減少。適應證:難治性腎病綜合徵。用法:每天劑量4~5mg/kg分2次服,起效在1~2周內,一般3個月後緩慢減量療程6個月左右。副作用:肝、腎毒性高血壓、高尿酸血症、多毛、齒齦增生高血鉀、震顫等。另外該藥較昂貴霉酚酸酯(驍悉),也是一種免疫抑制劑主要機理是抑制T淋巴細胞和B淋巴細胞對有絲分裂原和同種抗原刺激引起的增強反應使之處於靜止狀態。並可以抑制B淋巴細胞抗的產生細胞間的粒附和白細胞的趨化。用於難治性腎病的綜合徵劑量:1.0~2.0mg/d,分2次空腹服用3~6個月後藥量減半。
(4)其他降尿蛋白的藥物:
①雷公藤:該藥主要能抑制免疫,特別是細胞免疫用量10~20mg3次/d。還有雷公藤總甙片,副作用較輕一般有性腺抑制胃腸反應,肝損害及白細胞減少停藥後可恢復
②血管緊張素轉換酶抑制劑(如卡托普利貝那普利):這類藥擴張腎小球動脈,減低腎小球內高壓而減少尿蛋白,卡托普利每天25~75mg分3次服,可長期服用較安全,但合併腎功不全時用藥注意高血鉀
③非甾體消炎藥(吲哚美辛布洛芬等):該藥是通過抑制前列腺素的合成減少腎臟局部的炎症和通透性但由於使腎的流量減少,對腎不利故現已少用,必要時僅適用於短期套用
④靜脈免疫球蛋白:治療膜性腎病引起的腎病綜合徵的用量400mg/kg連用3天間隔3周重複3次然後每隔3周用藥1次共10個月可使尿蛋白完全或部分緩解。
⑤抗血小板聚集藥物及抗凝治療,此類藥物治療無肯定結果雙嘧達莫(潘生丁)每天300mg分3次服或靜脈滴注3個月有一定效果
⑥免疫刺激激劑:左鏇咪唑凍乾卡介苗治療難治性腎病綜合徵常與激素合用療程較長(3個月之多)
3.擇優方案 腎因老年性腎病綜合徵的病因很多,治療方案很多也不相同應注意以下幾個方面:
(1)原發性的腎病綜合徵或腎穿刺診斷為微小病變型:治療上和成年人的治療相同,採用激素經典治療法既用潑尼松(強的松)按1mg/(kg·d)口服早晨頓服服用6~8周如尿蛋白轉陰,有效果者(用藥後1周左右出現利尿作用2周左右尿蛋白減少),逐漸減量無效者可延長至12周,每2~3周減少5~10mg減至每天10~15mg可以改為隔日頓服維持6~12個月加其他治療方法。
①利尿:水腫嚴重者可靜點低分子右鏇糖酐250~500ml,加呋塞米(速尿)20~100mg水腫較輕者可口服氫氯噻嗪(雙氫克尿塞)25mg,3次/d加螺內酯(氨體舒通)20mg3次/d口服
②抗凝治療:呈高凝狀態者肝素20~50mg加入5%葡萄糖液250ml靜點1次/d。1~2周查凝血時間療程1~2周,以後口服抗凝藥6~12個月。如出現復發,激素依賴,激素耐藥(無效)可加用免疫抑制劑環磷醯胺200mg加入0.5%生理鹽水40ml靜脈注射,然後按0.9%生理鹽水500ml滴注水化治療。減少藥物血管的副作用環磷醯胺的用法每周3次總量6~8g也可以每周靜點1次400~600mg/次,總量不變使用時定期1~2周複查,肝功血常規
