氣管-食管瘺病因
本畸形的病因不詳。遺傳、環境等因素與之有關。但至今尚無動物模型供研究,文獻中已有多次家庭病例報告。北京兒童醫院曾有兄弟二人相隔一年多分別患I和Ⅲ型食管閉鎖的。本疾病的雙胎率較平常流產兒中2.5%為高。北京兒童醫院曾統計169例中6例(3.5%)為雙胎之一。
病理分型
氣管-食管瘺I型:占2.5%~9.3%。食管上下段均為盲端。
Ⅱ型:占0.8%~1.5%。上段食管有瘺管與氣管相通,下段為盲端。
Ⅲ型:最常見,占79.3%~90.9%。上段食管為盲端,下段食管有瘺管與氣管相通。
1955年Roberts又據兩端距離大或小於2cm分為Ⅲa或Ⅲb型。
Ⅳ型:食管上下段均為盲端,各自有瘺管與氣管相連。占0.7%~5%。
V型:占0.5%~6.5%。食管通暢,但有斜行瘺管向前上方與氣管相通,又稱"H"或更正確地稱為"N"型。
臨床表現
1.羊水過多本病常伴母親妊娠羊水過多。Cudmore報導85%無瘺型和32%有瘺型食管閉鎖合併母親羊水過多。北京兒童醫院1955~1981年119例Ⅲ型中43例(36.1%),13例I型中8例(61.5%)合併羊水過多。
2.低體重1993年美國有報告34%體重低於2.5kg。北京兒童醫院1981年統計約1/3病例出生體重小於2.5kg,但只約1/4病例為早產兒。
3.伴發畸形:本病可伴發多種畸形。有人以VACTERL來概括,即椎體(vertebral)、肛門(anal)、心臟(cardial)、氣管食管(tracheo-asophageal)、腎臟(renal)和肢體(limb)。外國統計以心血管畸形最常見(23.6%~37%),泌尿系統約占20%。北京兒童醫院病例統計中12%合併直腸肛門畸形、其次為脊柱及四肢畸形,各占8.1%。該院1981年統計210例中有59畸形,包括半椎體、直腸肛門閉鎖、無肛伴直腸前庭瘺、會陰瘺或尿道瘺、處女膜閉鎖、右位心、室間隔缺損、腹主動脈狹窄、右肺缺如、馬蹄腎、馬蹄內翻足、贅生拇、I掌指關節脫臼、十二指腸梗阻、環狀胰腺、副脾、巨結腸、雙側十三肋、脊膜膨出、斜頸及外耳畸形。畸形的廣泛性證明了Stephens關於食管閉鎖合併畸形是由於妊娠4周時間葉組織普遍受損所致的理論。當前,在我國合併畸形的種類和嚴重程度明顯地影響家長對治療的態度、治癒率和對食管閉鎖療效的評估。
4.呼吸困難由於食管閉鎖、吞咽唾液和奶汁受阻致反流誤吸,生後早期引起肺炎和肺不張。在常見的Ⅲ型中高酸度胃液經瘺管逆入呼吸道更加重肺部損害。此外,常伴發食管壁肌肉運動不協調、蠕動減弱和宮內擴張的近端食管長期壓迫而致氣管軟化均可影響呼吸功能,使症狀加重。
典型的表現是生後窒息,Apgar評分低。生後早期自口鼻湧現白色泡沫狀唾液。第一次餵養時即出現明顯嗆咳。患兒呼吸困難,鼻扇、口周及面色發紺。當充分吸盡近端食管盲端內的奶汁或黃橙色較稠厚粘液後,上述症狀能較快好轉。不久,症狀又復現。生後數日內合併肺炎並迅速加重,短期內死亡。
5.其他症狀如脫水、胎便排出後無正常黃色大便等。合併畸形症狀有時也很明顯,如先天性心臟病時的青紫、直腸肛門畸形時嚴重腹脹等。
診斷說明
氣管-食管瘺1.首先應警惕本病,尤其當孕婦合併羊水過多時更應除外食管閉鎖等各種先天性畸形。產前診斷可參考羊水胎甲蛋白和乙醯膽鹼酯酶升高,但公認B型超聲檢查更準確又無創。最簡單易行的是產科醫師在產房內將吸痰管下插入胃除外本症。當導管受阻時立即進行X線檢查確診。小兒內外科醫師對新生嬰兒口腔唾液增多,吸痰後好轉,呼吸困難症狀反覆出現者應疑及本症,並立即用橡皮導管檢查。
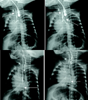
