臨床特徵
隱源性機化性肺炎COP患者性別分布相同,非吸菸者與吸菸者比例為2∶1。平均發病年齡55歲。患者發病時間相對較短(平均小於3個月),伴有不同程度的咳嗽和呼吸困難。咳嗽、咳白痰,症狀出現時通常疑似下呼吸道感染,但不肯定。患者通常接受至少1個月或多個療程的抗生素治療,常見症狀有體重持續降低、出汗、寒戰,間斷髮熱和乏力。常出現局限性或較廣泛的爆裂音,極少發現實變徵象,無杵狀指。
影像學特徵
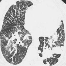
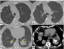
2.1 胸片的特點 : COP最常見的影像學表現是雙側或單側的實變影。通常呈斑片狀分布,少數病例可能限定於胸膜下區。10%~50%的病例可見小結節影。少數患者表現為網結影。大約15%的病例影像學表現為大結節影(>1 cm)。將近75%的病例肺容積正常,其餘患者的肺容積縮小。
隱源性機化性肺炎2.2 CT的特點 :90%的COP患者CT表現為氣腔實變。將近50%的病例CT顯示病變沿胸膜下或支氣管周圍分布,以下肺區更明顯。當出現實變就能見到支氣管氣像。實變區常見輕度柱狀支氣管擴張。將近50%的病例常出現沿支氣管血管分布的小結節影。大約60%的病例出現磨玻璃影,通常與肺實質相伴隨。胸腔積液罕見,大多數COP患者經治療後影像學改善。然而未經治療時,一個部位的肺實質異常可能消散或擴大,甚至出現在新的部位。
2.3 影像學鑑別診斷: 呈現實變影的COP患者影像學鑑別診斷包括肺泡癌、淋巴瘤、血管炎、結節病和感染(尤其是結核或不典型的分枝桿菌感染)。但實變影位於胸膜下時,應考慮慢性嗜酸性粒細胞肺炎的診斷。表現為多發塊影的患者需要與肺部轉移瘤、淋巴瘤和肺部感染,如細菌性栓塞鑑別,多數情況下經支氣管肺活檢有助於排除上述疾病,具備相應的臨床表現。經抗生素治療數周,實變影仍然增長,CT顯示以支氣管周圍或胸膜下分布為主的實變影,高度提示COP。
組織學特徵
機化性肺炎型病變呈斑片表現,以機化性肺炎主要累及肺泡管和肺泡伴或不伴細支氣管腔內息肉為特徵。結締組織病變時相相同。病變主要以小氣道為中心分布。間質有輕度炎症浸潤。肺泡Ⅱ型細胞增生伴肺泡巨噬細胞增加,可能有部分的肺沫細胞。小量的氣腔纖維蛋白可以呈灶性出現。背景的肺泡結構相對完整。
機化性肺炎型的組織學特徵:遠端氣腔的腔內機化性纖維化(細支氣管、肺泡或肺間纖維化除外);斑片狀分布;肺臟結構保持完整;時相均一;輕度慢性間質性肺炎;相關的陰性所見;沒有間質纖維化的表現(偶然發生瘢痕或肺尖纖維化除外);無肉芽腫;無中性粒細胞滲出或膿腫;無壞死;無透明膜形式或無明顯的肺泡腔纖維蛋白;沒有顯著的嗜酸粒細胞浸潤;無血管炎。
實驗室檢查
常見紅細胞沉降率(ESR)、C反應蛋白和外周血中性粒細胞顯著增加。
肺功能
多數病例肺功能顯示限制性通氣功能障礙(通常為輕~中度),伴有一氧化碳彌散係數中度降低,少數出現與吸菸無關的氣流阻塞。可見靜息狀態下輕度的低氧血症,反映氣體交換功能顯著異常。
支氣管肺泡
灌洗液淋巴細胞總數和比例增加(淋巴細胞的比值超過總細胞數的40%)。CD4/CD8比值降低,中性粒細胞(特別在早期)和嗜酸粒細胞比例增加。嗜酸粒細胞顯著增加應警惕嗜酸粒細胞肺炎。
支氣管肺活檢
COP可能表現為不同的形式,一旦根據典型的臨床病史和胸部影像學檢查疑診為COP,應做支氣管肺活檢。
治療方法
糖皮質激素是目前治療COP的主要藥物,糖皮質激素起始劑量為0·75 mg·kg-1·d-1, 2~4周后減量,總療程在6~12個月,激素減量或停藥後可能出現復發。病情較重者,治療初期可給予甲潑尼龍短期靜脈注射。
疾病特點
隱源性機化性肺炎發病率低,醫生很少具備診斷和治療的實踐經驗。對於此類疾病的患者,首先詳細的詢問病史,之後行體格檢查,常規拍胸片,做肺功能檢查,進一步可行高分辨CT檢查,必要時實行支氣管肺活檢行組織學檢查,以協助診斷。對於COP未知的領域,我們還應關注經支氣管肺活檢在診斷COP中的作用如何,COP的發病率如何等。

