基本概述
左腎囊腫是腎臟內出現大小不等的與外界不相通的囊性腫塊的總稱,常見的腎囊腫可分為成人型多囊腎、單純性腎囊腫和獲得性腎囊腫。單純性腎囊腫是臨床上最常見的一種囊腫性腎臟病,主要見於成人,發病率隨年齡而增加,50歲以上者約半數人至少有一個囊腫。囊腫可以是一側也可是二側,每個腎臟有一個或少數幾個囊腫。囊腫一般孤立呈球形,位於腎皮質淺表者可改變腎臟外形,也可位於皮質深層或髓質,直徑0.5~1㎝,也可3~8㎝,囊壁薄而透明,內含草黃色液體,較粘稠,如有過炎症,囊壁可增厚,纖維化甚至鈣化。囊腫與腎盂不相通,壁內襯以單層扁平上皮細胞。本病一般不出現症狀,常因其他目的或查體時無意中被發現。偶可出現血尿和局部疼痛、腎盞梗阻和繼發感染。症狀
左腎囊腫是腎囊腫在左腎上的集中表現,一般左腎囊腫多指左腎單發性腎囊腫。對於左腎囊腫的治療同於單純性腎囊腫的治療。在囊腫小時進行積極治療對左腎囊腫患者的腎功能有很好的保護作用。絕大多數左腎囊腫並無症狀。部分患者可因囊腫本身及囊內壓力增高、感染等而出現以下病狀:1.腰、腹不適或疼痛:其原因是由於腎臟腫大和擴張,使腎包膜張力增大,腎蒂受到牽拉,或者使鄰近器官受壓引起。另外,腎臟因多囊含水量大,變得沉重,下墜牽拉,也會引起腰部疼痛。疼痛的特點為隱痛、鈍痛,固定於一側或兩側,對向下部及腰背部放射。如有囊內出血或繼發感染,則使疼痛突然加劇。如合併結石或出血後血塊阻塞尿路,則可出現腎絞痛。
2.血尿:可表現為鏡下血尿或肉眼血尿。發作呈周期性。發作時腰痛常加劇,劇烈運動、創傷、感染可誘發或加重。出血原因是因為囊壁下方有許多動脈,由於壓力增加或合併感染,使囊壁血管因過度牽拉而破裂出血。
3.腹部腫塊:有時為患者就診的主要原因,60—80%可觸及腫大的腎臟。腎臟愈大,腎功能愈差。
病因
左腎囊腫左腎囊腫從發病機理上講,與多囊腎不同。左腎囊腫不是由先天遺傳而是後天左腎囊腫形成的。近年來的研究認為可能是由腎小管憩室發展而來。隨年齡增長,遠端小管和集合管憩室增加,左腎囊腫的發生率亦隨之增加。
①小管上皮細胞持續性增殖,可形成息肉樣損害而造成腎小管梗阻。梗阻前方管內液體瀦留、膨脹成囊腫。另外,由增生形成的息肉樣物質在囊腫頸部可造成半梗阻狀態,使液體不易流出,囊腫遂擴大;
左腎囊腫②囊腫基因影響小管上皮細胞的Na-K-ATP酶,使小管內液量增加,並使增生的囊壁細胞分泌液體;
③產生異常的細胞外基質,改變基底膜和管壁狀態,有利於囊腫的形成的發展;
④小管上皮細胞及中壁細胞產生一系列生物活性物質促進囊液的分泌;
⑤感染及毒素作用於小管激發囊腫基因,改變小管細胞代謝,甚至直接造成上皮細胞壞死,壞死後細胞脫落亦可造成梗阻,而壞死後再生亦促進細胞增生。
治療措施
左腎囊腫①當排泄性尿路造影,腎斷層X線攝影術,超聲影象及CT仍未能做出最一診斷,可選擇作血管造影,而經皮囊腫穿刺抽吸則作為下一步診斷手段,這既可在X線螢光屏監視下也可在超聲影象監測下進行。發現清亮的囊液是令人鼓舞的徵象,但抽吸液仍應做細胞學檢查。還應測定其脂肪含量,脂肪含量增高則符合腫瘤的診斷。隨後將囊液充分引流,並代這以造影劑。接著在不同體位下攝片,以顯示囊壁光滑度,有無贅生物存在。抽出造影劑前,將3ml碘酯脂注入囊腔內,這將減少液體再積聚引起的改變。Bean 1981年介紹了將95%酒精注入空囊內,用這種方法,他在29例患者中只發現1例復發。若只單純將囊腫抽空,則約大部分會復發。若抽吸液為血性,可考慮手術探查,因此時病變嚴重,甚至已發生癌變。
