簡介
急性感染後腎小球腎炎,簡稱急性腎炎,是一組以急性起病,血尿、蛋白尿、高血壓、水腫、少尿、腎功能損傷為特徵的臨床綜合徵,又稱急性腎炎綜合徵。其發病常出現於感染,主要是鏈球菌感染之後,屬免疫複合物型腎炎。本病多見於兒童和青少年,中年及老年較為少見,男女比例約2∶1。本病多為散發,其發病季節與前驅感染的發病季節有關。急性腎炎一般預後良好,尤其是兒童。近期死亡率隨治療措施的日益完善近年來逐漸下降,其遠期預後尚與流行病學因素、年齡、合併症、病理相關。
本病屬中醫“水腫”、“尿血”等範疇,其病因主要是外感六淫及瘡毒之邪,又與腎虛有關。發病機理主要是外邪侵入機體,肺脾腎三髒功能失調,水液代謝障礙,水液滯留泛濫,或邪熱入里,熱入下焦,迫血妄行。
診斷
腎臟知識1、症狀:大多數病人在發病前7~20天有前驅感染如咽炎、扁桃體炎、猩紅熱、膿庖病等,輕者並無感染症狀。40%的患者出現血尿,常為首發症狀。尿色呈棕色、洗肉水樣或醬油色。70%~90%的病人出現水腫,輕者晨起眼瞼水腫,甚則全身浮腫,大部分可於2~4周自行利尿消腫。幾乎全部病人尿蛋白陽性,少於20%的患者出現腎病綜合徵。80%的病人出現高血壓,主要與水鈉瀦留有關。血壓持續不降者,多提示腎臟病變嚴重。大部分患者起病時出現少尿,尿量<500ml/d,並因此導致氮質血症,隨尿量增加,氮質血症恢復。少數病人發展為無尿,及利尿後腎功能不恢復,均提示預後不良。另外患者常有乏力、厭食、噁心、嘔吐、頭暈、嗜睡、腰痛等其他全身症狀。急性腎炎主要嚴重的合併症為心力衰竭,多發生於老年人及原有心血管系統疾病者,其發生主要與水鈉瀦留,血容量增加有關。腦病表現為頭痛、嘔吐、神志障礙、驚厥等,與高血壓及水鈉瀦留有關。部分病人可進展為急性腎功能衰竭。
2、體徵:急性腎炎的體徵主要是水腫,晨起眼瞼水腫(即所謂腎炎面容)或全身性水腫。高血壓多為中度,少數為重度高血壓。部分病人有腎區叩擊痛。嚴重合併症者會出現相應體徵。
二、輔助檢查
1.1 尿檢查:表現為肉眼血尿或鏡下血尿,相差顯微鏡下為嚴重的變形紅細胞尿。還可見到白細胞、上皮細胞、紅細胞管型、顆粒管型、偶有白細胞管型。蛋白尿一般在0.5~3.5g/d,少數病人可出現腎病綜合徵範圍蛋白尿。尿改變的恢復大部分兒童及1/2左右成人於4~6個月轉陰,少數可遷延一年,鏡下血尿可遷延一至二年。
1.2 血液檢查:血常規可見輕度貧血,與水鈉瀦留,血液稀釋有關。若感染灶存在,可有白細胞升高。血沉可增快,少尿患者可出現高血鉀,血容量擴張明顯可見稀釋性低血鈉,可有輕度高氯性酸中毒,血液稀釋導致輕度低蛋白血症,呈腎病綜合徵時可見嚴重的低蛋白血症及一過性血脂升高。
1.3 免疫學檢查:ASO滴度升高是近期有鏈球菌感染的證據,多於鏈球菌感染後3周滴度上升,3~5周開始下降,1/2患者半年恢復正常。但急性腎炎時ASO陰性不能否定有前驅鏈球菌感染史。急性期CIC(循環免疫複合物)可陽性。大部分病人CH50、C3明顯下降,多於6~8周恢復,若持續不降,應考慮其他疾病(如系膜毛細血管性腎炎及系統性紅斑狼瘡等)的可能。另外,血液纖維蛋白原增加,尿FDP(纖維蛋白降解產物)增加,與急性腎炎時腎臟的凝血纖溶過程相關,其結果與病情嚴重性一致。
