佝僂病的檢查
血清骨鹼性磷酸酶是目前檢查和診斷佝僂病的常用指標,具有靈敏特異簡便快速的優點,目前已經代替了傳統的“佝僂病三項”(血鈣,血磷和血鹼性磷酸酶),成為早期診斷佝僂 小兒佝僂病
病主要輔助檢查。雖然,骨鹼性磷酸酶沒有血清25-(OH)D3和1,25-(OH)2 D3靈敏和特異,但基本可以滿足臨床診斷佝僂病的要求,目前很多醫院都開展了該項檢查(省婦幼保健院就有開展這項檢查),價格不是很昂貴,30~400元左右。
檢查方法:非常簡便,扎手指驗血,一般半小時就有結果。 正常值範圍:小於或等於200U/L。 分度:骨鹼性磷酸酶越高,說明“缺鈣”越嚴重。 分度 骨鹼性磷酸酶(U/L) 預防或治療的方法 正常 小於或等於200 每天一粒魚肝油預防 輕度 200~250(不包括250) 每天一粒魚肝油治療 中度 250~300(不包括300) 用大劑量的維生素D3治療 重度 大於或等於300 用大劑量的維生素D3治療
佝僂病治療
如果寶寶被診斷為佝僂病,那么應該如何治療? 如果寶寶被診斷為佝僂病,那么應該如何治療? 首先,要明白,治療佝僂病的關鍵是補充維生
佝僂病X光表現-醫藥百科素D,而不是補鈣(當然了,補鈣也是必須的,不可少的) 其次,要明白佝僂病也是分程度的,要按照不同的程度,採用不同的治療方案。輕度佝僂病只是用伊可新就可以了,中度以上,才會考慮用大劑量的維生素D3治療。 目前,預防以及治療中度以上佝僂病的維生素D3首選英康利(膽維丁乳)。 維生素d缺乏性佝僂病
英康利就是維生素D3乳劑,含維生素D3 30萬IU,含量與傳統的維生素D3針劑一樣。
【用法用量】將膽維丁乳倒入適量(3-5倍)的溫開水、牛奶或豆漿中服用。 (跟牛奶一起喝喔,不用打針,不用天天餵藥片,不必聽到寶寶哇哇哭喊聲了^-^) 1.預防用藥:1次用15mg,間隔3個月後可酌情再服。一年總量不超過30mg(含維生素D3 60萬單位)。(使用很簡單喔,一年2支就可以啦,2支46元左右) 2.治療用藥:1次15mg,視病情輕重間隔1個月可再服一次,1年總量不超過60mg(4支)。 (這是病情較重的佝僂病和骨質疏鬆症以及促進骨折癒合成年人缺Vd的用法喔,)
【規格】膽維丁乳:8ml:15mg
【生產廠家】
英康利口服後經過胃腸道的破壞,吸收率有所下降,治療效果比針劑稍差些,治療效果也還算明顯,而且非常安全,按照說明書或醫生的醫囑服用,一般不會出現中毒。英康利用於臨床治療佝僂病已經有5年了,經過大量的臨床試驗,證明英康利是治療佝僂病安全而且有效的藥物,目前是治療佝僂病的首選藥物。北京兒童醫院,北醫三院以及各省醫院都有。 使用英康利要注意以下幾個問題: 1. 處方藥,如果有需要用到英康利治療,只能是在醫生的指導下用藥。不能私自用藥。 2. 英康利不能與魚肝油同時服用,吃一支英康利,要停服1個月的魚肝油 3. 英康利也最好不要與含有維生素D3的鈣片同時服用。 再次強調,為了寶貝的身體健康要去正規醫院做綜合檢查分析!用藥要聽醫生的話啊……(請遵醫囑!) 另外,如何補充鈣呢? 雖然,鈣劑是次要的因素,但也是必不可少的。也是家長最關心的問題。 選擇鈣片也要綜合考慮,包括鈣的成分、含量、吸收率、劑型、口味、是否含 佝僂病骨骼x線表現
維生素D、安全和質量問題等。
成分:常見的鈣有葡萄糖酸鈣、乳酸鈣、磷酸鈣、碳酸鈣、鰲合鈣、L-乳酸鈣等 含量無需太多,要根據寶寶的需要量來選擇,不是越多越好的。鈣元素含量在100毫克左右的最合適 吸收率:溶解度高的鈣,自然吸收率就高。還有兩種特殊的鈣,鰲合鈣和L-乳酸鈣吸收率特別高,可以突破普通鈣30~40%的吸收率。 口味也相當重要。因為鈣是每天都要吃的,如果每天像灌藥一樣給寶寶吃鈣,那就太痛苦了。選擇寶寶喜歡吃的鈣,這一點很實際。 是否含維生素D:根據不同的需要,含或不含維生素D鈣各有好處,要看具體情況。
