簡介
肺炎球菌肺炎出現機化性肺炎是由於肺泡內纖維蛋白沒有完全吸收
慢性未消散性肺炎如有大量纖維組織增生,便形成機化性肺炎。
機化性肺炎(COP)隱原性機化性肺炎是一種原因不明的機化性肺炎,Davison等(1983)首次提出。
臨床特徵
COP發病年齡以50~60歲為多,平均55歲,無性別差異,與吸菸無關。病程多在2~6個月以內,2/5的患者發病有類似流感的症狀,如咳嗽、發熱、周身不適、乏力和體重減輕等。常有吸氣末的爆裂音。
常規實驗檢查無特異。肺功能主要表現為限制性通氣障礙,靜息和運動後的低氧血症是一個常見的特點。2/3的患者對皮質激素有較好的反應。
病理特徵
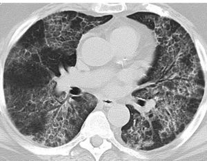
影像學特點:機化性肺炎胸片表現為雙側瀰漫性肺泡影,肺容積正常,復發性和遊走性陰影常見,單側肺泡陰影罕見。高分辨CT顯示肺部斑片狀肺泡腔內實變、毛玻璃影、小結節陰影和支氣管壁的增厚和擴張,主要分布在肺周圍,尤其是肺下野。
病因
病變特點:機化性肺炎主要病理變化是呼吸性細支氣管及以下的小氣道和肺泡腔內有機化性肺炎改變,病變表現單一,時相一致,呈斑片狀和支氣管周圍分布。病變位於氣腔內,肺結構沒有破壞,增生的纖維母細胞/肌纖維母細胞灶通過肺泡間孔從一個肺泡到鄰近的肺泡形成蝴蝶樣的結構,蜂窩肺不常見。

