惡性組織細胞病病因
惡性組織細胞浸潤是本病病理學的基本特點,脾及淋巴結等造血組織為常見,但全身大多數器官組織也可累及,如皮膚、漿膜、肺、心、腎、胰腺、胃腸、內分泌、乳房、睪丸及神經系統等。這些器官及組織不一定每個都被累及,而受累的器官或組織,病變分布亦極不均一。惡性細胞可以是分散的或成集結,但極少形成瘤樣的腫塊。被累及的組織中有許多畸形的、形態多樣的異常組織細胞,間有多核巨細胞和吞噬性組織細胞,吞噬大量多種血細胞。其異常組織細胞是診斷本病的主要依據。
臨床表現
惡組多見於青壯年,以20~40歲者居多,男女發病為2-3:1。本病按病程可分為急性和慢性型。中國國內以急性型為多見。起病急驟,病勢兇險。
發熱是最為突出的表現。90%以上病人以發熱為首發症狀。體溫可高達40度以上。熱型以不規則熱為多,也有間歇熱、弛張熱和稽留熱。少數病例用抗生素能暫時使體溫下降,但更多病例發熱與疾病本身有關,對抗生素治療無反應。皮質激素雖有降溫作用,但不持久,只有化療有效時體溫才能恢復正常。
惡性組織細胞病 臨床表現出血以皮膚瘀點或瘀斑為多見。其次為鼻衄、齒齦出血、黏膜血泡、尿血、嘔血或便血也可發生。
此外,乏力、食慾減退、消瘦、衰弱也隨病情進展而顯著。
肝、脾、淋巴結腫大不一定同時發生。脾大比肝大更為常見。晚期病例,脾腫大可超過臍水平而達下腹。肝腫大一般為輕度到中度,可有壓痛,有時被誤診為肝膿腫。淋巴結腫大不如肝脾腫大常見,出現也較晚,以頸、腋下和腹股溝外淋巴結腫大為多見。也可有腸系膜、腹膜後和縱隔等處深部淋巴結受累。
不典型病例(特殊類型惡組)可困身體某一組織或器官的病變特別突出,某些特殊的症狀或體徵成為主要的臨床表現,而貧血、出血、脾大等典型表現則不明顯。例如有些病例早期主要表現為皮膚結節或腫塊;有的出現胸腔積液、腹水、腹痛、腹瀉、便血、黃疸、腸梗阻或腸穿孔;有的出現各種神經系統症狀如肢體麻木、癱瘓、癲癇等。這些病例可分別稱為皮膚型、多漿膜型、胃腸型、神經型惡組等。
輔助檢查
1、血象 全血細胞減少為本病突出表現之一。貧血出現更早,呈進行性。嚴重者血紅蛋白可降至20~30g.L。白細胞早期可正常或增高。晚期常顯著減少,有時可出現少數中、晚幼粒細胞。血小板計數大多減少,晚期更甚。部分病人血塗片可找到惡組細胞。用濃縮血液塗片法可提高陽性率,對診斷有一定幫助。
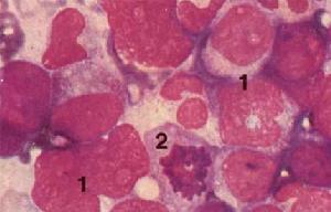
惡性組織細胞病 骨髓象
惡性組織細胞病 淋巴結塗片3、細胞化學與免疫細胞化學 惡性組織細胞過氧化酶及鹼性磷酸酶均屬陰性;酸性磷酸酶陽性;蘇丹黑及糖原反應陰性或弱陽性;α萘醋酸脂酶陽性;ASD氯醋酸脂酶陰性;萘酚-AS-醋酸脂酶陽性而不被氟化鈉抑制。中性粒細胞鹼性磷酸酶陰性或積分低,對惡組的鑑別診斷有一定價值。S-100蛋白在惡組細胞中為陽性,而反應性細胞為陰性。
診斷及鑑別診斷
鑑別診斷 急性白血病治療
支持治療2、化療 不管套用單藥化療或聯合化療,效果均不滿意,難以得到持久的完全緩解。一般可採用治療惡性淋巴瘤或治療急性白血病的化療方案治療,少數緩解期可達6~12個月。

