疾病概述
中耳癌中耳癌為發生於中耳的惡性癌腫,它占耳部腫瘤的1.5%,占全身腫瘤的0.06%。中耳癌的誘因,很可能是中耳的長期感染,據統計88%的中耳癌患者有慢性化膿性中耳炎的病史。其發病年齡多為40-60歲,本病病理是以鱗狀上皮細胞癌最常見,基底細胞癌和腺癌較少見。病因及危險因素病因不明,因多數有慢性化膿性 中耳炎 病史,而疑與長期刺激有關。病理上以鱗狀細胞癌為主,腺癌與肉瘤極少。
成因:約80%的中耳癌病人有慢性化膿性中耳炎病史,故認為其發生可能與炎症有關,因中耳炎症使得鼓室黏膜上皮因血循環及營養障礙,可轉變成復層上皮。
症狀:1:出血 耳內出血或有血性分泌性為最早和最常見的症狀,對早期診斷有幫助2:耳痛 早期為耳內發脹感,到晚期則有明顯疼痛3:聽力減退 4:張口困難 早期因炎症,疼痛而反射性地引起下頜關節僵直5:面癱 出現的早晚與腫瘤侵犯的部位有關6:眩暈 中耳癌的早期一般不侵犯迷路,致病的晚期才出現7:其他腦神經受累症狀8:頸淋巴結腫大9:遠處轉移 血行
中耳癌臨床表現:血性耳漏,耳聾、耳內發脹,常為早期症狀。繼而有耳深部跳痛,向顳部和枕部放射。多數患者的中耳腔或骨性外耳道後壁有肉芽或息肉樣組織生長,堵塞耳道,易於出血。癌瘤起於鼓岬或乳突者,早期即可出現面癱、眩暈;晚期出現張口困難及第Ⅴ、Ⅵ、Ⅸ、Ⅹ、Ⅺ、ⅩⅡ腦神經癱瘓等症狀群。頸淋巴結轉移可發生於患側或雙側,亦有轉移至內臟或骨骼者。顱底頦頂位及顳骨體層X線攝片或CT檢查可示癌瘤侵蝕範圍;經病理檢查可以確診,且可依其類型選擇治療方法。此外,取外耳道分泌物作脫落細胞檢查,也有助於診斷。
治療:中國內主要採取放療、化療、手術及中醫中藥等綜合性治療。一般都認為手術和放療聯合治療,是較好的結合。其中臨床上常見的方式有:擴大的乳突根治術、顳骨次全切術、顳骨全切術。術後給予大劑量抗生素預防感染,交替靜脈注射高滲葡萄糖、甘露醇、速尿及地塞米松等預防腦水腫。一周內隔日作腦脊液檢查。
病因病理
中耳癌發病前常有生氣、憂鬱、悲傷等情緒刺激變態反應,以及疲勞、飲酒、妊娠和環境氣壓溫度改變等誘因。據最近十餘年文獻報導的種種病因不下200種,據Morrison(1976年)統計,中樞性病變占50%,蝸後病變占17%,外傷10%,特發性23%。現將特發性病因分述如下:
一、病毒感染 患者發病前一個月內多有上呼吸道感染史,據報導上呼吸道感染中突聾發生率為8%~30%。通過血清學和病毒分離法已證實,能引起突聾的病毒有腮腺炎病毒、麻疹病毒、流感和副流感病毒、腺病毒Ⅲ型等,均可引起病毒性內淋巴性迷路炎,帶狀皰疹病毒可引起病毒性神經元炎和神經節炎。病毒進入內耳的感染途徑為:①通過血循環進入內耳。②由蛛網膜下腔經耳蝸導水管進入內耳。③經中耳黏膜彌散進入內耳。感染後病毒大量增殖,與紅細胞粘附,使血流滯緩和處於高凝狀態,又因病毒可使血管內膜水腫,故甚易發生血管栓塞,導致內耳血運障礙,細胞壞死。
