基本簡介
腎小球疾病別名:急性腎炎,急性感染後腎小球腎炎,急性腎小球腎炎,acutepostinfectiousglomerulonephriti,acutepoststreptococcalglomerulonephritis,PSGN
疾病分類:腎臟內科
急性鏈球菌感染後腎小球腎炎,即急性感染後腎小球腎炎(acutepostinfectiousglomerulonephritis),臨床表現為急性起病,以血尿、蛋白尿、高血壓、水腫、少尿及氮質血症為特點的腎小球疾病。這一組臨床綜合徵又稱為急性腎炎綜合徵,其中以鏈球菌感染後腎炎最為常見,偶可見於其他細菌或病原微生物感染之後,如細菌、病毒、立克次體、螺鏇體、支原體、真菌、原蟲、寄生蟲等。這些感染後可出現急性腎炎綜合徵,但也可能出現急進性腎炎、腎病綜合徵等。現著重描述的急性鏈球菌感染後腎炎,被認為是由於免疫複合物沉積所致腎小球腎炎的典型代表。
臨床表現
蛋白尿1.血尿常為起病的第1個症狀,幾乎所有病人均有血尿,40%為肉眼血尿。尿色呈均勻棕色、混濁或呈洗肉水樣,但無血凝塊,酸性尿中可呈醬油樣棕褐色,持續1-2周,鏡下血尿可持續1-6個月,少數病例可持續半年或更久,但絕大多數均痊癒。
2.蛋白尿幾乎全部患者均有程度不同的蛋白尿,但多數低於3.0g/d,少數超過3.5g/d,常為非選擇性蛋白尿。部分患者就診時尿蛋白已轉至微量。
3.水腫常為起病早期症狀,輕者為晨起眼瞼水腫,呈所謂“腎炎面容”。嚴重時可延及全身,稍有可凹性,少數可出現腎病綜合徵,若水腫持續發展,常提示預後不良。
急性鏈球菌感染後腎小球腎炎4.高血壓70%~80%患者出現高血壓,多為輕、中度的血壓增高,偶可見嚴重的高血壓。一般恢復較迅速,高血壓與水腫的程度常平行一致,並且隨利尿消腫而恢復正常。若血壓持續升高2周以上且無下降趨勢者,表明腎臟病變較嚴重。
5.少尿多數患者起病時尿量減少(<500ml/d),且伴一過性氮質血症,2周后尿量漸增,腎功能恢復。
6.腎功能減退極少數由少尿發展成無尿,尿素氮及血肌酐輕度升高,若尿素氮≥21.4mmol/L(60mg/L),肌酐≥352μmol/L(4.0mg/L),應警惕發生急性腎衰。
7.全身表現患者常有疲乏、厭食、噁心、嘔吐、頭暈、頭痛,偶與風濕熱並存。最輕的亞臨床型患者,僅出現鏡下血尿,甚或尿檢也正常,僅血C3呈規律性改變,急性期明顯下降,6~8周恢復。腎活檢有典型病理改變。疾病病因急性腎小球腎炎常於感染後發病。其最常見的致病菌為β溶血性鏈球菌,偶見於葡萄球菌、肺炎球菌、傷寒桿菌、白喉桿菌及原蟲類如瘧原蟲、血吸蟲和病毒。臨床上以急性鏈球菌感染後腎小球腎炎最為常見。AGN常見於咽部或皮膚A組β溶血性鏈球菌感染後1~3周出現,極少繼發於其他感染(如葡萄球菌、肺炎球菌、C組鏈球菌、病毒或寄生蟲)。病理生理AGN確切發病機制尚不清楚,已知在急性期為免疫複合物疾病,並以抗鏈球菌抗原的抗體形成及補體免疫複合物覆蓋腎臟為標誌。AGN僅發生於A組β溶血性鏈球菌感染後,後者稱為致腎炎菌株,典型致腎炎菌株抗體針對其細胞壁的抗原M型1、2、4、12、18、25、49、55、57、60。AGN被認為是由免疫介導的免疫複合物性疾病,其證據有三:①前驅鏈球菌感染後的潛伏期相當於首次感染後機體產生免疫的時間;②疾病早期循環免疫複合物陽性,血清補體下降;③免疫螢光IgG、C3呈顆粒樣在腎小球系膜區及毛細血管襻沉積。但如何引起進行性腎損害及最終腎小球硬化的機制尚未清楚。
