流行病學
單純皰疹病毒較不穩定,在體外不能長期存在,感染主要通過分泌物及與易感人體的密切接觸;而單純皰疹病毒性肺炎的病原主要來源於上下呼吸道病毒的直接播散和來源於其他臟器的血源性播散。HSV有兩種血清型,HSV-1和HSV-2。HSV感染在人體為常見的感染。5歲時,35%的兒童已感染HSV-1;35歲時98%的成人已有該病毒的抗體;25%~60%的成人有HSV-2的抗體但HSV-2抗體在14歲以下的兒童罕見。由於單純皰疹病毒性肺炎在臨床上未引起足夠重視,患者生前確診率不高,實際發病率可能比已知的高。在非細菌性肺炎中,HSV肺炎約占5%。有報導指出:成人骨髓移植合併間質性肺炎呼吸功能不全的病人肺活檢16%可分離出HSV,且生前無一例確診。另一研究結果提示:在同種異體骨髓移植的肺炎病人中單純皰疹病毒性肺炎約為5%。
病因
單純皰疹病毒肺炎HSV可被脂溶劑滅活;該病毒處於pH小於4或溫度≥56℃的環境超過0.5h即可消除其傳染性。
HSV-1可能為正常人口腔寄生病毒株,可從正常人口腔分泌物中分離出如無急性上呼吸道感染或免疫抑制,單純攜帶病毒不會引起致命的呼吸衰竭很少有病人以單純皰疹病毒肺部感染為第1原因入院。
發病機制
單純皰疹病毒感染的體內過程可分為5階段:初次皮膚黏膜感染,神經節急性感染,潛伏感染,重新激活,反覆感染在易感宿主,接種有致病力的病毒到皮膚黏膜後,可發生初次感染。病毒複製使得子代病毒播散至鄰近的細胞然後播散至感覺神經的皮膚黏膜支配區病毒到達神經節的神經細胞核,引起潛伏感染病毒潛伏可為終生,亦可為病毒重新激活終止,導致臨床無症狀或症狀明顯。無證據表明神經節潛伏感染後病毒可被消滅。正常皮膚作為防禦單純皰疹病毒感染的第1道防線。黏膜、結膜和因濕疹、燒傷、外傷或感染受損的皮膚比正常皮膚更易感。感染單純皰疹病毒的病人產生IgM、IgG和IgA抗體直接對抗病毒蛋白質抗體的重要性尚不清楚特異性抗體不能防止病毒重新激活或新生兒感染。然而,抗體可能在改變感染嚴重度方面有作用。
干擾素亦通過抑制病毒或免疫調節機制參與單純皰疹病毒感染的控制基因因素亦可能與皰疹病毒感染有關細胞免疫在控制單純皰疹病毒感染方面非常重要。先天性、獲得性或醫源性的細胞免疫缺陷病人可有較為經常、嚴重和病程較長的皰疹病毒感染。在單純皰疹病毒感染病人,存在母細胞化反應、抗體依賴或非抗體依賴的細胞毒作用和自然殺傷細胞活動。細胞免疫可限制感染,但不能阻滯潛伏感染和重新激活與巨細胞病毒不一樣,皰疹病毒在人體肺泡巨噬細胞中不能複製,這可解釋為什麼作為肺部病原皰疹病毒比巨細胞病毒少見。
除免疫抑制的因素外,許多因素可引起潛伏感染的病毒重新激活,包括生理性、病理性和精神性刺激,這些觸發因素可能通過細胞、體液或神經內分泌途徑,使潛伏病毒的基因去抑制或免疫監控機制失調最終導致潛伏病毒重新激活,如發熱日曬過度月經來潮、服用腎上腺皮質激素產後、創傷、酗酒或任何類型的嚴重疾病HSV易重新激活的高危病人包括老年人、霍奇金病、某些白血病、獲得性免疫缺陷綜合徵(AIDS)、急性呼吸窘迫綜合徵(ARDS)、接受免疫抑制劑治療的器官移植或腫瘤病人。這些病人的T-淋巴細胞功能或數量均有不同程度的抑制或減少所以在細胞免疫受損的病人應密切觀察HSV感染的徵象。
