概述
發病原理大組老年人急性腎炎統計發現新月體型快速進行性腎小球腎炎常見有特發性Goodpasture病WEGNER肉芽腫系統性血管炎等。腎活檢發腎小球基底膜有免疫複合物線條狀沉積,顆粒狀沉積或沒有沉積臨床需考慮這種類型因需和急性腎小管壞死鑑別。
傳統認為老年人常有高血壓、動脈硬化等腎穿刺易致出血腎功能惡化危險性較大但通過X線、超音波定位,用新的穿刺針在腎下汲取小條組織,手術迅速又準確,損傷性小,大組穿刺病例顯示用以上技術在老年人發生嚴重併發症甚少,是安全的老年人腎穿刺為不明原因急性腎功能衰竭,迅速出現腎功能減退,尿檢有活動性異常、大量蛋白尿腎病綜合徵等。
流行病學
老年人急性感染後腎炎傳統認為急性腎小球腎炎主要發生在兒童及青壯年但老年人急性腎小球腎炎雖發病率不高,也時有發生。多半鏈球菌感染或其他細菌感染導致皮膚感染較青少年多見。此病世界各地均可發病與生活和工作環境等衛生條件有關條件越差發病率越高在中國,北方病人約90%有上呼吸道感染,故春冬季多見南方不少病人發生於膿瘡病以後,多見於夏季。有報導,55歲以上占12.2%40歲以上10%提示各年齡均可發病男女比例2∶1。
病因
症狀發病機制
原理(1)本病屬於免疫複合物型腎炎,用免疫螢光方法可在腎小球上查見不規則的顆粒狀沉積物(內含IgGC3備解素及微量C1q和C4)。電鏡下可見此免疫複合物呈駝峰狀沉積於基底膜外,均從組織學上證實了免疫複合物存在。
抗原(鏈球菌某種成分)抗體(免疫球蛋白)形成免疫複合物本病患者急性期時常可測到血循環中免疫複合物(CIC)抗原、抗體量接近平衡而且抗原量稍過剩時即形成大小適度的可溶性免疫複合物,在通過腎小球基底膜時滯留並沉積下來另有學者認為鏈球菌抗原成分能與血液中的纖維蛋白原相結合,而形成較大分子量的可溶性複合體,沉積於腎小球系膜區,引起該細胞炎症反應。
鏈球菌抗原的某些帶陽電荷成分,可通過電荷反應與腎小球結構相結合而形成“種植抗原”;MSAP可通過與腎小球上鏈激酶C受體相結合而“種植”;而ESS(P15.7~5.9)則可能通過類似植物血凝素的作用機理與GBM上某種糖蛋白相結合,這些種植抗原均可導致原位免疫複合物形成。
(2)自體免疫在急性腎炎發病中的作用:這一可能性一直被人們關注但缺乏有力的證據。有報導在2例具有本病典型臨床及病理診斷的急性腎炎病人中,查到血清DNA與抗DNA(單鏈及雙鏈)免疫複合物且抗DNA抗體滴度升高。又有報導本病患者血中鏈球菌神經氨酸酶(streptococcal neuraminidase)活性及游離神經氨酸(neuraminic acid即游離唾液酸)的水平均升高表明致病鏈球菌的神經氨酸酶可使唾液酸從血液免疫球蛋白或組織(包括腎小球)中釋放,導致自身免疫,或使正常IgG的抗原決定簇暴露進而形成抗自身IgG的抗體(圖1)
圖1(3)低補體血症:早在1914年Gunn已發現4例急性腎炎患者呈低補體血症1935年Kellett進一步指出急性腎炎時的低補體血症是抗原抗體反應的結果;此外,鏈球菌的菌體外毒素可以直接通過旁路途徑激活補體;nsap在腎小球血流中激活纖維蛋白酶原,形成纖維蛋白酶,後者可通過旁路途徑激活補體引起炎症過程。
