概述
原發性心肌病原發性心肌病是一組原因未明的以心肌病變為主的心臟疾病。本病分為三型
①擴張型心肌病:
該型特徵為左或右心室或雙側心室擴大,並伴有心肌肥厚,心室收縮功能減退,伴或不伴有充血性心力衰竭,心律失常多見,病情呈進行性加重,死亡可發生於疾病的任何階段,此型最為常見,占70%~80%。
②肥厚型心肌病:
其特徵為心室肌肥厚,典型者在左心室,以室間隔為甚,偶呈同心性肥厚,左心室腔容積正常或縮小,偶爾病變發生於右心室,通常為常染色體顯性遺傳。該型也較為常見,約占10%~20%。
③限制型心肌病:
本型特徵為原發性心肌的浸潤性或非浸潤性病變,或心肌心內膜纖維化,引起心臟充盈受阻的舒張期功能障礙,較為少見。
病因
西醫病因
1.擴張型心肌病
原發性心肌病 (1)病毒感染免疫反應學說:認為心肌病是在病毒感染後發生的免疫性心肌損害所造成,是擴張型心肌病的主要發病學說。
(2)心肌內小冠狀動脈分支的病變,引起痙攣和阻塞所致。
(3)有些病例有心肌代謝過程中某些酶的缺乏也可能是其機理之一。
(4)部分病例與營養障礙有關,如食物中缺乏微量元素硒可能引起心肌改變。
2.肥厚型心肌病
目前認為該病與遺傳有關。
3.限制性心肌病
病因未明。
中醫病因
本病的內因在於先天稟賦特異體質,外因則在於感受外邪、毒邪,邪氣乘虛侵襲,深入腠理,深入血脈,內舍於心,留而不去,痹阻脈絡,心脈阻滯而為病;或因飲食所傷,勞倦思慮,致使脾胃受損,氣血生化無源,心失所養;或脾失健運,致使水濕內停,聚而成痰,痰濁上承而發病。
病理
西醫病理
原發性心肌病 1.擴張型心肌病心臟重量增加,各心腔擴大,心肌灰白而鬆弛;室壁厚度近乎正常,心內膜也可增厚,可有心腔內附壁血栓,常有心肌纖維化,也可心壁成片受損,心臟起搏系統亦可受侵。顯微鏡下可見心肌纖維肥大,細胞核固縮、變形或消失,胞漿內有空泡形成。纖維組織增多,心肌纖維可被條索狀纖維組織所分割,心內膜中膠原和彈性纖維也增多,可見有不同程度的退行性變,多為心肌細胞溶解,尤其是病程長的病例。電鏡下可見心肌細胞的線粒體腫脹,嵴斷裂或消失,肌漿膜間隙擴大,有纖維狀物質與顆粒狀脂褐素;肌原纖維可以消失。
2.肥厚型心肌病分為兩型:
①肥厚型梗阻性心肌病:室間隔高度肥厚向左心室腔內突出,收縮時引起左心室流出道梗阻,
②肥厚型非梗阻性心肌病:室間隔肥厚程度較輕,收縮期不引起左室流出道明顯梗阻。
3。限制型心肌病在浸潤性病變所致的限制型心肌病中,有澱粉樣變性、類肉瘤、血色病、糖原累積症等種類。
中醫病機
心肌病的病機比較複雜。主要為先天稟賦特異體質,後天失調,反覆感受“毒邪”,致使氣滯血瘀,心脈痹阻;或傷及氣陰,氣陰兩虛,日久及陽,心腎陽虛,水氣凌心射肺,進一步發展則為陽虛欲脫之危象。總之,本病以脾腎陽虛,心陽不振為本,毒邪、瘀血、水飲、痰濁為標,其病位在心,波及脾、肺、腎諸髒。
症狀