晚近認為:單純皰疹病毒可能為一個重要的呼吸道感染病原尤其在免疫抑制的病人。局限性單純皰疹病毒性肺炎產生於上下呼吸道病毒的直接播散,而瀰漫性單純皰疹病毒性肺炎為從生殖器官或口腔病變彌散來的病毒引起(最大可能為血源性)。已發現HSV-1和HSV-2的病毒血症,二者均與瀰漫性感染有關。大部分這類感染是由於內源性病毒的激活,部分為皮膚黏膜皰疹病毒感染廣泛播散所致,外源性重新感染罕見。口腔黏膜單純皰疹病毒感染常先於局限性肺炎發生,與單純皰疹病毒性支氣管炎或食管炎有關但在無皮膚黏膜皰疹病毒感染的患者亦可發生單純皰疹病毒性肺炎繼發於氣管插管或燒傷的氣管損傷易使口咽部單純皰疹病毒直接播散至下呼吸道細胞毒藥物化療和放療也可破壞正常上呼吸道黏膜影響黏膜細胞的再生促使病毒播散。
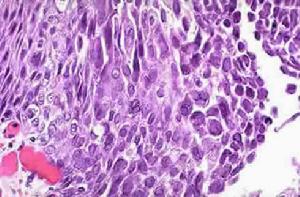
病理改變:肺組織有炎性浸潤,肺實質壞死,出血,細胞腫脹變圓,瀰漫性間質性肺炎且大部分伴有皰疹病毒感染的細胞改變特徵如核內嗜酸性包涵體,可有壞死性單純皰疹病毒性氣管炎或單純皰疹病毒性食道炎。單純皰疹病毒性支氣管炎,表現為黏膜紅斑、水腫、滲出和潰瘍,表面可覆蓋有纖維膿性膜樣分泌物。
臨床表現
單純皰疹病毒性肺炎的臨床表現與其他下呼吸道感染近似:咳嗽、氣急、發熱(>38.5℃)、白細胞降低肺部囉音、低氧血症呼吸功能不全、氮質血症常見的初發症狀為氣急和咳嗽。HSV肺炎可伴有皮膚黏膜HSV損害且早於肺炎出現可同時伴有瀰漫性真菌、巨細胞病毒或細菌感染。單純皰疹病毒性氣管支氣管炎可表現為常規治療無效的支氣管痙攣或狹窄,病人可無慢性肺部疾病和無免疫抑制性疾病,有時可引起急性呼吸衰竭需機械通氣治療。
併發症:
可同時伴有瀰漫性真菌巨細胞病毒或細菌感染。
診斷
HSV肺炎的臨床表現和放射學表現為非特異性。單純皰疹病毒性肺炎的診斷,除肺炎臨床表現外,須依靠HSV肺部感染的組織學依據和肺部病毒的分離。直接從下呼吸道分離出病毒最好從肺組織,具有明確的診斷意義。氣管鏡檢查結合細胞學檢查和病毒培養有診斷意義,雖然並非必須,但可提供組織標本。纖維支氣管鏡檢查顯示氣管支氣管黏膜潰瘍和(或)覆蓋有假膜,該檢查可引導抽吸支氣管沖洗或活檢。細胞學和組織學檢查可提供HSV感染的特異性證據:多核巨細胞和核內嗜酸性包涵體。另外活檢標本檢查示炎性浸潤,實質壞死和出血。
在免疫抑制的患者,如有廣泛的皮膚黏膜單純皰疹病毒感染並且伴有局限性或廣泛性的肺部浸潤尤其存在食道炎或氣管炎或發現單純皰疹病毒播散至其他器官時應考慮皰疹病毒性肺炎進一步講,口腔黏膜單純皰疹病毒感染的病人進行氣管插管時應考慮繼發單純皰疹病毒性肺炎的可能。應當進行病毒的肺活檢組織病毒培養、組織學檢查、通過免疫螢光進行單純皰疹病毒抗原的組織檢查
在常規治療無效的急性支氣管痙攣病人應考慮單純皰疹病毒下呼吸道感染的可能。
鑑別診斷:
單純皰疹病毒性肺炎可通過DNA探針、PCR技術以及免疫學檢查與巨細胞病毒性肺炎、帶狀皰疹病毒性肺炎等鑑別從皮膚黏膜病灶分離出病毒結合肺炎症狀不能確立診斷。上呼吸道和涎腺分離出HSV病毒無診斷意義血清學檢查也無診斷意義。
檢查
單純皰疹病毒肺炎實驗室檢查:
HSV病毒可從氣管支氣管分泌物、支氣管肺泡灌洗液、肺組織中獲得。採用纖維支氣管鏡收集標本應早期進行。經皮細針抽吸肺活檢和開胸肺活檢無多大幫助。皮膚黏膜損害囊泡液體中病毒的最高分離率為80%~98%,當潰瘍結痂和癒合分離率則下降(<25%)。標本的收集和運送在分離病毒過程中相當重要。標本應儘快收集,因為在疾病進展後分離到病毒的可能性減少。收集標本後及時接種,可能有較高的病毒分離率。必須注意運送和儲存標本的條件,在正式檢測前,標本不能放在-20℃的冰櫃中冷凍;運送過程中標本可保存4℃ 48h。