2.X線檢查X線檢查對診斷有決定性意義。方法是取10F較新橡皮導管(管腔內亦可充鋇以利觀察)自口腔或鼻孔插入食管,多於10~12cm處受阻,繼續下插即可見管端返折而出,有時也可捲曲於擴張的近端食管內壓迫氣管而患兒口周發紺、呼吸困難。此刻拔出3~4cm導管後拍胸腹正位或斜位片。導管返折處即為食管近端盲端下緣(橡皮導管彈性而略高於實際水平),用相應的胸椎表示,如果導管返折處位於胸4上緣或胸3下緣,則常為LaddⅢb型,表示食管兩盲端距離小於2cm,一期吻合機會大。X線片中胃和腸管充氣常為Ⅲ型,胃腸不充氣則幾乎全為I型,因有約1%的Ⅲ型因瘺管細小被粘液堵塞,胃腸不充氣,X線表現酷似I型,但其近端食管盲端位置可偏低在胸3水平。由上述可見簡單的插管攝片不但可以診斷食管閉鎖,還可以明確90%以上的型別。導管經氣管食管瘺進入胃內的報告罕見。我們曾見到經瘺管而"吐"綠色液的Ⅲ型病例。Ⅱ、Ⅳ和V型均罕見。診斷較困難。
碘油造影常無必要。鋇餐檢查屬禁忌,已有報導用微粒化硫酸鋇的甲基纖維素混懸液造影。活動螢光攝影法、內窺鏡等診斷瘺管方法各異。食管閉鎖合併右位主動脈弓時臍動脈造影或CT可以確診。
其他合併畸形也常需影像檢查確診。
治療說明
氣管-食管瘺1.Waterston分組法
A組:體重大於2.5kg,一般情況好。
B1組:體重1.8~2.5kg,一般情況好。
B2組:體重大於2.5kg,伴中度肺炎或
畸形。
C1組:體重低於1.8kg。
C2組:任何體重,伴嚴重肺炎或重度畸形。
經上述分組全面評估患兒後,有的作者主張:A組應即刻行一期食管吻合術;B組應延遲一期吻合術,即先行胃造瘺術、治療肺炎、硬腫症等合併症;C組應分期手術。實際上應根據患兒具體情況和醫療條件及水平個別考慮。
2.術前準備應開始於懷疑本診斷時,如禁食、吸引口腔及近端食管內粘液、保溫、保濕、腸外營養支持等。必要時使用抗生素。術前靜脈使用甲腈咪胍以降低胃液酸度,並持續用至吻合口癒合為止的方法尚未被普遍接受。轉運患兒時應水平位、側位或半伏臥位。由有經驗的醫生或/和護士陪同,帶有氧、保溫條件和吸引器。術前盡力不用人工呼吸機,預防氣體經瘺管進入消化道,致橫膈上升、加重呼吸困難、甚致胃穿孔。
嚴格的呼吸管理也應儘早開始,這是手術成敗的重要條件之一。內容有①專人護理,最好單間隔離,預防交叉感染。平或側臥位。定時翻身、拍背和吸痰。分泌物送細菌培養及藥敏試驗。②反覆進行血液氣體分析以監測呼吸功能。③恰當地套用呼吸治療方法,如超聲霧化或加溫濕化給氧、使用呼吸道持續正壓或人工呼吸機等。④合併肺炎時應嚴格控制輸液量及速度,使用抗生素。呼吸管理的目的在於減輕肺部合併症、改善呼吸功能、準備耐受氣管內插管麻醉和食管吻合術,並為術後呼吸功能的恢復及肺炎的吸收好轉創造條件。北京兒童醫院1955年~1978年共收入食管閉鎖230例,其中病歷完整的173例中進行了127次食管吻合手術,總治癒率為25%。在加強呼吸管理等綜合措施後於1979~1982年間收治的20例中13例(65%)存活。
3.手術方法(以Ⅲ型為例)清洗氣管內插管後靜脈複合或硬膜外麻醉。經右側4/5肋間切口,在胸膜外行食管端端吻合術。端側吻合或經胸腔吻合法已較少使用。常以單層間斷縫合法吻合食管,食管內不留支架管、局部不放置引流。估計吻合口張力較大時,可用Livaditis食管肌層環切法減張。I型者多先行食管及胃造瘺術,數月後行結腸或胃代食管術。此外,還有數種手術方法,適於不同型別。
4.術後管理同術前。呼吸管理仍較重要。靜脈輸液量應偏少,約每日50~60ml/kg。腸外營養支持有利於創口癒合及肺炎、氣胸、吻合口瘺等合併症治癒。一般術後第4~5天經食管造影證實吻合口完全癒合後可以餵奶。
5.合併症常見有肺炎、肺不張、氣胸、膿胸、乳糜胸、胸壁感染等。吻合口瘺時需局部引流及胃腸外營養支持;經胸腔手術者膿胸發展迅速,預後差(因需食管造瘺、再次開胸術)。術後早期(10~14天左右)狹窄時可開始擴張食管或局部注射激素。晚期者可能需切除狹窄段。氣管軟化致長期犬吠樣咳嗽,嚴重時可行氣管主動脈懸吊固定術。此外,由於先天發育畸形可致食管下段功能不良致胃食管返流性食管炎、體力和智力發育低下、胸廓畸形和乳房不對稱。
療效及預後
國際上基本上採用Waterston分組以比較療效,一般認為A組和大部分B組病例均應存活。國外一組1974年和1983年療效比較中C2組病例由總例數的7%升至18%,但病死率卻由50%降至0,我國1992年胡勁等報告的22例中A組7例均成活、B1組2例和B2組13例成活率分別為50%和38%,無C組病例。
