老年人缺血性結腸炎老年人缺血性結腸炎是中老年人由於結腸缺血而得的一種結腸病,也就是某一段結腸組織由於某些原因引起供血不足,導致該段腸壁損傷或壞死的疾病。是由於支配結腸的動脈或其分支發生阻塞性疾病使局部腸壁供血減少或缺如而發生的腸道損害。
病因病理
本病多見於中老年,多位於結腸脾曲、降結腸和乙狀結腸,因該處血供相對較差常由於低血容量性休克、心衰等“低流灌注”引起;此外,也見於腸系膜下動脈結紮、栓塞或血栓形成腹主動脈重建術或大動脈炎後急性結腸缺血大多為一過性可逆性改變少數可發生全腸壁壞死穿孔或持續性結腸失血。
流行病學
患病趨勢:本病以50歲以上者常見,男性多於女性,因檢查手段不到位,極容易誤診,尚無系統的統計資
發病機制
老年人缺血性結腸炎影像結腸血液主要由腸系膜上動脈和腸系膜下動脈供給而腸壁內的局部循環則由一系列成對的小血管構成 。腸黏膜接受腸壁流量的50%~75%,因此血流的變化受影響最大的首先是腸黏膜。
處於兩支動脈末梢供血區域交界處的左半結腸容易發生供血不足,因此發病部位以左半結腸最多。據Marcoso統計,累及降結腸及乙狀結腸者最多(約占45.2%)其次為結腸脾區(43.8%)及橫結腸(31.5%) 僅少數病例發生在升結腸(16.4%)或直腸(11%)。因而缺血發生腸管狹窄者,則主要位於結腸脾區及降結腸。
降結腸不管缺血是阻塞性或非阻塞性其臨床過程是一致的, 一旦局部供血動脈發生阻塞,側支循環不易形成時,腸壁即發生缺血,而功能及代謝最為活躍的黏膜層最易受到缺氧及缺血的影響,發生水腫、充血、壞死、出血;當局部循環持續淤滯而得不到改善時,則病變可向深層發展到肌層及漿膜,引起全層腸壁梗死甚至穿孔,非阻塞性腸缺血一般認為是可復性的但對年齡大或有嚴重心血管疾病的病人來說完全恢復是很困難的;阻塞性缺血是血流的機械性梗阻,因此病情是嚴重的但在有側支循環形成的情況下,病變也可以較輕。
臨床表現
老年人缺血性結腸炎實例圖老年人缺血性結腸炎通常是自發性的 ,沒有特異性的症狀或體徵其臨床表現由於其嚴重性、累及範圍、缺血損害發生的快慢、腸壁對缺氧的耐受程度不同而不同。通常可見60歲以上的老年患者,以往並無結腸疾病史的,而突然出現急腹症的表現 。其最一致的症狀和體徵是:腹痛、腹瀉及便血鶒。這種失血通常量很少,疼痛發作急驟,為痙攣性 ,常常局限於左下腹;大便急,並常伴有疼痛;可能出現繼發與腸梗阻的症狀,如厭食、噁心、嘔吐腹部檢查常可見與缺血結腸相對應部位的腹脹和觸痛。一般沒有明顯的發熱,直腸檢查常可見帶血的大便。心血管檢查一般無陽性發現。
某些病人可能遲發性的全層壞疽,累及結腸不同長度的腸段 ,產生極為嚴重的腹部疾病如:膿毒症、休克的臨床表現。按照病理基礎的不同 ,可分為以下3型:
1.壞疽型 常因結腸動脈主支血運障礙而導致結腸大塊壞死,潰瘍深達肌層及漿膜層臨床特點為:起病急驟,常突發左下腹或左季肋部劇痛,呈絞痛性質,陣發性加重,伴有腹脹,進而排出暗紫色或鮮血便,並可有血水樣腹瀉每天數次至數十次,後者可發生腸穿孔及腹膜炎,並出現腹部壓痛、反跳痛、腸鳴音減弱等相應的表現。
2.狹窄型 是因腸壁顯著水腫,增厚,僵硬導致管腔狹窄,又因常有痙攣,使腸壁狹窄更為明顯,病人可有腹脹、腹痛、腹瀉嚴重者也可有便血,但輕者可無症狀。
