病因
氣道食道瘺2 食道畸形 食道閉鎖時乳汁不能從食道進入胃內,停留在咽部和唾液一起被吸入肺部。僅有氣管食道瘺時乳汁可直接通過瘺管進入肺部 但有時瘺管很小,不易發現。
3 食道功能不全 乳汁進入食道後返流至咽部,然後吸入。例如食道賁門松馳的嬰兒嘔吐後易發生吸入 有時因食道神經肌肉協調也可引起返流。
4嚴重齶裂、兔唇 齶裂一般不影響吞咽,但嚴重缺損者吮乳發生困難,可引起吸入。
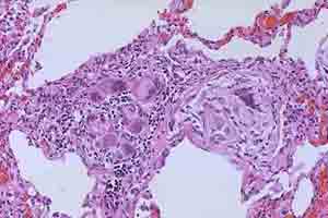
病理改變
間質性肺炎臨床表現
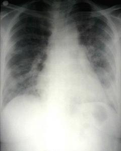
乳汁吸入性肺炎發紺2 呼吸系統症狀和體徵 嚴重度與吸入的量與次數有關。吸入量少或偶然吸入者以支氣管炎為主,症狀有咳、喘、氣促。吸入量多時發生肺炎 一次大量吸入,可引起窒息,呼吸停止至呼吸恢復後,出現明顯氣促,肺部羅音多。長期多次吸入者發生音質性肺炎,最後導致肺纖維化或並發支氣管擴張症。
併發症
診斷
乳汁吸入性肺炎鑑別診斷
與肺氣腫、支氣管炎和其他肺炎相鑑別。
治療
氣管插管預防
鼻飼管參考文獻
1.http://qiuyi.fx120.net/JiBing/Index/155/152156/150153148.htm
2.http://www.babyschool.com.cn/zjrx/revert-56709.html
3.http://www.daifumd.com/_daifumd/jsp/yartdetails_28026.html
4.http://jiankang.jwhu.com/yiliao/show-125088.html

