簡述
克雷白桿菌肺炎(Klebsiellarpneumonia)是由肺炎克雷白桿菌引起的急性肺部炎症,多見於老年、營養不良、慢性酒精中毒、慢性支氣管-肺疾病及全身衰竭的患者。
臨床表現
一般情況
本病多見於多見於老年體弱、營養不良和患有慢性肺部疾病的人群。
症狀
起病突然,主要症狀為寒戰、高熱、咳嗽、咳痰、胸痛和呼吸困難,可有發紺、氣急、心悸,約半數患者有畏寒,毒血症狀明顯,可早期出現休克。其痰常呈粘稠膿性、量多、帶血,灰綠色或磚紅色,可因血液和粘液混合而呈現磚紅色痰,是本病的特徵性表現,但臨床上少見。臨床表現類似嚴重的肺炎球菌肺炎。
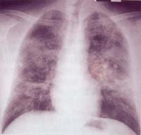
輔助檢查
胸部X線
表現常呈多樣性,肺葉或肺大葉實變,好發於右肺上葉、雙肺下葉,有多發性蜂窩狀肺膿腫、葉間隙下墜。
診斷與鑑別診斷
1.老年體弱患者有急性肺炎、中毒症狀嚴重、且有血性粘稠痰者,應考慮本病。
2.確診有賴於痰細菌學檢查。
3.注意與葡萄球菌、結核菌或其他革蘭陰性桿菌所致肺炎相鑑別。
治療
及早使用有效抗生素是治癒的關鍵。
首選藥物
氨基糖苷類抗素+2,3代頭孢
治療原則
第二、第三代頭孢菌素聯合氨基糖苷類抗生素。
預後
年老,WBC減少菌血症者預後差。

