定義
白色血栓主要由許多血小板沉積,及少量纖維蛋白構成。又稱為血小板血栓或析出性血栓。白色血栓成分主要由血小板和纖維蛋白構成。多見於風濕性心內膜炎、感染性心內膜炎、及心瓣膜疣狀贅生物。(見於八版病理p52頁)。與混合血栓、紅色血栓、透明血栓不同。
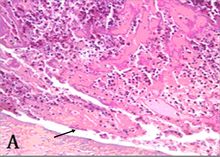
形態
箭頭所指為鏡下的白色血栓肉眼:呈灰白色小結節或贅生物狀,
表面粗糙有波紋,質硬,與血管壁緊密黏著不易脫落。 鏡下: 由血小板及少量纖維蛋白構成,還有大量中性白細胞。

白色血栓(pale thrombus),又稱為血小板血栓或析出性血栓。發生於血流較快的部位(如動脈、心瓣膜、心腔內)或血栓形成時血流較快的時期(如靜脈混合性血栓的起始部,即延續性血栓(propagating thrombus)的頭部)。
白色血栓主要由許多血小板沉積,及少量纖維蛋白構成。又稱為血小板血栓或析出性血栓。白色血栓成分主要由血小板和纖維蛋白構成。多見於風濕性心內膜炎、感染性心內膜炎、及心瓣膜疣狀贅生物。(見於八版病理p52頁)。與混合血栓、紅色血栓、透明血栓不同。
箭頭所指為鏡下的白色血栓肉眼:呈灰白色小結節或贅生物狀,
表面粗糙有波紋,質硬,與血管壁緊密黏著不易脫落。 鏡下: 由血小板及少量纖維蛋白構成,還有大量中性白細胞。
