病因
本病常因β-溶血性鏈球菌“致腎炎菌株”(常見為A組12型等)感染所致,常見於上呼吸道感染、猩紅熱、皮膚感染等鏈球菌感染後。感染的嚴重程度與急性腎炎的發生和病變輕重並不完全一致。本病主要是由感染所誘發的免疫反應引起。
臨床表現
急性腎炎多見於兒童,男性。通常於前驅感染後1~3周起病,潛伏期相當於致病抗原初次免疫後誘導機體產生免疫複合物所需的時間,呼吸道感染者的潛伏期較皮膚感染者短。本病起病較急,病情輕重不一,輕者呈亞臨床型(僅有尿常規異常);典型者呈急性腎炎綜合徵表現,重症者可發生急性腎衰竭。本病大多預後良好,常可在數月內臨床自愈。
本病典型者具有以下表現:
1.血尿、蛋白尿
幾乎全部患者均有腎小球源性血尿,約30%患者可有肉眼血尿,常為起病首發症狀和患者就診原因。可伴有輕、中度蛋白尿,約20%患者呈腎病綜合徵範圍的蛋白尿。尿沉渣除紅細胞外,早期尚可見白細胞和上皮細胞增多,並可有顆粒管型和紅細胞管型等。
2.水腫
水腫常為起病的初發表現,典型表現為晨起眼瞼水腫或伴有下肢輕度凹陷性水腫,少數嚴重者可波及全身。
3.高血壓
多數患者出現一過性輕、中度高血壓,常與其水鈉瀦留有關,利尿治療後血壓可逐漸恢復正常。少數患者可出現嚴重高血壓,甚至高血壓腦病。
4.腎功能異常
患者起病早期可因腎小球濾過率下降、水鈉瀦留而尿量減少,少數患者甚至少尿(<400ml/d)。腎功能可一過性受損,表現為輕度氮質血症。多於1~2周后尿量漸增,腎功能於利尿後數日可逐漸恢復正常。僅有極少數患者可表現為急性腎衰竭,需要與急進性腎炎相鑑別。
5.充血性心力衰竭
常發生在急性期,水鈉嚴重瀦留和高血壓為重要的誘因,需緊急處理。
6.免疫學檢查異常
一過性血清補體C3下降:多於起病2周后下降,8周內漸恢復正常,對診斷本病意義很大。患者血清抗鏈球菌溶血素“O”滴度可升高。
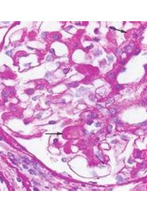
病理
為毛細血管內增生性腎小球腎炎。其特徵是光鏡下內皮、系膜細胞瀰漫增生,中性粒細胞浸潤;免疫螢光可見IgG及C3呈粗顆粒狀沿毛細血管壁、系膜區沉積;電鏡可見腎小球上皮細胞下有駝峰狀大塊電子緻密物沉積。
診斷
根據鏈球菌感染後1~3周、腎炎綜合徵表現、一過性血清C3下降,可臨床診斷本病。若腎小球濾過率進行性下降或病情於2個月尚未見全面好轉者應及時行腎活檢確診。
鑑別診斷
1.以急性腎炎綜合徵起病的腎小球疾病
(1)其他病原體感染後急性腎炎許多細菌、病毒及寄生蟲感染均可引起急性腎炎。病毒感染後急性腎炎多數臨床表現較輕,常不伴血清補體降低,少有水腫和高血壓,腎功能一般正常,臨床過程自限。
(2)系膜毛細血管性腎小球腎炎臨床上除表現急性腎炎綜合徵外,常伴腎病綜合徵表現,病變常持續。50%~70%患者有持續性低補體血症,8周內不恢復。
(3)系膜增生性腎小球腎炎(IgA腎病及非IgA系膜增生性腎小球腎炎)部分患者有前驅感染可呈現急性腎炎綜合徵,患者血清C3一般正常,病情無自愈傾向。IgA腎病患者疾病潛伏期短,可在感染後數小時至數日內出現肉眼血尿,血尿可反覆發作,部分患者血清IgA升高。
2.急進性腎小球腎炎
起病與急性腎炎相似,但腎功能進行性惡化。重症急性腎炎呈現急性腎衰竭者與該病相鑑別困難時,應及時作腎活檢以明確。
3.全身系統性疾病腎臟受累
狼瘡性腎炎、過敏性紫癜腎炎、細菌性心內膜炎腎損害、原發性冷球蛋白血症腎損害、血管炎腎損害等可呈現急性腎炎綜合徵表現;根據其他系統受累的典型臨床表現和實驗室檢查,可資鑑別。
治療
本病治療以休息及對症治療為主。急性腎衰竭者應予透析,待其自然恢復。本病為自限性疾病,不宜套用糖皮質激素及細胞毒藥物。
1.一般治療
急性期應臥床休息,待肉眼血尿消失、水腫消退及血壓恢復正常後逐步增加活動量。急性期應予低鹽(每日3g以下)飲食。腎功能正常者不需限制蛋白質入量,但氮質血症時應限制蛋白質攝入,並以優質動物蛋白為主。明顯少尿的急性腎衰竭者需限制液體入量。
2.治療感染灶
若感染存在,予以相應治療。
3.對症治療
包括利尿消腫、降血壓,預防心腦合併症。休息、低鹽和利尿後高血壓控制仍不滿意時,可加用降壓藥物。
4.透析治療
少數發生急性腎衰竭而有透析指征時,應及時透析治療幫助患者度過急性期。

