概述
腎髓質囊性病2.幼年性腎癆髓質囊性病(Juvenile Nephronophthisis-Medullary Cystic Disease Complex)可能是一組聯合病。臨床可分為4型:
(1)散髮型缺乏家族史。
(2)幼年型,為常染色體隱性遺傳病,主要在兒童及青年發病。
(3)腎視網膜發育不良(Renal-Retinal Dysplasia),除腎病變外,病人或家系成員有色素性視網膜炎、白內障、黃斑變性、近視或眼球震顫等。
(4)成人起病的髓質囊性病,為常染色體顯性遺傳。本病是兒童和青年的終末期腎病的常見原因。
流行病學
主要在兒童及青年中發病健康搜尋年齡在40~60歲,男性多見其發病率在1/5000~1/2000。
病因
與常染色體隱性遺傳病或常染色體顯性遺傳有關,也有其他不明因素。
發病機制
本病發病機制未明。可能是由集合管囊狀擴張而形成海綿狀囊形腔
臨床表現
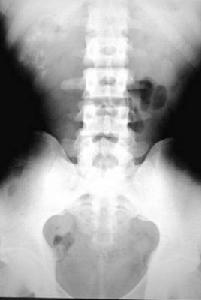
1.髓質海綿腎(Medullary Sponge Kidney) 本病出生時就存在,但無症狀尿液檢查及腎功能正常。其臨床表現主要由併發症引起如腎結石和腎感染。因此,常因急性絞痛血尿、尿路刺激症狀、膿尿等,進一步檢查時發現本病。囊性病變廣泛者可出現尿濃縮功能和酸化功能減退尿鈣排泄增加,預後良好,罕有發生腎衰竭。以往多數病人憑IVP診斷,因為半數病人存在腎結石,在腹部X線平片發現一簇呈放射狀排列在乳頭區的結石造影劑進入乳頭部的囊腔,形成玫瑰花樣,腎盞常變大而寬。腎外形正常或略增大。
2.幼年性腎癆髓質囊性病(Juvenile Nephronophthisis Medullary Cystic Dis-ease Complex) 本病多數在兒童或青年期起病,臨床上以尿濃縮功能減退在腎衰竭之前出現,煩渴、多飲、多尿及遺尿為特徵性早期表現。尿液除低滲之外可無異常,生長發育滯緩伴有貧血。腎保鈉功能差常發生低鈉血症及血容量不足,尿鈣排泄增加,導致低血鈣及手足抽搐,可繼發甲狀旁腺功能亢進及腎性骨營養不良發病後5~10年逐漸發展到腎衰竭。
此型是兒童和青年的終末期腎病的常見原因,可能是一組聯合病,除腎病變外,病人或家系成員有色素性視網膜炎、白內障、黃斑變性、近視或眼球震顫等;成人起病髓質囊性病,為常染色體顯性遺傳。四型腎臟病理改變類似,以腎小管萎縮、間質纖維化、腎小球硬化及腎間質小囊腫為特徵。
併發症 :
1.髓質海綿腎(Medullary Sponge Kidney)其臨床表現主要併發症是腎結石和腎感染。
2.幼年性腎癆髓質囊性病除腎病變外,病人或家系成員有色素性視網膜炎、白內障、黃斑變性、近視或眼球震顫等。
診斷
腎髓質囊性病1.可有陽性家族史。
2.往往有排出微小結石的病史。
3.臨床表現,常無症狀,有時可有以下表現:
(1)血尿:多為無痛性鏡下血尿,結石排出時可為肉眼血尿。可反覆出現。
(2)持續性腰部隱痛不適:系病變腎小管內尿液滯留,內壓增高所致。排石時刺激腎集合系統造成發作性腎絞痛。
(3)膿尿:繼發感染時可有鏡下或肉眼膿尿。
(4)慢性腎功能不全:病變發展的晚期常出現貧血、水腫等表現
尤其小兒和少年不明原因的腎功能不全,口渴、多飲、多尿及尿鈉增多和腎結石及泌尿系感染。個別有色素性視網膜炎、白內障、黃斑變性、近視或眼球震顫等。
