臨床表現
主要表現為反覆發作的、難治性的尿頻、尿急、尿痛、血尿,恥骨上區及會陰不適,下腹墜脹感,尿失禁,性交痛等一系列症狀。病變好發部位依次為膀胱三角區、膀胱頸部、輸尿管口周圍,頸口以3~9點處多見。腺性膀胱炎的臨床表現與病變部位關係密切:病變位於三角區者主要表現膀胱刺激征;在膀胱頸部者多有排尿不暢、下腹不適感、嚴重者有排尿困難症狀;病變累及輸尿管開口者可引起輸尿管擴張及腎積水等腰部不適症狀;病變範圍較廣泛者多出現血尿;合併有膀胱結石者可有尿流中斷等表現。
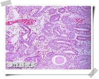
檢查
影像學檢查很重要,但一般認為確診主要是靠膀胱鏡加活檢。
膀胱鏡檢查具有以下特點:
1.病變主要位於三角區及膀胱頸部;
2.病變呈多中心性,常常散在,成片或成簇存在;
3.具有多形態性,乳頭樣、分葉狀、濾泡樣混合存在,腫物頂端接近透明狀,其上無血管長入;
4.輸尿管管口多數窺視不清。
診斷
腺性膀胱炎的診斷方法主要依靠影像學檢查和膀胱鏡檢查,確診需膀胱鏡下病理活檢的支持。影像學檢查很重要,但一般認為確診主要是靠膀胱鏡加活檢。
鑑別診斷
本病特點與典型的膀胱移行細胞癌較易區別,但有些病例與濾泡樣慢性膀胱炎及腺癌鑑別困難。需活檢做病理學診斷。
治療
腺性膀胱炎的治療主要為藥物治療、手術治療以及兩者的結合,而手術治療可採用腔內或開放手術,藥物治療為膀胱腔內灌注法。
腺性膀胱炎治療方法:
1.解除感染、梗阻及結石等慢性刺激後採取相應治療
首先需解除感染、梗阻及結石等慢性刺激,然後根據病變類型、部位及範圍採取相應治療。如在處理膀胱出口梗阻的前提下,經尿道電灼、電切術加膀胱灌注等。因腺性膀胱炎易復發,採用經尿道電灼術或電切術對患者創傷較輕,可反覆操作,可作為腺性膀胱炎首選治療方法。對電灼術或電切術的時機,最好在尿常規正常後手術較為安全、有效、且不易復發,切除範圍應遵循淺表膀胱癌的手術原則進行,對於瀰漫性改變或已有癌變者行全膀胱切除術式。
2.膀胱內灌注藥物治療
膀胱內灌注藥物治療與膀胱腫瘤套用藥物相同,分兩類:
(1)化學性毒性藥物可直接破壞DNA,干擾DNA複製,主要作用S期,對G0期無作用,從而可抑制異常膀胱黏膜的非正常增生及不典型增生等;
(2)免疫抑制劑如白介素—2、卡介苗、干擾素等,可通過激發全身免疫反應和局部反應來預防病變復發。
腺性膀胱炎在有效的經尿道電灼術或電切術後,使用有效的藥物膀胱灌注,可進一步降低腺性膀胱炎的復發,提高腺性膀胱炎的治療效果。
男性疾病
佩羅尼病 | 出血性膀胱炎 | 前列腺囊腫 | 前列腺囊腫症 | 前列腺精囊炎 | 多睪症 | 射精困難症 | 弱精子症 | | 急性淺表性包皮龜頭炎 | 手淫強迫症 | 無精子 | 滴蟲性包皮龜頭炎 | 男性性交疼痛 | 睪丸囊腫 | 睪丸炎 | 睪丸腫瘤 | 精囊炎 | 精囊腺 | 精囊腺炎 | 精子分析儀 | 精子增多症 | 精阜炎 | 腎性貧血 | 腹股溝疝氣 | 腺性膀胱炎 | 腺通茶 | 血精症 | 輸精管道梗阻 | 選擇性陰莖背神經切斷術 | 陰囊絲蟲病 | 陰囊壞疽 | 陰囊損傷 | 陰莖勃起不足 | 陰莖勃起功能障礙 | 陰莖扭轉 | 陰莖骨折 | 男性不孕不育症 | 包皮包莖 | 陰莖環 | 隱匿性陰莖 | 小便刺痛 | 畸形精子症 | 武文帥 | 睪丸異常不育 | 陰莖延長 | 龜頭炎 | 前列腺增生 | 陰囊潮濕有異味 | 精液帶血 | 睪丸疝氣 | 龜頭炎 | 前列腺炎 | 前列腺痛 | 性功能障礙|細菌性前列腺炎