急性腎炎起病後血液中CH50、C3及C5均明顯下降,於6~8周恢復正常;C1q及C4稍有下降,其下降程度較C3輕,且很快恢復正常;B因子正常;血解素水平明顯而持久地下降,恢復竟比C3慢套用免疫螢光技術證實急性腎炎患者腎小球上有較大量的C3及備解素沉積,因此,大部分作者認為本病補體主要是按旁路途徑激活,稱之為“旁路疾病”(alternative pathway disease)。但亦有人認為2種激活途徑均可能存在於不同病人中。本病患者血清中含有激活。
並消耗補體的物質引起低補體血症研究工作證實C3NeF是C3轉化酶的抗體故與本病補體旁路途徑激活的啟動有關。
補體系統激活後引起系列免疫病理改變特別是上皮下免疫複合物激活補體後形成的C5b-9(膜攻擊複合物),在急性腎炎的發病中起著重要作用。
(4)免疫介導的炎症反應:免疫複合物特別是沉著在內皮下及系膜區能與循環中的細胞相接近的免疫複合物,可以通過免疫及化學的機制吸引循環中的炎症細胞(中性白細胞、單核細胞),這些炎症細胞及病變的腎小球細胞又可以產生一系列炎症介質如細胞因子、蛋白酶類及活化氧化代謝產物等引起腎小球炎症變。1次致腎炎鏈球菌株感染後形成的免疫複合物沉著,腎小球尚有能力清除(主要通過系膜細胞吞噬作用)中斷上述免疫-炎症的惡性循環,使急性腎炎病變呈自限性
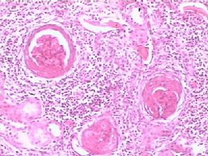
2.病理改變 大體標本顯示雙側腎臟明顯腫大可達正常人的2倍。光滑但呈灰白色故稱大白腎表面有散在出血點,切麵皮質和髓質境界分明錐體充血。
由於臨床表現輕重及病期不同,相應組織學改變也各異。典型者呈瀰漫性毛細血管內增生性或系膜在增生性改變少數屬膜增生性改變起病1個月內腎小球內皮細胞系膜細胞顯著增生或腫脹充滿於腎小囊腔中致使毛細血管腔狹窄甚至閉塞,伴有多核白細胞浸潤故又稱滲出性腎小球腎炎,同時伴有淋巴細胞和CD4+淋巴細胞存在。腎小球基膜、腎小管正常。但在間質中有多核單核和T淋巴細胞浸潤,近年已得到重視並證明與GFR下降有關。系膜區和基膜有免疫沉積物C3、C4呈顆粒狀沉積並有備解素存在,膜攻擊複合物(C5b-C9)在系膜區也以顆粒狀沉著而呈局限化在毛細血管袢程度較經。此外尚有IgG和IgM沉著其中上皮下駝峰樣沉積物具有代表性。
免疫螢光檢查可見IgGIgMC3沿腎小球毛細血管周圍呈顆粒螢光狀根據其形態不同分作:①星天型:占30%,多於起病2周內出現其特點是IgG、C3沿腎小球毛細血管周圍及系膜內呈瀰漫不規則顆粒沉積間或有較大的毛細血管旁的沉積②系膜型:占45%多在發病後3~6周出現。IgG、C3主要沉積於腎小球系膜區軸部及蒂部,多數病預後較好③蘊含環型:占25%IgGC3呈密集融合沉積於毛細管周圍形成花環狀而系膜內沉積甚少內皮細胞系膜細胞明顯增生部分毛細血管壁增厚,常使腎小球呈分葉狀。臨床上常有嚴重蛋白尿,遠期預後甚差。
腎穿刺活體組織學檢查指征:急性鏈球菌感染後腎炎為一自限性疾病通常臨床症狀可在短期內完全消失但鏡下血尿和(或)蛋白尿可持續數月多數預後良好,一般不需腎穿刺檢查以下為腎活檢指征,以提供診斷及指導治療:①急性期血清補體正常或入院補體降低但2個月後其值仍持續降低,可通過腎活檢與狼瘡性腎炎或膜增生性腎炎鑑別。②起病3~4周后持續高血壓及大量蛋白尿者③氮質血症加重並伴有持續性高血壓提示疾病發展迅速,腎損害加重腎活檢查以證實新月體腎炎。
3.病理生理改變
(1)腎臟的病理生理改變:急性腎炎時腎臟病理生理的改變與免疫介導所引起的腎小球毛細血管炎症反應有關
