病因
1.空氣中粉塵濃度
煤工的塵肺標本2.接觸時間
矽肺的發展是一個慢性過程,一般在持續吸入矽塵5~10年發病,有的長達5~20年以上。但持續吸入高濃度、高游離二氧化矽含量的粉塵,經1~2年即可發病,稱為“速髮型矽肺”。
3.粉塵分散度
分散度是表示粉塵顆粒大小的一個量度,以粉塵中各種顆粒直徑大小的組成百分比來表示。小顆粒粉塵所占的比例愈大,則分散度愈大。分散度大小與塵粒在空氣中的浮動和其在呼吸道中的阻留部位有密切關係。直徑大於10um粉塵粒子在空氣中很快沉降,即使吸入也被鼻腔鼻毛阻留,隨擤涕排出;10um以下的粉塵,絕大部分被上呼吸道所阻留;5um以下的粉塵,可進入肺泡;0.5um以下的粉塵,因其重力小,不易沉降,隨呼氣排出,故阻留率下降;而<0.1um以下的粉塵因布朗氏運動,阻留率反而增高。
4.機體狀態
人體呼吸道有一系列的防禦裝置,吸入的粉塵,首先通過鼻腔時,因鼻毛的濾塵作用和鼻中隔彎曲而阻留,一般為吸入粉塵量的30%~50%;進入氣管、支氣管的粉塵,極大部分可由支氣管樹的分叉、黏膜上皮纖毛運動而阻留並隨痰排出;部分塵粒被巨噬細胞或肺泡間質巨噬細胞吞噬成為塵細胞,塵細胞或未被吞噬的游離塵粒可沿著淋巴管進入肺門淋巴結。
凡有慢性呼吸道炎症者,則呼吸道的清除功能較差,呼吸系統感染尤其是肺結核,能促使矽肺病程迅速進展和加劇。此外,個體因素如年齡、健康素質、個人衛生習慣、營養狀況等也是影響矽肺發病的重要條件。
發病機制
矽肺的發病機制至今仍不完全清楚。許多學者根據石英粉塵的理化性質、機體對石英粉塵的反應,或臨床觀察、實驗研究所見,對矽肺的發病機制提出過許多學說,如機械刺激學說、化學中毒學說、表面活性學說、免疫學說等。60年代Brieger,Gross等發現石英的致纖維化作用與其四面體結構有關,認為石英表面的矽烷醇基團是引起肺纖維化的活性部位。1971年Heppleston根據研究提出吞噬細胞吞食石英粒子,壞死後的細胞殘體釋放出有促進纖維化約因子(H因子),它激活成纖維細胞的活性,導致膠原纖維的增生,形成肺纖維化。
臨床表現
典型矽肺胸片一般早期可無症狀或症狀不明顯,隨著病情的進展可出現多種症狀。氣促常較早出現,呈進行性加重。早期常感胸悶、胸痛,胸痛較輕微,為脹痛、隱痛或刺痛,與呼吸、體體位及勞動無關。胸悶和氣促的程度與病變的範圍及性質有關。早期由於吸入矽塵可出現刺激性咳嗽,並發感染或吸菸者可有咳痰。少數患者有血痰。合併肺結核、肺癌或支氣管擴張時可反覆或大量咯血。患者尚可有頭昏、乏力、失眠、心悸、胃納不佳等症狀。Ⅲ期矽肺由於大塊纖維化使肺組織收縮,導致支氣管移位和叩診濁音。
病理變化
