簡介
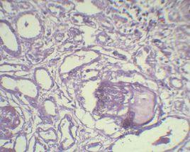
新月體細胞成分間有較多纖維素。纖維素滲出是刺激新月體形成的重要原因。早期新月體以細胞成分為主,稱為細胞性新月體。之後膠原纖維增多,轉變為纖維-細胞性新月體。最終成為纖維性新月體。
伴隨病症
新月體腎炎
新月性腎炎又稱為急進性腎炎。急進性腎炎是一組病情發展急驟,以血尿、蛋白尿、浮腫、高血壓為主要臨床表現,並迅速發展為少尿、無尿和腎功能衰竭的預後惡劣的腎小球腎炎的總稱。其病因分原發性和繼發性兩大類,具體如下:(1)原發性:發病原因不明,前驅可有鏈球菌感染史或胃腸道、呼吸道感染的表現。
按其發病機理可分為三型:
①Ⅰ型為抗腎小球基底膜抗體型,此型患者血中抗基底膜抗體陽性,電鏡下可以見到基底膜內側有線狀沉積物。
②Ⅱ型為免疫複合物型,電鏡下可見基底膜外側有團塊狀免疫複合物沉積。
③Ⅲ型的發病機理不明,腎小球中無免疫複合物沉積。三型中以Ⅰ型病情最為兇險,治療最困難。
(2)繼發性:可繼發於以下幾種情況。
①繼發於其它原發性腎小球疾病。如膜增生性腎炎,膜性腎病,IgA腎病(較少見)等。
②繼發於感染性疾病:如感染性心內膜炎、鏈球菌感染後腎炎、隱匿性臟器細菌性病灶、B型肝炎及流行性感冒等。
③繼發於其它系統疾病:如系統性紅斑狼瘡、全身性血管炎,肺出血一腎炎綜合徵,過敏性紫癜、自發性冷球蛋白血症、惡性腫瘤及復發性多發性軟骨炎等