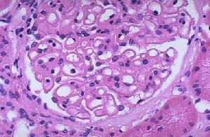
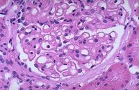
1.4 其他:腎臟B超可見腎臟體積增大,腎實質增厚。可有腎小球濾過率的一過性下降。大部分病人不需腎活檢,但持續低補體血症、急進性腎炎者應及時腎活檢以明確診斷。
三、診斷標準
典型病例可見於較明確的鏈球菌感染後1~3周出現血尿、蛋白尿、水腫、尿少、高血壓,有關鏈球菌培養、ASO陽性、C3下降對診斷有重要意義。臨床表現不典型者,必要時做腎穿刺檢查。
四、鑑別診斷
(1)發熱性一過性蛋白尿:各種原因的高熱均可導致蛋白尿,不伴有水腫和高血壓,可伴有血尿,隨熱退,蛋白尿消失。其發生機理與高熱時腎臟血流動力學改變有關。
(2)急性泌尿系感染:急性泌尿系感染時,有全身及局部感染的表現,如發熱、尿路刺激征、尿中出現大量白細胞甚至白細胞管型、尿細菌學培養陽性,且抗感染治療有效等均有助於鑑別。
(3)其他病原感染後急性腎炎:除鏈球菌以外的其他病原菌如細菌(肺炎球菌、葡萄球菌、傷寒桿菌、梅毒等)、病毒(如B肝病毒、某些流感病毒、腮腺炎病毒、柯薩奇病毒等)、螺鏇體、支原體等均可引起急性腎炎綜合徵。臨床常見的感染性心內膜炎時出現急性腎炎綜合徵。其原發病有各自特點,可以之鑑別。
(4)IgA腎病:約1/5IgA腎病患者呈急性腎炎綜合徵表現。此病多於前驅感染後數小時或1~3天內出現肉眼血尿或伴有蛋白尿,鏈球菌培養陰性,ASO滴度不高,血補體正常,部分患者血IgA升高。病程反覆發作,診斷困難者,需腎穿刺明確診斷。
隱匿性腎小球腎炎(5)系膜毛細血管性腎炎:本病常有前驅呼吸道感染史及鏈球菌感染史,ASO滴度升高及低補體血症,起病與急性腎炎極其相似。若病程無自愈傾向,明顯的蛋白尿,低補體血症持續超過2個月不恢復,應考慮本病並及時腎活檢。
(6)急進性腎炎:發病過程與急性腎炎相似,但其進行性少尿至無尿,進行性腎功能減退短期內至尿毒症。若急性腎炎綜合徵病程超過1個月不緩解,應及時腎活檢除外本病。
(7)全身系統性疾病腎損害:如系統性紅斑狼瘡、過敏性紫癜、小血管炎、冷球蛋白血症等,可呈急性腎炎綜合徵表現,但尚有其他系統受累表現,可以資鑑別。
辨證
腎臟知識2 風熱外襲水濕停聚證:發熱重,惡寒輕,咽痛,咳嗽,繼而面浮肢腫,小便短赤,舌質紅,苔薄黃,脈浮數或滑數。
3 濕毒侵淫濕熱壅盛證:肌膚瘡瘍,甚則潰爛,發熱惡風,口乾便秘,面浮肢腫,小便短赤,舌紅苔黃膩,脈滑數。
4 脾腎陽虛水濕浸漬證:神疲肢冷,腰酸乏力,納少便溏,脘腹脹滿,胸悶氣短,腰以下腫甚,按之凹陷不復,舌淡,苔白膩,脈沉滑或沉弱。
5 肝腎陰虛膀胱濕熱證:口乾咽燥,頭暈耳鳴,腰膝酸軟,小便短澀灼熱,尿血,舌紅少苔或苔薄黃,脈沉細。
臨床上還可見到如氣虛血瘀,水氣凌心,瘀濁互結等他證或證候兼雜相見,可根據臨床情況辨證選方。
治療
腎臟知識1.辨證論治
1.1 風寒外襲風水泛濫證
治法:疏風散寒宣肺利水
方藥:越婢加術湯合五皮飲加減。
1.2 風熱外襲水濕停聚證
治法:疏風清熱宣肺利水
方藥:銀翹散合五皮飲加減。
1.3 濕毒侵淫濕熱壅盛證
治法:清熱解毒利濕消腫
方藥:麻黃連翹赤小豆湯合五味消毒飲加減。