①腎小球基底膜受中性白細胞及血管活性物質及膜攻擊複合物的破壞(甚至在電鏡下呈現基底膜斷裂)致使血管內血漿蛋白及紅細胞、白細胞等逸至尿中。尿蛋白形成的另一個原因是腎小球毛細血管襻上噬液蛋白及硫酸糖胺聚糖的減少、濾過膜陰電荷屏障的破壞
②腎小球毛細血管襻阻塞,腎小球濾過面積減少故而引起腎小球濾過率下降,少尿及無尿,甚至氮質血症及尿毒症
③套用對氨基馬尿酸(PAH)清除率研究腎血流量證實,急性腎炎時腎血流量正常甚至增加(因進球小動脈阻力下降)。因此不同於慢性腎炎,本病腎臟並不處於缺血狀態因腎血流量正常而腎小球濾過率下降,患者的濾過分數(filtration fraction)下降。
④腎小管最大重吸收功能(TmG)僅輕度受損或正常腎小球濾過率損害程度超過了腎小管受損程度濾過的原尿量減少且通過腎小管的時間延長;此外,腎小球毛細血管袢炎症阻塞後腎小管周圍毛細血管壓力下降。這2個因素均促使功能受損不嚴重的腎小管上皮可以充分重吸收原尿中的水和鈉,引起少尿及水鈉瀦留腎臟鈉排泄分數少於1%此即“球管失衡狀態”。
⑤由於循環血容量擴張反射性引起血漿腎素活性及血管緊張素、醛固酮濃度下降疾病恢復期則恢復正常;尿液中前列腺素PGE2及PGF2α和激肽釋放酶(kallikrein)水平持續下降。
(2)全身性病理生理改變:中心環節是水鈉瀦留,血容量擴張。由此引起高血壓及水腫嚴重時可引起高血壓腦病及心力衰竭等嚴重合併症,是急性腎炎的主要死亡原因因此,在急性腎炎的治療中控制血容量。排除體內瀦留的水、鈉是關鍵。
臨床表現
老年人急性感染後腎炎鏈球菌感染後7~20天開始出現臨床症狀此時原發感染灶的臨床表現大部分已消失潛伏期亦可能較短約1/5病例為4~7天,超過3~4周者極少見但皮膚感染者潛伏期較長,平均為18~21天。
在鏈球菌感染過程中亦可有一過性輕度蛋白尿及鏡下血尿這是一般發熱性疾病時的尿改變,或與細菌的紅斑毒素(erythrogenic toxin)作用於腎小球基底膜有關但這些病人常常發生急性腎炎所以亦可能是腎炎的初起表現。
2.一般表現 本病的臨床表現由亞臨床一輕型至急性腎衰,嚴重程度波動很大
(1)血尿:常為起病的第1個症狀,幾乎全部病人均有血尿,其中肉眼血尿現率約40%。尿色呈均勻的棕色混濁或洗肉水樣,但無血凝塊酸性尿中紅細胞溶解破壞常使尿呈醬油樣棕褐色。數天至1~2周即消失嚴重血尿患者排尿時尿道有不適感及尿頻,鏡下血尿約在半年內消失也有持續1~3年方消失。
(2)蛋白尿:幾乎全部患者尿蛋白陽性(常規定性方法)蛋白尿一般不重,為0.5~3.5g/d常為非選擇性蛋白尿。僅約不到20%的病人尿蛋白在3.5g/d以上此時尿FDP常增高部分病人就診時尿蛋白已陰轉呈極微量,因而無尿蛋白陽性的記錄
(3)水腫:亦常為起病早期症狀,出現率70%~90%此為腎小球濾過率顯著降低之故呈疾病主要表現者占60%以上。輕者為早起眼瞼水腫,呈所謂“腎炎面容”(nephritic faces)。嚴重時可延及全身指壓可凹性不明顯體重可較病前增加5kg以上。出現胸腹腔積液大部分病人於2~4周內自行利尿消腫如水腫或有腎病綜合徵持續發展,常提示預後不佳
水腫主要是由於腎小球濾過率下降而腎小管特別是遠曲小管吸收能力上升球管功能失衡所致全身毛細血管病變引起毛細血管通透性增加,低蛋白血症及心力衰竭等因素均可加重水腫目前由於注意對病人限鹽利尿,故水腫程度一般較輕