1.擴張型心肌病:以充血性心力衰竭為主,其中以氣急和浮腫最為常見。最初在勞動或勞累後氣急,以後在輕度活動或休息時也有氣急,或有夜間陣發性氣急,並常見頭暈,心前區疼痛等症狀,少數患者有暈厥,各種心律失常均可見到,還可發生栓塞及猝死。
2.肥厚型心肌病:起病多緩慢。約1/3的患者有家族史,症狀大多開始於30歲以前,男女同樣罹患。主要症狀為:①呼吸困難,多於勞累後出現;②心前區疼痛,亦多在勞累後出現,似心絞痛,但可不典型;③乏力、頭暈與昏厥,多在活動時發生;④心悸;⑤心力衰竭,多見於晚期患者,常合併有心房纖顫。
3.限制型心肌病:我國較少見,多發生在南方,呈散發分布,起病比較緩慢。早期可有發熱,逐漸出現乏力、頭暈、氣急,氣急程度較擴張型心肌病為輕,以下肢水腫、腹水為突出表現。
體徵
1.擴張型心肌病;心尖搏動向左下移位,可有抬舉性搏動,心濁音界向左擴大,常可聽到第三、第四心音,心率快時呈奔馬律,二尖瓣或三尖瓣聽診區可聞及收縮期吹風樣雜音,該雜音在心功能改善後減輕,血壓多正常,但晚期患者血壓可下降,脈壓小,出現心力衰竭時舒張壓可輕度升高,心力衰竭時可出現交替脈,脈搏常減弱,兩肺底可聞及濕羅音,並可見肝臟腫大,浮腫,甚或胸、腹水,各種心律失常均可出現,為首見或主要的表現,並有多種心律失常合併存在而構成複雜心律失常,可以反覆發生。此外可有腦、腎、肺等處栓塞的體徵。
原發性心肌病 2.肥厚型心肌病:常見體徵有心濁音界向左擴大、心尖搏動向左下移位,可見抬舉性衝動或心尖雙搏動;胸骨左緣下段心尖內側可聽到收縮中期或晚期噴射性雜音,向心尖部傳播,可伴有收縮期震顫,見於有左心室流出道梗阻的患者。凡增加心肌收縮力或減輕心臟負荷的措施(如給予洋地黃類、異丙腎上腺素、亞硝酸異戊酯、硝酸甘油、做Valsalva動作、體力勞動後或早搏後)均可使雜音增強;凡減弱心肌收縮力或增加心臟負荷的措施(如給予血管收縮藥、β受體阻滯劑、下蹲、緊握拳等)均可使雜音減弱,約半數患者同時可聞及二尖瓣關閉不全的雜音;第二心音可呈反常分裂,呼氣時明顯(由於左心室噴血受阻,主動脈瓣延遲關閉所致)。心律失常以心房纖顫為多。非梗阻肥厚型心肌病僅心臟輕度增大,肺動脈瓣第二音分裂,無反常的逆分裂,雜音較少且較輕。
3。限制型心肌病:病變以左心室為主者可有左心衰竭和肺動脈高壓的表現,如兩肺底可聞及羅音,肺動脈瓣第二音亢進等;病變以右心室為主者有右心室回流受阻的表現,如頸靜脈怒張,吸氣時膨脹(庫氏征),肝大、下肢浮腫、腹水等,心尖搏動常減弱,心臟濁音界輕度增大,心音低鈍,心率快,可有舒張期奔馬律及心律失常,心包積液也可存在,可有內臟栓塞。
疾病診斷
西醫診斷依據
原發性心肌病的診斷需除外其它原因的心臟病。如臨床上有心臟擴大、心律失常、暈厥、充血性心力衰原發性心肌病竭,而無常見的風心、冠心、先心、高血壓性、肺原性心臟病或心包疾病等時,應考慮本病。進一步詳細詢問病史及體檢,超聲心動圖、X線檢查、心電圖、心肌酶譜等檢查有助於診斷及分型,明確診斷有時依賴於心肌活檢、心血管造影。
電診斷
心電圖檢查:
1.擴張型心肌病:以心臟擴大,心肌損害及心律失常為主。左心室肥大多見,常合併心肌勞損,晚期可有右心室肥大,也可有左或右心房肥大;常有ST段壓低,T波平坦、雙向或倒置,10%患者可有病理性Q波(部位多在前間隔V1、V2導聯),常見房性、室性早搏、心房纖顫、束支傳導阻滯、房室傳導阻滯等心律失常。
2.肥厚型心肌病:80%以上的患者有ST一T改變,少數可見巨大的倒置T波;60%患者有左心室肥大徵象;可見異常Q波,在I、aVL、V5、V6導聯上出現深而不寬的Q波,有時在Ⅱ、Ⅲ、aVF、V1、V2導聯上也可有Q波;約25%的患者有左心房波型異常:部分患者合併有預激綜合徵。
3.限制型心肌病:低電壓,心房或心室肥大,束支傳導阻滯,ST一T改變,心房顫動,亦可在V1、V2導聯上出現異常Q波。
影像診斷
X線檢查:
原發性心肌病1擴張型心肌病心臟普遍增大,呈球型,外形類似心包積液;少數以左心室、左心房或右心室增大為主,外觀類似二尖瓣病變。透視下可見心臟搏動較正常為弱,主動脈一般不擴張。病程較長者常有肺淤血和肺間質水腫,亦常見胸腔積液。
2.肥厚型心肌病普通胸片見左心室增大,但也可在正常範圍,晚期可有左房增大、肺淤血。主動脈不擴大,X線或核素心血管造影可顯示室間隔增厚,左心室腔縮小。核素心肌掃描可顯示心肌肥厚的部位和程度。
3.限制型心肌病可見心影擴大,心內膜心肌鈣化的陰影,心室造影可見心室腔縮小。
超聲心動圖檢查:
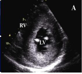
1.擴張型心肌病早期即可見心腔輕度擴大,尤其是左心室,室壁運動減弱,後期各心腔均擴大,室間隔及左室後壁運動也減弱,二尖瓣前葉雙峰可消失,而前後葉呈異向活動,左心室噴血指數常減至50%以下,心肌縮短比數也減小,可有少量心包積液。
2.肥厚型心肌病可見不對稱性室間隔肥厚,室間隔厚度與左室後壁厚度之比大於1.3:1;二尖瓣前葉收縮期前移;左心室腔縮小,流出道狹窄;左心室舒張功能障礙,包括順應性降低,快速充盈時間延長,等容時間延長等。
3.限制型心肌病可見心內膜增厚,心尖部心室腔閉塞,心肌心內膜結構超聲回聲密度異常,室壁運動減弱。
血液:
心肌病早期心肌酶譜檢查活性增高,尤以磷酸肌酸激酶同功酶(CPK一MB)、乳酸脫氫酶同功酶(LDH1)增高有價值。
中醫診斷
(1)實證:
①氣滯血瘀:證候:胸悶,憋氣,活動後發作性胸痛,固定不移,舌質紫暗,脈沉澀或弦。
證候分析:先天稟賦特異體質,又感“毒邪”,外邪侵入腠里,深入血脈,血行不暢而瘀滯,由血及氣;或因情志不暢,由氣及血,終成氣滯血瘀的病理狀況,而見胸悶、憋氣;心脈痹阻,不通則痛,故常發作胸痛,瘀血有形故疼痛固定不移;舌質紫暗,脈沉澀或弦為血瘀氣滯之徵。
②痰瘀痹阻:證候:胸悶心悸,動則胸痛,頭暈,甚則暈倒,不省人事,或咳嗽喘息,噁心納呆,舌質暗淡,苔薄或膩,脈弦滑。
證候分析:飲食不調,恣食油膩生冷,損傷脾胃,致使水濕內停,聚而生痰,痰濕阻絡,加之外邪侵襲,內犯於心,舍而不去,脈絡瘀滯,痰瘀互結,上犯心肺故胸悶、心悸、胸痛或見咳喘;痰阻中焦,脾失健運,升降失常,故噁心納呆;清空失養,清竅閉阻故頭暈,甚則暈厥不省人事,舌暗淡,苔薄或膩,脈弦滑為痰濕痹阻之象。
