病因
尿道旁腺開口於尿道口後壁兩側,當尿道發生感染時,致病菌可潛伏於尿道旁腺而致尿道旁腺炎。致病菌主要為大腸桿菌、鏈球菌、葡萄球菌和淋球菌等。
臨床表現
尿道旁腺炎多發生於尿道口附近,為圓頂形或尖頂形丘疹,紅色,直徑約為1-2毫米大小,丘疹中央有少量分泌物流出。在擠壓或陰莖勃起時明顯,不會逐步增長或增大,一般也不會破潰出血。
診斷標準
尿道旁腺炎的治療1、病史有尿道炎病史。
2、症狀尿頻、尿急、尿痛,及排尿後尿道灼熱感和疼痛。
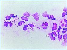
3、在腺管開口處取膿性分泌物作塗片及細菌培養,如培養有淋球菌或其他致病菌生長即可明確診斷。
4、中段尿鏡檢尿液中有較多的白細胞(膿尿),表示尿路有炎症。
治療
1、抗生素治療,如為淋球菌感染按淋球菌性尿道炎治療。其他細菌感染時可按細菌培養及藥敏結果給藥。
2.治療結束後需繼續隨訪,在感染部位再取分泌物作塗片及細菌培養,以觀察療效。