(4)高血壓:見於80%左右病例老年人更多見。多為中等度的血壓增高,偶可見嚴重的高血壓。舒張壓上升者占80%以上但少於50%病人超過16kPa(120mmHg)常不伴高血壓眼底改變。
高血壓的原因也主要與水鈉瀦留血容量擴張有關血漿腎素水平一般不升高,醛固酮分泌率正常或下降所以高血壓與水腫的程度常平行一致,並且隨著利尿而恢復正常如血壓持續升高2周以上無下降趨勢者表明腎臟病變較嚴重而且持續性高血壓亦加重腎功能損害,應予及早治療。
(5)少尿:大部分病人起病時尿量少於500ml/d。可由少尿引起氮質血症2周后尿量漸增,腎功能恢復只有少數病人(不足5%)由少尿發展成為無尿,表明腎實質病變嚴重。
(6)腎功能損傷:常有一過性氮質血症血肌酐及尿素氮輕度升高較嚴重者(血肌酐>352µmol/L(4.0mg/dl),尿素氮>21.4mmol/L(60mg/dl)應警惕出現急性腎衰經利尿數天之後,氮質血症即可恢復正常。少數老年患者雖經利尿後腎功能仍不能恢復預後不佳。
腎小球濾過功能一過性受損而腎血流量正常,所以腎臟濾過分數相應下降這是急性腎炎的典型改變。腎小管功能的受累較輕腎小管最大重吸收葡萄糖(TmG)和腎小管對PAH最大排泌量(Tm PAH)輕度下降或正常,尿鈉及尿鈣下降鈉排泄分數小於1%,腎衰指數小於1,尿濃縮功能多正常。
(7)全身表現:患者常有疲乏、厭食、噁心嘔吐(與氮質血症不完全成比例)嗜睡頭暈、視力模糊(與高血壓程度及腦缺血腦水腫有關)及腰部鈍痛(因腎實質腫大撐脹腎被膜牽扯感覺神經末梢所致)
3.其他臨床類型 典型病例臨床表現明顯,易於診斷。但尚有以下幾種臨床類型其臨床表現病理演變和治療反應均有所不同:
(1)輕型(亞臨床型):僅輕度尿常規改變水腫及高血壓等不明顯血漿補體及C3降低尚有表現以腎外症狀如循環充血狀態為主要的臨床表現,而尿常規無或輕度改變者,易於忽略。以下幾項可作診斷時參考。
主要診斷依據:①前驅感染史如急性扁桃炎膿皮病猩紅熱等;②不同程度水腫;③腎外症狀如高血壓、心或腎功能不全高血壓腦病。
次要診斷依據有:①抗鏈球菌溶血素O(ASO)及血沉增高;②血漿總補體或C3值降低;③血清循環免疫複合物增加。如具備主要診斷標準1~2項及次要診斷1項可診斷為腎外症狀性腎炎。腎活檢是診斷本病的重要方法,其病理改變與典型的急性鏈感後腎炎一致
(2)腎病綜合徵:可在疾病初期或病程中出現嚴重水腫不退,尿蛋白質增高常在每天3.5g以上。尿FDP常增高,並伴有高血壓。僅憑臨床表現與其他腎病的病理類型鑑別有困難。
(3)急進性腎炎:急性鏈球菌感染後腎炎急性期由於腎小囊有大量新月體形成,同時內皮細胞、系膜細胞持續增生則出現急進性腎炎臨床表現,腎功能損害嚴重迅速進入急性腎功能衰竭因此當急性鏈感後腎炎於病程2~4周時水腫不退尿量減少,血壓持續增高,甚至出現累及心、腦損害,應考慮有急進性腎炎的可能。此時腎活檢有助於診斷及鑑別診斷。
併發症
病理常識臨床表現除煩躁發紺、水腫、少尿外並出現以下症狀:①肺淤血症狀:氣急咳嗽端坐呼吸,粉紅色泡沫痰,兩肺底濕囉音胸片顯示心臟擴大兩側肺門陰影擴大肺紋增加,並有胸膜反應。②心臟:心率增快,甚至有奔馬律心尖區可聽及收縮期雜音偶有心律不齊,嚴重時可出現收縮壓降低③肝臟腫大頸靜脈怒張,靜脈壓增加
