簡要介紹
阻塞性睡眠呼吸暫停綜合徵(Obstructivesleepapneahypopneasyndrome,OSAHS)是一種病因十分複雜而又尚未完全闡明的病理狀態,屬睡眠中呼吸調節紊亂。這種病理狀態不僅有睡眠打鼾(snoring)和日間極度嗜睡(excessivedaytimesleepiness,EDS),還由於低通氣或呼吸暫停引起反覆發作的低氧高碳酸血症,可導致心肺和其他重要生命器官併發症,甚至發生猝死。因此OSAHS是一種有潛在致死性的睡眠呼吸紊亂性疾病。
睡眠呼吸暫停的定義是睡眠中口鼻氣流中止超過10s以上。根據呼吸暫停的不同原因和表現分為:
①阻塞性睡眠呼吸暫停,即在睡眠中因上氣道阻塞引起呼吸暫停,表現為口鼻腔氣流停止而胸腹呼吸動作尚存在。
②中樞性睡眠呼吸暫停,即口鼻腔氣流和胸腹呼吸動作同時停止。
③混合性睡眠呼吸暫停,即上述兩者並存,以中樞性呼吸暫停開始,繼之表現為阻塞性睡眠呼吸暫停。睡眠中潮氣量減小,即呼吸氣流降低超過正常氣流強度的50%以上,伴血氧飽和度下降4%以上稱為呼吸不全或低通氣(hypopnea)。
目前國際上多數學者認為OSAHS的定義是:睡眠時口鼻氣流停止≥10s,每小時呼吸暫停加低通氣5次以上,即睡眠呼吸紊亂指數(respiratorydisturbanceindex,RDI)>5,或每晚7h呼吸暫停加呼吸低通氣達30次以上者。
OSAHS的患病率在1%~4%,65歲以上患病率高達20%~40%,男性發病明顯高於女性,約5∶1。
主要病因
阻塞性睡眠呼吸暫停綜合徵OSAHS的直接發病機制是上氣道的狹窄和阻塞,但OSAHS的發病並非簡單的氣道阻塞,還有呼吸中樞神經調節因素障礙。引起上氣道狹窄和阻塞的原因很多,包括鼻中隔彎曲、息肉、鼻甲肥大、扁桃體肥大、扁桃體增生、軟齶過長、齶弓低平、下頜弓狹窄、下頜後縮畸形、小頜畸形、顳下頜關節強直,尤其是兩側關節強直繼發的小頜畸形,舌體肥大、巨舌症,舌骨後移等。此外,肥胖、上氣道組織黏液性水腫,以及口咽或下咽部腫瘤等也均可導致OSAHS。其病理解剖部位可在整個上氣道,但以口咽部最為多見。套用多導睡眠圖儀檢查(polysomnograph,PSG)發現,OSAHS患者睡眠中頦舌肌肌電活動下降,睡眠時咽肌活動突然消失,造成氣道上部狹窄,甚至突然閉塞。由於呼吸暫停,使肺泡血氣交換障礙,造成低氧血症和高碳酸血症,由此誘發一系列全身症狀,嚴重者血氧飽和度常在50%以下,動脈氧分壓僅在3.73kPa(28mmHg)以下,這些可導致患者在睡眠中猝死。關於OSAHS的真正病因和發病機制,還待進一步研究。
發病機理
阻塞性睡眠呼吸暫停綜合徵阻塞性睡眠呼吸暫停(OSA)的發病主要是由於上氣道解剖上的狹窄和呼吸控制功能失調而造成。咽氣道缺少骨性結構的支持,是一種肌肉組成的軟性管道,具有可塌陷性。引起咽氣道關閉的主要力量是咽氣道內的負壓,它由膈肌及其他呼吸肌在吸氣時的收縮運動產生;以頦舌肌為主的咽擴張肌的活動是對抗咽腔內負壓、維持上氣道開放的主要力量。研究發現,OSA患者在睡眠時呼吸中樞驅動降低,咽擴張肌張力明顯下降,難以克服吸氣時所出現的咽腔負壓狀態,使咽氣道軟組織被動性塌陷。加上患者咽氣道本身的解剖上的缺陷,使阻塞進一步加重,出現OSA。在OSA發生過程中,血氧逐漸降低、二氧化碳分壓逐漸升高、咽腔內負壓增加,它們均通過刺激相應的化學及壓力感受器,興奮腦幹網狀激活系統而引起短暫覺醒,氣流恢復,OSA結束。