HSV感染的實驗室診斷應從兩方面評價:首先,確定病人是否正在排放病毒,有無存在HSV現行感染以進行積極的抗病毒治療。其次,在可疑患者病毒重新激活出現臨床症狀前,確定病人血清抗體是否陽性,以檢查過去是否感染HSV以確定在骨髓移植、器官移植、誘導化療前有無必要進行預防性抗病毒治療
1.細胞培養 組織培養為最敏感和特異的診斷方法亦可用於病毒的分型。在病毒高滴度的標本,24~48h內可獲得陽性結果,接種後72h內在90%的培養基中可產生特徵性的細胞病變效應;而在低滴度的標本,7天后方可看到特徵性變化然而,組織培養並不能始終確立病毒的存在,這是因為標本的收集和運送欠妥以及使用抗病毒藥可能出現假陰性。
2.檢測病毒
(1)Papanicolaou(Pap)或Tzank試驗:是快速、便宜的細胞診斷方法,先進行病變部位的刮片細胞染色,能在20min內顯示細胞改變,即多核巨細胞形成胞質空泡樣變和包涵體。陽性塗片結果可靠,但不能區分水痘-帶狀皰疹病毒(varicella-zoster virus,VZV)和HSV-1或HSV-2。陰性塗片亦不能排除皰疹病毒感染在理想情況下,Tzanck塗片約50%陽性,其敏感性和特異性均較低,且依靠檢測者經驗;由於許多技術和實際原因,套用受限。
(2)單克隆抗體間接免疫螢光染色檢查:用於病灶刮片檢查敏感度為78%~88%,假陽性少見。直接電子顯微鏡檢查很誘人因為可在2h內完成,但敏感性多變,特異性低。酶聯免疫吸附試驗用於單純皰疹病毒的檢查敏感度可達95%,特異性高,但標本收集後如不立即檢查其敏感度下降。亦有採用放射免疫分析法檢查單純皰疹病毒。螢光素標記抗體試驗間接免疫過氧化物酶試驗或使用單克隆抗體的酶免疫分析法等,這些方法價格低廉,快速不需要細胞培養技術。新近產生的用單克隆抗體進行直接螢光素標記抗體染色的離心技術快速敏感,但更常用於巨細胞病毒的診斷。使用免疫螢光直接檢測HSV抗原特異性高但敏感性差,且依靠標本質量。
酶免疫測定法(EIA)測HSV抗原,有培養放大技術和直接檢測技術,研究結果顯示:HSV EIA對各種來源的標本高度敏感(93.7%),高度特異(96.6%);方法簡單,重複性好,快速(4h),標本受細菌污染時影響結果,已治癒或正在進行抗病毒治療的病人結果不可靠。氣管支氣管標本和下呼吸道分泌物的病毒培養,陽性結果通常需2~5天,但陰性結果需2周才能確定
(3)DNA探針技術的套用:DNA探針有助於HSV感染的診斷DNA探針在細胞形態學可疑時能確定診斷。幾種因素能混淆形態學診斷:①HSV包涵體與巨細胞病毒(cytomegalovirus,CMV)和腺病毒(adenovirus)的包涵體相似。②發生HSV和CMV雙重感染時。③除了HSV其他呼吸道病毒也能產生多核細胞。原位雜交使特殊病毒基因組序列定位,它比傳統的確定方法簡單快速
(4)聚合酶鏈反應技術(PCR):PCR對HSV病毒感染可提供結論性依據,即使在石蠟包埋組織只要有一致的病毒病理改變即可。每次檢查必須有陰性對照組織。儘管存在隱性感染的可能性,但對沒有病毒病理改變的對照組織PCR檢查HSV仍為陰性如進行合適的對照,該方法快速(1天內完成)準確特異,敏感性高能對陳舊或複雜的標本進行處理PCR和HSV培養結果近似,PCR沒有Tzanck塗片和病毒培養的許多技術和實際限制,PCR在快速診斷可疑HSV病毒感染的免疫抑制病人顯示其優越性
