概況
概念
類脂 lipid
類脂所謂類脂,就是類似脂肪的意思,曾作為脂肪以外的溶於脂溶劑的天然化合物的總稱來使用。但現在已不作為物質的名稱來使用了。而是多作為所謂“類脂樣的”形容詞,用於可溶於脂溶劑中,表示和脂肪相似的性質。作為一種物質名稱,而使用定義比較正確的脂質、複合脂質等。
類脂即複合酯類。與單純酯類,衍生脂質統稱為廣義酯類。是指除含脂肪酸和醇外,尚有其他稱為非脂分子的成分。
來源
脂類是從生物中提取的、溶於非極性溶劑(如氯仿、乙醚)而不溶於水的有機物,有幾種分類的方法,可以把脂類物質分成油脂和類脂化合物。油脂指的是豬油、牛油、花生油、豆油、桐油等動、植物油。類脂化合物包括一些化學結構與油脂有較大差異的物質,如磷脂、蠟等,由於它們在物態及物理性質方面與油脂類似,因此叫做類脂化合物。在這種分類法中,類脂有時包括萜類和固醇類,有時則把固醇和萜(異戊二烯衍生物)另歸一亞類。
類脂包括
磷脂:卵磷脂、腦磷脂、肌醇磷脂。
糖脂
腦苷脂類、神經節昔脂。
脂蛋白
乳糜微粒、極低密度脂蛋白、低密度脂蛋白、高密度脂蛋白。
類固醇
膽固醇、麥角因醇、皮質甾醇、膽酸、維生素D、雄激素、雌激素、孕激素。
分類
類脂指的是與脂和油很類似的化合物,種類很多,主要分為5大類:
1、磷脂:含有磷酸、脂肪酸和氮的化合物;
2、鞘脂類:含有磷酸、脂肪酸、膽鹼和氨基醇的化合物;
3、糖脂:含有碳水化合物、脂肪酸和氨基醇的化合物;
4、類固醇及固醇:類固醇都是相對分子質量很大的化合物,如動植物組織中的膽固醇和植物組織中谷固醇;
5、脂蛋白類:是脂類與蛋白質的結合物。
簡介
在自然界中,最豐富的是混合的甘油三酯,在食物中占脂肪的98%,在身體中占如%以上。所有的細胞都含有磷脂,它是細胞膜和血液中的結構物,在腦、神經、肝中含量特別高,卵磷脂是膳食和體內最豐富的磷脂之一。四種脂蛋白是血液中脂類的主要運輸工具。
類脂即複合酯類。與單純酯類,衍生脂質統稱為廣義酯類。是指除含脂肪酸和醇外,尚有其他稱為非脂分子的成分。
類脂是從生物中提取的、溶於非極性溶劑(如氯仿、乙醚)而不溶於水的有機物,有幾種分類的方法,可以把脂類物質分成油脂和類脂化合物。油脂指的是豬油、牛油、花生油、豆油、桐油等動、植物油。類脂化合物包括一些化學結構與油脂有較大差異的物質,如磷脂、蠟等,由於它們在物態及物理性質方面與油脂類似,因此叫做類脂化合物。在這種分類法中,類脂有時包括萜類和固醇類,有時則把固醇和萜(異戊二烯衍生物)另歸一亞類。
蠟和磷脂
類脂天然蠟的主要成分就是高級脂肪酸與高級一元醇形成的單酯。蠟結構中最常見的脂肪酸是軟脂酸和二十六碳酸;最常見的醇是十六、二十六和三十醇。此外蠟中還含有少量游離高級脂肪酸、游離高級脂肪醇和高級烷烴等成分。在製藥和化妝品中常用到的蠟主要是蜂蠟、蟲蠟、鯨蠟、巴西棕櫚蠟等。蜂蠟是由軟脂酸與蜂蠟醇(三十碳醇)形成的酯(C15 H31 COOC30 H61),它是來自工蜂腹部蠟腺中排泄的分泌物;蟲蠟,又稱白蠟,是蟲蠟酸與蟲蠟醇形成的酯(C25 H51 COOC26 H53),它是寄生於女真樹上的白蠟蟲分泌物;鯨蠟是軟脂酸和鯨蠟醇(十六碳醇)生成的酯(C15 H31COOC16 H33),是抹香鯨的頭部提取物;巴西棕櫚蠟的主要成分是由蠟酸(三十酸)與蠟醇(C26H53OH)或蜂蠟醇(C30H61OH)形成的酯,可從巴西棕櫚葉中提取製得;羊毛脂,其名稱叫做脂,但實際上也是一種蠟,是由硬脂酸、油酸及十六酸等分別與膽甾醇或蠟醇形成的酯。它是附著在羊毛上的油狀分泌物,是羊毛鹼洗過程中所得副產品;霍霍巴油也是一種蠟,是由36~48碳高級脂肪酸與18~22碳飽和醇或不飽和烯醇組成的酯,其化學式為RCH2COOR;此外,在各種油脂精煉過程中所得到的糠蠟和玉米蠟也均屬於此類。
