概念
陶工塵肺包括陶土工人和陶瓷製造工人所患的塵肺。陶瓷工業接觸多種粉塵,按不同工種,
.其接觸的粉塵種類為:陶器製作:主要接觸粘土、長石、滑石、耐火土及石膏等粉塵;釉料加工及釉子生產;主要接觸石英、長石及硼砂等粉塵;耐酸水泥生產:主要接觸矽石及粘土等粉塵。因此,陶工塵肺實際上是一組職業性肺部疾病。可表現為矽肺、滑石肺、水泥塵肺及高嶺土塵肺等多種塵肺。陶工塵肺是指在陶瓷工業生產過程中由於接觸一定數量的粉塵所引起的塵肺病。制陶原料包括高嶺土、粘土、瓷石、瓷土、著色劑、青花料、石灰釉、石灰鹼釉等,可分為瓷石礦和瓷土礦兩大類。瓷石含有一定比例的二氧化矽。瓷土屬粘土礦物,為矽酸鹽。陶瓷製作的原料準備(原料的破碎、粉碎、過篩、下料、出料、烘乾、拌料、裝運、成型、燒煉等工序)都要接觸粉塵。按接觸原料不同,陶瓷行業患塵肺病者分為陶工塵肺、矽酸鹽塵肺、混合塵肺、矽肺等,統稱為陶工塵肺。陶工塵肺潛伏期比較長,病情發展慢,肺功能受損害程度輕,合併肺結核率高。
主要行業
有:陶瓷工業的基本生產工序為瓷土開採、原料粉碎、配料、制坯、成型、乾燥、修坯、施釉、煅燒,各工序均可產生粉塵。
診斷要點
一、患者有長期在陶瓷行業工作的職業史。
二、由於陶工塵肺可表現為多種塵肺,矽肺、滑石肺及水泥塵肺的臨床表現特徵均參見相應章節,其高嶺土塵肺的臨床表現特徵如下:
1. 早期患者一般症狀較輕微,與粉塵濃度及接觸時間密切相關。表現為反射性咳嗽,較少有痰,中晚期病人由於肺組織出現較廣泛的纖維化改變,胸膜也顯著增厚,從而引起肺組織彈性降低,病人可表現出明顯的胸悶及呼吸困難。個別病人由於胸膜增厚,當氣候發生變化時可出現針刺樣胸痛。
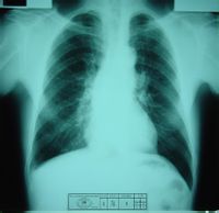
2. 胸部X線表現:主要表現為廣泛的慢性纖維組織增生,其中包括肺泡與支氣管周圍以及淋巴結中的纖維結締組織增生。X線胸片上除表現不規則小陰影,肺門增大外亦可見到明顯的胸膜增厚,個別病例可表現為同兩肺廣泛的粗細網影,並有細小而密度不高的顆粒狀陰影。
3. 併發症:中晚期病人容易並發肺結核和肺部感染。重度患者往往可並發肺源性心臟病,嚴重感染後可誘發右心衰竭。
三、根據國家診斷標準GB5906-80(參見“各種塵肺的鑑定與賠償--綜述”)結合患者的職業史,X線胸片及臨床表現進行診斷及分期。在陶工塵肺的診斷中,職業史顯得尤為重要。它不僅能幫助確定患者是否患有塵肺,更重要的是根據接觸時間、接觸方式及粉塵的種類確診患者是屬於陶工塵肺中的哪一種。
傷殘等級
傷殘等級與勞動能力喪失程度評定根據患者的診斷分期,結合肺功能狀況,如開發肺源性心病的,結合心功能進行評定。參見“各種塵肺的鑑定與賠償--綜述”。
鑑別診斷
1、肺結核;2、特發性瀰漫性肺纖維化;3、肺癌;4、肺含鐵血黃素沉著症;5、肺泡微石症;6、外源性變應性肺泡炎;合併症
肺結核,其次是肺炎。主要病變
為塵斑及混合性塵結節。治療方法
1、加強病人健康管理;
2、開展健身療法;
3、加強心理治療;
4、藥物延緩病變進展的治療(抗纖維化治療),目前常用藥物有克矽平、漢防己甲素、磷酸羥基哌喹、檸檬酸鋁等,可單獨使用也可聯合使用;
5、呼吸道感染治療;
6、積極治療併發症;
7、肺灌洗技術的套用。
8、4S清肺平喘療法
4S清肺平喘療法由軍事醫學科學研究院、國際科學研究院等多位專家歷經30多年聯合研發形成的一套全方位、多立體的綜合治療體系。療法包括清肺淨肺、PI活肺治療、植物神經綜合平衡和軍科細胞免疫技術四大步驟,其中軍科細胞免疫技術是多位專家在2008年諾貝爾醫學獎DC細胞技術基礎上獨創的治療手段,它直擊哮喘病的發病根源——炎症細胞,利用特定的靶向免疫激活技術抑制和清除哮喘發病根源,真真正正防止哮喘反覆發作。
治療效果
1.當天症狀緩解。咳嗽、氣喘、呼吸困難、胸悶等症狀緩解。
2.3天內炎症消除、症狀消失,肺部和氣道功能恢復。
3.5——7天,免疫增強,炎症細胞消失,呼吸暢通,臨床治癒不復發。
預防措施
陶瓷工業防塵燒制陶瓷經多道工序,要制定相應的防塵措施:
1.原料加工時產生的粉塵最多。粗碎和粉碎應採用機械聯動作業,集中控制;控制區與粉塵作業區要隔離;加料口、卸料點和物料運轉點設密閉罩或吸風罩。礦石粗碎加工應採用濕式作業,礦石的粗碎、粉磨、混合、乾燥等設備應設定密閉罩和吸風罩防止粉塵逸出。
.2.成型工序粉塵相對要少,主要措施是保持作業環境、設備清潔,儘量減少壓坯後的余泥。多餘的泥料應收集箱內處理,乾燥設備應保護清潔,修坯採用濕式作業。乾法作業時在作業點設定吸風罩。上釉噴霧,應在吸風罩內和在通風櫃內進行。清底釉用濕式作業,乾法作業時應設定吸風罩。精坯清灰應設定吸風罩,採用風槍等機械清灰,禁止用嘴吹灰。坯體粘接、鑽孔用濕式作業,若用乾法作業,要設定吸風罩。坯體砂輪切割、打磨、刷坯應設定吸風罩。
3.燒制防塵。宜採用隧道窯或間歇式大型台車窯,人工在窯內作業的爐窯應予淘汰。裝坯作業時,工作人員儘量處在機械通風或自然通風的上風側,匣缽內需用墊層,嚴禁用石英粉或糠灰等作墊層。待燒的坯體及時裝入匣內,避免粉塵污染;焙燒加煤口需設定吸風罩,清理煤灰加水潤濕。
4.個人防護。從事接觸粉塵作業的員工,必須佩戴符合衛生標準的防塵口罩、防塵服、防塵帽等,用人單位必須依法對員工進行入崗前、在崗期間職業健康檢查。
