透明血栓(hyaline thrombus)這種血栓發生於微循環小血管內,只能在顯微鏡下見到,故又稱微血栓,主要由纖維素構成,見於彌散性血管內凝血。
血栓形成於髂靜脈內,向下腔靜脈延續,當延續到對側髂靜脈入口處後,由於有血流流入,血小板繼續析出,繼續形成白色血栓,順血流延伸,並常游離於血管腔內而不與血管壁粘連
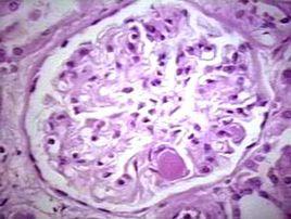
主要由嗜酸性同質性纖維蛋白構成,最常見於瀰漫性血管內凝血

在活體的心血管內,血液發生凝固或血液中某些有形成分析出、凝集形成固體質塊稱為血栓(thrombus)。透明血栓最常見於瀰漫性血管內凝血(DIC),其發生於微循環的小血管內。
透明血栓(hyaline thrombus)這種血栓發生於微循環小血管內,只能在顯微鏡下見到,故又稱微血栓,主要由纖維素構成,見於彌散性血管內凝血。
血栓形成於髂靜脈內,向下腔靜脈延續,當延續到對側髂靜脈入口處後,由於有血流流入,血小板繼續析出,繼續形成白色血栓,順血流延伸,並常游離於血管腔內而不與血管壁粘連
主要由嗜酸性同質性纖維蛋白構成,最常見於瀰漫性血管內凝血
血栓是血流在心血管系統血管內面剝落處或修補處的表面所形成的小塊。在可變的流體依賴型中,血栓由不溶性纖維蛋白,沉積的血小板,積聚的白細胞和陷入的紅細胞組成...
基本概述 形成機理 中醫論證治療 老年人防血栓 抗血栓藥分類血栓形成是指人體或動物在存活期間因某些誘因,血液有形成分在循環血中發生異常的血凝塊,或者在心臟內壁或血管壁上發生血液沉積物。血栓栓塞性疾病發病情況的認識...
概述 流行病學 發病機制 臨床表現 診斷發生於微循環的小靜脈,微循環和毛細血管內的血栓,只能在顯微鏡下才被發現,故稱微血栓。 免疫複合物病(Immune Complex Disease,ICD...
器官介紹 分類 臨床表現 臨床診斷 微血栓與血栓(1)血栓長度: (2)血栓濕重: (3)血栓乾重:
血栓檢測分析儀 (二).操作步驟和注意事項 (三).使用規範 (四).臨床意義:體外血栓檢測儀由機械傳動系統、控溫系統、微電腦程式控制系統、轉環工作室及薄膜面板顯示系統五大部分組成。是基層開展心腦血栓疾病防治的一種最簡單、快速和客觀...
白色血栓(pale thrombus),又稱為血小板血栓或析出性血栓。發生於血流較快的部位(如動脈、心瓣膜、心腔內)或血栓形成時血流較快的時期(如靜脈混...
定義 形態附:依附,附著壁:血管壁,心瓣膜等血栓:活體的心臟和血管內,血液發生凝固或血液中某些有形成分凝集形成的固體質塊。可分為白色血栓、混合血栓、紅色血栓和透明血栓。附壁血栓:發生於心腔內、動脈粥樣硬化潰瘍部位或動脈瘤內...
原因19世紀中期,R.L.K.菲爾肖提出的深靜脈血栓形成的三個要素...。絕大多數靜脈血栓形成發生在盆腔及下肢的深靜脈,這與下肢靜脈的解剖及功能有...,下肢靜脈血回流較緩慢。當無明顯的靜脈內膜損害時血栓形成常常發生在靜脈...
原因 檢查 鑑別診斷 緩解方法