概述
反應性組織細胞增多症病理圖Risdall(1979)首次提出這是一種獨立的臨床綜合徵。當骨髓液塗片中組織細胞比例增加達3%以上,稱為反應性組織細胞增生症(reactivehistiocytosis)。在臨床上較惡性組織細胞病多見兩者易混淆,值得重視。
流行病學:Reiner等檢測的2634例骨髓中,反應性組織細胞增生症占0.8%。國內一組資料,10年期間,反應性組織細胞增生症102例,占同期骨髓檢查的6.9%。
病因
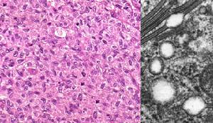
反應性組織細胞增多症病理圖免疫組織化學染色:增生的細胞呈CD1a抗原和S-100蛋白陽性反應;電鏡下見到Birbeck小體,對於Langerhans細胞組織細胞增生症的診斷有決定性的意義。
各種病原體的感染都可引起發病與感染有關占65%~78%以病毒感染最為常見,約占36%如病毒性肝炎、傳染性單核細胞增多症腺病毒、B19病毒登革熱病毒,尤以巨細胞病毒、皰疹病毒和EB病毒常見。細菌性感染中以腸道革蘭陰性桿菌為主還見於傷寒、結核病等寄生蟲病如瘧疾、弓形蟲病、血吸蟲病及布魯菌病等較多見此外,真菌利什曼原蟲、支原體及立克次體感染也有報導。結締組織病X伴性淋巴增生綜合徵、家族性嗜紅細胞性淋巴細胞增生症、亞急性細菌性心內膜炎、風濕病白血病、惡性淋巴瘤骨髓轉移癌及獲得性免疫缺陷綜合徵以及脾臟切除後、酗酒等都有報導。也可見於免疫抑制劑使用後,有人報導42例中27例患者有免疫抑制劑治療史。
發病機制
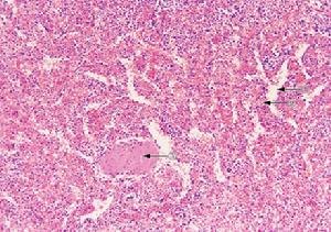
脾紅髓病理圖分化良好的組織細胞增多細胞形態大多正常或僅有輕微的畸形,少數因傷寒或粟粒性結核引起時細胞畸形也較明顯但各個細胞間的形態大小、核形、成熟程度的差別小於惡性組織細胞病所見。常伴有明顯的吞噬現象。組織細胞多侵入骨髓淋巴結竇狀隙和髓索、脾紅髓和肝竇狀隙。由於肝竇狀隙及門靜脈周圍受累,肝細胞有壞死表現淋巴結組織切片中淋巴組織結構多無破壞個別有壞死和廣泛纖維化,淋巴細胞減少,尤其在淋巴結生髮中心和脾紅髓區更突出。
尚可能見到基礎疾病的病變表現和細胞成分一些病毒引起的反應性組織細胞增生時常有以淋巴細胞、漿細胞和不成熟的原始免疫細胞形成的廣泛性非典型性淋巴樣細胞浸潤。
臨床表現
隨原發病而異,但大多數病人有發熱,以高熱居多,可伴盜汗體重減輕。肝脾或淋巴結腫大皮疹十分常見。如累及中樞神經系統和肺可產生相應的症狀和體徵。嚴重肝損害或並發彌散性血管內凝血(DIC)可引發多部位出血。雖多數病例隨原發病好轉,尤其是感染的控制而逐漸緩解但約30%的患者因多臟器功能損害或凝血障礙而死亡,臨床徵象和惡性組織細胞病常難以鑑別。
併發症:
主要併發症為嚴重的肝腎損害及彌散性血管內凝血,及中樞神經系統損害而加重病情,危及生命。
診斷
診斷標準為:
①發熱1周以上(高峰≥38.5℃);②肝脾腫大伴全血細胞減少;③肝功能異常及凝血功能障礙;④噬血組織細胞占骨髓塗片有核細胞≥2%(或≥3%)或2500個細胞/ml骨髓液,和(或)活檢顯示累及骨髓,淋巴結,肝脾組織。
以下各項強烈提示診斷:①腦脊液中單個核細胞增多;②肝活檢表現為慢性持續性肝炎;③自然殺傷細胞活性降低。
以下各項有利於HPS的診斷:①淋巴結腫大、黃疸水腫及皮疹腦膜受累的症狀及體徵;②低鈉血症,血清鐵增高,腦脊液蛋白增多;③肝轉氨酶增高,低蛋白血症血低密度脂蛋白膽固醇增高及高密度脂蛋白膽固醇降低;④周圍血可溶性白介素-2受體增高。
鑑別診斷:
1.惡性組織細胞病HPS有時病情兇險,與惡性組織細胞病(MH)在臨床和細胞形態學組織學上缺乏特異性鑑別試驗。以下幾項有助於兩者的鑑別:
