簡介
惡性網狀細胞病是惡性組織細胞是原發於單核——巨噬細胞系統的一種惡性增生性疾病。主要臨床表現有發熱、肝、脾、淋巴結腫大,全血細胞減少和進行性衰竭。 本病可見於各種年齡,以青壯年居多,男多於女。病變分布廣泛而極不規則,因此,臨床表現多種多樣以至早期常易誤診。目前尚無特效治療,病人多在半年內死亡。
臨床表現
1.起病急驟,病勢兇險,病情進展迅速; 2.發熱:多為不規則高熱,也可有馳張熱、稽留熱或間歇熱,用抗生素和激素治療往往無效; 3.進行性貧血、乏力、消瘦、衰竭及出血傾向; 4.部分病例有腹瀉、胸腹腔積液,晚期可有黃疸; 5.肝、脾、淋巴結腫大及皮膚損害表現。
診斷依據
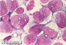
1.病史:(1)起病急驟,病勢兇險;(2)發熱,多為不規則高熱,也可有馳張熱和稽留熱等;(3)進行性貧血和衰竭;(4)出血傾向。 2.體徵:大多有肝脾腫大以脾大為著,後期也有淋巴結腫大,也可有皮膚結節、腫塊、黃疸、胸水、腹水和腹塊等。 3.實驗室檢查:(1)血象可有1系、2系或全血細胞減少;(2)骨髓塗片見數量不等的異常組織細胞,這些細胞按形態特點可歸納為惡性組織細胞、多核巨組織細胞、淋巴樣組織細胞、單核樣組織細胞和吞噬性組織細胞五種,以前兩種診斷意義較大;(3)肝、脾、淋巴結、皮膚或其他病變組織活檢見有惡性組織細胞浸潤。 4.須排除反應性組織細胞增多症。
治療原則
1.支持治療:良好護理、補充營養,糾正水、電解質紊亂、預防感染; 2.對症治療:輸血、降溫、止血、抗感染; 3.化療:以下方案可以選用: (1)COP方案:環磷醯胺+長春新鹼+強的松; (2)COPP方案:COP方案+甲基S胼; (3)CHOP方案:COP方案+阿酶素。 4.脾切除:對病變局限於脾臟或因巨脾兼有脾功能亢進者可考慮切脾。
用藥原則
一旦確診就套用“A”、“B”、“C”項中有關藥物化療,定期檢查血象並注意防治感染;強調良好護理、補充營養和多種維生素,必要時輸血。
輔助檢查
1.對臨床表現典型者,有的只作“A”專案檢查即能明確診斷; 2.由於本病病變的源性分布緣故,有的病例需作多次或多部位骨髓穿刺化驗甚至要作腫大的淋巴結、肝、脾或損害的皮膚活檢才能確診; 3.為了與傷寒、結核病、敗血症、重症肝炎等疾病鑑別,可選“B”專案檢查和“C”專案檢查。
療效評價
1.完全緩解:症狀及屬於本病的不正常體徵均消失。血象Hb≥100g/L,WBC≥4.0×10的9次方/L,分類正常;骨髓塗片找不到異常組織細胞,無明顯的血細胞被吞噬現象。 2.部分緩解:自覺症狀基本消失,體溫下降或穩定一段時間,肝、脾、淋巴結明顯縮小(肝、脾最大不超過肋緣下1.5cm),血象接近但未達到完全緩解標準;骨髓塗片中異常組織細胞和血細胞被吞噬現象基本消失或極少量。

