基本信息
疾病名稱
化膿性腦膜腦炎化膿性腦膜腦炎
疾病分類
普通外科
症狀體徵
畏寒、發熱、咳嗽、流涕、咽喉痛、頭痛、嘔吐、項背痛、全身肌肉酸痛、全身不適等感染中毒症狀;顱內高壓與腦膜刺激症狀。
疾病病因
中耳炎、乳突炎、鼻竇炎、上呼吸道感染、肺炎、皮膚化膿症、蜂窩織炎、脊柱或顱骨骨髓炎、腦膿腫、顱腦外傷、手術。
診斷檢查
1.病史 詢問有無中耳炎、乳突炎、鼻竇炎、上呼吸道感染、肺炎、皮膚化膿症、蜂窩織炎、脊柱或顱骨骨髓炎、腦膿腫、顱腦外傷、手術等病史。有無畏寒、發熱、咳嗽、流涕、咽喉痛、頭痛、嘔吐、項背痛、全身肌肉酸痛、全身不適等感染中毒症狀;有無顱內高壓與腦膜刺激症狀。
2.體檢 檢查意識、體溫、脈搏和血壓、瞳孔大小及對光反應。有無視乳頭水腫和腦膜刺激征。查找身體各處的原發感染灶。
3.血常規 白細胞計數明顯增多,可達(20~40)×109/L(2萬~4萬/mm3),中性粒細胞達90%以上。
4.腰椎穿刺 測定顱內壓力,注意腦脊液有無混濁;腦脊液化驗:糖常1g/L,有氯化物降低,白細胞計數一般>1.0×l09/L,且以中性分葉核占優勢。若白細胞數<1.0×109/L,且以淋巴細胞為主,需與真菌性或結核性腦膜腦炎等加以鑑別,行腦脊液真菌及抗酸桿菌等檢查。常規行腦脊液塗片鏡檢及細菌培養。
5.血培養 血培養陽性,具有確定病原的價值。
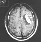
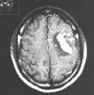
6.CT腦掃描 可發現腦白質大片狀低密度區,注射造影劑後腦膜可有線狀增強。注意有無腦膿腫、硬膜下積膿或積液及腦積水。
治療方案
1.一般治療:
(1)急性期給予流食,昏迷時暫禁食或鼻飼,維持水、電解質及酸鹼平衡。注意營養補充。
(2)高熱者,行物理和藥物降溫。
化膿性腦膜腦炎(3)抽搐者,可選用:①安定10mg,肌注;②苯巴比妥鈉0.1~0.2g,肌注;③10%水合氯醛20~30ml灌腸。
2.抗生素治療:在未確定病原前,應根據病史、可能入侵的途徑、原發灶的部位,對病原菌進行估計,儘早開始抗菌治療。在明確病原菌後,根據藥敏結果指導臨床用藥。抗菌治療的原則是:
(1)選用易透過血腦屏障的藥物。
(2)採用高效安全的藥物。
(3)聯合用藥。
(4)用藥劑量要足、療程要長,用到症狀、體徵消失後再持續3~5d,腦脊液培養陰性方能停藥。革蘭陰性菌用藥達4周以上。可供選擇的抗生素有:青黴素類、磺胺類、頭孢菌素類、紅黴素、氯黴素、甲硝唑等。
3.有明顯腦水腫或顱內高壓表現者,可用甘露醇、速尿脫水治療。
4.化膿性腦室腦炎的治療,可採用腦室內或(和)鞘內注射敏感的抗生素。並行側腦室外引流術,引流時間7~14d。
5.糖皮質激素不作為常規治療,只用於休克、有明顯腦水腫和顱內高壓者。成人5~10mg/次,靜注,2~3/d,不超過3d。
6.硬腦膜下積液的治療,少量積液可自行吸收;對積液量大引起顱內高壓、驚厥、神經系統局灶體徵者,可行持續引流或手術摘除囊膜。
用藥安全
1、鍛鍊身體,增強體質,提高抗病能力。
2、形成良好的生活習慣,注意保暖,多見陽光,多吸新鮮空氣,多參與戶外活動。
3、避免與患呼吸道感染的病人接觸,以儘量防止呼吸道感染的發生。