3.一過型 鶒是因結腸終末小動脈輕度血運障礙所致的結腸小範圍節段性病變通常只累及黏膜層和黏膜下層 但其腸壁的結構和功能可在1-2周內完全恢復起病有不同程度的左側腹痛,多有血便和腹瀉,並可伴有發熱、心動過速,數天而愈。一般不復發鶒。
併發症:
常見有腸穿孔及腹膜炎。
鑑別診斷
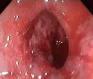
老年人缺血性結腸炎內鏡檢查主要根據其有可能的致病因素或病因相應的臨床表現 一系列結腸X線及內鏡檢查。臨床須與菌痢、潰瘍性結腸炎、假膜性小腸炎相鑑別。
檢查
實驗室檢查:
血液白細胞輕到中度增高,以中性多形核細胞增多為主,大便常規檢查見大量紅細胞,潛血陽性。
其它輔助檢查:
1.影像學檢查
(1)腹部平片 :可出現腸壁水腫增厚、腸脹氣、腹腔積液等徵象。
(2)鋇灌腸檢查:有重要意義,有人認為是本病的首選檢查手段。
其表現有:
①“拇指印”征或假瘤征 :是本病的典型表現但可在數天內消失。其病理基礎為腸壁缺血水腫,黏膜下的積液或積血將柔軟的黏膜推向腸腔內 ,因此,鋇灌腸時,可見腸管邊緣出現多數半圓形、直徑1~3cm ,有柔軟感的切跡,這種改變通常位於脾曲遠端橫結腸和降結腸
②鋸齒征或管腔狹窄:在原來病變的基礎上如果黏膜高度水腫,則出現管腔的狹窄,如果產生表淺潰瘍則可見腸壁呈鋸齒狀改變。
2.纖維結腸檢查 對本病的早期診斷有重要價值,但應注意壞疽型不宜做結腸鏡檢查。其鏡下表現為:
(1)急性期:起病72h以內 ,黏膜充血、水腫,多見散在出血點淺表糜爛,約半數可有淺表潰瘍,病變呈節段性分布界限清楚;活檢可見炎細胞浸潤鶒,小血管內纖維素樣血栓形成腺管破壞及灶性出血
(2)亞急性期:起病72h至7天,可見典型縱行潰瘍形成,並可見明顯的炎性滲出物;活檢可見組織壞死及肉芽修復。
(3)慢性期:起病後兩周至兩個月,鏡下僅見輕度炎症改變無特徵性。活檢整體退行性變纖維組織及肉芽組織增生並可見較特異的含鐵血黃素沉著
3.CT檢查 可見腸壁水腫增厚,有時可見腸系膜動脈內血栓等。
4.選擇性動脈造影 只能評價血管的直徑,而不能評價血流,因此,在非梗阻性因素所致的老年人缺血性結腸炎沒有特異性表現。但當存在血管的痙攣、梗阻時,則有助於診斷 。由於血管梗阻性病變僅占1/10~1/6,故本檢查陰性時,不能排除診斷。
疾病治療
老年人缺血性結腸炎治療老年人缺血性結腸炎的治療取決於病因、敏感性以及疾病的嚴重程度,一旦診斷確定,並且臨床檢查 不提示有腸道的壞疽或穿孔,則採用保守療法。
1.支持治療 一般情況下 如果病人有腹痛,則給予胃腸外營養,使腸道得以休息,並儘快停用可引起腸道缺血的藥物。積極改善全身及局部血液循環 ,如補足循環血量鶒,糾正心力衰竭心律失常、休克等。
2.防治腸道繼發感染 可套用對需氧菌和厭氧大腸埃希菌均有效的廣譜抗生素。
3.給氧和腸管減壓 如果有腸梗阻,則予以胃腸減壓,並持續給氧有助於改善全身和局部狀況。
4.擴血管藥物治療 已經證實,罌粟鹼硝酸甘油、異丙腎上腺素、緩激肽組胺、5-羥色胺、血管活性腸肽、胰導糖素能夠使結腸血管擴張 並增加結腸血流或組織氧供根據病情適當給予低分子=示例右鏇糖酐。
5.血管造影 可經導管給予罌粟鹼1.0mg/ml,可直接作用於缺血並伴有腸系膜動脈痙攣的血管,使之擴張並可維持輸注24h。