二、內耳血管病變 在患有糖尿病、高血壓動脈硬化及心血管疾病者,內耳血管基質更易發生痙攣和血栓形成。由此可解釋為何病人多因勞累、憂慮等因素而誘發。近年有人對突聾病人進行血脂、膽固醇和血流圖等觀察,尚未發現與發病有重要相關因素。Wright(1975年)報告1例心肺旁路手術後並發突聾,鍾乃川(1980年)曾報告西北高原2例紅細胞增多症誘發突聾,即因內耳血管栓塞造成突聾的例證。
三、內耳窗膜破裂 噴嚏、擤鼻、嘔吐、性交和潛水等,可引起靜脈壓和腦脊液壓力驟然升高,除可引起蝸窗、前庭窗膜破裂外,還可引起前庭膜、覆膜和內淋巴囊破裂,有潛在的先天性內耳畸形者更易發生,由此可引起淋巴液離子紊亂和細胞中毒,梅尼埃病內淋巴液過多,亦可以造成蝸窗破裂而發生突聾。
症狀表現
中耳癌(一)耳痛:為早期症狀,常為脹痛,晚期疼痛劇烈,為持續性,可放射到顳部,乳突部及枕部。
(二)聽力減退:早期出現,但病人常因耳痛而分散注意力,或因原有中耳炎聽力已減退或對側聽力良好之故。
(三)血性耳分泌物:早期常見耳帶血性分泌物,晚期若癌腫破壞血管,可發生致命性大出血。
(四)張口困難:早期可因炎症,疼痛而反射性引起下頜關節僵直,晚期則多因癌腫侵犯下頜關節所致。
(五)神經症狀:癌腫侵犯面神經可引起同側面神經癱瘓,侵犯迷路則引起迷路炎及感音神經性耳聾,晚期可侵犯第Ⅴ、Ⅳ、Ⅹ、Ⅺ、Ⅻ顱神經,引起相應症狀,並可向顱內轉移。
(六)檢查:可見外耳道或中耳腔有較多肉芽或息肉樣組織,觸之較硬易出血,並有血膿性分泌物,有時惡臭。肉芽組織去除後,迅速再出現種情況,應作活組織檢查。亦可取耳內分泌物作脫落細胞檢查。
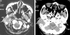
X線檢查,晚期可見骨質破壞,鼻咽部檢查不應疏忽,因中耳癌亦可原發於鼻咽部。
常見的主要症狀為耳深部跳痛或刺痛、耳流膿或膿血性分泌物、耳悶、耳鳴、聽力減退、眩暈和面癱等,晚期可能有其他腦神經受累症狀,或有顱內與遠處轉移症狀。由於病程長短、病變部位及擴展方向不一,臨床表現有所不同。早期症狀多不明顯,或被慢性化膿性中耳炎症狀所掩蓋。
診斷方法
中耳癌可見外耳道深部或鼓室內有肉芽樣或息肉樣新生物,質脆易出血,病檢可確診。顳骨和顱底的X線平片或CT掃描有助於確定原發部位與破壞範圍。應詳查鼻咽部以排除 鼻咽癌 。仔細查找腮腺區和頸上深處有無轉移淋巴結。預防中耳炎及對慢性化膿性中耳炎及時根治是防止發生中耳癌有效措施。
凡遇下列情況要高度懷疑為中耳癌變:
①外耳道深部或鼓室內有肉芽或息肉樣新生物,切除後迅速復發或觸之易出血;
②慢性化膿性中耳炎耳流膿轉變為流膿血性或血性分泌物;
③耳深部持續疼痛與慢性化膿性中耳炎耳部體徵檢查不相稱;
④乳突根治術腔長期不愈並有頑固性肉芽生長;
⑤慢性化膿性中耳炎症狀突然加重或發生面癱。
診斷中耳癌,主要依靠臨床檢查,確診靠活檢病理診斷。診斷應當包括腫瘤所侵犯的範圍,有無顱底和顱內結構的侵犯和破壞,有無腮腺和面神經侵犯,如有頸部淋巴結腫大,應當進行針吸細胞學檢查以確定手術方案。常用的檢查手段有:
1.耳鏡檢查 可見外耳道、中耳有肉芽、息肉樣或乳頭狀新生物,觸之易出血。