(2)虛證:
①氣陰兩虛:證候:心悸氣短,神疲乏力,胸悶自汗,口乾舌燥,舌紅少津,脈細數或結代。證候分析:反覆感受“毒邪”,耗傷氣陰,氣陰兩虛,心失所養,故心悸氣短,神疲乏力;心氣不足,衛外不固,故胸悶自汗;心陰不足故口乾舌燥;舌紅少津,脈細數或結代為氣陰不足之象。
②陽虛水泛:證候:心悸自汗,形寒肢冷,神疲尿少,下肢浮腫,咳喘難以平臥,唇甲青紫,舌質淡暗或紫暗,苔白滑,脈沉細。
證候分析:疾病日久及陽,致使心腎陽虛,命門火衰,失於溫煦,心失所養,衛外不固,故心悸神疲、自汗;陽虛陰寒內盛,無以化水,開闔失可,故形寒肢冷,尿少浮腫;水氣上凌心肺,故咳喘難以平臥,陽虛無以推動血液運行,血行瘀滯,故唇甲青紫;舌淡暗或紫暗,苔白滑,脈細沉為陽虛血瘀、水濕停滯之象。
③陽虛欲脫:證候:心悸氣急,不能平臥,大汗淋漓,四肢厥冷,尿少浮腫,舌淡或紫,苔薄,脈微欲絕。
證候分析:疾病發展至後期,心陽暴脫,宗氣大泄,神失所主,故心悸氣急,不能平臥,大汗淋漓,四肢厥冷,甚至神志模糊;心陽暴脫,諸陽亦衰,無以化氣行水,故尿少浮腫。舌淡或紫,苔薄,脈微欲絕為陽虛欲脫,血運瘀滯之象。
組織學檢驗
心導管檢查
原發性心肌病①擴張型心肌病:早期近乎正常,左右心室舒張末期壓可以稍增高,有心力衰竭時心排血指數減小,動靜脈血氧差大,肺動脈及左房壓增高。心室造影示心腔擴大,室壁運動減弱。
②肥厚型心肌病:示心室舒張末期壓增高,有左室流出道梗阻者在心室腔與流出道間有收縮期壓力差。
③限制型心肌病:示心室舒張末期壓逐漸上升,造成下陷後平台波型,在左室為主者肺動脈壓可增高,在右室為主者右房壓高,右房壓力曲線中顯著的v波取代a波。
西醫鑑別診斷
1.風濕性心臟病心肌病亦可有二尖瓣或三尖瓣區的收縮期雜音,但一般不伴有舒張期雜音,且在發生心力衰竭時雜音較響,而心力衰竭控制後雜音減弱或消失,與風濕性心臟病者不同,此外,擴張型心肌病常多心腔同時增大,不似風濕性心臟病者以左房、左室或右室擴大為主。超聲心動圖檢查有助於區別。
2.心包積液心肌病時心尖搏動向左下移位,與心濁音界的左外緣相符;心包積液時心尖搏動常不明顯或處於心濁音界左外緣的內側。超聲檢查心包積液者見心包內多量液體平段或暗區;而心肌病者主要為心臟的擴大,雖亦可有少量的心包積液,但不足以引起心臟壓塞,亦不致影響心臟的功能及體徵,此外心肌病者多可聞及心臟雜音,心電圖上見心室肥大、異常Q波及各種複雜心律失常,收縮時間間期(STI)在心肌病時明顯異常,而心包疾病則正常。
3.高血壓性心臟病心肌病者可有暫時性的血壓增高,但舒張壓多不超過14.67kPa(110mmHg),且出現於急性心力衰竭時,心力衰竭好轉後血壓下降,眼底、尿常規、腎功能檢查正常。
4.冠心病二者常較難鑑別,有高血壓、高血脂或糖尿病等易患因素,室壁活動呈節段性異常者有利於冠心病的診斷。明確區分有時須靠冠狀動脈造影。