③當診斷仍有疑問時,可考慮手術探查。Ambrose等1971年在大多數已確診為囊腫時,仍寧願手術探查。在他們所行55例手術中。5例被證實已有癌變,占9%。通常只將囊腫的腎外部分切除。若腎臟嚴重受損時,腎切除也是適應症,但這很少見。
2、腎囊腫的治療,排出囊內積液是關鍵,一般病人手術後反覆的幾率較大,到了尿毒症期已經失去了手術的條件。最好中醫治療為主比較好,不用去醫院治療。像腎囊消腫方。增加囊壁通透性,加速囊內液的排出,在保護、修復腎臟功能的同時,改善體內環境,控制囊腫的生長,甚至明顯縮小,效果比較理想。
臨床表現
左腎囊腫2、體徵:體格檢查多為正常,偶於腎區可觸及或叩及一包塊。若囊腫發生感染時,脅腹部可有壓痛。
3、實驗室檢查:尿液分析多呈正常。鏡下血尿罕見。腎功能檢測也正常,除非囊腫為多發性或雙側性的(罕見)。即使一側腎臟表面廣泛破壞,對側腎也可因代償性肥大而維持總腎功能的正常。
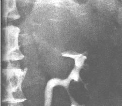
4、X線檢查:在腹平片中常可見到腎影中有一部分膨大或其上有一包塊壓迫。囊腫的重量或位置可引起腎臟扭轉導致腎軸異常。有時在腫塊邊緣可見到條紋狀鈣化影。排泄性尿路造影可確診。在靜脈推注造影劑後1~2分鐘攝片中,可見腎實質血管密度增高,而囊腫占據的那部分空間則不會,因為其中沒有血管。尿路造影連續攝片顯示有包塊存在。囊腫周圍的一個或數個腎盞或腎盂常因凹陷或彎曲,而變得增寬、變平甚至管腔消失。斜位或側位片也是有助於診斷。當包塊占據了腎下極,輸尿管上段便會向脊柱移位。腎臟本身也會發生鏇轉。通過可透射線的囊液或以看到腰大肌。當常規尿路造影不能有效區分不透光的腎實質時,腎斷層X線攝影術可增大有血管的腎實質與囊腫的對比度。偶見腎實質腫瘤亦有相對無血管,從而易與囊腫相混淆。少數情況下,囊腫壁也可發生腫瘤,因此有必要作更進一步的鑑別診斷檢查。
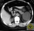
5、CT掃描:鑑別腎囊腫與腫瘤,CT是最精確的。囊液密度近似於水,而腫瘤的密度則與正常腎實質相近。靜脈注射造影劑後,腎實質變得更為濃密,而囊腫仍不受影響;囊腫壁與腎實質有明顯界限,而腫瘤則無;囊腫壁很薄,腫瘤卻不然。從許多方面來說,鑑別囊腫和腫瘤CT要優於穿刺抽液判斷。
6、腎臟超聲檢查:在採取非侵入性診斷技術來鑑別腎囊腫和實質包塊時,超聲檢查占有很大比例。當超聲檢查發現符合囊腫的影象時,就可在超聲影象監視下,穿刺囊腫並抽吸囊液。
7、同位素掃描:做直線掃描可顯示出包塊輪廓,但難以區分囊腫或腫瘤。採用鎝掃描攝影術可顯示無血管的包塊。
8、在囊腫攝影術下經皮囊腫抽吸:當上述檢查對鑑別囊腫及腫瘤仍有疑問時,則有必要行穿刺抽吸。
鑑別診斷
左腎囊腫2、多囊腎:正如尿路造影所示,本病幾乎總是雙側性的,瀰漫的腎盞及腎盂發生扭曲已成其規律。單純性腎囊腫則多為孤立性單發性。多囊腎往往伴有腎功能損害及高血壓,而腎囊腫則沒有。
3、腎癰:本病罕見。採集病史時,可發現在突起發熱及局部疼痛前數周有過皮膚感染史。尿路造影顯示其病變與囊腫及腫瘤相似,但由於腎周圍炎影響,使腎輪廓及腰大肌影模糊不清。此時,腎臟多較固定。將患者在仰臥及直立時腎臟位置加以比較即可證實。血管造影可顯示一無血管的病損。鎵-67掃描可顯示病損的炎症性質,但感染的單純性腎囊腫也可有相似的表現。