2.高血壓腦病 由於及時合理處理,急性鏈感後腎炎此併發症已明顯降低,發病率約為0.5%雖然高血壓與此病常同時存在但其在此病中所起的作用尚未肯定。從病理觀點來看腦部可發生多數小血栓(由於血管痙攣引起)和腦水腫也有出現腦出血者,腦血管痙攣和水鈉瀦留與腦水腫有關常見為頭昏頭痛嘔吐神志不清、黑蒙嚴重者有陣發性驚厥昏迷當高血壓伴視力障礙驚厥昏迷3項之1項即可診斷。
老年人急性鏈球菌感染後腎炎比兒童明顯少,但並非罕見。因臨床表現不典型而診斷困難鏈球菌前驅感染不典型,前驅皮膚感染較咽部為高少尿呼吸困難肺淤血大量蛋白尿、氮質血症以及疾病早期死亡率均於中、老年組高60年代有報告本病死亡病例中46%為60歲以上患者又有報告9例60歲以上患者7例死於急性腎衰。但自開展透析治療以來發現老年本病患者急性腎衰經透析維持生命後,腎功能恢復雖較年輕人慢,但是絕大部分病人仍能完全恢復因此,總預後不比年輕患者差。此外,老人患者中肺淤血呼吸困難的發生率也明顯高於青年。
診斷
短期內發生血尿、蛋白尿尿少、水腫高血壓等典型病例嚴重時呈肺淤血或肺水腫即可診斷為急性腎炎綜合徵;病前1~3周咽部感染或皮膚感染史、有關鏈球菌培養及血清學檢查陽性、血清補體下降CIC上升等可在臨床幫助確診本病。臨床表現不明顯者,須連續多次尿常規檢查根據尿液典型改變及血補體動態改變作出診斷。僅有鏈球菌感染史而尿液檢查基本正常者。必要時而做腎穿刺活檢。
鑑別診斷
診斷急性腎炎時需除外以下疾病:
1.急性全身性感染髮熱疾病 於高熱時均可出現一過性蛋白尿及鏡下血尿,可能與腎血流增加、腎小球通透性增加及腎小管上皮細胞混濁腫脹有關此種尿改變發生於感染、高熱的極期;隨著退熱尿檢查恢復正常不伴水腫高血壓等腎臟疾病的臨床表現。
2.急性泌尿系感染或急性腎盂腎炎 急性腎炎時可有腰痛少尿及尿中紅細胞較多時亦有排尿不適感尿白細胞亦可較多,因此需與泌尿系感染相鑑別。但泌尿道感染性疾患有全身及局部感染的表現,如發熱、尿路刺激症狀尿中大量白細胞甚至白細胞管型尿細菌培養陽性。經抗感染治療後的療效亦有助於鑑別
3.急進性腎炎 發病過程與本病很相似但患者呈進行性少尿、無尿及急驟發展的腎功能衰竭終至尿毒症急性腎炎綜合徵1個月以上不見緩解時需及時行腎活栓以與本病鑑別。
4.系膜毛細血管性腎炎 起病過程與本病很相似也可有呼吸道前驅感染甚至鏈球菌感染史,約40%病人呈典型急性腎炎綜合徵表現並伴低補體血症,甚至血清ASO滴度亦可上升,臨床過程很難鑑別據1組20例臨床診斷為本病的患者中有12例經病理檢查證實為系膜毛細血管性腎炎。但系膜毛細血管性腎炎無自愈傾向故診斷為本病者如病程超過2個月仍無減輕應考慮系膜毛細血管性腎炎腎活檢有助診斷。
檢查
醫學檢查1.尿常規 除紅細胞及蛋白尿外,尚可見各型管型(紅細胞顆粒、白細胞),以及白細胞,偶伴有白細胞管型但不說明有尿路感染存在,輕型者可無尿液改變尿常規改變較臨床症狀恢復緩慢,尤其鏡下紅細胞常遷延數月至1年以上。持續大量蛋白尿提示有腎病綜合徵存在。
2.血常規 水腫時由於血液稀釋血紅蛋白和紅細胞可降低,利尿水腫消退後恢復白細胞計數正常,但伴有感染病灶時白細胞及中性粒細胞均可增加
3.腎功能 多有不同程度腎功能障礙腎小球濾過率及內生肌酐清除率均下降少尿時血清尿素氮、肌酐暫時性增加,並發急性腎功能衰竭時可出現顯著氮質血症並伴有代謝性酸中毒及其他電解質紊亂。並發心力衰竭時腎血流量降低較明顯。