5.先天性心臟病多數具有明顯的體徵,不難鑑別。三尖瓣下移畸形有三尖瓣區的雜音,並可有奔馬律、心音減弱、右心擴大及衰竭,應與心肌病鑑別,但前者出現於早年,左心室不大,紫紺明顯;超聲心動圖檢查可明確診斷。
6.繼發性心肌病全身性疾病如系統性紅斑狼瘡、硬皮病、血色病,澱粉樣變性、糖原累積症、神經肌肉疾病等都有其原發病的表現可資鑑別。尤其是與心肌炎的區別,急性心肌炎常發生於病毒感染的當時或其後不久,而慢性心肌炎與心肌病較難區分,心內膜心肌活檢有一定的幫助。其次實驗室檢查中和抗體、補體結合或血凝抑制試驗陽性,冠脈造影陰性有助於鑑別。
需與肥厚型心肌病鑑別的有:
原發性心肌病1.心室間隔缺損二者收縮期雜音的部位相近,但室間隔缺損者的收縮期雜音為全收縮期,心尖區多無雜音。超聲心動圖、心導管檢查及心血管造影可肯定室水平分流存在。
2.主動脈瓣狹窄症狀及雜音性質相似,但主動脈瓣狹窄者的雜音部位較高,並常有主動脈瓣區收縮期噴射音,向頸部傳導,可伴震顫,第二音減弱,還可有舒張期雜音。X線檢查示升主動脈擴張。生理動作和藥物作用對雜音影響不大。超聲心動圖示主動脈狹窄。左心導管檢查顯示收縮期壓力差存在於主動脈瓣前後,無移行區,而肥厚型心肌病壓差存在於左室與流出道之間,左室與主動脈之間有移行區存在。
3.風濕性二尖瓣關閉不全雜音與肥厚型心肌病相似,但前者多為全收縮期,血管收縮藥或下蹲動作使雜音加強,常伴有心房顫動,左心房較大。超聲心動圖有助於鑑別。
4.冠心病二者均有心絞痛、心電圖ST一T改變及異常Q波,但冠心病者無特徵性雜音,主動脈多增寬或有鈣化,高血壓及高血脂者較多,超聲心動圖上無室間隔增厚,但可有節段性室壁運動異常。
需與限制型心肌病鑑別的有:
1.縮窄型心肌病有急性心包炎病史,X線示心包鈣化。
2.風濕性心臟病可有風濕病史,典型心臟雜音,超聲心動圖有典型改變。
疾病治療
西醫治療
由於本病病因未明,目前尚無特效療法。主要針對心肌損害、心力衰竭、心律失常和血栓栓塞等治療。由於病理改變不同,在對症治療時也有差異。
1.擴張型心肌病控制心力衰竭,防治心律失常,預防栓塞。
(1)一般治療:避免過勞,注意休息,心衰者應臥床休息,有感染者應積極控制感染,以免病情惡化。
(2)糾正心功能不全:①強心甙:地戈辛0.125~0.25mg,口服,每日一次。注意本病由於心肌損害廣泛,洋地黃類藥易於中毒,應減量套用。②非洋地黃類強心藥:多巴酚丁胺每分鐘以2.5μg~10μg/kg速度靜點,給藥後1~2分鐘起效。氨吡酮靜脈給藥負荷量1.5~3mg/kg,再以每分鐘10μ/kg靜滴維持,口服100mg,每日3次。③血管擴張劑:消心痛5~10mg,每日3~4次,開搏通12.5mg~25mg,每日3次,嚴重病例可用硝普鈉25~50μg/分靜點。④利尿劑:雙氫克尿噻25~50mg,每日1~3次;氨苯喋啶50~100mg,每日1~3次;水腫明顯或有急性左心衰時可用速尿口服或靜脈給藥。