關於OSA患者呼吸中樞的敏感性在睡眠時降低,其原因可能不盡相同,有的系原發(與遺傳因素有關),有的系繼發於某些因素,均將對睡眠呼吸暫停產生影響,使其發作頻繁並延長呼吸暫停的時間,加重缺氧。
臨床表現
阻塞性睡眠呼吸暫停綜合徵臨床表現和症狀主要來自上呼吸道狹窄、阻塞和由此造成的血氧飽和度下降。主要臨床表現有:
①打鼾。睡眠中打鼾是由於空氣通過口咽部時使軟齶振動引起。打鼾意味著氣道有部分狹窄和阻塞,打鼾是OSAHS的特徵性表現,這種打鼾和習慣性打鼾不同:音量大,十分響亮;鼾音不規則,時而間斷,此時為呼吸暫停期。
②日間極度嗜睡。OSAHS患者表現為日間發生睏倦或嗜睡感,患者可立即入睡,而無法控制,有時在開會時入睡,工作時也可入睡,相互交談時入睡,進食時入睡,甚至騎腳踏車時可入睡而摔倒。
阻塞性睡眠呼吸暫停綜合徵③睡眠中呼吸暫停發生異常行為和症狀。患者常常驚醒,甚至突然坐起,大汗淋漓,有瀕死感。在睡眠中常發生類似拍擊樣震顫樣四肢運動以及夢遊症等。
④夜間遺尿症。
⑤頭痛。
⑥性格變化包括急躁、壓抑、精神錯亂、幻覺、極度敏感、敵視、好動,易發生行為失當、嫉妒、猜疑、焦慮沮喪、智力和記憶力減退以及性功能障礙等,嚴重者可伴發心血管系統和其他重要生命器官的疾病表現。
由於頜骨畸形造成的OSAHS還有相應的口腔頜面部症狀,如下頜後縮、下頜後移、下頜畸形、紊亂以及開口困難等。
診斷方法
阻塞性睡眠呼吸暫停綜合徵診斷前需確認睡眠中氣道阻塞的存在及阻塞發生的部位以及嚴重程度,並且對全身重要生命器官作出評估。
詳細的詢問病史
包括疾病發生的時間,尤其是打鼾、日間極度嗜睡和其他症狀是否存在,持續時間,既往診治情況,全身系統性病史等。
臨床檢查
除一般常規的全身檢查外,應著重對上呼吸道和上消化道作全面檢查,最好立位和臥位分別檢查,以了解上呼吸道阻塞情況,其次是顱頜面發育是否異常的檢查。如下頜形態和位置,咬合情況以及口咽部、鼻咽部的情況等。特別要注意排除鼻咽、口咽部、舌根部是否有腫塊存在。
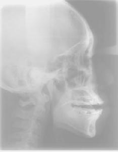
X線頭影測量
為了間接了解氣道,以及檢查氣道阻塞部位,並且對OSAHS作出初步診斷,X線頭影測量很重要。用於測量氣道和相關的數值包括:
①∠SNA,表示上頜骨對顱底的相對位置。
②∠SNB,表示下頜骨對顱底的相對位置。
③∠ANB,代表上下頜骨相對位置關係。
④PNS-P,後鼻嵴點(PNS)到軟齶末端齶垂(P)的長度,代表軟齶長度。
⑤PAS,為舌根至咽後壁間的距離,代表後氣道間隙,又稱生命間隙。
⑥MP-H,下頜平面至舌骨最前最上點(H)的距離,代表舌骨的位置。