研究表明,各型增生性腎小球腎炎均有明顯的腎小球及間質炎症細胞浸潤,而非增生型腎小球腎炎則僅有極少量的炎性細胞聚集。在增生性腎小球腎炎中,腎小球內單核細胞及T淋巴細胞浸潤明顯增多,這與蛋白尿的嚴重程度有關。腎小球免疫沉積物能激活補體系統,補體在炎性細胞介導下,參與了引起腎炎的免疫反應。並且,補體系統的致病特性中顯然還包含細胞非依賴性機制。例如,C3a、C5a及過敏毒素的產生導致組胺釋放,致使毛細血管的通透性增高。補體的終末成分C5b-C9複合體(膜攻擊複合體)則對腎小球毛細血管基底膜有直接作用。C3a-C5a成分的非溶解效應能刺激血小板分泌血清素(5-羥色胺)和血栓素B;刺激巨噬細胞分泌磷脂和花生四烯酸;刺激系膜細胞分泌前列腺素、蛋白水解酶、磷脂酶和氧自由基等構成炎症介質。這些炎症介質均可引起腎小球的炎症性病變。
證據支持下述觀點:一種或多種與腎小球結構具有親和力的鏈球菌抗原,在鏈球菌感染的早期植入腎小球內,接著10~14天后宿主免疫反應產生的抗體與抗原結合,導致疾病的發生。最可能的候選抗原包括:內鏈球菌腎病株相關蛋白(其抑制鏈激酶活性)和腎炎結合蛋白(致熱型外毒素B的前體)。雖然循環免疫複合物的濃度與疾病的嚴重程度不相關,但其在最初的原位免疫複合物形成,大量腎小球內免疫沉積的發生,以及腎小球基底膜通透性的改變中可能起作用。
併發症
1.嚴重的循環充血和心力衰竭由於水鈉瀦留,臨床上可出現水負荷過度徵象,如重度水腫、循環充血、心力衰竭、直至肺水腫。主要表現為呼吸短促,不能平臥,胸悶及咳嗽,肺底濕囉音,心界擴大,肝大,心率加快,奔馬律等。早期出現的循環充血徵象,一般於1-2周內隨利尿作用得到相應的緩解。
2.高血壓腦病國內報導發生率5%~10%,一般血壓超過18.7/12kPa,同時伴有視力障礙、驚厥、昏迷三項症狀之一者即可診斷。常表現為劇烈頭昏、嘔吐、嗜睡、神志不清、黑朦,嚴重者有陣發性驚厥及昏迷。眼底檢查常見視網膜小動脈痙攣、出血、滲出和視盤水腫。
3.急性腎功能衰竭發生率為1%~2%,表現為少尿或無尿,血尿素氮增高,不同程度的高鉀血症及代謝性酸中毒等尿毒症改變。
科學診斷
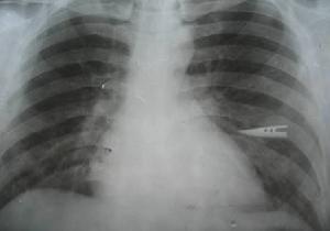
胸部X線照片1.病前有明顯鏈球菌感染史臨床出現典型的血尿、蛋白尿、少尿、水腫、高血壓等急性腎炎綜合徵。
2.鏈球菌培養及血清學檢查咽部或皮膚膿痂分泌物培養示A族溶血性鏈球菌陽性,血清補體下降,血清ASO增高,即可確診本病。臨床表現不典型者,需根據尿液檢查及血清補體動態改變作出診斷。因90%急性鏈球菌感染後腎小球腎炎均有低補體血症,所以,血清補體測定可作為評價急性腎炎的第一線檢測。
實驗室檢查:
1.尿常規檢查鏡檢顯示紅細胞明顯增多,尿沉渣檢查紅細胞達10個滿視野/高倍鏡。也可見顆粒管型、紅細胞管型、腎小管上皮細胞及白細胞;尿蛋白(+)~(+++),此種尿常規改變常遷延數月。尿中還可出現纖維蛋白降解產物(FDP)。