(3)糾正心律失常:①房早、房顫:擴張型心肌病可用地戈辛0.125mg,口服,每日1次,心室率過快時,可加服小劑量β受體阻滯劑,如氨醯心安6.25mg,每日2~3次。②頻發或多源性室早或室性心動過速,可用慢心律100~200mg,每日3~4次;乙胺碘呋酮0.1~0.2g,每日3次。靜脈用藥可選利多卡因、普魯卡因醯胺、心律平、溴苄胺等。注意抗心律失常藥物對心肌的抑制作用。藥物治療無效,危及生命或意識喪失者可考慮電擊復律。 ③緩慢性心律失常可考慮安裝人工心臟起搏器。
(4)預防栓塞:阿斯匹林40~80mg,每日1~2次。
2.肥厚型心肌病減輕左室流出道梗阻,控制嚴重心律失常,防止暈厥或猝死。
(1)β受體阻滯劑:可選用心得安10mg,每日3~4次。可根據情況逐漸增大劑量以改善症狀,或氨醯心安12.5~25mg,每日2次,或倍他樂克25~50mg,每日2次。
(2)鈣拮抗劑:異搏定40~120mg,每日3~4次,可使症狀長期緩解;也可選用硫氮卓酮30~60mg,每日3次,β受體阻滯劑與鈣拮抗劑含用可以提高療效並減少副作用。
(3)禁用洋地黃類、異丙基腎上腺素、硝酸甘油等可能加劇左室流出道梗阻的藥物。僅當發生快速房顫而無預激綜合徵時方考慮套用。
(4)控制心律失常:①房性心律失常:可選用異搏定,劑量同上。②室性心律失常:雙異丙吡胺0.1g,每日3次,或乙胺碘呋酮0.2g,每日2次,5~7天后改為0.1~0.2g,每日4次,長期服用者需注意其副作用。
(5)預防栓塞:當房顫或左房大並有附壁血栓,或以往有栓塞史者,應予抗凝治療。阿斯匹林40~80mg,每日1~2次。
(6)預防感染性心內膜炎:必要時可予抗生素。
3.限制型心肌病對症治療,控制心衰,預防栓塞。
有房顫者可予洋地黃類藥;有浮腫、腹水者可予利尿劑;預防栓塞可用阿斯匹林。
中醫治療
(1)實證:
①氣滯血瘀:治法:活血化瘀,理氣止痛。
方藥:血府逐瘀湯加減。
方義分析:方中桃仁、赤芍、川芎、當歸、生地、丹參、雞血藤活血化瘀而養血;柴胡、枳殼、赤芍、鬱金、甘草行氣活血而舒肝;桔梗開肺氣,載藥上行,合枳殼則升降調合氣機而寬胸;牛膝通利血脈,引血下行。諸藥合用,使血活氣行,瘀去痛消。
心痛甚者,可配合失笑散(蒲黃、五靈脂)加強理氣止痛作用。②痰瘀痹阻:治法:理氣活血,化痰通痹。
方藥:桃紅四物湯合瓜蔞薤白半夏湯加減。
方義分析:方選桃仁、紅花、當歸、川芎、赤芍、全瓜蔞、薤白、半夏、竹茹、膽南星、柴胡、香附。方以桃紅四物去生地以活血化瘀;柴胡、香附理氣;瓜蔞、半夏、膽南星、竹茹化痰;薤白宣痹通陽。
痰瘀化熱,苔黃膩者可加黃連等。
(2)虛證:
①氣陰兩虛:治法:益氣養陰。
方藥:生脈散加味。
方義分析:方用太子參(或西洋參)、麥冬、五味子、生地黃、炙甘草。方以太子參或西洋參、炙甘草益氣生津;麥冬、生地黃養陰;五味子斂氣生津。
若屬心脾兩虛、氣血不足者,可選用歸脾湯;若為心血不足、心氣虧虛者,可選用炙甘草湯。
②陽虛水泛:治法:溫陽利水。
方藥:真武湯加減。