鑑別診斷
腎髓質囊性病1.腎盂源性囊腫 可有腰部隱痛及鏡下血尿、膿尿,但尿路造影顯示囊腔與腎盞或腎盂相通,造影劑排空遲緩;囊腫多為單側單個發生。
2.腎鈣鹽沉著症 尿路X線平片可見腎錐體部瀰漫性鈣鹽沉積但為多種疾病在腎臟的表現有原發疾病的臨床特點;常伴有腎功能損害;靜脈尿路造影無扇形排列的囊腫存在。
3.腎結核 尿路造影腎實質內也可出現囊腔。但囊腔多發生於單側,體積較大,與腎盞相通,腎盂腎盞破壞鶒,漏斗部狹窄或閉鎖;膀胱刺激症狀明顯;尿沉渣塗片可找到抗酸桿菌。
4.壞死性腎乳頭炎 靜脈尿路造影時也可發現乳頭部小囊腔。但囊腔與腎盞相通,可為多發腎影增大;有糖尿病、尿路梗阻、感染、過敏口服非那西汀等病史;起病急驟有嚴重的全身症狀;尿液中可發現壞死脫落的乳頭組織
5.腎盂腎炎膿性囊腫 有腰痛及血尿、膿尿。但尿路造影腎臟縮小,腎盂腎盞不規則的擴張狹窄和扭曲,有進行性腎功能損害及高血壓表現;結合長期泌尿系感染的病史可作出鑑別。
6.逆行腎盂造影所致腎小管回流 造影劑在腎錐體區呈扇形分布。但數天后重複X線攝片即見消失。本病還須注意與多囊腎、單純性腎囊腫、孤立性多房囊腫肝或腎棘球蚴病、腎腫瘤、腎盂積水等鑑別健康搜尋
檢查
實驗室檢查 :
1.尿液檢查 常有多數紅細胞白細胞。晚期可見蛋白尿、管型尿,尿比重下降在1.010以下,並發感染時可見膿尿、血尿。
2.血生化檢查 晚期常有腎功能不全,血清尿素氮、肌酐升高。
其它輔助檢查 :
1.X線檢查
(1)尿路X線平片:腎小盞外側乳頭部腎髓質內顯示大小不等數目不定的小結石,多為粟粒狀,呈多發性、簇狀或放射狀排列。其他檢查如腹部X線平片可見兩側腎臟體積大小改變明顯,且有囊腫樣或鈣化陰影
(2)靜脈尿路造影:腎錐體及小盞周圍可見被造影劑充盈的梭形小囊腫多數囊腫排列成扇形式葡萄串樣或花束樣;腎小盞增寬,杯口擴大。
(3)逆行腎盂造影:顯示腎盞杯口擴大。
2.CT和MRI檢查 CT和MRI一般不作為初始檢查方法,因接受放射量較大,價格又較貴。但其優點是能顯示組織健康搜尋不同密度,詳細提供解剖結構情況,CT能更好地明確病變的部位和性質是一項有幫助鶒的檢查方法。它正在替代創傷性的逆行和前行腎盂造影MRI亦如CT一樣,且更能清晰顯示各組織密度,明確梗阻病因和病變性質。
3.超音波檢查 由於這是一項非創傷性檢查,對診斷腎囊性變有高度敏感性,亦適用於多囊腎健康搜尋的檢查。超音波檢查可發現腎體積改變腎盂腎盞變形,另有囊腫壁較厚或不同程度的鈣化和梗阻。
治療
本病無特殊治療方法糾正電解質平衡,尤其是補鈉以糾正低鈉血症和低血容量,可改善腎功能延緩腎衰竭的進程。
髓質海綿腎(Medullary Sponge Kidney)如無症狀及併發症無需治療如有尿路感染則按腎盂腎炎正規給予抗菌治療。並髮結石者應多飲水使每天尿量保持在2000ml以上,試用排石和消石藥高鈣尿者加服噻嗪類利尿藥若病變局限於一側腎的部分可考慮病側腎或病變部位腎切除術
預後預防
預後
本病患者如經積極治療,預後明顯改觀。
預防
由於尚無有效的治療方法,防治腎臟併發症和維持腎功能是主要預防目的
本病患者易發生尿路感染,尤其是女性,如誘發腎盂腎炎或囊腫感染則腎區疼痛加重伴明顯發熱,血尿及膿尿,嚴重者可導致尿路敗血症。因此必須積極對症及支持治療,控制尿路感染防治腎結石等併發症發生。