2.血液化驗常見正色素、正細胞性貧血,血紅蛋白一般在100~120g/L,主要與水鈉瀦留、血液稀釋有關,並與尿毒症的程度相平等。白細胞計數正常或增加,血沉急性期常增快。腎功能檢查可見急性期腎小球濾過率(GFR)下降,部分病人可有明顯的氮質血症,血中BUN、Scr增高,也可出現高血鉀、稀釋性低鈉血症、高氯性酸血症,血漿蛋白降低。嚴重者若少尿、無尿或呈急性腎功能不全時,可見顯著氮質血症,同時有代謝性酸中毒及電解質紊亂;但腎小管功能改變輕微。
3.細菌學及血清學檢查未經抗生素治療的患者,約半數咽部或皮膚膿痂分泌物培養示A族溶血性鏈球菌陽性。約70%的患者,血清抗鏈球菌溶血素“O”(ASO)的滴定度>400U。鏈球菌的菌體外抗原成分進入人體後,能刺激機體產生相應的抗體。這種抗體可作為近期鏈球菌感染的證據,常用的有抗鏈球菌溶血素“O”及“S”(ASO、ASS)、抗鏈球菌激酶、玻璃酸酶、抗DNAM酶B。其中ASO廣泛套用於臨床。於鏈球菌感染後3周滴度上升(>1∶200),3~5周達高峰,以後逐漸下降,6個月內約有半數恢復正常。膿皮病後腎炎血清ASO、anti-DPNase效價低,抗玻璃酸酶(ASH)及anti-DNase的陽性率較高。
補體水平測定可見大多數患者補體C3及CH50備解素下降,C3<0.8mg/ml,病後6~8周多能恢復正常。如補體持續下降而不恢復正常,則應懷疑是系膜毛細血管性腎炎或其他系統性疾病(SLE等)。部分病例循環免疫複合物(CIC)測試陽性及冷球蛋白血症。血中纖維蛋白原、第Ⅷ因子和胞質素活性增高。
4.血生化檢查對存在重度水腫和大量蛋白尿的患者,應進行血漿總蛋白、白蛋白/球蛋白比率、血膽固醇、三醯甘油及脂蛋白的測定,以確定是否存在低蛋白血症和高脂血症。
5.檢測抗核抗體、抗雙鏈DNA抗體、抗Sm抗體、抗rnp抗體及抗組蛋白抗體以除外系統性紅斑狼瘡。
6.肝功能及B肝病毒感染標誌物檢測除外B肝性腎炎。
其他輔助檢查:
1.腹部X線平片可見腎影正常或增大。
2.胸部X線照片心臟可正常或輕度增大,常伴有肺充血的現象。
3.腎活檢
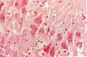
(1)光鏡下腎小球增大,細胞成分增多,血管襻肥大,內皮細胞腫脹,系膜細胞及系膜基質增生,毛細血管有不同程度的阻塞。此外常伴有滲出性炎症,可見中性粒細胞浸潤。由於增生、滲出的程度不同,輕者僅有部分系膜細胞增生;重者內皮細胞也增生,並可部分甚至全部阻塞毛細血管襻;更嚴重者形成新月體。臨床表現為急進過程者則有廣泛新月體形成。
(2)電鏡檢查:於上皮下可見本病典型的駝峰改變(即上皮下有細顆粒的電子緻密物沉積)。駝峰一般於病後6~8周消失。
(3)免疫螢光檢查:沿毛細血管襻及系膜區可見瀰漫顆粒狀的IgG、C3、備解素及纖維蛋白相關抗原沉著,偶見IgM、IgA、C1q、C4等沉著。本病腎活檢的指征是:①少尿1周以上或進行性尿量減少伴腎功能惡化,有急進性腎炎的可能者;②起病後2~3個月病情無好轉,仍有高血壓、持續的低補體血症者;③急性腎炎綜合徵伴腎病綜合徵者。鑑別診斷1.全身感染性發熱疾病各種感染引起發熱時,腎血流量及腎小球通透性可增加,也可出現一過性蛋白尿,此種改變於高熱、感染的早期發生,退熱後尿液即恢復正常,無急性腎炎綜合徵的其他症狀。
