病因
轉移性肺癌是身體其他部位的惡性腫瘤轉移而來,其途徑可以是血行播散、淋巴道轉移或鄰近器官直接侵犯。以絨毛膜癌、乳腺癌多見,惡性軟組織腫瘤、肝癌、骨肉瘤和胰腺癌次之;還有甲狀腺癌、腎癌、前列腺癌等。
肺轉移瘤以血行轉移最為常見,血行轉移為腫瘤細胞經腔靜脈回流到右心而轉移到肺。淋巴道轉移多由血行轉移至肺小動脈及毛細血管床,繼而穿過血管壁侵入支氣管血管周圍淋巴結。常發生於支氣管血管周圍間質、小葉間隔及胸膜下間質,並通過淋巴管在肺內播散。腫瘤向肺內直接轉移的原發病變為胸膜、胸壁及縱隔的惡性腫瘤。
臨床表現
轉移性肺癌大多數無特異性臨床表現,約2/3患者無症狀,1/3患者出現不典型的症狀,如咳嗽、咳痰、咯血、胸悶、胸痛及氣短,晚期可以出現呼吸困難、低熱、消瘦等表現。轉移性肺癌臨床症狀輕重與原發腫瘤的組織類型、轉移途徑、受累範圍有密切關係,如果轉移性肺癌並發癌性淋巴管炎、大量胸腔積液、肺不張或上腔靜脈受壓時,則呼吸困難更為明顯。繼發感染可有發熱。肺性肥大性骨關節病和杵狀指比原發性肺癌少見。
轉移性肺癌的臨床症狀隨轉移部位的不同而不同,如果轉移發生在肺間質,為孤立性結節時,常無臨床症狀;如果轉移灶位於支氣管內膜,患者可出現呼吸道症狀;臨床出現胸痛常見於同時有肋骨轉移者;少數病例的支氣管黏膜受侵犯可出現小量咯血,但絨膜癌肺轉移可發生大咯血;當轉移瘤侵犯胸膜、主支氣管或鄰近結構時,可出現與原發性支氣管肺癌相同的症狀,如咳嗽、痰中帶血絲、胸痛、胸悶、氣急等。
轉移性肺癌的發生時間一般在原發腫瘤治療後的7個月到3年間,有15%~30%科首先出現肺部轉移,而原發腫瘤尚未查出或難於查出,這多見於消化系統腫瘤,如:胃癌、肝癌、胰腺癌等。
診斷
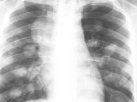
1.影像學特點
轉移性肺癌的X線表現:
(1)結節型 通常是肺小動脈和靜脈內的小癌栓所致。X線線上表現為單個、數個或數十個肺部結節,結節病灶分布在下肺葉較上肺葉多。部分轉移性肺癌病灶表現為粟粒型。單發轉移性肺癌胸部CT表現為邊緣光滑或淺分葉,四周一般沒有子病灶。腎癌轉移性肺癌的轉移結節可成“炮彈樣”陰影,甲狀腺來源的轉移性肺癌可呈“雪花樣”改變,來源於骨肉瘤或軟骨肉瘤的轉移性肺癌可伴有鈣化。無論是單發,還是多發性肺轉移結節一般都不發生肺門及縱隔淋巴結腫大。
(2)淋巴和間質播散型 為淋巴道轉移的特徵。首先出現肺門濃密陰影,然後向肺野放射性擴散,呈向心性分布。高分辨CT薄層掃描可見肺間質增厚,外周紋理增多,肺葉間裂增寬。
(3)癌栓型 常和淋巴和間質播散型混合存在,也可單獨出現。影響學上可見肺動脈擴張,右心房擴大。CT肺血管造影可見肺動脈1~4級血管腔內充盈缺損。胸部強化MRI可見肺動脈瘤栓信號。
(4)氣管內型 X線胸片可見氣管狹窄,肺呈段、葉或全肺不張。多見於乳腺啊、結直腸癌、腎癌和其他泌尿系統腫瘤肺轉移癌。
(5)胸膜播散型 胸部X線片見胸腔積液,胸部CT可見胸膜結節及胸腔積液。
2.腫瘤標緻物
當原發腫瘤灶不明顯時,一些腫瘤標緻物有助於轉移性肺癌的診斷。如:AFP升高提示肝癌、睪丸癌或其他生殖細胞癌肺轉移;CEA明顯升高提示大腸癌、胃癌和胰腺癌;B-HCG升高提示絨毛膜癌和生殖細胞癌;ACP、PSA升高提示前列腺癌;CA19-9升高提示胰腺癌和膽囊癌。
鑑別診斷
1.肺結核瘤