安全和質量問題:所有食品和保健的安全、衛生和質量問題,是越來越受關注的。 幾個相 腎性佝僂病
關的問題 如何選擇最合適的吃鈣時間 最好是在吃奶後30分鐘左右。不要選擇吃完植物性的食物後補鈣,這樣會降低鈣的吸收率的 如何解釋微量元素中的血鈣正常,但是醫生仍然說寶寶缺鈣。 血鈣不能代表身體的鈣儲備。血鈣維持在正常範圍內,這是生命的基本要素之一,一旦血鈣低於正常值,會產生抽搐等危及生命的嚴重危害的。所以無論如何機體會動員所有的鈣儲備來保證血鈣的正常值,這是就會動用到骨鈣。所以,骨鈣才能反映身體鈣的實際情況。骨鹼性磷酸酶就能反映鈣。 如何看待鈣鋅同補 不主張,同時補充,會互相拮抗的,互相影響吸收率的。最好分開補充,相隔4小時以上 為什麼有些寶寶不用怎么補鈣,卻不缺鈣,而有些寶寶補了很多鈣,卻還是缺鈣? 三個原因: 第一.補鈣方法正確與否。這一點沒什麼好補充的 第二.跟胎兒期從母親那裡獲得的鈣量有關。 如果孕婦的體質好,身體鈣的儲備很充足,那么,她所生的寶寶就不容易缺鈣。如果孕婦體質差,身體鈣的儲備少,她所生的寶寶就容易缺鈣。 就像出生在有錢人家的孩子,一出生父母親就已經給他準備了一份豐富的財產,自己只要稍加努力,就可以保持很富有;而出生在窮苦家庭的孩子,要靠自己一輩子的努力,也不一定能變富。這個道理顯而易見。 第三.跟人體所含的維生素D的受體的數量和活性有關。維生素D的受體的數量越多,活性越高,對維生素D的吸收越容易,就不易缺鈣。相反,就也容易缺鈣。這一點跟遺傳有關的。 藥物防治常規方法
究竟哪些嬰幼兒容易發生佝僂病呢
1. 早產兒和出生體重較低(低於3公斤)的寶寶 2. 孕期缺鈣的媽媽所生的寶寶 3. 哺乳期缺鈣的媽媽所哺育的寶寶 4. 少曬太陽的寶寶,是維生素D缺乏的主要原因。 5. 生長發育太快的寶寶 6. 吃奶少的寶寶 這六類寶寶很容易缺鈣,是預防的重點對象。 大家對照自己的寶寶,看看有沒有屬於以上6種情況的 現在具體討論一下 早產兒是指孕周不足37周就出生的寶寶 婦女在孕期和哺乳期缺鈣表現為小腿抽筋、多汗、腰酸、手腳發麻。其實,大多數的孕婦和乳母都存在不同程度的缺鈣。孕婦和乳母除了喝牛奶和補鈣,也同樣需要多曬太陽。 寶寶奶量的標準: 4個月以內:全部吃奶 佝僂病胸骨x線表現
4~6個月:每天1~2次輔食,其他吃奶 6~8個月:600~800毫升 9~12個月:800毫升以上 1歲以上:600毫升左右 2歲以上:500毫升左右 另外要注意:冬天的寶寶,最容易缺鈣了,因為太陽曬得不夠,或者曬太陽的方法不正確。
寶寶缺鈣主要表現
多汗、夜驚、煩躁、枕突和各種骨骼的改變
多汗
缺鈣引起的多汗是有特指的,不是所有的多汗都是缺鈣,夜間睡覺是的多汗,特別是睡熟以後多汗,就是典型的缺鈣。缺鈣的多汗也叫“盜汗”、“夜汗”。白天吃奶時或活動時出汗多是正常的,不是缺鈣。
夜驚
就是晚上睡覺是突然驚醒、哭鬧、甚至尖叫。如果白天或清醒狀態下出現的煩躁,就不是缺鈣引起的。輕微缺鈣或缺鈣早期,可能不表現驚醒,只是出現半夜睡不熟,哼哼唧唧、翻來復去的。這段時間有很多家長向我反映了這種情況。主要是真正有效接觸陽光的時間太短,接觸的皮膚面積太小了。
枕突
就是寶寶的後腦勺,有一圈光突突的不毛之地。這種情況也是很常見的。特別是這段時間。
肋骨外翻 ,就是寶寶的肋骨下緣翹起來。這個需要有經驗的醫生才能作出準確的判斷。很多寶寶也存在不同程度肋骨外翻的。 腎性佝僂病x線表現