B超檢查(1)系膜毛細血管性腎炎:起病過程與本病相似,但低補體血症持續時間較長,且此病無自愈傾向,大量蛋白尿與持續低補體血症是本病特點。腎活檢可明確鑑別診斷。
(2)急進性腎炎:起病與急性腎炎相似,但症狀更重,多呈進行性少尿、無尿、病情急驟發展,很快出現腎功衰竭,腎活檢可及時確診並與本病相鑑別。
(3)IgA腎病:多於急性上呼吸道感染後1~3天內出現血尿,或伴蛋白尿,血清補體正常,血IgA水平可升高,病情易反覆發作。
3.慢性腎小球腎炎急性發作此類患者既往常有腎臟病和類似發作史,感染後迅速發病,無潛伏期,多伴有貧血、持續高血壓及腎功能不全。B超檢查示兩腎臟縮小。
4.全身系統性疾病系統性紅斑狼瘡腎炎、過敏性紫癜腎炎可出現急性腎炎綜合徵,這兩種疾病多有明顯的皮膚病損和關節酸痛等關節炎症狀,前者血中狼瘡細胞及抗DNA抗體陽性,後者束臂試驗陽性。只要詳細詢問病史並進行相關檢查,即可作出正確診斷。
流行病學
在西方已開發國家,急性腎小球腎炎的發病率占全部腎小球疾病的10%~15%,且在逐漸降低。但在衛生條件較差的非洲及某些亞洲國家,該病卻是原發性腎臟疾病較常見的組織學類型。中國北方病人約70%以上發生於呼吸道鏈球菌感染後,以春、冬季多見;南方多於夏季患膿皰病之後發生。①年齡:任何年齡段都可發病,2~12歲的兒童最常見。年齡小於2歲的患者罕見(<5%),40歲以上亦較少,5%~10%。②性別:男性發病率與女性之比2∶1。③遺傳:人類白細胞抗原(HLA)與急性鏈球菌感染後腎小球腎炎之間的聯繫至今仍無定論。研究表明,僅DR4常見於一些無血緣關係的該病患者。據報導,DR1與該病有關,而有Bw48和DRw8的人對本病相對不易感。
治療預防
血尿1.休息急性期必須臥床休息,待肉眼血尿消失,水腫消退,血壓恢復正常,方可逐步增加活動量,3個月內宜避免較重的體力活動。
2.飲食給予含豐富維生素的低鹽飲食,保證充足熱量。適當補充優質蛋白質(含必需胺基酸的蛋白質,如牛奶、雞蛋等)飲食,蛋白質入量應保持在1g/(kg?d)。對有氮質血症者,應限制蛋白質入量,每天約0.6g/kg即可。此類病人應限制含鉀食品。水腫、高血壓患者應無鹽或低鹽飲食,直至利尿開始,重度水腫伴尿少者,應限制入水量。
3.感染灶的治療急性腎炎的治療中,一般主張套用青黴素或大環內酯類等針對鏈球菌的抗生素,尤其是細菌培養陽性時,更應積極套用抗生素,預防病菌傳播。多數學者仍主張即便培養結果陰性,也應選用青黴素、羅紅黴素等藥物,一般使用2周或直到治癒。更有人主張治癒後繼續抗感染治療渡過冬季,一方面控制隱蔽的病灶,另一方面可預防其他細菌或鏈球菌非腎炎菌珠引起新的感染,避免腎炎加重而影響腎功能。對於病症遷延2~6個月以上,病情反覆不愈,且扁桃體病灶明顯者,可以考慮進行扁桃體切除術。
4.對症治療
(1)利尿消腫:急性腎炎的主要病理生理變化為水鈉瀦留,細胞外液量增加,導致臨床上水腫、高血壓、循環負荷過重乃至心、腎功能不全等併發症,套用利尿藥不僅達到消腫利尿作用,且有助於防治併發症。
①輕度水腫:無明顯腎功能損害,無漿膜腔積液(胸腔積液、腹水者)。常用噻嗪類利尿藥,如氫氯噻嗪25~50mg,1~2次/d。此類利尿藥作用於遠端腎小管,但當GFR為25ml/min時,常不能產生利尿效果,此時可用襻利尿藥。