3.血清學檢查 該方法的最大價值是證明病人已經感染過HSV,血循環中的抗HSV抗體是存在反覆感染可能的標誌。抗體滴度增加4倍或更多提示HSV的近期感染。HSV抗體可通過許多方法檢測,包括補體結合試驗,微量中和試驗和酶免疫分析法。這些方法高度敏感和可靠,但血清學檢查不能區分內源性病毒感染和重新感染。血清學檢查結果無診斷意義無助於快速診斷另一問題為HSV-1和HSV的交叉反應,故不能確定HSV急性感染的血清分型。僅僅在急性期血清中無HSV抗體時,血清學檢查可用於診斷HSV初次感染,在這種情況下如果恢復期血清中抗體出現可稱為血清轉陽現象(seroconversion)。HSV肺炎時抗體滴度不增高常提示預後較差,病毒容易廣泛播散。
4.病毒分型 常用3種方法為單純皰疹病毒分型首先採用和標準的方法為限制性內切核酸酶切割,並經瓊脂凝膠電泳分離,HSV-1和HSV-2的DNA類型不同據此很容易鑑別HSV-1和HSV-2。第2種方法為用螢光素標記的特異性單克隆抗體進行病毒的分型該方法具有對切片和培養基進行快速和直接檢測的優點。第3種方法為使用溴乙烯去氧苷(5-bromovinyldeoxyuridine,BrdU),該物質在細胞培養基保持適當濃度僅可阻滯HSV-1複製。HSV血清分型對於流行病學很重要,臨床醫生很少需要這種信息,HSV生殖道感染和HSV腦炎例外。
對於非致命性HSV感染,可進行病毒培養的實驗室檢查,因為這種感染常常臨床上即可鑑別,提取標本後數天內可獲得病毒確認而對於致命性HSV感染,須進行立即抗病毒治療,所以必須進行快速準確的HSV感染的診斷最好的方法為免疫螢光染色。嚴重HSV感染患者早期進行抗病毒治療有較好的預後。雖然在確診之前可進行抗病毒治療,但快速的陽性檢查結果能促使醫生儘早開始抗病毒治療新生兒HSV嚴重感染患者可能僅有皮膚損害作為HSV感染的證據,快速診斷檢查尤為重要,如耽誤了診斷和治療,將很快發生其他部位的播散,預後將明顯惡化。在無症狀的HSV感染病人,不能過分強調進行HSV快速診斷試驗。
其它輔助檢查:
X線胸片與其他肺部感染較難鑑別。可顯示局限性、多發性或瀰漫性間質浸潤,早期可有典型的肺門或瀰漫性間質密度增加,支氣管壁增厚,隨著病情進展可見斑片狀肺泡填塞。單純皰疹病毒性氣管支氣管炎胸片可正常。
治療
阿昔洛韋證明有確切療效的預防和治療HSV感染的藥物。該藥為一種非環狀嘌呤核苷類似物,為HSV-1、HSV-2和VZV的抑制性藥物。藥物須被病毒特異的胸腺嘧啶核苷激酶(thymidine kinase,TK)磷酸化後才能抑制病毒DNA聚合酶,而對無感染的細胞則無此作用,從而可相對特異地阻滯病毒增殖,這亦可解釋該藥的相對低毒性。阿昔洛韋靜脈使用耐受性較好但可引起局部疼痛和靜脈炎。9mg/kg的劑量給藥後血漿峰值濃度大約9μg/ml,而敏感HSV-1和HSV-2的ID 50常低於1μg/ml口服阿昔洛韋吸收較差,其生物利用度僅20%,血漿半衰期約3h,85%~90%以原形從尿中排出。口服阿昔洛韋可引起噁心,持續用藥可消失。局部用5%的阿昔洛韋可引起燒灼感,患者一般能耐受局部用藥僅限於皮膚(如口唇,面部,外生殖器),不能用於黏膜表面。5%的病人靜脈套用每8小時5mg/kg可引起可逆性的腎功能損害,為阿昔洛韋在腎小管結晶所致。該藥亦可有神經毒性,包括嗜睡震顫譫妄和腦電圖異常。阿昔洛韋的神經毒性常可通過靜息性或意向性震顫預知每克阿昔洛韋用800~1000ml的液體水化可避免其毒性。
