概述
腺病毒肺炎是由腺病毒感染引起的肺炎,是我國兒童較為常見的疾病之一。腺病毒感染可引起咽-結合膜熱、肺炎,腦炎、膀胱炎、腸炎等,其中腺病毒肺炎是嬰幼兒肺炎中最嚴重類型之一,多見於6個月至2歲的嬰幼兒。
病因
(一)發病原因
病原體為腺病毒,已知腺病毒有41個血清型別,其中很多與人類上,下呼吸道感染密切有關,我國流行的腺病毒肺炎多數由3型及7型引起,但11,5,9,10,21型亦有報導,臨床上7型重於3型,從我國北方和南方各地住院病兒的病原學觀察(長春生物製品研究所及白求恩醫大,1962;中國醫學科學院兒科研究所及病毒研究所,1962~1967,1974~1977;上海第一醫學院,1962~1964;廣州市人民醫院,1973~1983;湖北醫學院,1973~1980等)均證明3型和7型腺病毒為腺病毒肺炎的主要病原,從咽拭子,糞便或死後肺組織可以分離出病毒,恢復期血清抗體滴度較早期(發病5~10天或更早)上升4倍以上,在一部分麻疹並發肺炎的嚴重病例,也得到同樣的病原學檢查結果,北京等地還發現11型腺病毒也是肺炎和上呼吸道感染的較常見的病原(兒科研究所,1964~1966),此外,21,14及1,2,5,6等型亦在我國大陸逐漸出現,台灣則以1,2,5,6型為主,白求恩醫大對1976~1988年分離的3,7型腺病毒,進行了基因組型的分析,證明7型多導致重症肺炎。
(二)發病機制
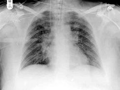
腺病毒是DNA病毒,主要在細胞核內繁殖,耐溫,耐酸,耐脂溶劑的能力較強,除了咽,結合膜及淋巴組織外,還在腸道繁殖,可根據其對特殊動物紅細胞的凝集能力分為3組,容易引起嬰幼兒肺炎的3,7,11,14,21這一組,均能凝集猴紅細胞,腺病毒肺炎病變廣泛,表現為灶性或融合性,壞死性肺浸潤和支氣管炎,兩肺均可有大片實變壞死,以兩下葉為主,實變以外的肺組織可有明顯氣腫,支氣管,毛細支氣管及肺泡有單核細胞及淋巴細胞浸潤,上皮細胞損傷,管壁有壞死,出血,肺泡上皮細胞顯著增生,細胞核內有包涵體。
症狀
小兒腺病毒性肺炎的症狀:
不規則熱稽留熱咽部充血高熱弛張熱咳嗽呼吸困難發紺
根據1959~1963年北京245例經病毒學證實的3,7型嬰幼兒腺病毒肺炎的分析,其臨床特點可概述如下。
1.一般表現潛伏期3~8天,起病一般急驟發熱,腺病毒肺炎熱型不一致,往往自第1~2天起即發生39℃以上的高熱,多數稽留於39~40℃以上不退;其次為不規則發熱,弛張熱較少見,3/5以上的病例最高體溫超過40℃,輕症一般在7~11天體溫驟降,其他症狀也很快消失,嬰幼兒病情多較重,恢復者於第10~15天退熱,驟退與漸退者各占半數,有時驟退後尚有發熱餘波,經1~2天后再下降至正常,有併發症者,熱度持續不退。
2.呼吸系統症狀和體徵大多數病兒自起病時即有咳嗽,往往表現為頻咳或陣咳,同時可見咽部充血,但鼻卡他症狀不明顯,呼吸困難及發紺多數開始於第3~6天,逐漸加重;重症者出現鼻翼扇動,三凹征,喘憋(具有喘息和憋氣的梗阻性呼吸困難)及口唇,甲床青紫,叩診易得濁音;濁音部位伴有呼吸音減低,有時可聽到管狀呼吸音,初期聽診大都先有呼吸音粗或乾囉音,濕囉音於發病第3~4天后出現肺氣腫徵象,重症患兒可有胸膜反應或胸腔積液(多見於第2周),無繼發感染者滲出液為草黃色,不混濁;有繼發感染時則為混濁液,其白細胞數多超過10×109/L。
3.神經系統症狀一般於發病3~4天以後出現嗜睡,萎靡等,有時煩躁與萎靡相交替,在嚴重病例的中晚期可出現半昏迷及驚厥,部分病兒頭向後仰,頸部強直,除中毒性腦病外,尚有一部分腺病毒所致的腦炎,故有時需做腰穿鑑別。
4.循環系統症狀面色蒼白較為常見,重者面色發灰,心率增快,輕症一般不超過160次/min,重症多在160~180次/min,有時達200次/min以上,35.8%的重症病例可於發病第6~14天出現心力衰竭,肝臟逐漸腫大,可達肋下3~6cm,質較硬,少數也可有脾腫大。
5.消化系統症狀半數以上有輕度腹瀉,嘔吐,嚴重者常有腹脹,腹瀉可能與腺病毒在腸道內繁殖有關,但在一部分病例也可能由於病情重,高熱而影響了消化功能。
6.其他症狀可有卡他性結膜炎,紅色丘疹,斑丘疹,猩紅熱樣皮疹,扁桃體上石灰樣小白點的出現率雖不高,也是本病早期比較特殊的體徵。
7.病程本症根據呼吸系統和中毒症狀分為輕症及重症,輕症一般在7~14天體溫下降,其他症狀也開始好轉,惟肺部陰影需2~6周才能完全吸收,重症病例於第5~6天以後,每有明顯嗜睡,面色蒼白髮灰,肝腫大顯著,喘憋明顯,肺有大片實變,部分患兒有心力衰竭,驚厥,半昏迷,肺部病變的恢復期更長,需1~4個月之久,3~4個月後仍不吸收者多有肺不張,日後可能發展成支氣管擴張,我們曾對3,7型腺病毒肺炎經過1~5年隨訪,30.1%有慢性肺炎,肺不張及個別支氣管擴張,以後又對3,7,11型腺病毒肺炎109例進行10年遠期隨訪,X線平片顯示45.3%有肺間質增厚,纖維化和慢性支氣管炎,慢性肺炎合併支氣管擴張占3.8%,支氣管擴張及慢性肺炎則各占4.7%,學齡前期與學齡期兒童的腺病毒肺炎,一般均為輕症,常有持續高熱,但呼吸道症狀及神經系統症狀不重,麻疹並發或繼發腺病毒肺炎時,則所有症狀均較嚴重,病情常易突然惡化,我們曾觀察34例(1964~1980)11型腺病毒肺炎的臨床表現,發現與3,7型腺病毒肺炎的症狀無明顯差異,但重症及死亡者與3型相似,而較7型者明顯為少,我們曾觀察38例1~5個月小嬰兒腺病毒肺炎(3型20例,7型12例,11型6例,1981~1983),8例為毛細支氣管炎,30例為肺炎,臨床特點為:多低度或中度發熱,熱程短,無肺部實變體徵,胸片以小片陰影為主,萎靡,嗜睡等神經症狀的發生較6個月以上嬰幼兒少且輕,臨床上無法與呼吸道合胞病毒或副流感病毒肺炎區別,致使本組病例在病原學報告前無一例臨床診斷為腺病毒肺炎者。