⑦SPD,代表軟齶外形最寬距離,表示軟齶的厚度。
根據盧曉峰和邱蔚六等的研究報導,RDI與PAS成顯著負相關關係。當PAS≥9.12mm時,RDI的值95%可能小於5;而PAS≤4.61mm時,則相反,RDI的值95%可能大於5。伊彪和張震康等的研究報導,OSAHS患者的SNA角基本正常,表明上頜位置正常;SNB角明顯減小,表示下頜明顯後縮;ANB角明顯增大,表明下頜骨相對上頜骨明顯處在後縮位置;PAS明顯減小,下咽部氣道狹窄;MP-H增大,表明舌骨低於低位;PNS-P大部分正常。
阻塞性睡眠呼吸暫停綜合徵多導睡眠圖儀監測
多導睡眠圖儀(PSG)監測是診斷OSAHS最權威的方法,它不僅可判斷其嚴重程度,還可全面定量評估患者的睡眠結構,睡眠中呼吸紊亂、低血氧情況,以及心電、血壓的變化。特別是籍助食道壓檢測,還可與中樞性和混合性睡眠呼吸暫停相鑑別。單純依靠少數指標或者患者描述的症狀來診斷OSAHS是不全面的。每一位患者在治療前、術前和術後,以及治療後都至少應進行1次PSG檢查。PSG檢查應在睡眠呼吸實驗室中進行至少7h的數據監測。PSG檢測的項目包括腦電圖、眼電圖、頦肌電圖、脛前肌電圖、心電圖、胸腹壁呼吸運動、膈肌功能、口鼻氣流以及血氧飽和度等。PSG應得出以下指標:
①睡眠總時間,睡眠分期、驚醒、肌痙攣和腦電情況;
②阻塞性、中樞性、混合性睡眠呼吸暫停的次數和低通氣發生的次數;
③血氧飽和度降至89%~80%、79%~70%、69%以下段的次數和其最低點;
④RDI值。
鼻咽纖維鏡檢查
上述X線頭影測量是在靜態下對氣道情況作出診斷,而鼻咽纖維鏡則偏重於動態診斷。應在局麻下,在立位和臥位分別檢查患者鼻咽、口咽及下咽和喉的情況,包括軟組織情況,氣道阻塞部位和程度,臨床氣道及周圍有無腫物和腫塊;並通過囑患者做某些動作以觀察氣道組織的變化,如有無氣道組織內陷等。
OSAHS的診斷,應在全面而詳細的病史,多學科的全身針對性體檢,顱頜面局部的檢查,X線頭影測量,PSG,鼻咽纖維鏡的研究基礎上,進行綜合分析,以做出正確的診斷。國際上多數學者認可的OSAHS診斷標準為:睡眠時口鼻氣流停止≥10s,但胸腹肌電均存在活動;RDI>5。
即使如此,也還應和一些疾病相鑑別,如原發性或良性打鼾、慢性低通氣綜合徵、上氣道阻力綜合徵(theupperairwayresistancesyndrome)、肥胖低通氣綜合徵(obesityhypoventilationsyndrome)、慢性阻塞性肺疾病等。但也有人認為上述疾病是OSAHS發展的不同階段。此外,應鑑別的是甲狀腺功能減低、發作性睡眠病(narcolepsy)、肌無力症、肢端肥大症、癲癇、胃液食管反流以及腎功能衰竭等。
治療方法
OSAHS的治療除戒菸酒,肥胖者減肥和控制飲食外,分為非手術治療和手術治療2類。
非手術治療