纖維化結節偏光鏡下為二氧化矽1.基本病變矽肺基本病變是矽結節形成,眼觀矽結節里圓形灰黑色、質韌、直徑2—3mm。在人體,最早的改變是吸入肺內的粉塵粒子聚集並沉積在相對固定的肺泡內,如小血管及小支氣管周圍肺泡、胸膜下肺泡、呼吸支氣管壁上的肺泡和肺泡管。巨噬細胞及肺泡上皮細胞(主要是Ⅱ型)相繼增生,肺泡隔開始增厚。聚集的細胞間出現網織纖維並逐漸轉變成膠原纖維,形成矽結節。肺泡基底膜和細支氣管平滑肌繼而受損造成呼吸性支氣管腔的部分或完全閉鎖。包繞肺小動脈分支的淋巴組織中塵細胞聚集並形成矽結節,造成管用淋巴管閉鎖終至毀損小動脈。胸膜下矽結節破壞了胸膜彈力層,侵入胸膜造成局部胸膜增厚及粘連。典型矽結節,結節境界清晰,膠原纖維緻密扭曲排列或呈同心固排列,纖維間無細胞反應,出現透明性變.周圍是被擠壓變形的肺泡。有些矽結節外周見少量細胞成分(塵細胞及成纖維細胞)。結節中心常因缺血性壞死而鈣化。融合結節中可出現空洞。偏光鏡檢SiO2粒子,僅存乾結節外層或外延部分。如並髮結核,結節中心發生凝固性壞死,外周出現結核性炎症反應,即淋巴細胞、漿細胞和不典型的朗格漢斯細胞浸潤,稱為矽結核結節。矽肺的混合塵結節即非典型矽結節其組織學特點是膠原纖維與粉塵及塵細胞交織存在.,無明顯膠原核心。重度和晚期矽肺的特點是形成矽肺團塊。組織學表現為矽結節的融合,即結節與結節緊密鑲嵌輪廓清晰;或表現為由粗大膠原纖維取代的肺間質相聯結形成無明顯結節輪廓的團決。在團塊病變中可以看到小支氣管和小動脈被粉塵毀損的過程、腺樣化生的元氣肺泡和矽性肺泡蛋白沉積症改變。團塊好發部位是2、3、4、6段支氣管肺區。肺引流淋巴結的病變與肺所見相似,重者矽結節密集可取代全部淋巴組織,破壞肺淨化的主要途徑。淋巴結的矽肺改變一般早於和重於肺病變的形成,但也存在個別例外。肺外器官對SiO2的反應,少數報導在矽肺屍檢中分別發現肝、脾、腎、腹腔淋巴結出現矽結節,或矽性細胞反應。由於病灶小、數量少,多不形成器官功能障礙。
2.快型矽肺又稱急進型矽肺是指發病工齡不足6年、X線胸片晉級時間不足3年、死亡快的病型。多發生在空氣中粉塵濃度高、粉塵SiO2含量高、呼吸量大且無防塵措施的情況下,現已罕見。屍檢見肺的改變多種多樣;可為以矽性名白沉積症為主,伴有膠原纖維透明性變的小纖維灶形成;或為典型矽結節伴矽性,蛋白沉積症;或為矽性肉芽腫伴纖維性肺泡炎形成。可見矽性—蛋白沉積症是塊型矽肺常見的組織學改變。
3.矽肺與免疫煤工塵肺所見的類風濕性塵肺(caplan綜合徵)在矽肺病人中也存在。文獻報告,多見於金屬礦礦工和採石工,近年來有日益增多的趨勢。各國發病情況不同,英國、南非、日本和德國較多而美國罕見。我國至今報告8例,遺憾的是免疫學檢查不完善,沒有病理報告。
檢查
1.肺功能檢查
因肺組織代償能力強,早期患者肺功能檢查無異常。速度肺纖維化增多,肺順應性減退,可出現限制性通氣功能障礙,如肺活量、肺總量、殘氣量和最大通氣量均降低,一般I期性瑞患者肺活量較正常人降低10%~20%,II期降低20%~30%,Ⅲ期降低30%~50%。同時有彌散功能障礙,嚴重時可有低氧血症。若患者合併慢支、肺氣腫時,可伴阻塞性通氣功能障礙,表現為混合性通氣功能障礙。肺功能測定在診斷上意義不大,主要是作為勞動能力鑑定的依據。
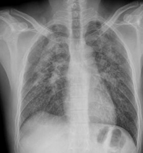
2.X線表現