方義分析:方用附子、茯苓、白芍,白朮、生薑、豬苓、桂枝。方以附子溫腎助陽;白朮、茯苓、豬苓健脾利水;桂枝、生薑溫散水寒之氣;白芍調和營陰。若兼見腹滿便溏者,可合用理中湯;兼見噁心嘔吐者,加法半夏、陳皮。
③陽虛欲脫:治法:回陽固脫。
方藥:參附龍牡湯加味。
方義分析:方選人參、附子、煅龍骨、煅牡蠣、五味子。方以人參大補元氣,附子回陽救逆;煅龍骨。煅牡蠣、五味子斂汗固脫。心陽暴脫,腎不納氣,喘急不能平臥者,加服黑錫丹、蛤蚧粉以益元補腎納氣;陽脫兼
陰傷,舌質偏紅,脈細數無力者,加太子參、天冬、麥冬、玉竹以養陰生津。臨診之時尚需注意陽虛暴脫,陰寒極盛,在使用大劑量人參、附子時,有時會因陰陽格拒而影響藥力的發作,此時可於上述藥中加入蔥白、薤白等宣通陽氣的藥物,對挽救陽脫有所裨益。
中藥 成藥及簡易方治療
(1)生脈飲,每次1~2支,每日3次。用於心氣下足,心功能不全者。
(2)人參、三七、沉香等量研末,每次1g,每日3次。用於心功能不全早期或有心絞痛
者。
(3)菖蒲3g、遠志6g、茯神10g,水煎服。用於心悸。
(4)乳香、沒藥各10g、血竭15g、冰片6g,共研細末,每次1g,每日3次。用於有心絞痛者。
針灸
(1)體針:主要用於心肌併發症的治療。心力衰竭時取內關、間使、通里,少府、心俞、神門、足三里等穴位。每次取4~5個穴,每日1次,採用平補平瀉手法,7天為一療程。合併有栓塞時,取肩髃、曲池、外關、合谷、環跳、陽陵泉、足三里、解溪、崑崙、地倉、頰車、內庭、太沖等穴位,視栓塞部位選擇用穴。針刺強度隨病程、體質而定,一般原則為補健側瀉患側。每次取穴多少亦隨栓塞部位而定。每日1次,7天為一療程。
(2)耳針:常用穴位為交感、心、腎,內分泌、肺、神門等。用於心律失常及緩解心肌病引起的症狀。一般採用埋皮內針或用王不留行籽穴位按壓法,每次取2~5穴。
療效評定標準
治癒:經治療後症狀消失,心衰被控制,心影縮小。
好轉:治療後症狀好轉,心衰基本被控制。
預後
擴張型心肌病病程長短不一,短者在發病後1年內死亡,長者可存活20年以上。約50%患者在3~5年內因心衰和心律失常而死亡。凡心臟明顯擴大,心力衰竭持久或有頑固性心律失常者預後不良。尚有不少患者發生猝死。肥厚型心肌病病程發展較緩慢,預後不定,可以穩定多年不變,但一旦出現症狀可以逐漸惡化。猝死和心力衰竭為主要的死亡原因。少數患者有感染性心內膜炎或栓塞等併發症。限制型心肌病的病程發展快慢不一,左室病變為主者比右室病變為主者預後略好。近年來本型手術治療有一定希望。
預防
心肌病病因未明,預防尚缺乏有效措施。預防主要針對併發症,應避免勞累,預防感染,以減少心衰、感染性心內膜炎等的發生。有菸酒嗜好者應予以戒除。心臟擴大、心功能減退者,宜長期休息,以避免病情惡化。
認識循環系統及其疾病
| 循環系統包括心臟、血管和調節血液循環的神經體液裝置,是人體最重要的系統之一,也是很多常見病多發病容易出現的系統。認識循環系統及其疾病,促進健康改善生活。 |