1.經鼻持續氣道正壓呼吸(nasalcontinuouspositiveairwaypressure,NCPAP)。此法是目前治療OSAHS最有效的非手術治療方法,CPAP猶如一個上氣道的空氣擴張器,可以防止吸氣時軟組織的被動塌陷,並刺激頦舌肌的機械感受器,使氣道張力增加。可單獨作為一種療法,也可和外科手術配合使用,但一般患者難以長期堅持。
2.各種矯治器。睡眠時戴用專用矯治器可以抬高軟齶,牽引舌主動或被動向前,以及下頜前移,達到擴大口咽及下咽部,改善呼吸的目的,是治療鼾症的主要手段或OSAHS非外科治療的重要輔助手段之一,但對重症患者無效。
3.吸氧以及各種藥物治療。如神經呼吸刺激劑安宮黃體酮等,也是輔助的治療方法之一。
手術治療
手術是治療OSAHS的基本方法,手術治療的目的在於減輕和消除氣道阻塞,防止氣道軟組織塌陷。選擇何種手術方法要根據氣道阻塞部位、嚴重程度、是否有病態肥胖及全身情況來決定。常用的手術方法有以下幾種。
1.扁桃體、腺樣體切除術。這類手術僅用於青春期前有扁桃體、腺樣體增生所致的兒童患者。一般術後短期有效,隨著青春發育,舌、軟齶肌發育後,仍然可復發。
2.鼻腔手術。由於鼻中隔彎曲、鼻息肉或鼻甲肥大引起鼻氣道阻塞者,可行鼻中隔成形術,鼻息肉或鼻甲切除,以減輕症狀。
3.舌成形術。由舌體肥大、巨舌症、舌根後移、舌根扁桃體增大者,可行舌成形術。
4.齶垂、齶、咽成形術(uvulopalatopharyngoplasty,UPPP)。此手術是切除齶垂過長的軟齶後緣和鬆弛的咽側壁黏膜,將咽側壁黏膜向前拉緊縫合,以達到緩解軟齶和口咽水平氣道阻塞的目的,但不能解除下咽部的氣道阻塞,因此一定要選好適應證。
5.氣管造口術。氣管造口術是一種永久性氣管切開術,在20世紀70年代也是惟一的有效治療方法。但氣管造口術存在的一系列問題:終生繁瑣護理、感染、語言能力喪失、生活質量下降、工作能力和社會交往困難等,目前已極少採用。
6.正頜外科。20世紀70年代以來,正頜外科治療牙頜面畸形的技術日趨成熟,套用正頜外科治療因頜骨畸形造成的口咽和下咽部氣道阻塞的OSAHS已成為有效的方法之一。常用的方法有以下4種。
(1)下頜前徙術:這類手術可緩解下頜發育不良、下頜後縮引起的OSAHS。由於下頜前移,使頦舌肌、頦舌骨肌也相應前移,牽引舌根前移,從而擴大咽部氣道。下頜前徙術一般多採用雙側下頜支矢狀劈開術。
(2)頦前徙術:這類手術適用於無明顯頦後縮的OSAHS。手術為保留下頜下緣,在頦部截骨似“抽屜狀”連同頦舌肌一起被牽引向前。令截骨塊鏇轉90°固定。
(3)頦部前徙、舌骨下肌群切斷懸吊術:這類手術為除上述頦前徙術外,同時切斷所有舌骨下肌群在舌骨體及舌骨大角上的附著,使舌骨也同時向前,向上移位,然後用自體闊筋膜懸吊在下頜骨上。這類手術對擴大口咽及下咽腔有很大好處,同時不改變關係,不需要頜間固定,可以作為單獨手術,也可以作為其他手術的輔助性手術。
(4)雙頜前徙、頦前徙和舌骨前徙術:這類手術包括標準的上頜骨LeFortI型截骨術和下頜支矢狀劈開截骨術,使上、下頜骨前移,並同期行頦部截骨前徙,舌骨肌群切斷和懸吊術。這種手術不僅可充分前移上、下頜骨,改善氣道,面形和關係亦獲改善。由於手術如此廣泛,因此要嚴格掌握手術適應證,尤其要鑑別中樞性睡眠呼吸暫停綜合徵,以及混合性睡眠呼吸暫停綜合徵,因這2類綜合徵單純用手術治療不能治癒。對高齡患者、重度肥胖、有全身臟器功能不良者,手術危險性很大,故應非常謹慎。