4.免疫學及補體系統檢查 抗鏈球菌溶血素O(ASO)、抗鏈激酶(ASK)抗透明質酸酶(AH)抗脫氧糖核酸酶(ADNase)等均增加,說明此種腎小球腎炎大多屬鏈感後腎炎ASO增高者占70%~80%如同時檢查以上3項指標陽性率可達100%早期使用青黴素治療者ASO陽性率可降至15%血清IgG、IgM增高,於起病1~2個月恢復正常;IgA基本正常。起病第1周有32%~42%患者類風濕因子增高起病最初數周可發現血清冷球蛋白和循環免疫複合物存在
血清總補體(CH5O)C3於90%以上起病2周內降低,經4~6周可恢復正常如持續降低說明腎臟病變仍在進行C2C4和備解也降低但降低程度有限。C3測定對輕型者有臨床價值。測定血清補體不但有助於診斷,同時也說明急性鏈感後腎炎的發病原理中有補體系統的參與。
其它輔助檢查: 合併急性心力衰竭,X線胸片顯示心腔擴大,兩側肺門陰影擴大
相關檢查:C3 C4 CH50 免疫複合物 免疫球蛋白A 免疫球蛋白G 免疫球蛋白M 冷球蛋白 尿氮 抗溶血性鏈球菌“O”實驗 抗透明質酸酶 抗鏈球菌激酶 白細胞計數 類風濕因子 肌酐清除率 腎血流量 血紅蛋白 鈉
治療
治療1.休息 急性期需臥床休息,直至肉眼血尿消失臥床休息能改善腎血流及減少合併症的發生,約需2周臨床症狀消失及血肌酐恢復正常後可逐步增加活動。3個月內應避免劇烈體力活動。
2.飲食
(1)水分:起病初期尤其水腫明顯並有高血壓及併發症者液體入量應予以限制以口渴為度給予水分。以避免加重水腫或併發症及腎臟負擔
(2)鈉鹽:水腫高血壓及循環充血者應嚴格限制鈉鹽攝入短期內用無鹽飲食過渡到低鹽飲食(以每天1.5g計算)。水種重度尿少者,控制入水量,每天不超過尿量加不顯性失水量。
(3)蛋白質:無明顯少尿及氮質血症時蛋白質限制在每天1g/kg。不加分析地控制蛋白質入量對腎單位修復不利,但過多的蛋白質攝入會促使腎小球硬化。
3.感染灶治療 在急性腎炎治療中,對於套用青黴素或大環內酯類等針對鏈球菌的抗生素至少控制感染病灶消除殘存抗原的作用,尚無肯定意見。大部分作者觀察到,在腎炎起病之後開始套用抗生素治療對於腎炎的病情及預後沒有作用。
但是一般主張在病灶細菌培養陽性時應積極套用抗生素治療,有預防病菌傳播的作用。此外不少作者仍主張,不論培養結果如何,均套用青黴素等藥物,為期2周左右或直到治癒。更有人主張治癒後繼續用藥度過冬季,其目的在於一方面控制一些隱蔽的病灶,另一方面可預防其他細菌或鏈球菌非腎炎菌株引起新的感染,使腎炎加重而影響腎功能。用法為青黴素40萬U肌注2次/d
扁桃體切除術對急性腎炎的病程發展亦無肯定的效果對於急性腎炎遷延2個月至半年以上,或病情常有反覆而且扁桃體病灶明顯者可以考慮件扁桃體切除術手術時機以腎炎病情穩定、無臨床症狀及體徵尿蛋白少於(+)、尿沉渣紅細胞少於10個/高倍視野且扁桃體無急性炎症為宜術前後套用青黴素2周。
4.對症治療
(1)利尿:經控制水、鹽入量後水腫仍明顯者,套用利尿藥常用噻嗪類利尿藥必要時可有髓襻利尿藥,如呋塞米(速尿)及布美他尼(丁尿胺)等。此二藥對腎小球濾過功能嚴重受損肌酐清除率小於5~10ml/min的情況下仍可能有利尿作用可能通過調整腎臟血流分布,使進入腎小球的血量一增加進腎臟髓質部的血量減少,而糾正“球管失衡現象”)呋塞米(速尿)用量有時需400~1000mg/d,應注意大劑量呋塞米(速尿)可能引起聽力及腎臟的嚴重損害此外還可套用各種解除血管痙攣的藥物如多巴妥,以達到利尿目的汞利尿藥(損害腎實質)滲透性利尿藥(增加血容量加重心臟負擔及合併症)及貯鉀性利尿藥不宜採用。