4、腎積水:症狀和體徵可與單純性腎囊腫的表現完全一致,但尿路造影則截然不同。囊腫引起腎臟變形,而腎積水則表現為由於梗阻所致的腎盞和腎盂的擴張。急性或亞急性腎盂積水由於腎盂內壓的增高常產生更為局限的疼痛,並因感染而易於使其表現複雜化。
5、腎外腫瘤(如腎上腺、混合性後腹膜肉瘤):可使腎臟移位,但很少侵及腎臟並使腎盞變形。
6、能包蟲病:其囊腫未與腎盂相通時,難以和單純性腎囊腫鑑別,因尿中尚不會有包蟲及其幼蟲。在X線檢查中常發現腎包蟲病囊腫壁上有鈣化。皮膚敏感試驗時診斷該病有所幫助。
治療方法
左腎囊腫目前的醫學水平還沒有治療腎囊腫的特效方法。對於小的腎囊腫,無症狀時不需要做任何治療,但要定期複查,觀察囊腫是否繼續增大。無症狀者應經常進行尿液檢查,包括尿常規、尿培養,每半年至一年進行一次腎功能檢查,包括內生肌酐清除率。由於感染是本病惡化的重要原因,所以若非十分必要,不要進行尿路創傷性檢查。腎囊腫穿刺作用不大,不僅易於感染,易於復發,而且經過長期觀察,該術也不能延緩腎功能損壞的發生。手術切除囊腫也不是一件容易的事,因為腎表面的囊腫可以切掉,但要切掉埋在腎臟深部的囊腫就相當困難。腫物較大且有惡變可能時,可以進行手術探查,如果證實為良性囊腫,可將腎表面的囊壁切除,邊緣用腸線與腎實質連續縫合,殘留囊壁塗以碘酊。一側腎實質廣泛破壞,對側腎功能正常者,可行腎切除術。
護理常識
(一)、精神、心理護理
即中醫所說的調養情志,由於腎臟疾病病程綿長,且易於反覆,患者思想包袱較重,因此了解並鼓勵病人說出自己的思想顧慮很重要,鼓勵病人胸懷開闊,思想放鬆,避免消極悲觀,更不要鑽死胡同,學會調養情志,樹立戰勝疾病的信心,使病體早日康復。
護理(二)、生活護理
1、促進身心休息:如腎性高血壓者應定時測血壓,根據血壓變化情況增加臥床休息時間。2、合理的膳食:飲食方面應根據每種疾病的情況對患者進行具體的飲食指導,如腎功能不全時,應提高熱量(以糖為主),優質低蛋白飲食,限進液量,保持水平衡。
3、注意口腔的護理:早晚及餐後保持口腔清潔,去除口臭,減少噁心,防止細菌和黴菌生。
4、加強皮夫護理:做好慢性腎衰患者的皮夫護理,是預防皮膚感染,褥瘡及有關併發症的一項重要工作,因尿毒霜沉積對皮夫刺激,病人常有瘙癢不適,並影響睡眠,且抓破皮夫後極易感染。
故應勤用溫水擦洗,保持皮夫清潔,忌用肥皂和酒精。勤換衣褲、被單。對有嚴重水腫的病人,更需注意保護皮夫,經常更換臥姿,按摩受壓部位,預防褥瘡。
預防
一、喉部、扁桃腺等發炎鏈球菌感染時,需立即根治吃抗生素要徹底,不可中途而廢,否則鏈球菌容易感染而誘發腎臟疾病。(尤其是小朋友更需要注意)二,腎臟病請看專科醫師不幸得了腎病,請馬上看腎臟專科醫師做最適當之處理,否則亂找江湖郎中吃草藥偏方,誤了治療時機,衍生更多的併發症,甚至於短期內變成尿毒症。
三、適量(充分)喝水不憋尿尿在膀胱里太久很容易繁殖細菌,細菌很可能經由輸尿管感染到腎臟,每天充分喝水隨時排尿,腎臟亦不易結石。
四,控制高血壓如有高血壓,請馬上找醫師吃藥,將血壓控制在安全範圍內。因長期的高血壓將不停地破壞腎臟之微細血管,腎臟是由二百萬個腎小體(微血管)組成的。
五、婦女懷孕前作腎臟功能檢查,可避免尿毒症之發生婦女懷孕時,因腎臟負擔加重,所以婦女懷孕前最好檢查有無腎臟病,如果有相當程度的腎臟病時(有時自己都不知道),請速與腎臟專科醫師研討可否懷孕。否則盲目懷孕,腎臟病可能馬上惡化演變成尿毒症,達到"洗腎"之程度。

