先天性巨結腸症病因
先天性巨結腸症2、與遺傳因素有關:自從50年代初Carter和Ward等對巨結腸的遺傳學比較系統的研究以來,後有許多學者陸續發表了這方面的研究成果。Zueher和Wilson報告,12個同胞有6例患者;Richordson和Brown描述了3個患巨結腸病者(父親)的7個兒子,有6人患巨結腸;Emanucl發現有1個家庭5個孩子都患巨結腸,且他們的母親與第2個丈夫婚後所生3個孩子又有1人受累,故支持遺傳因素。但對遺傳方式看法不一;Passarge認為,其符合簡單的孟德爾遺傳的證據較少,因而認為可能是一種異質性病原,並可能是性別修飾多基因遺傳,即遺傳閾值在性別間不同,和一般人比較,先天性巨結腸女性患者其後代患本病的危險性增加360倍;先天性巨結腸男性患者其後代患本病的危險性增加130倍。Emanucl和salmon等認為,巨結腸病遺傳因子可能在於第21對染色體異常。綜上所述,巨結腸是一種多基因遺傳性疾病,而且存在遺傳異質性。
3、環境因素:所謂環境因素,包括出生前(子宮內)、出生時和出生後起作用的全部非遺傳因素的影響。Touloukian等報告1例早產兒,因缺氧發生巨結腸症,他認為缺氧可導致毛細血管循環重新分配,血液離開腹部內臟去保護心、腦等與生命有關的器官,於是發生嚴重的“選擇性循環障礙”,改變早產兒未成熟遠端結腸神經節細胞的功能,繼而使之消失。Ehrenpries證實手術損傷可引起巨結腸。Lane和Toddl977年報告26例成人患巨結腸。還有人採用理化方法造成結腸暫時缺血,可成功地誘發實驗動物出現酷似人的巨結腸。因此,目前學者們已承認環境因素所致的獲得性巨結腸是存在的。
病理
先天性巨結腸症 病理病理腸段的範圍可有很大的變異。狹窄的無神經節細胞區75%是從肛門開始至乙狀結腸的遠端。約有80%的病例無神經節細胞區僅局限於直腸遠端,稱之為短段區。其中個別病例比此種病理腸段更短,僅占直腸末端的3.0~4.Ocm,即內括約肌部分,謂之超短段區。亦有相反的情況,約20%的病例無神經節細胞區的病理腸段,可延伸至降結腸、脾曲,甚至橫結腸大部分,人們又稱之為長段型巨結腸。尚有20%的病例是整個神經節細胞完全缺如,稱為全結腸無神經節細胞症,極個別的病例的病理腸段甚至可達迴腸乃至空腸,被稱之為全結腸—迴腸(或空腸)無神經節細胞症。神經節細胞的缺如,只是從結腸的某一部分開始,向遠端延續直至肛門。
臨床表現
先天性巨結腸症引起之腸阻塞並非完全阻塞,且其病段長短不一,所以臨床上的症狀表現並非一成不變。正常新生兒通常在出生後24小時內解出胎便,進食後每天有一至數次的正常排便。而大部份先天性巨結腸症的嬰兒則往往延遲胎便的解出,之後亦往往數天才一次排便;同時腹部逐漸脹大、進食不順、甚或嘔吐。由於大便無法正常排出而常常引起腸炎,此時反而出現腹瀉、發燒、脫水等現象,甚而造成敗血症;且有少數病例因嚴重的腸炎導致大腸脹破而危及生命。少部份之病嬰並沒有上述明顯且持續之症狀;或表現以時好時壞交替出現的便秘、腹瀉
先天性巨結腸症 臨床表現1、出生後不排胎糞或糞排出延遲;
2、腹脹,嘔吐;
3、貧血,消瘦;
4、腹部高度膨大,腹部可見粗大腸型;
5、直腸指檢:大量氣體及稀便隨手指撥出而排出。
輔助檢查
先天性巨結腸症 X線表現1、直腸切片病理檢驗,以確定結腸肌肉組織內是否缺乏神經節細胞。
2、鋇劑大腸攝影,以查看病段之長短範圍。
另外,少數的先天性巨結腸症僅涉及極短段的直腸遠端,上述方法不能確切診斷,此時須利用肛門壓力測量儀以檢查肛門之壓力反應才能證實此病。