主要危害
阻塞性睡眠呼吸暫停綜合徵患阻塞性睡眠呼吸暫停綜合徵(OSAS)時,由於反覆發作的低血氧、高碳酸血症,可致神經功能失調,兒茶酚胺、內皮素及腎素-血管緊張素系統失調,內分泌功能紊亂及血液動力學改變,造成全身多器官多系統損害,嚴重影響人體健康。其危害主要表現在以下幾個方面。
1、對心血管的影響
(1)高血壓病:資料表明,OSAS是高血壓發生和發展的重要因素,至少30%的高血壓患者合併OSAS,45%~48%的OSAS患者有高血壓。這種高血壓失去正常晝夜節律的變化,多表現為早晨醒來時血壓高,用藥物不易控制,治療OSAS後多可恢復正常。
(2)冠心病:經冠狀動脈造影顯示有單支或多支冠狀動脈狹窄的冠心病患者,有35%合併OSAS,此類患者心絞痛多在夜間發作,服用硝酸甘油類藥物不能緩解,而治療OSAS後能緩解。
(3)心力衰竭:OSAS可引起或加重心臟病患者的心力衰竭,主要原因為呼吸暫停造成心肌缺血、缺氧和胸腔內壓力改變,使心臟負荷加重,心輸出量下降。有患者因反覆發生急性左心衰住院治療,後經多導睡眠圖檢查,診斷為重度OSAS,經持續正壓通氣治療後,心功能很快恢復。
(4)心律失常:約80%的OSAS患者有明顯的心動過緩,57%~74%的患者出現室性早搏,10%的患者發生二度房室傳導阻滯。這種心律失常是引起患者猝死的主要原因。故對心律失常者,應想到是否患有OSAS。曾有一位45歲男性病人,因三度房室傳導阻滯,心率為35次/分鐘,擬安裝心臟起搏器。後經冠狀動脈造影等檢查,未發現器質性病變,而多導睡眠圖檢查,診斷為OSAS。經持續正壓通氣治療1周,房室傳導阻滯消失,心率也恢復了正常。
2、對腎臟的損害
OSAS可以合併蛋白尿或腎病綜合徵,引發腎功能損害的原因是由於患者上氣道關閉,胸腔負壓增高,右心回流增加,缺血,肺血管收縮,右心負荷加大,導致右心房擴張,刺激心房利鈉因子分泌增加,腎近端腎小管鈉重吸收率降低,尿滲透壓和腎小管濃縮功能降低。其臨床表現為夜尿增多和浮腫,嚴重者可出現腎功能不全的一系列表現。病理改變表現為腎小球增大,少量局灶性硬化,故蛋白尿早期是功能性的,隨OSAS的治療好轉或痊癒,蛋白尿可減少或消失,臨床症狀也可以好轉或消失。
阻塞性睡眠呼吸暫停綜合徵3、對神經系統的影響
隨血氧飽和度降低,腦電圖常出現覺醒圖形,表現為非快速眼動睡眠,而快速眼動期睡眠減少等睡眠結構紊亂導致睡眠效率降低。可有入睡前幻覺、無意識行為,入睡後肢體抽搐、痙攣等。由於缺氧和循環障礙引起的腦損害可造成智力減退、記憶力下降和性格改變等。
4、對精神系統的影響