②中度水腫:伴有腎功損害及少量漿膜腔積液,先用噻嗪類利尿藥,如氫氯噻嗪25~50mg,1~2次/d。但當GFR為25ml/min時,可加用襻利尿藥,如呋塞米(速尿)及依他尼酸(利尿酸),呋塞米(速尿)20-40mg/次,1~3次/d,如口服效差可肌內注射或靜脈給藥,30min起效,但作用短暫,可重複使用。此二藥在腎小球濾過功能嚴重受損、肌酐清除率5~10ml/min時,仍有利尿作用。應注意大劑量可致聽力及腎臟的嚴重損害。
③重度水腫:當每天尿量<400ml,有大量胸腔積液、腹水伴腎功能損害,(甚至急性腎衰竭)及高血壓、心衰等併發症時,立即套用大劑量強利尿藥,如呋塞米(速尿)60~120mg緩慢靜脈推注,但劑量不能>400~1000mg/d,因該藥劑量過大,並不能增加利尿效果,反而使不良反應明顯增加,導致不可逆性耳聾。如利尿效果仍不理想,則應考慮血液淨化療法,如血液透析或腹膜透析,而不應冒風險用過大劑量的利尿藥。
④其他利尿脫水藥:汞利尿藥可有腎實質損害,滲透性利尿藥如甘露醇,可增加血容量,加重心腦血管意外發生,還有誘發急性腎衰竭的潛在危險;保鉀利尿藥可致血鉀升高,尿少時不宜使用。而對有高尿酸血症者,應慎用利尿藥。此外還可套用血管解痙藥,如多巴胺,以達利尿目的。
5.降壓藥的套用血壓不超過18.7/12kPa(140/90mmHg)者可暫時觀察。若經休息、限水鹽、利尿而血壓仍高者,應給予降壓藥。可根據高血壓程度、起病緩急,選用以下降壓藥物:
(1)肼屈嗪(肼苯達嗪):此藥能擴張阻力血管,減輕心臟後負荷。口服劑量為25mg,2次/d,肌注每次0.15mg/kg,每12~24小時1次;靜注每次0.15mg/kg,每30~90分鐘重複1次,最大劑量為每天1.7~3.6mg/kg,好轉後改為口服,靜注可立即生效,20~40min達最高峰,降壓作用維持4~12h。其主要副作用有頭痛、心率加快、胃腸刺激。
(2)鈣通道阻滯藥:如硝苯地平(硝苯吡啶),通過阻斷鈣離子進入細胞內,而干擾血管平滑肌的興奮-收縮耦聯,降低外周血管阻力而使血壓下降,並能較好地維持心、腦、腎血流量。口服或舌下含化吸收良好,每次10mg,20min血壓下降,1~2h作用達高峰,持續4~6h,與β-受體阻滯藥合用可提高療效,並可減輕其引起的心率加快。本藥半衰期短,需多次用藥。現臨床套用廣泛且效果良好的多種長效製劑如氨氯地平、非洛地平(波依定),可酌情選用。
哌唑嗪(4)α1-受體阻滯藥:哌唑嗪(prazosin)具有血管擴張作用,能減輕心臟前後負荷,宜從小劑量開始,逐漸加量,副作用有直立性低血壓,口乾、眩暈和乏力等。
(5)二氮嗪(低壓唑,氯苯甲噻二嗪):為非利尿的噻嗪類衍生物,對嚴重的高血壓或發生高血壓腦病者可迅速降壓,且維持時間較長,不需連續滴注,套用較方便。成人50~100mg,快速靜注(10~15min注射完畢),1~2min起作用,2~5min作用最強,持續4-12h,為防止水鈉瀦留,每次注射前30~60min先靜注速尿0.5~1mg/kg(因與速尿合用可能出現直立性低血壓,有心絞痛、心衰患者忌用)。無效可30min後重複套用。降壓效果與劑量和注射速度有關,快速靜注足量藥物,能獲得充分的降壓效果。副作用是水鈉瀦留、血糖升高。