1.4 脾腎陽虛水濕浸漬證
治法:健脾補腎溫陽利水
方藥:實脾飲合真武湯加減。。
1.5 肝腎陰虛膀胱濕熱證
治法:滋補肝腎清熱利濕
方藥:六味地黃丸合小薊飲子加減。
二、西醫治療
1 一般治療:急性起病後應臥床休息,直至肉眼血尿消失,水腫消退,血壓恢復正常,血肌酐恢復正常後,方可輕微活動,但要密切隨診,若病情變化,仍需繼續臥床休息。飲食應注意給予適當蛋白,1g/kg/d,限制過於嚴格或增加攝入均不利於腎臟的恢復。有水腫及高血壓者應注意給予低鹽(2~3g/d)甚至無鹽飲食;對於水腫且尿少者,應嚴格限制水的攝入。部分患者還需低鉀飲食。另外應攝入富含維生素的飲食。
腎臟食知識三、對症治療
1利尿:經限制水、鹽攝入後,仍水腫嚴重甚至因水鈉瀦留導致心衰者,應使用利尿劑。可選用噻嗪類利尿藥,但對於GFR<25ml/min時,應選用袢利尿劑,如速尿、丁脲胺。其中速尿的劑量可用至400~1000mg/d,一般不超過400mg/d,大劑量使用時應注意其耳毒性和腎損害。還可使用小劑量的多巴胺以解除血管痙攣而利尿。避免使用汞利尿劑、滲透性利尿劑和保鉀利尿劑。
2降壓:積極而適當的降壓有利於增加腎血流量,改善腎功能,減少心腦血管病合併症的發生。利尿劑的使用可降低容量負荷,從而降低血壓,還可選用鈣離子拮抗劑,如絡活喜,α受體拮抗劑如哌唑嗪,一般不需使用轉換酶抑制劑,必要時可靜脈點滴酚妥拉明或硝普鈉,可快速降壓,防治高血壓腦病的發生。
3降血鉀:首先應控制高鉀飲食的攝入,使用排鉀利尿藥如速尿,糾正酸中毒靜點碳酸氫鈉,予葡萄糖加胰島素,口服離子交換樹脂,若上述措施均無效時,應緊急血液透析或腹膜透析。
4控制心衰:因其發生主要是容量負荷增加,故利尿降壓是首選措施。可靜點硝普鈉或酚妥拉明。必要時行血液濾過。
飲食調養
水果腎小球腎炎一般簡稱為腎炎,有急性、急進性和慢性腎炎之分。急性腎炎起病急,病程短,以血尿、蛋白尿、尿少甚至氮質血症、水腫及高血壓等為主要症狀;急進性腎炎臨床表現與急性腎炎相似,但症狀較重;慢性腎炎病程長,多有不同程度的腎功能損害,有蛋白尿、鏡下血尿、水腫、高血壓等表現,晚期病人可出現腎功能衰竭。
(一)飲食原則
1.蛋白質的攝入應根據病情而定。若病人有腎功能不全、氮質血症時,應限制蛋白質攝入,如尿素氮超過60mg%時,每日蛋白質供給量以公斤體重0.5克攝入,並採用牛奶、雞蛋等高生物價蛋白質,以減輕腎臟排泄氮質的負擔;若有嚴重腎功能不全、氮質血症時,須進一步減少蛋白質攝入,為減少主食中非必需胺基酸的攝入,可用玉米澱粉、藕粉、麥澱粉等代替主食;若無上述情況或病情好轉時,可逐漸增加蛋白質攝入量,每日每公斤體重可供給蛋白質1克。
2.碳水化合物和脂肪攝入,一般可不加限制。要保證充足熱量供給。
3.有浮腫及高血壓症狀的病人,應依病情分別採用少鹽、無鹽或少鈉食品。少鹽是指每日食鹽攝入量低於3克;無鹽是指每日膳食中不加食鹽,也不食用含食鹽食物;少鈉食是指每日膳食含鈉量最高不超過1000毫克,除食鹽外,含鈉高(如鹼)的食物也要加以控制。
4.有持續少尿伴高血鉀的患者,要避免含鉀量高的食品,如水果及各種果汁等。
5.保證富含維生素A、B族維生素、維生素C的食物供給,特別是新鮮蔬菜及水果應儘量多食。