(1)認知功能障礙:病人的認知功能全面受到影響,其中以注意力、集中力、複雜問題的解決能力和短期記憶損害最為明顯。OSAS病人的警覺性降低,增加了機動車事故的發生率。OSAS患者中的大多數人在駕駛時有睡著現象,54%在駕駛中睡著發生車禍。這些患者自訴在開車時經常打盹,有時撞在樹上,有時撞在牆上,或撞傷行人,常常不得不把車停下來清醒一會,而且在高速公路上開車更易打瞌睡。一般來說,OSAS病情越重,發生車禍的危險越高,因此應及時治療。
(2)精神障礙:其中以抑鬱、焦慮、疑病等症狀為著。有人對OSAS病人套用明尼蘇達多相人格調查表(MMPI)進行測試,發現56%的病人有抑鬱,38%有疑病,29%有轉換性癔病。也有個別病人表現有單純型類偏執狂精神病、躁狂性精神病等。行為異常也不少見,如睡眠中不安穩,手腳亂動,有時還會出現夢遊現象。
5、對血液系統的影響
血氧過低可刺激腎臟,分泌紅細胞生成素,引起繼發性紅細胞增多症,導致血黏度增加,血流緩慢,腦血栓的機會增多。另可加速動脈粥樣硬化,使血管性疾病發生增加。
6、對內分泌系統的影響
垂體前葉分泌的生長素主要是在快速眼動睡眠期間釋放出來,患有阻塞性睡眠呼吸暫停的病兒,由於快速眼動睡眠的減少,生長激素的釋放有不同程度減少,是影響病兒生長發育緩慢的因素之一。
7、對性功能的影響
睡眠呼吸暫停患者可出現性功能障礙,原因有以下幾個方面:
①低氧血症和高碳酸血症使大腦功能損傷,中樞興奮性下降,性活動受抑制;
②該病患者反應能力、注意力、觀察力均下降,在性交時難以達到高潮,持續時間短;
③引起性器官缺氧和雄性激素生成障礙。
護理措施
阻塞性睡眠呼吸暫停綜合徵肥胖者上氣道軟組織的脂肪沉澱,管腔小,上氣道的肌肉組織內脂肪浸潤,可引起肌肉組織連線鬆弛,導致上氣道順應性增加,致氣道塌陷,呼吸不暢。有資料報導,肥胖者發生OSAS的幾率比正常人大三倍。我們反覆闡明肥胖對健康的危害性,和家屬一起協助患者減肥。套用飲食、運動、心理護理,糾正患者飲食、生活習慣和行為療法,讓患者自覺控制飲食,在規定時間內降低體重的5%~10%.本組病例中,72%患者嗜煙酒,酒精和鎮靜劑可降低上呼吸道周圍肌肉的運動,增加睡眠呼吸障礙的發生,讓患者避免這些致病因素,勸其戒除菸酒,睡眠前避免使用鎮靜劑。觀察發現,患者平臥睡眠時,呼吸障礙加重,致舌根後墜造成氣道阻塞。我們教會患者控制睡眠姿勢,避免仰臥位,以緩解症狀。
發病率
OSAS在人群中的患病率較高,約為2%~4%,男女發病比率為6.3:1左右,常見於40~70歲的肥胖者,65歲以上患病率可達20%~40%。兒童期由於扁桃體和腺樣體肥大,也是此綜合徵的高發年齡組。
死亡率
OSAS是一組有潛在危險的睡眠呼吸障礙疾病,易並發心律失常、高血壓、甚至呼吸衰竭或猝死。有人估計全世界每天有3000人死於本病。Thorpy對269例患者隨診,7年內死亡43例,占16%,其中71%死於心血管疾病。據報導未治療的患者,5年病死率為11%~13%,呼吸暫停指數>20者,8年死亡率為37%,而呼吸暫停指數<20者,死亡率僅4%。Partinen回顧分析198例患者,僅做減肥治療的127人,5年死亡率達11%,71例氣管切開者無1例死亡。因此有效治療可以提高患者的生活質量,延長生命。