(6)硝普鈉:用於嚴重高血壓患者。用量以1μg/(kg?min)速度持續靜脈點滴。數秒內即起作用。常以5~20mg溶於100ml葡萄糖液中靜脈點滴,先從小劑量開始,依血壓情況調節滴速。此藥的優點是作用快,療效高且毒性小,既作用於小動脈的阻力血管,又作用於靜脈的容量血管,能降低外周阻力而不引起靜脈回流增加,故尤適用於心力衰竭的患者。藥品應新鮮配製,輸液瓶以黑紙包裹避光。
6.嚴重併發症的治療
(1)急性循環充血性狀態和急性充血性心力衰竭的治療:嚴格臥床,限制鈉、水入量。使用強利尿藥,發生心衰時,可用地高辛或毒毛花苷K,危重患者可採用輪流束縛上下肢或靜脈放血(每次150~300ml),以減少靜脈血液回流,減輕心臟負擔和肺淤血。酚妥拉明(rigitin)或硝普鈉可減輕心臟前後負荷,保守治療無效時,可採用腹膜透析或血液濾過脫水治療。
(2)高血壓腦病的治療:採用上述藥物積極降壓治療,首選硝普鈉劑量為5mg加入10%葡萄糖液100ml中靜脈滴注。4滴/min開始,用藥時應監測血壓,每5~10分鐘測血壓1次,根據血壓變化情況調節劑量,最大15滴/min,為1~2μ/(kg?min),每天總劑量<100μg/kg,用藥時應避光,應在4h內靜脈滴注完畢,如配製藥液>4h,則應重新配製。用藥後如病人高血壓腦病緩解,神志好轉,停止抽搐,則應改用其他降壓藥維持血壓正常。因高血壓腦病可致生命危險,故應快速降壓,爭分奪秒。硝普鈉起效快,半衰期短,1~2min可顯效,停藥1~10min作用消失,無藥物依賴性。但應注意硝普鈉可產生硫氰酸鹽代謝產物,故靜脈用藥濃度應低,滴速應慢,套用時間要短(<48h),並應嚴密監測血壓,因如降壓過度,可使有效循環血容量過低,而致腎血流量降低,引起腎功能損害。搶救急性腎炎並發高血壓危象,用硝普鈉療效可靠、安全,且副作用少。伴腦水腫時,宜採用強利尿藥及脫水劑。降低顱內壓和脫水治療應選用20%甘露醇,每次5ml/kg,靜脈注射或靜脈滴注;地塞米松每次0.3~0.5mg/kg(或5~10g/次),每6~8小時1次靜脈滴注;呋塞米每次1mg/kg靜脈滴注,每6-7小時1次脫水利尿;如有驚厥要注意對症止痙,持續抽搐者,可用鎮靜藥如地西泮(安定)每次0.3mg/kg,總量不超過10~15mg靜脈注射;或給水合氯醛保留灌腸或苯巴比妥肌注,並可輔以給氧。
7.透析治療本病於以下兩種情況時可採用透析療法:①少尿性急性腎功能衰竭,特別是高血鉀時;②嚴重水鈉瀦留,引起急性左心衰竭者,透析超濾脫水為有效措施,可使病情緩解。值得注意的是本病不宜套用糖皮質激素及非固醇類消炎藥(如吲哚美辛)、山莨菪鹼類藥物治療。
銀翹散(1)急性期:
①風寒證:表現水腫自眼瞼開始迅速波及全身,以頭面部腫勢為著,皮色光亮,尿少色赤,微惡風寒或伴發熱,骨節酸痛,鼻塞咳嗽,或有氣短,舌淡苔薄白,脈浮緊。治法主方疏風散寒,通陽利水。麻黃湯合五苓散加減。方藥運用常用藥:麻黃、杏仁、防風、桂枝、茯苓、豬苓、澤瀉、白朮、車前子等。咳嗽氣短,加葶藶子、蘇子、射干、桑白皮等;外寒證明顯、骨節酸楚疼痛,加羌活、蘇葉;血壓升高明顯,去麻黃,加鉤藤、牛膝、夏枯草;風寒兼有鬱熱,可用越婢加術湯合四苓散加減。