X線胸片是診斷矽肺的主要方法。主要表現為結節陰影(直徑一般在1~3mm)、網狀陰影或(和)大片融合病灶。其次為肺門改變、肺紋理改變和胸膜改變。接觸矽塵含量高和濃度大的矽肺患者,常以圓形或類圓形陰影為主,早期出現於兩中下肺的內中帶,以右側為多,隨後逐漸向上擴展,亦可先出現在兩上肺葉。含矽塵量低或為混合性粉塵,多以類圓形或不規則陰影為主。大陰影一般多見於兩肺上葉中外帶,常呈對稱性具跨葉的八字形,其外緣肺野透亮度增高。因大塊肺纖維化收縮使肺門上移,使增粗的肺紋呈垂柳狀,並出現氣管縱隔移位。肺門陰影密度增加,有時可見“蛋殼樣鈣化”的淋巴結。胸膜可有增厚、粘連或鈣化的改變。
診斷
根據可靠的生產性粉塵接觸史、現場勞動衛生學調查資料,以技術質量合格的X射線後前位胸片表現作為主要依據,參考動態觀察資料及塵肺流行病學調查情況,結合臨床表現和實驗室檢查,排除其他肺部類似疾病後,對照塵肺診斷標準片作出塵肺病的診斷和X射線分期。
疾病治療
矽肺1.對症治療和並發病的治療:矽肺確診之後,就應調離粉塵作業崗位,病情較重者應休息或安排療養,在冬春兩季要注意防止呼吸道感染。病人應在醫療監護下工作或休息、組織作保健體操、太極拳等活動,以增強體質。給予對症治療,以緩解症狀、減輕痛苦。積極預防、發現和治療並發病,待別是預防和治療結核病極為重要。
2.幾種藥物的臨床試用:近年來國外對矽肺治療的報導很少,國內有關報導較多。(1)克矽平:在60年代報導了克矽平對巨噬細胞具有保護作用,其後我國對其合成、毒性、代謝、實驗療效和臨床療效均進行了深入研究,認為本藥可延緩矽肺的進展。 (2)漢防己甲素:為一種雙節基異隆咐類生物鹼,在動物實驗療效的藥物篩選發現有明顯的抑制膠原纖維形成,持續用藥對腔原有一定的逆退作用,但停藥時間過長,則病變又有發展。臨床試用認為對矽肺有一定效果。每日2—3次,每次40mg,口服l—3個月,停藥l一2個月,可套用數療程。有的病例在停藥後病情反跳.如再次給藥仍有效。副作用有食欲不振、噁心、腹脹、皮癢、皮膚色索沉著、竇性心動過緩、一過性血清AIT升高等,但一般不影響用藥。 (3)鋁製劑:我國套用檸檬酸鋁進行了實驗研究和臨床試用,認為可延緩矽肺的進展。(4)中醫中藥治療:中醫在我國有悠久歷史,在矽肺治療上,主要有行氣活血、清肺潤燥,提高機體免疫力、增加肺通氣功能和延緩肺纖化進展的作用。常用藥物有川穹嗪、丹參酮注射液,銀杏葉製劑、痰熱清等。 (5)手術介入治療:矽肺病理為肺組織你慢性纖維化,肺功能下降,對矽肺合併結核球,其它肺組織纖維化輕者,可考慮手術切除結核球;對肺組織你慢性纖維化、肺大泡,嚴重影響肺功能者,不適合手術治療。近年來,不少醫療單位開展肺灌洗術,肺灌洗適合於近期大量接觸粉塵且矽肺壹期以下病人,不適合矽肺貳期及有嚴重並症病人。
3.4S清肺平喘療法:4S清肺平喘療法是國際哮喘聯盟、亞中國際哮喘聯盟及國際科學研究院科研專家經過30多年臨床研究總結的一套治療呼吸系統疾病的臨床套用體系,是首個以中西醫結合治療哮喘達到臨床治癒4s清肺平喘療法的科學方案,也是成功轉化利用諾貝爾醫學獎——BA細胞免疫治療成果DC細胞治療呼吸疾病的綜合方案。該體系實現了哮喘、氣管炎、肺心病、支氣管擴張等多種呼吸疾病的快速臨床緩解、深層次臨床治癒、危重患者久不復發的治療效果。由於其安全、科學、系統,在國際呼吸會議和亞洲呼吸學術會議上被多名呼吸專家聯名推薦為治療哮喘、支氣管擴張、氣管炎的新型療法。