(2)腫瘤引起腎病綜合徵或膜性腎病型者:①基礎疾病的有效治療包括控制感染,手術或化療消除腫瘤解除相關藥物的影響是治療中的重要環節。②對合併症的治療不容忽視如控制血壓、消除水腫糾正低蛋白血症和腎功能不全可用血管緊張素轉換酶抑制劑(ACEI)和血管緊張素Ⅱ受體拮抗劑不僅可以控制高血壓,也可減少尿蛋白③糖皮質激素與細胞毒藥的聯合套用幾項治療報導結果不一。國外的治療結果表明單獨套用激素或免疫抑制劑效果不佳。1995年美國的前瞻性調查提示糖皮質激素與細胞毒藥物聯合套用可使膜性腎病的腎病綜合徵得以改善,同時還有保護健側腎功能的作用方法:隔天潑尼松(強的松)2.0mg/(kg·d),8周后每周撤下25%(4周撤完) 潑尼松(強的松)1mg/kg隔天頓服8周然後4周內撤完加環磷醯胺0.5~1.0g/m2每月1次靜脈點滴共6個月如果效果不佳,還可以改用環孢素治療4~6mg/(kg·d)療程12周。另外,除環磷醯胺外還有苯丁酸氮芥0.2µg/(kg·d)服1個月與激素交替使用,半年1個療程。④其他治療如抗凝抗血小板藥物免疫球蛋白和中藥都可以套用於臨床但作用有待進一步探討
(3)糖尿病腎病B型肝炎免疫複合物引起的腎病綜合徵不適合用糖皮質激素治療,因曾有人試用類固醇激素治療在減少尿蛋白上雖可獲短期效果但多數無效治療上主要以治療原發病為主。糖尿病腎病方面:①降低血糖使用對腎臟無影響的降糖藥物。②降低血壓減少尿蛋白保護腎功能,使用ACEI類的藥物,如貝那普利(洛丁新)10mg/d口服③利尿適當輸入白蛋白B型肝炎免疫複合物腎炎主要以治療B型肝炎為主可以用抗病毒治療如干擾素α阿糖腺苷及元環島苷激素可延遲抗體產生,促進HBV複製,而加重病情。故用激素時必須慎用。
(4)藥物引起的腎病綜合徵,腎臟病是急性間質性炎症,腎小球正常一般停藥後能改善症狀,可以用中量的潑尼松(強的松)治療,0.5mg/(kg·d),1個月後逐漸減量,3個月減完
4.康復治療
(1)適當加大活動程度增強機體抵抗力
(2)注意飲食中蛋白的攝入量適中不可過多,也不可過少,過多可增加腎臟負擔加速尿中蛋白排泄誘發腎病綜合徵的復發過少會出現營養不良,不利於本病的恢復。
(3)定期對病人進行複查,項目有尿常規、血脂、血漿蛋白觀察病情恢復情況避免復發的病人漏診。
(4)對適當採用中草藥治療,在康復期是否一定有效沒有文獻明確報導。作者認為服用扶正的中草藥會對疾病的恢復有益處。
(5)病情穩定後還要進行一級預防
(6)本病易復發應注意讓患者增加戰勝疾病的信心樂觀對待避免情緒波動,戒酒避免過勞。
預後預防
預後: NS預後的個體差異很大。決定預後的主要因素除病理類型外,臨床因素如大量蛋白尿、高血壓和高血脂均可促進腎小球硬化,上述因素如長期得不到控制則成為預後不良的重要因素。另外反覆感染血栓栓塞併發症也常影響預後。
預防: 1.一級預防
(1)適當活動穩定情緒,以增加機體免疫力及抗病能力。
(2)避免受涼、受濕或過度疲勞。
(3)預防感冒以免誘發本病
(4)避免使用對腎臟有害的藥物
(5)定期進行有關項目的複查。
2.二級預防
(1)患上感冒及時用藥治療。
(2)及時治療全身各部位的感染。用藥時注意藥物過敏,以免誘發加重本病
(3)如果尿中已出現蛋白尿。應及時查明原因並進行治療,病情穩定時要定期複查,尿常規、血脂、血漿蛋白、血壓
(4)對已有腎功能衰退的時期儘量少用經腎排出的藥物以免引起藥物蓄積,致藥物中毒,加重腎臟損害。
3.三級預防 是以治療手段為主對原發病進行積極的治療減輕疾病對腎臟的損害。