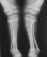
還有一種情況需要引起注意的,就是有些家長習慣把寶寶的褲子提得很高,褲頭的橡皮筋剛好壓到肋骨,這樣也會造成肋骨外翻的。所以穿褲子的時候,要注意,一是橡皮筋不要太緊,二是要摸著肋骨,橡皮筋不要高於肋骨。 其他的骨骼變形有雞胸、漏斗胸、X型腿、O型腿、肋串珠、手鐲和腳鐲,這些是比較嚴重的佝僂病才會出現的。現在已經很少見了。 所以這些我就不講了。大家也不要瞎猜,這些骨骼變形一定要找有經驗和有醫德的醫生,才能作出準確的判斷。
預防
介於佝僂病所形成的骨骼變形,一旦形成就可能會留下後遺症,所以,佝僂病重在預防,一定要有先知先覺,避免發生骨骼變形。 所以,如何預防佝僂病是今天講課的重點 預防佝僂病要從胎兒期就開始,1歲以內的嬰兒是預防的重點對象。這是《方案》的第一句話。 具體的常規預防如下:
胎兒期
1. 孕婦要多曬太陽和多戶外活動 2. 孕婦要多喝牛奶 3. 孕婦在孕期的5個月以後,開始每天補充適量的鈣(500毫克左右,相當於金箍棒成人鈣片6粒左右) 4. 於妊娠中、晚期補充維生素D;每天400~800IU(相當於貝特令或伊可新一粒)。但是很多婦產科醫生認為維生素D對胎兒的安全性還不是很確定,所以很少給孕婦開維生素D。 雖然這些內容對各位媽媽已經沒有價值了,但是,你可以向你身邊的朋友宣傳。
嬰兒期
(一歲以內) 這個時期是重點 1. 寶寶要多曬太陽和戶外活動,這一點作為第一點,也是最最重要的,也最經濟、最有效。 2. 從滿月開始,每天補充適量的維生素D,《方案》的建議每天400~800IU(相當於貝特令或伊可新一粒)。魚肝油要每天吃,一直堅持到1歲半左右。 3. 提倡母乳餵養,哺乳期間媽媽要補充適量的鈣劑、魚肝油和多曬太陽, 佝僂病示意圖
每天喝奶粉。 4. 6個月以後要每天補充適量的鈣劑。 5. 多喝奶。 曬太陽和戶外活動是有一定區別的。戶外活動不一定等於曬太陽。 曬太陽是指人皮膚直接接受陽光的照射。而且,每天照射的時間0.5~1小時。 冬天可以接受陽光照射的部位為臉、小手和小腳、屁股等。家長要根據具體情況自行把握照射的時間和方式。 魚肝油務必保證每天一粒,如果今天忘了,第二天就要吃兩粒了,這樣才能確保每天一粒。 魚肝油和曬太陽要互相結合和互補。例如如果很長時間陰天,曬不到太陽,那么,每周可以吃9粒魚肝油。 大家一點要相信一點,按照以上這個劑量來補充維生素D,是絕對不會出現中毒的,這一點大家完全不用擔心。 注意,我強調的是絕對不會。 補鈣的量 6~12個月:每天100毫克 12~24個月:每天150~200毫克 2歲以後:每天250毫克 建議的奶量 4個月以內:全部吃奶 4~6個月:每天1~2次輔食,其他吃奶 6~8個月:600~800毫升 9~12個月:800毫升以上 1歲以上:600毫升左右 2歲以上:500毫升左右
幼兒期
(1~3歲) 1. 寶寶要多曬太陽和戶外活動,這一點作為第一點,也是最最重要的,也最經濟、最有效。 2. 每天補充適量的維生素D,1歲~1歲半,每天一粒魚肝油,《方案》的建議每天400~800IU(相當於貝特令或伊可新一粒)。1歲半以後,如果經常曬不到太陽,也要經常補充魚肝油,可以每周3~5粒魚肝油。 3. 要每天補充適量的鈣劑。 4. 多喝奶。(每天500~600毫升) 如何科學專業的診斷寶寶是否患有佝僂病? 這一點也是很對家長感興趣的東西。 首先我要強調的是,診斷佝僂病不能單憑某一方面,一定要綜合分析 這就包括是否有缺鈣的易感因素、是否有缺鈣表現、是否有骨骼的變形、還要結合生化檢查的結果。 一. 預防