治療效果:
1、當天症狀緩解。咳嗽、氣喘、呼吸困難、胸悶等症狀緩解。
2、3天內炎症消除、症狀消失,肺部和氣道功能恢復。
3、1-3個療程,免疫增強,肺毒祛淨,呼吸暢通,臨床治癒不復發。
治療優勢:見效快、療程短、安全性高、去病根
1、見效快:當天症狀緩解,3天內炎症消失,1-3個療程全面康復。
2、療程短:相比很多患者多年藥物治療的效果,4S清肺平喘療法僅需半個月就能達到。
3、輕鬆安全:副全程監護,治療過程輕鬆安全。
4、去病根:2011年諾貝爾醫學獎成果DC細胞免疫治療直接消滅炎性細胞,提高免疫,實現臨床治癒,和正常人一樣呼吸。
預後預防
緩慢型矽肺,發展緩慢,不影響壽命,主要控制併發症及合併症;速髮型矽肺,進展快,5年可達矽肺叄期,明顯影響壽命。要控制矽肺病,關鍵在預防。我國各地廠礦採用了濕式作業,密閉塵源,通風除塵,設備維護檢修等綜合性防塵措施,加上個人防護,定期監測空氣中粉塵濃度和加強宣傳教育,使矽肺病的發生率大大減少,發病工齡延長,病變進展延緩。
各廠礦對於新參加粉塵作業的工人要做好就業前體格檢查,包括X線胸片。凡有活動性肺內外結核、各種呼吸道疾患(慢性鼻炎、哮喘、支氣管擴張、慢性支氣管炎、肺氣腫等)者,都不宜參加矽塵工作。在廠(礦)工人應作定期體格檢查,包括X線胸片,檢查間隔時間根據接觸二氧化矽含量和空氣中粉塵濃度而定,一年至二、三年一次。如發現有疑似矽肺,應重點密切觀察和定期複查;如確診矽肺,應即調離矽塵作業,根據勞動能力鑑定,安排適當工作,並作綜合治療。有矽塵的廠礦要做好預防結核工作,以降低矽肺合併結核的發病。
飲食注意
矽肺病人應當增加優質蛋白的攝入量,每日應在90–110克,以補充患者機體消耗,增加機體免疫功能;應當適當增加維生素C、A的攝入量,維生素C有抗氧化等作用,維生素A能維持上皮細胞組織,特別是呼吸道上皮組織的健康。禁菸酒,忌食辛辣刺激食物,避免過度勞累。
疾病護理
1.心理護理良好的心理護理會減輕患者的焦慮、恐懼和精神負擔。病人能夠安心治療,了解患者心理變化,儘可能為他們排憂解難,患者因長期受病痛折磨,常出現不正常的行為或對抗行為,我們應給以充分理解,關心體貼患者,從而建立良好的護患關係,鼓勵他們與疾病做頑強的鬥爭,保持樂觀態度,提高戰勝疾病的信心。
2.保持呼吸道通暢目前對矽肺病的防治還無重大突破的情況下,由於矽肺病人缺氧和二氧化碳瀦留明顯,持續給氧仍是一種必要的有效的治療措施。氧流量一般為1~3L/min,濃度為25%~31%,可採用面罩、鼻塞或鼻導管法給氧。在護理中指導病人:注意安全,保持輸氧管道的通暢,寒冷季節,濕化瓶內加溫水,濕化氧氣,避免冷空氣刺激而加重呼吸道痙攣。要及時清除口腔、氣管內分泌物或異物,保持呼吸道通暢。濕化瓶、鼻氧管,每日更換1次,兩側鼻孔更換吸氧,以保護鼻黏膜。