磷脂
磷脂天然存在於人體所有細胞和組織中,也存在於植物蛋白、種子和根莖中。它是由兩分子脂肪酸和一分子磷酸或取代磷酸與甘油縮合成的複合類脂。按其化學結構,可將磷脂分成甘油磷脂和神經鞘磷脂兩類。
化合物
萜類化合物
萜類化合物廣泛存在於植物體內,是植物香精油(揮髮油)的主要成分。萜類化合物種類很多,其結構類別也不盡相同,但它們都可以看作是由兩個或兩個以上異戊二烯分子按不同方式首尾相連而成,此即稱為萜類化合物結構的異戊二烯規律。其結構形式有開鏈式、環狀式、飽和與不飽和烴類及其含氧衍生物,如醇、醛、酮等。根據它們的異戊二烯分子的單位數又可將其分為單萜(由兩分子異戊二烯組成),以下按每增加一個異戊二烯單位,依次稱之為倍半萜、二萜、三萜、四萜及多萜。在自然界中,單萜和倍半萜類是揮髮油的主要成分;二萜以上多為植物的樹脂、皂甙或色素的主要成分。單萜化合物又分為鏈狀單萜(月桂烯、檸檬醛等)、單環單萜(檸檬烯、薄荷醇等)和雙環單萜(松節油、龍腦、樟腦等)三類。倍半萜類主要包括合歡醇、山道年等;二萜類主要有植醇、維生素A和松香酸;甘草次酸屬於五環三萜類;胡蘿蔔素則為四萜類。
甾體化合物
甾體化合物屬簡單類脂,廣泛存在於動植物的組織中,是一類重要的天然產物。膽固醇、膽汁醇、維生素D及各類甾體激素均屬此類。其基本結構是環戊烷的母核及三個側鏈,亦叫甾體母核。膽固醇是含有27個碳原子的膽甾醇,其化學名稱為膽甾5-烯-3β-醇。它存在於人和動物體中,尤以動物腦、蛋黃及油脂中含量最高。膽固醇在化妝品中套用比較廣泛,也是合成維生素D的重要原料。膽汁酸是含有24個碳原子的膽烷酸。在動物膽汁中,膽汁酸一般都是與甘氨酸或牛磺酸以肽鍵結合成膽鹽,並以不同比例存在於動物膽汁中。
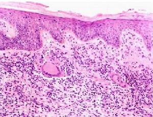
病狀
類脂類脂質漸進性壞死
發病原因有兩種可能。 一是與糖尿病有關,是糖尿病小血管病變的結果;另一種可能由於免疫複合物性血管炎引起。診斷要點:
1、中年多見;
2、好發於脛前,對稱或不對稱;
3、皮損初為暗紅色丘疹,逐漸擴大形成紅黃色及褐色斑塊,卵圓形或不規則,境界清楚,質硬,表面光滑,常有毛細血管擴張,中央可凹陷,外觀似硬斑病;
4、少數病例有潰瘍;
5、組織病理典型表現為真皮中層漸進性壞死,周邊有組織細胞,巨噬細胞形成柵狀肉芽腫。
類脂質肺炎
是一種在給嬰兒餵服魚肝油或其他油類時,由於餵法不當等因素,使油脂吸入肺內所致的吸入性肺炎。因為嬰兒的吞咽功能尚未健全,咳嗽反射也不敏感,如果餵法不當或強行餵服,油類便會嗆入氣管進入肺部而發病。此外,也有個別嬰兒在便秘時因餵服麻油或石蠟誤入氣管而發生類脂質肺炎。因此,醫務人員、藥店人員要告訴年輕的父母,給孩子餵服油脂類藥品或食品時,應千萬小心謹慎,尤其是一歲以內的嬰兒、早產兒和齶畸形的嬰兒,以不服油脂類藥品為宜,更不可把魚肝油當作滋補藥品長期服用,以免得不償失有害健康。
生理功能
類脂類脂的主要生理功能是作為細胞膜結構的基本原料,約占細胞膜重量的50%左右。人們知道,只要小腸中有類脂,就能使嚙齒類和人類的營養吸收減少,因為類脂可以激活小腸—大腦神經軸。
研究表明,大腦能夠直接探測血液中的類脂,以抑制葡萄糖的生成,從而通過一大腦—肝臟神經軸來維持嚙齒類的葡萄糖體內平衡。現在,研究工作首次表明,小腸上層類脂能夠通過一個小腸—大腦—肝臟神經迴路迅速抑制葡萄糖生成。用大鼠所作實驗表明,進入小腸的類脂或脂肪能夠觸發傳入大腦的神經信號,後者隨後將信號傳送到肝臟,以降低葡萄糖的生成和血糖水平,用時不到15分鐘。但食用高脂肪食物僅僅三天,就能幹擾一信號,使其失去作用,不能再向其他器官發出降低血糖水平的信號。這讓我們看到,降低肥胖症或糖尿病葡萄糖或血糖水平有有效的方法。