(2)降壓藥物:積極而穩步地控制血壓對於增加腎血流量改善腎功能預防心衰及合併症是很必要的。常用噻嗪類利尿藥,利尿後即可達到控制血壓的目的。必要時可用鈣通道阻滯藥如硝苯地平(硝苯啶)20~40mg/d及肼屈嗪(肼苯噠嗪)哌唑嗪以增強擴張血管效果。腎素血管緊張素阻滯藥一般不需要用對於嚴重的高血壓,既往常用肌注硫酸鎂降壓在腎功能不良條件下易發生高鎂血症,引起呼吸抑制已有許多有效的快速降壓藥物,如二氮嗪(低壓唑)硝普鈉已取代硫酸鎂。
(3)高鉀血症的治療:注意限制飲食限制飲食中鉀入量套用排鉀性利尿藥均可防止高鉀血症的發展。如尿量極少導致嚴重高鉀血症時,可用離子交換樹脂葡萄糖胰島素靜脈點滴及高張重碳酸鈉靜脈點滴但以上措施均加重水鈉瀦留擴張血容量,故應慎用必要時可用腹膜或血液透析治療。
5.併發症治療
(1)嚴重循環充血及心力衰竭處理:對煩躁不安者應予地西泮等注射由於繼發於水鈉瀦留高血容量所致的循環充血狀態與真正心肌勞損所引起的充血性心衰雖症狀相似,但病理生理基礎不一故當前重點應放在矯正水鈉瀦留,恢復正常血容量,應及時給予強力利尿劑如呋塞米靜注(劑量及用法同前)。如經上述治療仍不能控制症狀可考慮血液濾過脫水治療。洋地黃等藥物效果不肯定不作常規使用。
(2)高血壓腦病的處理:必須迅速處理解除全身小動脈痙攣及其水腫驚厥者應及時使用肌注或靜脈注地西泮,如伴有顱內高壓症狀應並用脫水利尿劑。快速降壓藥物如二氮嗪(Diazoxide)硝普鈉等已取代硫酸鎂等使用
(3)急性腎功能衰竭處理:除內科保守治療外,提倡“預防性透析”其透析指征不拘泥於傳統的各項指標如經腎活檢確診為本病合併高血鉀症以及經利尿等措施治療效果不佳的嚴重水鈉瀦留引起的急性心力衰竭為透析絕對指征後者通過超濾脫水可使病情迅速緩解。
藥療(1)祛風利水內外分消:《內經》早就指出“開鬼門”(發汗)“潔淨府”(利尿)的治法。適應證:起病急期,惡寒惡風發熱、咳嗽、頭痛尿少全身水腫以腰以上為著舌苔薄白,脈搏浮緊或沉細。常用處方:越婢湯加五皮飲加減其中麻黃、浮萍皆有發汗利水之功為風水必用之藥;五皮飲諸藥行氣利水,且專行皮下之水此方加辣為治療急性腎炎的常用方
(2)疏風清熱、涼血解毒:用於部分具有風熱表現的病人發熱不惡寒,常有咽喉腫痛尿少赤澀,肉眼血尿脈滑數或細數舌質紅,舌苔薄黃。常駐用處方為桑菊飲或麻黃、連翹赤小豆湯合五苓散加減。
(3)清熱利濕或清熱解毒法:適用少數病人皮膚感染或外感表證已解濕郁化熱者可有發燒,口乾口苦,怕熱欲飲尿少色紅,水腫不消,脈搏滑數,舌苔薄黃或黃膩。常用五味消毒飲加減可加用生石膏以清里熱丹參、赤芍、益母草涼血活血;或用甘桔湯加蒲公英、山豆根、銀蘊含連翹牛蒡子、鮮茅根、知母等藥。
(4)對於急性腎炎恢復期(臨床表現已全消失僅餘尿檢異常)的中醫治療:少數人主張據證給予補法(補脾補腎陰等)大部分人認為,此時主要是濕熱未盡,治療應以祛邪為主,反而能使病情加重。
7.透析治療 本病於以下2種情況時套用透析治療:①少尿性急性腎功能衰竭特別呈高血鉀時如腎臟活檢確診本病,則以透析治療維持生命,配合上述對症治療,疾病仍有自愈的可能。②嚴重水鈉瀦留引起急性左心衰竭者。此時利尿效果不佳對洋地黃類藥物反應亦不佳惟一有效措施為透析療法超濾脫水,可使病情迅速緩解