6.外科手術治療
老年人缺血性結腸炎手術(1)手術指征:老年人缺血性結腸炎的手術指征如下:
①疾病急性期:
A.治療過程中發生頑固的膿毒症。
B.腹膜刺激征
C.腹腔內游離氣體
D.內鏡下可見壞疽。
E.持續性腹瀉、直腸出血或蛋白丟失性結腸病變14天以上。
②疾病慢性期:
A.慢性節段性結腸炎並伴有臨床反覆發作的膿毒症。
B.症狀性結腸狹窄。
(2)手術中腸管活力的判斷方法:
①溫鹽水紗布或包敷腸管10-20min ,觀察腸管的存活情況,但有時較難正確判斷,有人評估這種方法的敏感性為78%
②靜脈內螢光素檢查:在術中於靜脈內注射螢光素1000mg,在紫外燈下觀察,如腸管呈均勻的黃綠色則為正常,否則為無活力的腸管 。
③都卜勒檢查:術中多用都卜勒超聲檢查腸管血流情況,能較可靠地判斷腸管活力和切除範圍。
④其他:腸腔內pH測定、經結腸血氧飽和度測定等。
(3)手術方法:主要為腸系膜血管重建和失活腸管切除前者又包括血管移植、動脈旁路、動脈血栓摘除和油膜剝脫術等。
7.康復治療
(1)在院或出院的病人應該進行擴血管治療,定期複查血糖血脂,控制高血壓減少或避免血栓形成及老年人缺血性結腸炎的發生。
(2)已進行手術治療的病人,尤其是有腸管切除者,應該注意靜脈營養,病人可進食後注意膳食調配,調整營養狀態。
8.擇優方案 密切觀察生命體徵及腹部體徵應先行以擴血管藥物為主的保守治療,如出現外科手術指征,則應儘早手術治療。
預防
1.三級預防
老年人缺血性結腸炎預防一級預防:本病以動脈硬化所致者為多見,所以早期控制高血壓、冠心病、糖尿病,可以延緩此病鶒的發生。
二級預防:本病症狀與體徵不相符,如年齡大,伴有高血壓、動脈硬化、糖尿病等疾病,突然發生腹部絞痛腹瀉,伴黏液膿血便者,應首先考慮此病以便早些治療。
三級預防:①在院或出院的病人應該進行擴血管治療,定期複查血糖、血脂,控制高血壓減少或避免血栓形成及老年人缺血性結腸炎的發生。②對已進行手術治療的病人,尤其是有腸管切除者,應該注意靜脈營養病人可進食後 ,注意膳食調配,調整營養狀態。
2.危險因素 腸壁缺血主要分為動脈流入的阻塞鶒靜脈回流的阻塞,以及灌注不足等3方面因素,具體有如下危險因素:
(1)腸系膜動脈狹窄或閉塞:可以是動脈粥樣硬化導致的腸系膜動脈狹窄,也可以是動脈粥樣硬化斑脫落的微小栓子造成腸管末端動脈閉塞。
(2)非閉塞性腸系膜動脈缺血(低流量綜合徵):主要因為心肌梗死心肌病、充血性心衰、心律失常或低血容量性休克等疾病導致心輸出量下降而引起,也有報導在心臟病人大劑量套用洋地黃時,導致腸系膜小動脈收縮血流障礙而引起本病,其他如影響結腸血管微循環的藥物也可能誘發本病的發生。
(3)腸系膜靜脈血栓形成:主要是某些血液病、腹腔內膿毒症、腹部外傷或服用含雌激素的避孕藥導致的血液高凝狀態。
(4)腸腔因素:在動脈硬化等血管病變的缺血以至缺血前狀態(慢性血行障礙)的基礎上,加上某些原因引起的腸腔內壓上升,及伴隨的一時性強烈蠕動 ,如在高度便秘或腸痙攣時,腸內動靜脈分流開放,導致腸系膜血管的血流下降,如有細菌侵入結腸黏膜更加重缺血的損害。
(5)某些全身性疾病:如結節性動脈周圍炎、系統性紅斑狼瘡類風濕性關節炎、皮肌炎、白塞綜合徵、過敏性紫癜等涉及小血管病變者、糖尿病等。