診斷
凡新生兒出生後24-48小時無胎糞或經指挖、灌腸後才能排出胎糞,並伴有腹脹和嘔吐者,均應疑為先天性巨結
先天性巨結腸症 X線鋇劑灌腸1、腹部觸診:可摸到方框形擴張的結腸腸形。
2、直腸指診:對診斷頗有幫助。除了排除直腸、肛門無先天性閉鎖和狹窄等器質性病變外。首先指感直腸壺腹有空虛感,無大量胎糞滯積,並且手指拔出後,隨即就有大量的胎糞及許多臭氣排出,這種“爆發式”排泄後,同時腹脹即有好轉。
3、X線檢查:X線是診斷本病的重要手段之一,腹部平片可見結腸充氣擴張,在腹外圍呈連續空柱狀透亮區,小腸也有脹氣,但無大的液平面可與小腸梗阻鑑別。直腸壺腹無氣體也是重要區別點。有人建議做倒置位正側位腹部、盆腔攝片,如氣體不能升人直腸,診斷就更可靠。
4、鋇劑灌腸X線拍片對診斷病變在直腸、乙狀結腸的病例,準確率達90%以上。病變部位可見直腸持續性狹窄,呈漏斗狀與擴張的腸段相接,動態像顯示結腸蠕動強烈而規則,排鋇後由於腸壁和黏膜增厚,見腸腔內有明顯皺褶,類似正常空腸皺褶,被稱為所謂的“結腸空腸化”改變。多數患兒不能及時排鋇,觀察排鋇功能是對新生兒巨結腸的重要診斷。並髮結腸炎時,X線可見近端擴張結腸的輪廓模糊,外形僵直,有多數不規則的毛刺突出。
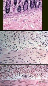
5、直腸活體組織檢查:從理論上講,直腸活檢對本病診斷最可靠。但由於新生兒肛門狹小,而切取組織要距肛門緣4.0cm以上,且深度也要達直腸全肌層,因此操作難度大。再加上肛管的直腸神經節細胞稀少,在內括約肌部分神經節細胞缺如,切取組織位置偏低,很容易誤診。此外,新生兒尤其是早產兒,神經節細胞特別細小,其核顯露不佳,必須是對此有豐富經驗的病理科醫師才能診斷。因此,除個別病例外,並非都必要做此項檢查。
6、直腸內壓測定法:由於先天性巨結腸病兒缺乏對直腸擴張所引起肛門括約肌鬆弛力,也缺乏肛門直腸反射,因此當氣囊充氣時,刺激直腸壁後肛管如果壓力不下降,即可疑為先天性巨結腸。所以近年來有人主張採用直腸內壓測定法,作為診斷先天性巨結腸的方法。
鑑別診斷
1、新生兒單純性胎糞便秘:新生兒腸蠕動微弱,不能將特別稠厚的胎糞排出,可於出生後數日無胎糞,這與巨結腸頭幾日內的症狀可以完全相同。但單純性胎糞便秘患兒行鹽水灌腸後則能排出胎糞,以後即不會再便秘。
2、先天性迴腸閉鎖:經用鹽水灌腸後沒有胎糞排出,僅見少量灰綠色分泌物排出。腹部X線直立位平片,在腸閉鎖和巨結腸均可見腸腔擴大和液平面,但在迴腸閉鎖中無結腸擴張,整個盆腔空白無氣。鋇劑灌腸X線顯示結腸細
鑑別診斷 先天性腸鏇轉不良 3、新生兒敗血症:新生兒可因敗血症、臍部感染等繼發腹膜炎,此時患兒可出現腹脹、嘔吐、便秘或腹瀉等症狀,與新生兒巨結腸並發的小腸、結腸炎的病例不易鑑別,但無胎糞延遲排出史。X線顯示麻痹性腸梗阻表現。有時可在適當的支持療法下進行鑑別診斷,嚴密觀察病情,並做鋇劑灌腸,方能明確診斷。
4、先天性腸鏇轉不良:先天性腸鏇轉不良出現的嘔吐和腹脹可與先天性巨結腸混淆。但胎糞排出正常。鋇劑湘腸X線拍片顯示右半結腸位置異常,則有大的鑑別價值。
治療
治療原則:
先天性巨結腸症2、患兒一般情況良好,若診斷明確,醫院設備完善,麻醉及外科醫師技術熟練,為減輕家長負擔亦可一期根治術。
3、患兒一般情況尚好,可先採用保守療法。
非手術療法:適用於新生兒、兒童局限性和短段巨結腸。