單發、空洞,多呈厚壁裂隙樣,可見局限弧形、環形或瀰漫性斑點狀鈣化。與肺門間常有索條狀陰影相連,附近肺野有衛星灶。
2.肺麴黴菌球病
肺麴黴菌球病的肺部病變可有典型的空氣新月征時,而且可以隨體位改變而變化。
3.粟粒性肺結核
當轉移性肺癌表現為肺部多發性結節時,需要與粟粒性肺結核鑑別。粟粒性肺結核多發生在較年輕的病人,常常有結核中毒症狀,痰檢常能查到結核桿菌,血沉加快。
4.肺動脈栓塞
轉移性肺癌癌栓型常常需要與急性肺動脈栓塞鑑別。急性肺動脈栓塞常常有深靜脈血栓形成的病史、有較嚴重的肺換氣功能不全,肺動脈造影有助於鑑別診斷。
治療
外科手術治療、化療和放射治療是轉移性肺癌的三個主要治療方法。治療的選擇需要視原發腫瘤的狀態、轉移性肺癌的類型、部位、數量及患者的一般狀況來決定。外科手術治療是轉移性肺癌治療的第一選擇,也是目前治療轉移性肺癌的標準治療手段。如果沒有其他部位的轉移,肺轉移瘤切除術可以達到根治的效果。許多腫瘤對於化學治療(化療)和放射治療(放療)均不敏感,如軟組織肉瘤肺轉移,手術是最重要的治療手段。從經濟學的角度,手術的成本、效果比值也更高。在滿足手術條件的患者中,預計超過三分之一的患者能獲得長期生存(>5年)。孤立性肺轉移結節並不一定是全身性或不可治癒的原發性惡性腫瘤的臨終階段。轉移性肺癌肺切除術患者需要滿足的手術條件包括控制原發腫瘤、能完整切除所有轉移、沒有胸外轉移以及心肺功能足以耐受手術。對於轉移性肺癌患者,控制原發癌,排除胸外轉移,完全切除所有可觸及的轉移瘤意味著延長生存期。轉移性肺癌肺切除術也可用於再分期,提示預後,指導進一步治療。
對少數病例肺部僅有單個轉移結節,或雖有幾個轉移灶但均屬限於一個肺葉或一側肺內,如原發腫瘤經治療後已得到控制,無局部復發,身體其他部位經各種檢查又未發現另有轉移病灶,全身情況可以承受肺切除術者,應考慮手術治療。但肺切除術的範圍應儘量保守,一般僅作楔形或肺段肺葉切除術。術後按腫瘤的病理診斷適當給予抗腫瘤藥物治療。有的病例轉移病變切除後經過數月或數年肺部又出現新的孤立性轉移病灶,只要其他器官組織仍無轉移則尚可再次作肺切除術。
對於雙肺多發轉移性肺癌,如原發腫瘤經治療後已得到控制,無局部復發,身體其他部位經各種檢查又未發現另有轉移病灶,全身情況可以承受肺切除術者,可以應考慮施行經胸骨劈開雙肺轉移性肺癌的局部切除、同期胸腔鏡施行雙肺轉移性肺癌局部切除或/和分期雙側開胸轉移性肺癌局部切除。
化療對於轉移性肺癌療效有限。化療的原則是:選擇與其原發腫瘤化療相同的化療藥物。
放射治療對Wilms腫瘤、Ewing肉瘤和生殖細胞轉移性肺癌較敏感,對於一側肺或雙肺單發的轉移性肺癌可以給予放療。
預防
以積極治療原發腫瘤為主。
預後
通常肺結節數量少,腫瘤倍增時間長的轉移性肺癌患者,肺轉移瘤切除術後有較長的無瘤生存期,但是不同惡性腫瘤的轉移性肺癌患者術後生存時間也不相同。預後最好的是轉移性生殖細胞腫瘤,而轉移性黑色素瘤預後最差。最重要的預後指標,往往是反映開胸術後能否長期生存的惟一指標,即肺轉移瘤完全切除。如果所有轉移病灶能夠切除,避免併發症發生,儘量保留肺組織,那么就能獲得長期緩解和生存。所有實體腫瘤開胸手術不能完全切除意味著術後生存期縮短。年齡和性別不是影響預後的因素。影響預後的主要因素包括:肺部轉移瘤個數、轉移瘤直徑、轉移瘤的部位(單肺或雙肺)、倍增時間、肺門縱隔淋巴結轉移、原發腫瘤類型及狀況等。

