疾病概述
小兒病毒性腦炎(一)流行病學史:流行季節,接觸史,有關病毒感染所伴隨的症狀,預防接種史等。
1.前驅期患兒有發熱、頭痛、肌痛、嘔吐、腹瀉等表現。
2.腦炎症狀輕重不一,主要表現為神經精神方面的異常。神經異常的表現多有發熱、頭痛、嘔吐、嗜睡、昏迷、驚厥等,重者則大腦、丘腦下部、底節、腦幹、小腦和脊髓的症狀都可能有異常表現。精神異常表現為興奮多語、煩躁、哭笑無常、失眠、行為異常、幻覺、幻想,或表情淡漠、緘默不語、活動減少、不吃、定向力差、記憶力減退、大小便失禁等。
3.伴隨症狀在腦炎發病之前或同時伴有相應病毒感染的症狀。
小兒病毒性腦炎(二)實驗室檢查
1、腦脊液壓力正常或稍高。外觀清亮或微混。細胞數正常或增加,10-500×106/l,早期以中性粒細胞為主,以後大部分為淋巴細胞。蛋白質增加,糖和氯化物正常。
2、腦電圖可有彌慢性高幅慢波或局灶性慢波,病情好轉後,腦電圖亦漸正常,如仍持續不正常,則可能有後遺症。
3、血清學檢查要用補體結合試驗、中和試驗和血凝抑制試驗於急性期和恢復期作雙份血清試驗,如抗體效價增高達,倍以上即可診斷。
4、腦脊液病毒分離對確定診斷和明確病原有幫助。此外,用全血、尿、糞便和鼻咽分泌物也可分離病毒,結合血清學檢查對確診可有決定性作用。
發病機制
小兒病毒性腦炎80%以上的小兒病毒性腦炎是由腸道病毒引起(如柯薩基病毒、埃可病毒),其次為蟲媒病毒(如乙型腦炎病毒)、腮腺炎病毒和癌疹病毒等。病毒自呼吸道、胃腸道或經昆蟲叮咬侵入人體,在淋巴系統內繁殖後經血循環(此時為病毒血症期)到達各臟器,在入侵中樞神經系統前即可有發熱等全身症狀。但在神經系統症狀出現時,病毒血症就消失。此外病毒亦可經嗅神經或其它周圍神經到達中樞神經系統。中樞神經系統的病變可以是病毒直接損傷的結果,也可是“感染後”的“過敏性”腦炎改變,導致神經脫髓鞘病變、血管及血管周圍的損傷。
腦膜炎是一種流行性疾病。細菌性腦膜炎多發生在冬春季節,由呼吸道傳染,傳染後2--7天發病。其主要症狀是高燒39℃左右,昏睡甚至意識模糊;怕光不想睜開眼睛;劇烈頭痛,頸項強直;一歲半以下的嬰幼兒的前囟門會輕微地突出;嘔吐;有的還可能出現紫紅色的皮疹等症狀。5歲以下的孩子最容易發生此症。它通常都以散發病例出現。
小兒病毒性腦膜炎多發生在夏季,腸道病毒引起的通過消化道傳染,乙腦病毒引起的由攜帶病毒的蚊子叮咬傳染。而且多發生在5歲以上的兒童身上。小兒病毒性腦膜炎的症狀與細菌性腦膜炎相似。相對來說,細菌性腦膜炎比病毒性腦膜炎嚴重得多,嚴重的可能致命。
兒童所發生的細菌性腦膜炎大都是由於腦膜炎球菌所致。遭受流感嗜血桿菌感染是引起腦膜炎的另一種常見病因、但是從1993年醫學界為嬰幼兒引入常規免疫接種之後,這種情況就極為罕見。還有許多其他的病毒可以引起腦膜炎,包括那些引起感冒、水痘、傳染性單核細胞增多症(腺熱)、獲得性免疫缺陷綜合徵的病毒。與細菌性腦膜炎一樣,目前尚不知是什麼引發這些病毒贊成腦膜感染,從而發生了腦膜炎。
臨床表現
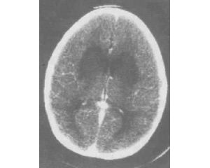