2.CT、MRI檢查 可明確腫瘤侵犯範圍。
3.全身檢查 除外繼發性和轉移性癌腫。
治療方法
中耳癌放射治療採用60Coγ射線和直線加速器。術前放療量最適宜的劑量為4000-6000 rad/6-7周,術後和單純放療應為6000~6900rad/6-7周。(這裡主要指60Coγ射線量)。
化學療法可輔助手術或放療的不足,或對放療不敏感者。亦有倡導術前化療者,認為可減少術中癌細胞的擴散。中耳癌以鱗狀癌細胞最多見,故目前選用的化療藥物以環磷醯胺、5-氟脲嘧啶和爭光黴素為主。合併用藥的療效較單獨套用者好,可選用前兩種藥物合併使用,亦可三種同時套用。
手術治療:一般國內外醫者都認為手術和放療聯合治療,是較好的結合。其中臨床上常見的方式有:擴大的乳突根治術、顳骨次全切術、顳骨全切術。術後給予大劑量抗生素預防感染,交替靜脈注射高滲葡萄糖、甘露醇、速尿及地塞米松等預防腦水腫。一周內隔日作腦脊液檢查。
採用手術加放療的綜合治療,晚期可予姑息支持治療。常用的手術切除方法有:
1.顳骨部分切除術 切除部分顳骨鱗部和鼓部及全部外耳道和中耳,游離並保護面神經,適用於局限於中耳乳突腔內的腫瘤。
2.顳骨次全或全切除術 適用於腫瘤已侵犯內耳、岩尖者。有淋巴結轉移者應行頸淋巴結清掃術。中耳癌向腮腺、顳頜關節和腦膜擴展的應作相應範圍的切除,對缺損的術腔可採用游離植皮或帶蒂肌皮瓣修復(顳肌肌瓣、胸大肌或背闊肌肌皮瓣),以保護腦及腦膜、頸內動脈或頸靜脈球等重要構造。
術後切口癒合、全身及局部無明顯不良反應者,一般狀況良好,術後1個月可出院,可在門診放療,在所屬醫療單位就近隨訪,1-3個月複查一次。由於手術牽涉到顳骨內及顳骨周圍的許多重要結構,因而手術複雜,可能產生併發症較多,併發症有腦膜炎、顱內出血、腦脊液漏、腦疝等,可以危及病人生命,故中耳鱗癌預後不佳,手術治癒率僅為25%,而手術死亡率高達30%,對廣泛侵犯頸部、岩尖、顱底或該區域重要結構的患者一般採用姑息療法,可以放療或顳骨次全切除加放療。
鑑別診斷
中耳癌中耳癌的病人,早期外耳道流出血性分泌物而且很臭,在外耳道或中耳有肉芽組織。常有耳痛及耳聾,半數病人有面神經麻痹,即口歪眼斜的現象,晚期可有眩暈和其它腦神經引起的症狀。
因此如果耳部流膿長久不愈,並有經常流血,要及時到醫院診治,不要自認為是中耳炎而延誤治療。
耳部的惡性腫瘤多為鱗狀上皮細胞癌,腺癌等,治療主要是早期進行手術和放射治療或化學藥物治療。經病理檢查確診者,應爭取儘早徹底手術切除並輔以放療。病變局限於中耳者,可行擴大乳突根治術,如腫瘤較廣泛或侵犯鄰近組織時,應行顳骨部分切除或全切術。必要時,應考慮在手術前後進行放療、化療或中醫藥治療。
疾病大觀
| 伴隨著人們生活水平的日益提高,各種各樣的疾病也以極高的頻率出現在我們的生活中,這些疾病困擾著人們,讓人們備受折磨。現在,病理學常識帶我們去科學的認識了解這些疾病,在科學的指引下,認清這些疾病的真面目,擺脫疾病的困擾,讓每一個人都有一個健康的體魄! |