1、灌腸療法協助排糞和排氣,減輕患兒腹脹和嘔吐,以保證正常吃奶,維持患兒逐漸長大,再根據症狀輕重考慮手術。灌腸方法是用24—26號肛管插過痙攣腸段,排氣後再注入50ml鹽水,保留肛管;按摩腹部,使氣和糞便儘量通過肛管排空。
2、擴張直腸和肛管:每天一次,每次30分鐘。擴肛器從小號到大號。
3、耳針及穴位封閉療法:針刺耳穴腎、交感、皮質下、直腸下段等穴位,每天一次,每次30分鐘;穴位封閉:腎俞穴注射人參注射液,大腸俞穴注射新斯的明;或兩者交替,每天一次。
4、內服中藥:常用的有補氣助陽藥,如黨參、生黃芪、巴戟天、枳實、厚朴;行氣攻下藥,如郁李仁、牽牛子、厚朴、枳殼;益氣養血、潤燥行氣化瘀藥,如黨參、當歸、生地、熟地、肉蓯蓉、厚朴、枳實、桃仁、紅花。
手術療法:
先天性巨結腸症 手術治療2、根治術:要求手術創傷小,安全性大,減少或不破壞盆腔神經叢,術後不影響排糞及生殖能力。適用於6個月以上的嬰兒及低位節段性痙攣巨結腸。常用的手術方法有:①結腸與直腸黏膜剝離肌鞘內拖出法:進入腹腔後,在膀胱頂的水平,切斷結腸,剝離直腸肛管的黏膜和皮膚,然後切除病變段結腸和直腸(注意將缺乏神經節細胞的腸段全部切除,包括痙攣段、移行段及擴張段),將剩餘的結腸充分游離後,套人直腸肌鞘內,縫合結腸四周。多餘的結腸拖出,下端與肛門上端的直腸縫合固定。並先將直腸肌鞘後壁連同直腸內括約肌一起縱形切開,可以減少腹脹和術後結腸炎等併發症的發生,術後直腸鞘內留置導尿管引流,可以避免肌鞘內膿腫發生;②結腸切除、直腸後結腸拖出術(Duhamel手術):沿直腸膀胱凹陷的腹膜反折處切開直腸兩側腹膜,直腸前壁不切開,在恥骨連合上緣2.Ocm處切斷直腸,並在直腸後正中,鈍性分離骶前筋膜與直腸固有筋膜鞘,直至會陰部皮下,擴肛後在肛門後方沿皮膚和黏膜交界處切開肛門之後半部,接著將準備好的結腸,由肛門後切口拖出,結腸的後壁緣與肛管齒線切口的下緣縫合,直腸前壁與結腸前壁用一全齒血管鉗,放入肛管及直腸內3.0~4.0cm夾死,1周后腸壁壞死脫落而使兩管相通,新直腸腔形成。
3、duhamrl手術:近年來為了使直腸和結腸暢通和避免閘門綜合徵,多採用各種特製鉗夾器,即改良式Duhamel手術法。即用環形鉗夾器,將直腸和結腸鉗在一起的手術方法。具體操作方法為:將鉗夾器底葉放人結腸腔內,上葉放人直腸腔內,直腸殘端由上葉之環內拉出,兩葉適當夾緊,使直腸與結腸前壁夾緊,在環內切除多餘的直腸殘端,再從腹部將已反折的直腸頂部與結腸固定數針,約1周后,鉗夾器連同壞死的腸管壁一同脫落,則形成新的直腸腔。本手術的優點為:結腸後壁與肛管後壁相連線,直腸前壁與結腸前壁相連線,形成斜吻合,消除了盲袋,避免了並發閘門綜合症。
先天性巨結腸症 手術治療5、經骶尾部直腸肌層切除法:患者取俯臥臀高位,在肛門與尾骨之間切開皮膚約3.0cm長,將提肛肌和恥骨直腸肌分別向上下分開,術者左手食指放人直腸內作引導和標誌或插入帶氣囊的肛管使直腸膨起,在直腸後壁做縱形切口,深達黏膜下層,長度依術前鋇劑灌腸檢查及術中冰凍切片檢查無神經節細胞腸管長短而定。為了暴露充分可將尾骨切除,這樣可以切除1條更長的肌肉組織。在內括約肌切除後,提肛肌和恥骨直腸肌放回原處,縫合肛門尾骨筋膜,傷口內放人引流條,24小時後拔除。
6、全結腸型手術(Mavtin法):即直腸後迴腸拖出直腸迴腸側側吻合術(Duhamel法)。但病變結腸不能全切除,一定要保留乙狀結腸與遠端迴腸並行,側側吻合,以利於殘餘結腸的吸收功能,故採用Martin法。