尚有應和糖皮質激素非固醇類消炎藥吲哚美辛(消炎痛)等、山莨菪鹼類藥物治療本病實屬有害無益,應廢止。
8.擇優方案 老年病人的治療因其發病症狀的嚴重程度而定
(1)如症狀中血尿、蛋白尿較輕未出現明顯的腎功能不全,則治療上①抗生素選擇一定要有效。時間要在2周以上,直到治癒選用的抗生素以抗鏈球菌的藥物為主(青黴素或頭孢菌素類)。②注意水鈉瀦留有尿少水腫者,可適當用小劑量的呋塞米(速尿)40~100mg/次有高血壓或輕度心衰的病人還可以同時加用多巴胺20mg酚妥拉明10mg一同靜滴,可以擴大腎血流量擴張肺血管,減低心臟負荷,起到降壓利尿的作用。③降壓藥可用硝苯地平(硝苯吡啶)不用ACEI類藥物嚴重高血壓時選用硝普鈉。
(2)合伴嚴重心衰者先予以大量利尿呋塞米(速尿)用量加大量多200~500mg。可加用洋地黃如無效儘早考慮透析治療,以排出水分減輕心臟負荷。
9.康復治療 該病屬急性疾病發病迅速經及時治療可恢復預後較好,但可遺留尿蛋白及持續鏡下血尿,可能與有慢性感染灶有關。
(1)可繼續用抗生素2~3個月(如尿中有蛋白或血尿)注意菌群失調
(2)堅持以預防為主避免誘發因素如上感皮膚感染、勞累、不良情緒、吸菸、飲酒
(3)定期複查尿常規、腎功能以監測腎臟功能。
預後預防
預後: 1.近期死亡率 20世紀初期急性腎炎5%~10%死於急性期合併症,如心力衰竭腦病或繼發感染。近數10年來,治療措施日臻完善有效,合併症大部分均能被控制病死率明顯下降影響急性腎炎近期預後的主要問題是少尿、腎功能衰竭發生率約1%多見於老年組以下情況易出現難逆性腎功能衰竭:①持續少尿;②持續氮質血症;③持續高血壓;④持續較大量蛋白尿甚至發展為腎症綜合徵;⑤持續性血纖維蛋白原-纖維蛋白複合物升高及尿排出大量纖維蛋白降解產物;⑥腎臟病理改變呈球囊上皮細胞增生明顯者但如有及時給以透析治療,則幾乎全部病人均應自愈存活
2.長期預後 根據長期臨床及病理活檢追蹤對於急性腎炎的長期預後尚難下結論老年人的預後普遍認為不好,急性期合併症(心力衰竭、肺淤血)及慢性進展性腎小球疾病的發生率均高。臨床上呈嚴重而持續的高血壓和(或)腎病綜合徵和(或)腎功能損害者預後差;而血尿的嚴重程度多認為與預後無關病理方面呈廣泛新月體螢光呈蘊含環狀沉著、電鏡下呈不典型駝峰者預後差;反之,輕度系膜增生螢光呈系膜型者預後佳前驅感染的嚴重性與預後無關,但有報告鏈球菌前驅感染不明確者預後差。血補體水平下降程度ASO滴度上升程度與預後均無關(表1)
表1預防: 1.一級預防
(1)增強機體抗禦鏈球菌感染的能力,適當進行鍛鍊加強營養在冬春季節儘量避免去公共場所接觸流感的病人。
(2)加強衛生宣傳教育避免上呼吸道及皮膚感染,對已有鏈球菌感染者應積極治療,並積極治療各種慢性病灶如扁桃體炎、鼻竇炎齲齒和中耳炎等。
(3)加強該病與HLA相關和對患者親屬的研究,以期進一步明確該病與之的關係。
2.二級預防
(1)對原有腎小球腎炎的早期要及時治療,密切觀察適時地進行尿常規檢測以免病症遷延不愈,造成慢性腎臟改變,
(2)對有高血壓、貧血的患者也要進行尿常規腎功能測定,避免慢性腎炎的漏診。
(3)有條件者可以及早進行腎活檢,以此正確選用藥物。
3.三級預防 目的在於延緩腎功能惡化。採取的措施有:
(1)低蛋白飲食。
(2)控制血壓
(3)防止腎小管間質損害
(4)不用對腎臟有害的藥物