胎兒期
孕婦和胎兒對維生素D、鈣、磷的需要日益增加,孕婦應該經常到戶外活動,多曬太陽,食用營養豐富的物質,患有低鈣血症及骨軟化症者應該積極治療。 對孕婦缺少日光照射者、食慾低下者、體弱多病者或妊娠後期在冬季者,應補充維生素D和鈣劑以預防先天性佝僂病。於妊娠中、晚期補充維生素D;每天400~800IU,或者每月5~10萬IU,一次或分次口服;或者只投一次,15~20萬IU,同時口服鈣劑。
嬰兒期
既然維生素D缺乏性佝僂病對小兒發育有很大影響,而該病又源於各種因素所致的維生素D缺乏而導致的一系列病變,所以佝僂病可以預防。 人體皮膚中有7一脫氫膽固醇,經日光中紫外線的照射,變成膽骨化醇即內源性維生素D3,也是人類維生素D的主要來源。所以佝僂病的預防就可以從兩方面進行,即日光浴、補充維生素D。嬰兒應儘早接觸陽光,只要戶外氣溫在18度以上,風不太大時就抱嬰兒到戶外曬太陽,但要避免眼睛直曬,春、夏、秋、冬都應堅持戶外活動,每次時間可由短時間逐步延長到20~30分鐘。不要久居室內。另外母乳中維生素的含量約4~6IU/dl,與牛乳中的含量相差不大,所以不管母乳餵養還是人工餵養都應在小兒出生後1個月左右開始給予維生素D預防,400Iu/日(即每日400國際單位)。早產兒應提早2周給予維生素D,量也需在前3個月加倍即每日800國際單位。3個月後改為每日400國際單位,一般在2歲以後生長速度減慢,戶外活動增多,不易發生佝僂病,也無須再補充維生素D進行預防。
幼兒期
小兒1歲後可採用“夏季曬太陽,冬季服維生素D”的預防方法。一般在冬季投給20~30萬IU一次,其他時間應多曬太陽,增加營養。在高發地區可間隔2~3個月再投給維生素D20~30萬IU一次。其他時間應多曬太陽,增加營養。
兒童期
5歲以後至青春期兒童可出現晚發性佝僂病,對於經常易疲勞、乏力、兩腿酸軟、腿痛、關節痛而無其他原因可解釋者應進一步檢查並給予防治。維生素D預防方法、劑量與幼兒期相同。 在套用維生素D預防時,母乳餵養小兒可不加鈣劑,但對6個月後斷母乳的嬰兒、人工餵養、食慾低下、生長過快、青春期兒童或有急慢性疾病者可補充適當鈣劑。
治療
活動期佝僂病應依據臨床表現給予積極治療,目的在於控制病情活動和防止畸形。 活動期輕度:維生素D20~30萬IU,1次口服或肌注,間隔1個月,可再給1~2次,同時給鈣劑,每次0.5~1克,每天2~3次,連服1~2個月 活動期中、重度:維生素D20~30萬IU,1次口服或肌注,間隔1個月,可再給2~3次,同時給予鈣劑,每次0.5~1克,每日2~3次,連續2~3個月。 恢復期:一般可不用維生素D,多曬太陽,改善營養即可。但在冬春季節為防止復發可投給維生素D20~30萬IU,一次口服或肌注 給上述維生素D治療量,可維持作用2~3個月,因此不必再給維持劑量口服,以防止維生素D中毒,多曬太陽即可 許多少年兒童的生長發育的過程中容易出現偏食、厭食的現象,從而導致機體缺乏一些人體必須的營養元素(鋅元素、鈣元素),抑制了生長素的分泌,是孩子長高出現了一定程度的障礙。鋅元素是促進生長素生成的重要元素之一,因此對缺鋅者補充適量的鋅元素顯得尤為重要了。新稀寶片是第三代補鋅產品,其成分從天然海產品中提取出來,對人體沒有任何副作用,在補鋅的同時也能促進人體對鈣離子的吸收,經過10多年的臨床實踐表明新稀寶片在促進孩子增高方面,效果比較明顯。 以上是藥物防治常規方法。 現在的具體的藥物主要有維生素D類的片劑、膠丸、針劑、乳劑,另外維生素D3要比維生素D2吸收快、作用效果好。
佝僂病可以並發哪些疾病?
