臨床表現
食管平滑肌瘤檢查
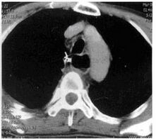
食管平滑肌瘤CT影像向食管壁外生長的較大平滑肌瘤頂出縱隔胸膜至肺野中,可以從胸部平片上見到縱隔或肺野的軟組織陰影,在縱隔腫瘤的鑑別診斷上要考慮到本病。個別平滑肌瘤在平片上可見有鈣化灶。
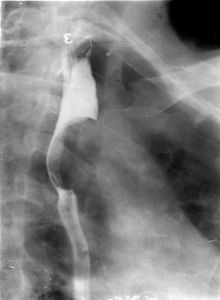
X線食管鋇餐檢查:是本病的主要診斷方法,結合臨床表現,往往可以一次造影確診。腔內充盈缺損是主要表現,缺損呈圓形或橢圓形,邊緣光滑銳利,與正常食管分界清楚。
2.纖維食管鏡檢查
大部分平滑肌瘤可經過食管鋇餐診斷,加上纖維食管鏡(實際上常用纖維胃鏡)檢查,檢查準確率可達90%以上,可了解腫瘤的部位、大小、數目及形狀等。鏡檢能見到突出在食管腔中的腫物,表面黏膜完整光滑平展,皺襞消失,呈淡紅色半透明,肌瘤邊緣隱約可見,吞咽活動時,可見腫物上下輕度活動,管腔狹窄的不多。
3.CT及磁共振(MRI)檢查
食管鋇餐及纖維食管鏡檢查後大部分診斷可以明確,少數病例,特別是中段平滑肌瘤,有時易與主動脈瘤、血管壓迫或畸形相混淆,行CT及MRI檢查有助於鑑別診斷。CT還可以了解腫物向管外擴展的情況及準確部位,有助於手術方案及切口的設計,B超檢查也能發現某些腫瘤。
鑑別診斷
食管平滑肌瘤體積較大的食管平滑肌瘤向壁外生長時可造成縱隔內軟組織影,易被誤認為縱隔腫瘤,因此對後下縱隔與食管關係密切的腫塊,應警惕食管平滑肌瘤的存在。
2.食管癌
較大的食管平滑肌瘤累及的食管較長,病變區黏膜菲薄,並可伴充血等表現,故在食管造影時易誤認為黏膜有破壞而診斷為食管癌。
3.縱隔淋巴結增大或炎性腫塊
因食管平滑肌瘤的症狀表現為吞咽困難,鋇餐檢查示食管中段有充盈缺損,食管鏡檢顯示食管中段有光滑球形病灶,這在縱隔淋巴結腫大或炎性包塊的病例中也有類似表現。此時若在食管鋇劑造影的同時拍攝側位片或行CT掃描,則可能明確為外壓性食管梗阻而明確診斷。
治療
食管平滑肌瘤
