病因
腎動脈栓塞腎動脈栓塞的發生原因往往是栓子,來自心臟或主動脈如風濕病贅生物脫落或手術後血塊栓塞。半數以上患者同時伴有其他臟器動脈的栓塞。導致腎動脈血栓及栓塞的主要病因包括:
1.血栓
(1)自發發生:腎動脈硬化;主動脈或腎動脈瘤;腎動脈纖維肌性發育不良;腎動脈炎症(結節性多動脈炎多發性大動脈炎,閉塞性血栓性脈管炎及梅毒);血液病(抗凝血酶Ⅲ缺陷,鐮狀細胞病);代謝病(家族性高膽固醇血症高胱氨酸尿症)。
(2)創傷繼發:腎蒂部鈍傷;主動脈或腎動脈造影;經皮經腔腎動脈球囊擴張;腎動脈重建術;腎移植栓塞。
2.栓塞
(1)心臟栓子:心房纖顫;人工心臟瓣膜;心肌梗死後附壁血栓;左心房黏液瘤。
(2)心外栓子:脂肪栓子;腫瘤栓子;靜脈栓子經房或室間隔缺損進入動脈。
發病機理
腎動脈血栓可因血管病變或血液凝固性增高而自發產生,也可由血管創傷而繼發形成。
在某些特定條件下腎動脈或其分支可局部形成血栓或被循環栓子栓塞,較大動脈被血栓或栓子堵塞後將造成腎缺血,甚至誘發腎梗死。
臨床表現
腎動脈栓塞2.急性腎絞痛可無明顯誘因地突然出現劇烈的腰痛。疼痛呈持續性、伴有低熱、噁心嘔吐及全身不適有些病人有創傷史醫源性腎動脈操作、古柯鹼注射史等。
3.病人常可以有高熱。
4.血尿可為肉眼血尿,也可為鏡下血尿。這是由於腎梗死時紅細胞進入集合系統所致。
5.高血壓一般在發病後數天內發生,數周后可恢復正常。
併發症
腎功能不全:雙側腎臟同時發生梗死時可因腎臟的缺血性壞死導致急性腎功能衰竭。
病症檢查
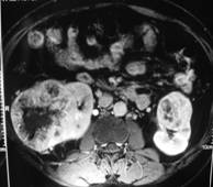
在腎動脈血栓或栓塞危險因素的病人出現可疑症狀和體徵時,就要疑及此病,作進一步檢查雖然血清酶學(血清穀草轉氨酶GOT、LDH及血清鹼性磷酸酶AKP)化驗對診斷有幫助但無特異性確診仍需腎臟影像學檢查,尤其是選擇性腎動脈造影。
鑑別診斷
腎動脈栓塞2.急性闌尾炎主要表現為轉移性右下腹痛症狀,有時可出現發熱噁心、嘔吐。右下腹可有壓痛及反跳痛病人一般沒有血尿及腎區的叩擊痛。
3.自發性腎破裂也可以表現為突發性的腰部疼痛疼痛劇烈,可伴有噁心嘔吐。患側腰部可觸及腫塊、肌緊張,可有壓痛。合併嚴重出血時還可出現休克症狀可以出現鏡下血尿乃至肉眼血尿主要通過B超CT來確定診斷。
病症治療
1、手術:可行外科手術取栓或血管再造術。適用於年輕患者的單側腎動脈主幹創傷後所致的閉塞,以及任何年齡,任何原因引起的急性雙側腎動脈栓塞。手術治療越早越好。
2、溶栓治療1)動脈溶栓:通過介入的方法,將導管插入腎動脈的栓塞部位,局部注入尿激酶(或鏈激酶)。2)靜脈溶栓:即通過靜脈注入尿激酶(或鏈激酶)。
3、透析:若出現腎功能衰竭則應考慮透析治療。