3.肺功能鍛鍊輔導病人心肺功能鍛鍊,做縮唇式呼吸和呼吸操,可以改善患者的呼吸功能,有助於體內二氧化碳的排出,具體方法是:囑患者取仰臥位,手放在胸骨下端雙側肋緣交界處,吸氣時令氣體從鼻孔進入,呼氣時縮攏口唇呈吹口哨樣,讓氣體均勻的從兩唇之間溢出,吸氣與呼氣的時間比為1:2,在呼氣時將手輕輕的向下壓迫,吸氣時仍用力向下壓迫,讓腹肌對抗自己的手,一般連續5~7次後休息1次,再繼續進行。經過鍛鍊,患者的通氣功能明顯改善,同時提高了患者活動時的耐受能力。
4.防止併發症發生(1)矽肺病人病情複雜,應該詳細觀察,記錄病人的生命體徵變化,矽肺合併呼吸道感染和病情嚴重時,應密切觀察T、R、P、BP的變化,高熱患者按高熱護理常規,特別是細緻觀察患者意識狀態,呼吸頻率、節律、深淺等。呼吸頻率加快往往是缺氧、病情加重的首要表現。(2)注意觀察咳嗽、咯痰的情況,痰液量、色、性狀變化提示病情轉歸。咯大量黃痰,提示有肺部感染存在,而痰中帶血或咯血,提示病情嚴重或有結核空洞存在,或者大量膿痰突然減少,不易咯出,且出現發熱或全身症狀加重,提示痰液阻塞在支氣管內,氣道阻力增加。應及時通知醫生,搶救病人。5.預防重複感染肺患者由於呼吸道的防禦功能和機體的免疫系統受到吸塵的影響和破壞,以及肺部瀰漫性纖維化,造成支氣管狹窄、引流不暢,易於引起細菌和病毒的感染。應嚴格控制與呼吸道傳染病的患者接觸,病房定時開窗通風,紫外線消毒。矽肺合併肺內感染時,入院時做留痰培養,藥敏試驗,合理使用抗生素,並主張聯合用藥,防止耐藥、菌群失調。
併發症
塵肺病的起因2、肺炎;肺炎的發生由膿性支氣管炎開始,由於矽肺時大量消耗了巨噬細胞,致使肺炎不易局限,進而發展成觸合性小葉肺炎直至波及整個肺大葉。個別病例形成肺膿腫。由於炎性滲出物吸收不全,容易發展成機化性肺炎和肺肉質樣變,從而加重了右心負擔。及時治療支氣管炎是控制肺炎的重要手段。
3、肺癌:在矽肺纖維化組織中常見肺泡上皮腺樣增生、細支氣管上皮鱗狀化生等癌前病變。[併發症
專家觀點
矽肺是一種進展性疾病,一經發生,即使脫離矽塵作業,仍可繼續發展。中、晚期可並發肺結核、自發性氣胸與肺心病等,此間患者肺功能和免疫功能低下,應加強護理,在秋、冬季極易誘發肺、支氣管感染,使矽肺病變惡化,病情加重甚至死亡。矽肺是不可治癒的,因此,矽肺以預防為主,嚴格崗前、崗中查體,廠礦要做到“革、水、密、風、護、管、教、查”八字方針,堅決杜絕矽肺發生。
食療
矽肺是由於吸入粉塵而引起的,多表現為痰淤阻滯,故以化痰軟堅為食療原則,可選食蘿蔔、荸薺、海藻、昆布、苡仁等,或榨汁飲服,或加水煮食。
在痰淤阻滯的同時,還常見氣陰虧虛,咳嗽有痰,咽中梗痛、聲音嘶啞等,可選食百合、梨、藕、羅漢果、批把、蘿蔔、羅卜等補肺益陰。
矽肺晚期並發慢性支氣管炎、肺氣腫、反覆呼吸道感染、肺結核、內發性氣胸、肺原性心臟病等,虛損明顯,宜補虛固本以求強身、可食用百合黨參燉豬肺、黃芪燉雞、蟲草燒鴨、桂圓參蜜膏等。
醫學保健知識
| 通過這組醫學知識,學到疾病的知識,提高了預防疾病的意識。 |
哮喘及肺部疾病相關
| 冬季來臨,哮喘疾病又到了高發期。正確的了解哮喘疾病的相關知識及相關預防措施,對患者是有很大幫助的。 |