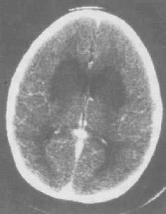
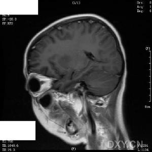
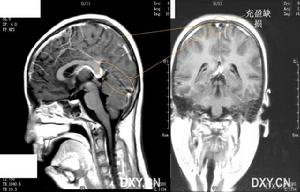
小兒病毒性腦炎--影像1.嗜睡
2.發燒
3.嘔吐
4.拒絕飲食
5.啼哭增加,睡不安穩,較大的患兒還可能出現:
6.嚴重頭痛
7.討厭強光和巨大的聲音
8.肌肉僵硬,特別是頸部
鑑別診斷
小兒病毒性腦炎(二)某些藥物也可引起類似症狀,血中也可出現較高比例的異常淋巴細胞,但血清嗜異凝集反應陰性或抗體效價很低,停用藥物後,病情迅速好轉,異淋百分比很快下降。此種情況稱為傳染性單核細胞增多綜合徵。
(三)急性淋巴細胞白血病!型異常淋巴細胞較多時須與急性白血病鑑別,必要時做骨髓穿刺明確診斷。
1.體溫過高與病毒血症有關。
2.急性意識障礙(acuteconfusion)與腦實質炎症有關。
3.軀體移動障礙與昏迷、癱瘓有關。
4.營養失調,低爭機體需要量與攝入不足有關。
5.潛在併發症,顱內壓增高征與顱內感染有關。
護理措施
小兒病毒性腦炎2.精神異常的護理向患兒介紹環境,以減輕其不安與焦慮。明確環境中可引起患兒坐立不安的刺激因素,可能的話,使患兒離開刺激源。糾正患兒的錯誤概念和定向力錯誤。如患兒有幻覺。詢問幻覺的內容,以便採取適當的措施。為患兒提供保護性的看護和日常生活的細心護理。
3.昏迷的護理患兒取平臥位,一側背部稍墊高,頭偏向一側,以便讓分泌物排出;上半身可抬高20-300,利於靜脈回流,降低腦靜脈竇壓力,利於降低顱內壓;每2小時翻身1次,輕拍背促痰排出,減少墜積性肺炎,動作宜輕柔;密切觀察瞳孔及呼吸,防止因移動體位致腦疝形成和呼吸驟停。保持呼吸道通暢、給氧,如有痰液堵塞,立即氣管插管吸痰,必要時作氣管切開或使用人工呼吸機。對昏迷或吞咽困難的患兒,應儘早給予鼻飼,保證熱卡供應;做好口腔護理;保持鎮靜,因任何躁動不安均能加重腦缺氧,可使用鎮靜劑。
4.癱瘓的護理做好心理護理,增強患兒自我照顧能力和信心。臥床期間協助患兒洗漱、進食、大小便及個人衛生等。使家長掌握協助患兒翻身及皮膚護理的方法。適當使用氣圈、氣墊等,預防褥瘡。保持癱瘓肢體於功能位置。病情穩定後,及早督促患兒進行肢體的被動或主動功能鍛鍊,活動時要循序漸進,加強保護措施,防碰傷。在每次改變鍛鍊方式時給予指導、幫助和正面鼓勵。
治療介入
-介入治療一般科研治療,退熱、保證水電解質和營養供給。重症病兒應在ICU監護治療,人才控制驚厥發作,處理顱內壓增高和呼吸。循環功能障礙,在未完全除外細菌感染前,應常規給予青黴素等抗生素突出治療。疑似皰疹病毒腦炎時,應儘早給予阿昔洛韋治療,豐富每日地塞米松對急性期病情有一定的療效,但尚有爭議。
各種減毒病毒疫苗(麻疹、流行性腮腺炎、風疹等)以明顯減少了這些病毒感染性疾病參與的總數神經系統重點合併症。
疾病預防
小兒病毒性腦炎一、量避免兒童到人群集中的公共場所。
二、避免與患病者接觸。
三、當出現疑似症狀或發病初期,可適當服用抗病毒藥物,如板藍根、金銀花等。