嚴重的初次感染的病人應靜脈套用,每8小時5mg/kg共用5天皰疹性腦炎和廣泛臟器播散的病人,每8小時10mg/kg,共用14~21天。阿昔洛韋口服用於不嚴重的病例及用於治療和抑制一些非住院病人的復發,劑量為1000mg/d,分5次口服共5天。也有局部使用的阿昔洛韋,有報導指出:停用阿昔洛韋後,HSV感染可復發尤其在骨髓移植患者。但是發生嚴重感染已明顯減少,只有1/3患者需要重新套用阿昔洛韋治療。已發現有耐阿昔洛韋的HSV病毒株。骨髓移植患者用阿昔洛韋治療1療程後耐藥病毒株為1.9%,第2個療程後為9.1%。臨床分離的大部分耐阿昔洛韋的HSV缺乏TK。HSV耐藥的其他機制包括HSV病毒株TK發生變化和DNA多聚酶突變。TK缺乏的HSV通常不會引起HSV的嚴重感染和潛伏感染,但亦有例外,有報導在AIDS病人耐藥的HSV-2感染和耐藥的HSV-1可引起肺炎。HSV病毒耐藥與癌症病人預防性用藥無關。因為癌症病人常常有明顯的免疫缺陷,故阿昔洛韋治療無效並不一定意味病毒產生耐藥。在許多HSV感染頑固的病人,延長阿昔洛韋用藥時間、加大劑量或持續靜脈滴注可獲得成功。免疫嚴重受損的病人,如在接受阿昔洛韋治療時仍有持續和進行性的HSV感染,這種感染可發展到內臟,必須考慮換藥治療必須進行HSV分離病毒的藥物敏感試驗,以便合理選擇抗病毒藥物。Trisodium phosphonoformate(磷羧基甲酸三鈉)抑制病毒DNA多聚酶它不需要磷酸化激活Trisodium phosptonoformate在治療耐藥的HSV時可能比阿糖腺苷好但阿糖腺苷對單純皰疹病毒肺部感染無效。阿糖腺苷被細胞酶而不是病毒TK磷酸化激活,在免疫受損的病人該藥對HSV皮膚黏膜感染有效,但對阿昔洛韋敏感的病毒療效比阿昔洛韋差。更昔洛韋(丙氧鳥苷)對耐阿昔洛韋的病毒株無效,因為它也需病毒特異的胸腺嘧啶核苷激酶激活。
預防
對HSV感染尚無特殊預防方法。因HSV尤其是HSV-2與宮頸癌關係密切一般不主張用常規疫苗預防,但如分離純化病毒包膜上糖蛋白抗原作為疫苗,則可避免病毒核酸的潛在致癌危險
接受骨髓移植的病人如移植前血清HSV抗體陽性移植後頭5周,80%的病人有病毒重新激活的機會。HSV抗體陽性的急性白血病病人在誘導化療期間25%產生HSV感染。亦有作者發現:48%的急性白血病病人開始誘導化療後平均17天產生HSV重新激活。另一研究提示:HSV抗體陽性的病人66%病人病毒重新激活,HSV抗體陰性的病人則無感染。免疫受損的癌症患者HSV反覆感染,尤其是血液腫瘤,可能比無免疫受損的病人更為多見、嚴重和持續時間長。如未進行抗病毒治療,病毒可持續播散病灶加重,合併細菌和真菌感染的危險性增加。
阿昔洛韋的預防HSV感染作用在急性白血病化療或準備接受骨髓移植的患者,效果明顯,靜脈用藥尤佳。在血清抗體陽性的其他癌症患者應暫時不進行預防性用藥,除非確定在化療時合併HSV感染。一旦用藥應在整個化療期間持續用藥,或用至免疫抑制狀態恢復急性白血病誘導化療的患者,在白細胞缺乏症和化療的鞏固維持階段應繼續用藥。骨髓移植患者移植後阿昔洛韋至少用藥4~6周。預防性靜脈套用阿昔洛韋每12小時250mg/m2,在90%的病人可產生病毒抑制。根據阿昔洛韋的藥代動力學,每12小時75~125mg/m2靜脈套用亦可能有效。預防性口服阿昔洛韋亦有效,800mg口服每天2次,可有明顯的預防作用然而,在癌症病人,靜脈和口服用藥可聯合套用,尤其當病人有噁心、嘔吐、吞咽困難時。阿昔洛韋預防性口服應限制於可能感染的人群。