②風熱證:表現突然頭面眼瞼水腫,發熱,汗出,口乾或渴,咽喉腫痛,尿少而赤,舌質紅,苔薄黃,脈滑數或浮數。治法主方疏風清熱,利水消腫。銀翹散合越婢湯加減。方藥運用:常用藥:金銀花、連翹、牛蒡子、桔梗、白茅根、車前草、生麻黃、生石膏、澤瀉、甘草等。咽紅咽痛明顯,加板藍根、山豆根、黃芩;高熱口渴,重用生石膏加蘆根;頭痛加鉤藤、菊花;心煩加梔子;水腫較重加四苓散以利水消腫;血尿嚴重加大小薊、茜草、仙鶴草以涼血止血。
③熱毒證:表現全身水腫,尿少色赤,皮膚瘡毒或咽喉腫爛,口苦口渴,心煩,或有發熱,大便秘結,舌紅苔黃,脈滑數或浮數。本證多因皮膚瘡毒癰腫或咽喉紅腫、腐爛、化膿而發,以全身腫、小便短赤、大便秘結、口苦口渴、心煩、舌紅苔黃為特點。治法主方為清熱解毒,利濕清腫。五味消毒飲加減。方藥運用:常用藥:金銀花、野菊花、紫花地丁、蒲公英、白花蛇舌草、黃芩、白芭根、玉米須、土茯苓等。水腫明顯加浮萍、豬苓、車前草清熱利濕;血尿重者加小薊飲子以涼血止血;瘡毒糜爛加苦參、黃連、蒼朮;皮膚濕疹加苦參、白蘚皮、地膚子;大便秘結加生大黃;口苦心煩加龍膽草、梔子;咽喉腫爛加山豆根、馬勃。
④濕熱證:本證常見於病程中期、晚期,水腫減輕或消退之後,也可見於水腫持續階段。以血尿、頭身困重、脘悶納呆、口苦口粘、大便不爽、舌紅苔黃膩為特點。治法主方為清熱利濕,涼血止血。黃芩滑石湯合小薊飲子加減。方藥運用:常用藥:黃芩、滑石、豬苓、白蔻仁、小薊、炒蒲黃、淡竹葉、當歸、梔子。小便赤澀加白花蛇舌草、石葦、金錢草;頭痛眩暈加鉤藤、菊花;皮膚瘡毒去白蔻仁,加蒲公英、紫花地丁;口苦口粘,加茵陳、龍膽草。
⑤寒濕證:表現全身水腫,以肢體及腰以下腫為著,伴身重睏倦,脘悶納呆,小便短少混濁,舌淡苔白膩,脈沉緩。本證多見於體質虛弱或久居水濕環境者,以腰以下腫甚,身困納呆等濕困脾土症狀為特點。治法主方為通陽利水,滲濕消腫。五苓散合五皮飲加減。方藥運用:常用藥:白朮、桂枝、茯苓皮、豬苓、浮瀉、桑白皮、大腹皮、陳皮、生薑皮等。上半身腫甚而咳喘者,加麻黃、杏仁、蘇子宣肺平喘;脘悶腹脹,去桑白皮,加厚朴、川椒、防己;身寒肢冷,脈沉遲加附子、乾薑。
(2)恢復期:(症狀消失,僅尿檢異常)此期為正氣漸虛,余邪留戀階段,尤恢復早期常以濕熱留戀為主。多數人主張以驅邪為主,芳香化熱、清熱利尿是主要治則。陰虛邪戀,滋陰補腎,兼清餘熱。知柏地黃湯合二至丸加減;氣虛邪戀,健脾化濕;參苓白朮散加減。
預防:積極預防鏈球菌感染,可使本病發病率明顯下降。應做好呼吸道隔離,防止猩紅熱、化膿性扁桃體炎傳播;保持皮膚清潔,預防膿皰病。一旦發生鏈球菌感染,應及早給予有效抗生素治療,臨床上充分的青黴素治療,即可阻止腎炎菌株的流行,對降低腎炎發病率有明顯預防作用。
新鮮蔬菜1、急性腎炎的主要臨床表現為浮腫、高血壓、少尿、血尿和蛋白尿等。
2、忌食食物:鹹菜、鹹蛋、醬菜、腐乳、加鹼饅頭、海魚、公雞、豬頭肉、鵝、菠菜、辣椒、胡椒、芥末、咖啡、芹菜、小蘿蔔、豆類及其製品等。
3、急性腎炎飲食中蛋白質的攝入應根據病情而定。發病初期,應限制蛋白質的攝入量,當病情好轉時,飲食中的蛋白質可逐漸增加至正常攝取量。
4、補充足夠的維生素,多吃新鮮蔬菜、水果等鹼性食物,以調節體內酸鹼平衡,有利於機體恢復健康。在急性腎炎的早期,有浮腫、少尿、高血壓或心力衰竭時,要嚴格限制鹽和水的攝入。待浮腫減輕,尿量、血壓恢復正常後,可進低鹽飲食;待浮腫完全消失,就可逐漸過渡到正常飲食。
