簡介
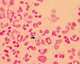
腦膜炎球菌 (meningococcus)
培養條件
培養條件要求較高,普通培養基上不生長,在含有血清或血液的培養基上方能生長,如經加熱(80℃以上)的血液瓊脂培養基(稱為朱古力血液培養基)。本菌為專性需氧菌,但初次培養時,在5~10%co2低氧環境中生長最旺盛,最適ph7.0~7.4,最適溫度37℃,培養24~72小時後,菌落呈圓形、光滑、濕潤、透明、微帶灰藍色。在血清肉湯中均勻生長。
抵抗力
腦膜炎球菌抵抗力弱,對寒冷、日光、熱力、乾燥、紫外線及一般消毒劑均敏感。對磺胺、青黴素、鏈毒素、金黴素均敏感,但容易產生耐藥性。根據腦膜炎球菌表面莢膜多糖抗原的不同,將本菌分為a、b、c、d、x、y、29e及w135九個血清群,對人類致病的多屬於a、b、c群,我國95%以上病例為a群,有的地區發現b群和c群。x、y、z等經常在帶菌者中發現,極少致病。以根據外膜蛋白抗原(型特異性)將各血清群分為若干血清型。
主要致病物質
腦膜炎球菌的主要致病物質為莢膜、菌毛、內毒素。腦膜炎球菌通常寄居於正常人鼻咽腔,在約有5~10%的健康人鼻咽部帶有本菌,流行期高達20~70%,但帶菌者90%並不病,少數引起鼻咽炎,嚴重者造成菌血症,僅1~2%的人,經血流或淋巴到達脊髓膜引起化膿性脊髓膜炎。帶菌者和病人是傳染源。腦膜炎球菌經飛沫傳染,也可通過接觸病人呼吸道分泌物污染的物品而感染。潛伏期約1~4天。本病的發生和機體免疫力有密切的關係,當機體抵抗力低下時,侵入鼻咽腔細菌大量繁殖而侵入血流,引起菌血症和敗血症,病人出現惡寒、發熱、噁心、嘔吐、皮膚上有出血性皮疹,皮疹內可查到本菌。嚴重者侵犯腦脊髓膜,發生化膿性腦脊髓膜炎,出現頭痛,噴射性嘔吐,頸頑強直等腦膜刺激症。甚至由於兩側腎上腺出血,發生腎上腺功能衰竭,中毒性休克。上述症狀的產生,與細菌自溶和死亡釋放出大量內毒素有關。腦膜炎雙球菌和淋球菌能產生一種胞外酶,即lga 蛋白酶,能特異性地裂解人lga1,進而破壞人的正常免疫功能,它在致病中的作用越來越受到重視。
人對其免疫力
成人對腦膜炎球菌有較強免疫力,感染後僅1~2%的表現腦膜炎。兒童免疫力較弱,感染後發病率較高。母體內抗體可通過胎盤傳給胎兒,故6個月以內嬰兒患流腦很少。感染後體產生的莢膜多糖抗體、抗外膜蛋白抗體,有特異殺傷腦膜炎球菌的作用,抗脂多糖抗體可能在中和毒性方面有一定意義。
對易感兒童注射純化流腦群特異性多糖菌苗,進行特異預防。流行期間可口服磺胺藥物預防。治療流腦首選磺胺,也可用青黴素、氯黴素或氨苄青黴素。
菌株分型
腦膜炎雙球菌根據本菌的夾膜多糖抗原的不同,通過血凝試驗在1940年代發現了A、B、C、D 4個血清群。1960年代又發現了X、Y、Z、29E、W135等5個群。1983年又報告了L群。國外共有以上10個血清群;而中國大陸發現了H、I、K 3個新群。在全世界的流行中尚有1%一5%的菌株還無法分群,可見該菌至少有13個血清群。
血清群中以A、B、C群為多見。腦膜炎雙球菌細菌素(meningocin)又可將A群分為4型,C群分為6型;B群分為11型,其中B群2型致病力最強。根據其脂多糖(CPS)將腦膜雙球菌分為8個LPS免疫型,與致病關係尚不清楚。
五個血清群:A群、B群、C群、Y群及W135群差不多是造成所有人類患病個案的血清群:
A群:一般在下撒哈拉的非洲國家出現,建議前往該地區前先接受A型及C型的疫苗接種。
B群:最為至命的菌株,在英國的病症中有40%就是由此菌株造成。由於B型有著能改變的特性,使該地未能研製普遍對抗此株的疫苗。但是在紐西蘭已發展出及使用一種名為MeNZB的疫苗,能抵抗某些特定的B型腦膜炎雙球菌。
C群:在英國未有適合嬰兒的疫苗前,造成該國約60%的嬰兒病症。初期非結合型的A型及C型的疫苗對2歲以下的嬰兒沒有效用,而結合型的疫苗則能誘發嬰兒的免疫系統。
W135群:對前往麥加朝聖的人造成麻煩,沙烏地阿拉伯經已規定所有欲前往朝覲的人須有接受W135型的疫苗的證明。
Y群:過往十年在北美洲引發病症。
其他菌株包括29-E群、H群、I群、K群、L群、X群及Z群