本病主要是引起嬰兒抬頭、坐、站、行走都較晚。關節鬆弛而有過伸現象,大腦皮層功能異常條件反射形成緩慢,語言發育落後,貧血等症狀。在一些比較嚴重的佝僂病的患兒中,還會出現其他的骨骼變形,如雞胸、漏斗胸、X型腿、O型腿、肋串珠、手鐲和腳鐲等。
佝僂病臨床分期與分度
1961年在黑龍江召開的全國兒科學術會議制訂了佝僂病的診斷標準,以後在1977年和1980年兩次全國佝僂病防治科研協作組會議作了修訂。為便於開展防治工作,現再修訂如下。
臨床分度
佝僂病的主要病理是骨樣組織增生、骨基質鈣化不良等骨骼變化。依據骨骼改變體徵的程度可分為: 1、輕度:可見顱骨軟化、囟門增大、輕度的方顱、串珠、肋軟骨溝等改變。 2、中度:可見典型的串珠、手鐲、肋軟骨溝、輕度或中度的雞胸、漏斗胸、O或X型腿,也可有囪門晚閉、出牙遲緩等明顯的改變。 3、重度:可見明顯的肋軟骨溝、雞胸、漏斗胸、脊柱畸型、O或X型腿、病理性骨折等嚴重改變。
臨床分期
本病的發生髮展是一個連續過程。依據年齡、病史、症狀、體徵、X線及血生化等項綜合資料可分為活動期(初期、激期)、恢復期和後遺症。無條件作X線及血生化檢查者,可只根據臨床資料進行分析。 1、初期:多自3個月左右開始發病。早期常有非特異的神經精神症狀如夜驚、多汗、煩躁不安等。枕禿也較常見。同時可有輕度的骨骼改變體徵。X線片可無異常或見臨時鈣化帶模糊變薄、乾骺端稍增寬。血生化改變輕微,血鈣、血磷正常或稍低,鹼性磷酸酶正常或稍高。 2、激期:常見於3個月至2歲的小兒。有明顯的夜驚、多汗、煩躁不安等症狀。同時可有中度的骨骺改變體徵。X線片可見臨時鈣化帶模糊消失,乾骺端增寬,邊緣不整呈雲絮狀,毛刷狀或杯口狀,骨骺軟骨加寬。血鈣、血磷均降低,鹼性磷酸酶增高。 3、恢復期:活動期經曬太陽或維生素D治療後,症狀消失,體徵逐漸減輕、恢復。X線片可見臨時鈣化帶重現、增寬、密度加厚。血鈣、血磷、鹼性磷酸酶恢復正常。 4、後遺症:多見於3歲以後的小兒。經治療或自然恢復,症狀消失,骨骼改變不再進展。X線及血生化檢查正常,僅留有不同程度的骨骼畸形。 治癒標準:症狀已消失1-3個月,體徵減輕或恢復正常,觀察3-6個月無變化。輕、中度者一般不留後遺症。重度者可留有不同程度的骨骼畸形。X線及血生化檢查正常,或僅表現有臨時鈣化帶增寬、密度加厚。

