流行病學
本病為1925年Laughlin首先報導,是一種少見病,發病率國內外無確切性資料,國內僅見報導2例,還有2例屍檢證實幼兒、衰弱和老年患者,有吞咽障礙的神經系統疾病和食管疾病的病人,易發生吸入性類脂性肺炎。
病因
根據發生類脂性肺炎的不同原因可分為外源性和內源性。
外源性類脂性肺炎是因吸入植物性、動物性或礦物性油類所致礦物油以液狀石蠟最常見。用液狀石蠟滴鼻劑常流入肺臟下垂部;用液狀石蠟作緩瀉劑誤吸時可吸入兩肺。礦物油刺激性小經咽部進入支氣管樹而不引起咳嗽反射。也能阻礙氣道上皮的纖毛運動對吸入油類的排除。
礦物油為惰性物質,在體內不被水解,吸入肺臟迅速乳化,被巨噬細胞所吞噬,通過淋巴管運走;若留下殘留物,可引起肺纖維化。植物油例如橄欖油,可被乳化但不能為肺的酯酶所水解,故不會損傷肺,大部分被咳出。動物油可被肺酯酶所水解,釋放脂肪酸,引起顯著的炎症反應。在同一病變中能同時存在早期炎症和晚期纖維化。
幼兒、衰弱和老年患者,有吞咽障礙的神經系統疾病和食管疾病的病人,易發生吸入性類脂性肺炎。
內源性類脂性肺炎亦稱膽固醇性肺炎(cholesterol pneumonia)是肺癌、支氣管擴張放射治療及繼發於硬皮症或塵肺的纖維化等的併發症,也可以發生於脂肪栓塞、肺泡蛋白沉著症和脂質累積症等疾病時。
發病機制
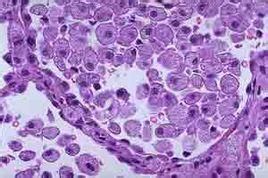
礦物油引起的類脂性肺炎,可見肺泡間隔增厚和水腫,含有淋巴細胞和充滿脂質的巨噬細胞。在肺淋巴管和肺門淋巴結中可見小油滴。可見大量纖維化,正常肺結構消失如是結節狀,病變很像腫瘤稱石蠟瘤。
膽固醇肺炎,肺大體標本的切面可見灰色或黃色的外觀。鏡檢:在肺泡和肺泡壁可見含大量膽固醇的巨噬細胞。核位於中央,蘇丹染色,胞漿明亮肺泡內皮細胞增生,並有不同程度的小葉間纖維化。
臨床表現
多數病人無症狀,X線胸片發現異常才引起注意。常見症狀為咳嗽、活動後呼吸困難,可發生胸痛、咯血、發熱(常為低熱)、寒戰、盜汗和體重減輕體檢可無體徵或有發熱、呼吸急促胸部聽診呈濁音,可聽到支氣管性或支氣管肺泡性呼吸音和乾濕囉音或捻發音。動脈血氣分析可正常,運動後可出現低氧血症重症病人可有低氧血症、低碳酸血症和輕度呼吸性鹼中毒。肺功能測驗為限制性通氣功能障礙、肺順應性下降痰液檢查,痰液中巨噬細胞內可見直徑5~50mm的空泡,集合成團蘇丹染色時呈深橘黃色,並有相同染色的細胞外小油滴。X線胸片可見單側或雙側浸潤影,呈局限性或彌散性分布,多見雙下肺,空氣支氣管征可見,發生纖維化時肺容量減少,有線性和結節狀浸潤影。亦有呈局限性塊影,似支氣管肺癌。
併發症:
可並發脂肪栓塞和脂質累積症,嚴重者可並發肺心病。
診斷
診斷類脂性肺炎依靠詳細詢問病史;痰液中查見充滿脂質的巨噬細胞有助診斷。肺部有塊狀陰影,可作經纖支鏡肺活檢(TBLB),有助於鑑別其他原因引起的肺纖維化肺部結節狀塊影必須與肺癌鑑別。
鑑別診斷:
肺部有塊狀陰影,可作經纖支鏡肺活檢(TBLB),有助於鑑別其他原因引起的肺纖維化,肺部結節狀塊影,必須與肺癌鑑別。
檢查
實驗室檢查:
痰液中巨噬細胞內可見直徑5~50mm的空泡,集合成團,蘇丹染色時呈深橘黃色並有相同染色的細胞外小油滴,血沉加快。
其它輔助檢查:
X線胸片可見單側或雙側浸潤影,呈局限性或彌散性分布,多見雙下肺,空氣支氣管征可見,發生纖維化時肺容量減少有線性和結節狀浸潤影亦有呈局限性塊影,似支氣管肺癌肺功能測驗為限制性通氣功能障礙、肺順應性下降。
治療
指導病人進行咳嗽鍛鍊,持續數天促進礦物油排出。外源性類脂性肺炎以預防為主,勿用液狀石蠟(石蠟油)滴鼻和腹瀉,易患人群格外注意。亦有使用皮質激素治療取得效果的報導。內源性膽固醇肺炎以手術切除為主,尤其是難與肺癌鑑別者。
預後預防
預後:
瀰漫性者因感染無辦法治療預後差。
預防:
外源性類脂性肺炎以預防為主,勿用液狀石蠟滴鼻和腹瀉,易患人群格外注意。

