病因
轉移性肝癌臨床表現
繼發性肝癌的臨床表現與原發性肝癌相似,但因無肝硬化,症狀也較輕。早期主要為原發灶的症狀,肝臟本身的症狀並不明顯,大多在原發癌術前檢查、術後隨訪或剖腹探查時發現。隨著病情發展,腫瘤增大,患者出現肝區痛、悶脹不適、乏力、消瘦、發熱、食欲不振及上腹包塊等症狀。晚期則出現黃疸、腹水、惡病質。也有少數患者肝轉移癌症狀明顯,而原發病灶隱匿不顯。檢查
轉移性肝癌檢查2.有症狀者多伴有ALP、GGT升高。
3.癌胚抗原CEA升高有助於肝轉移癌的診斷,結直腸癌肝轉移時CEA陽性率高達60%~70%。
4.選擇性肝血管造影可發現直徑1cm的病灶。
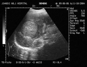
5.超聲顯像可顯示2cm的腫物。有症狀者,各項定位診斷方法的陽性率可達70%~90%。
6.選擇性腹腔或肝動脈造影多顯示為少血管型腫瘤;
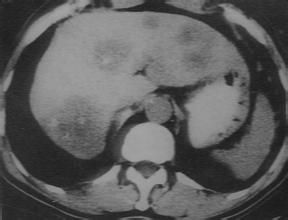
7.CT表現為混合不勻等密度或低密度占位,典型的呈現“牛眼”征;
8.MRI檢查肝轉移癌常顯示信號強度均勻、邊清、多發,少數有“靶”征或“亮環”征。
診斷
1.有原發癌病史或具有肝區腫瘤臨床表現者;2.無明顯其他肝功能異常而出現酶學陽性;
3.影像學檢查顯示實質性肝占位病變,多為散在或多發;
4.腹腔鏡或肝穿刺證實;
5.原發病手術發現肝臟轉移,診斷要依靠病理檢查。
鑑別診斷
轉移性肝癌的治療1.原發性肝癌
①多有肝病背景,B肝或C肝標記物常陽性;②常伴肝硬化;③血AFP常明顯升高;④B超常顯示實質不均質光團,部分伴有暈圈;⑤彩超常顯示豐富的血流,可測及動脈頻譜,阻力指數常大於0.60;⑥CT增強掃描的動脈相常顯示增強效應,但靜脈相增強效應減弱,呈現“快進快出”的特點;⑦門靜脈癌栓幾乎是原發性肝癌的特徵性徵象。
2.肝海綿狀血管瘤
①發展慢,病程長,臨床表現輕;②B超多為強回聲光團,內有網狀結構;③彩超檢查並不顯示豐富的彩色血流,少見動脈頻譜;④CT增強掃描可見造影劑填充,周邊向中心蔓延,延遲相像仍為高密度;⑤肝血池掃描陽性。
3.肝膿腫
①有肝外(尤其膽道)感染病史,常有寒戰、高熱;②血白細胞總數及中性粒細胞數常增高;③B超可表現低回聲占位,有時可見液平;④CT可見低密度占位,注射造影劑後無增強現象;⑤必要時行肝穿刺檢查,有時可抽得膿液。