(1)外周血象或濃縮血片中骨髓或淋巴結肝脾等組織中能找到惡性組織細胞支持MH。
(2)惡性組織細胞對乙酸α萘酚酯酶染色陽性酸性磷酸酶染色陽性免疫組織化學示細胞內κ鏈及γ鏈均陽性
(3)HPS中性粒細胞鹼性磷酸酶活性可增高,血清鐵蛋白在MH明顯高於正常人和HPS
(4)MH血清中血管緊張素轉化酶增高、組化染色檢查見巨噬細胞中大量α-抗胰蛋白酶
(5)部分MH患有特異性染色體異常,如t(2;5)(p23;q35)斷裂點在17p12和17p+1號部分三體(1qter-lp11)和涉及1p11的易位有的MH患者可出現Ig和TCR基因的克隆性重排。
2.朗格漢斯細胞組織細胞增生症,朗格漢斯細胞組織細胞增生症(LCH)發病也以嬰兒多見2歲以上減少也可表現為發熱、皮疹肝脾腫大淋巴結腫大以及肺部浸潤和中樞神經系統受累。但LCH的皮疹為特異性皮疹多分布於軀幹胸腹部和髮際耳後及頸部與HPS的一過性皮疹可相鑑別,而且LCH患者常出現骨骼破壞活組織病理檢查,發現朗格漢斯細胞是診斷LCH的主要依據,電鏡檢查可見到朗格漢斯細胞內含有Birbeek顆粒。
檢查
實驗室檢查:
1.血象血細胞有不同程度的減少國內82例就診時貧血占48.4%,全血細胞減少占14.6%。血塗片查見成熟組織細胞占17.8%國外病例紅細胞、白細胞或血小板減少者均在80%以上血細胞減少和感染致骨髓抑制,以及被增生的組織細胞吞噬有關。
2.骨髓象增生活躍,組織細胞增生數量不一大多數<30%其形態為成熟型即正常組織細胞也可呈淋巴樣或單核樣常伴吞噬現象主要吞噬成熟的紅細胞也可吞噬中性粒細胞幼紅細胞,但吞噬血小板較少見有時可出現少量異常組織細胞,甚至個別的多核巨細胞。
其它輔助檢查:
1.病理活檢淋巴結、肝等活檢顯示組織細胞增生,有的有噬血現象正常的組織結構未被破壞。
2.其他檢查血液中各種炎性細胞因子水平可升高由病毒感染引起者,血清中相關病毒抗體(IgM及IgG)效價升高。
3.根據臨床表現症狀、體徵、選擇做X線、CT、B超心電圖。
相關檢查:血小板。
治療
1.病因治療繼發性HPS應查找病因,針對病因原發病作相應的治療如能發現病原微生物,則應及時套用有效的抗微生物治療;如果是在套用免疫抑制時發生的HPS,則應停用免疫抑制劑;如果HPS發生於治療前有免疫缺陷的患者則治療主要是抗感染及增強機體免疫力;如果HPS發生於化療後,而腫瘤已緩解,則應停止化療,同時抗感染。
2.化學療法常用的化療藥物有長春鹼/長春新鹼或依託泊苷(足葉乙甙vp-16)/替尼泊苷(鬼臼噻吩苷)與腎上腺皮質激素聯用,或CHOP方案,同時鞘內注射甲氨蝶啶(MTX)及頭顱照射,也可進行反覆的血漿置換。
3.免疫治療大劑量甲潑尼龍衝擊靜脈滴注大劑量人血丙種球蛋白套用環孢素A或抗胸腺細胞球蛋白(ATG)均取得滿意效果。
4.造血幹細胞移植Fisher等1986年首先報導用骨髓移植治癒家族性HPS患者,近來報導自體外周造血幹細胞移植,並用IFN-γ加環孢素誘導自身GVHD可提高成人淋巴瘤相關的HPS的療效,並防止復發。
5.中樞神經系統浸潤的治療。
(1)每天套用地塞米松,共8周如為繼發性HPS,治療好轉者可停用如果是家族性HPS,則以後每2周注射1次地塞米松,共1年。
(2)停激素後用環孢素A共1年。
(3)依託泊苷(VP-l6)在前2周為每周2次注射,以後每2周1次約半年。
(4)開始治療的第3、4、5、6周,每周鞘內注射1次甲氨蝶呤(MTX)緩解後爭取行異基因造血幹細胞移植。
預後及預防
預後:
總體上HPS預後不良約有半數病例死亡呈暴發性發病者病情急劇惡化,4周內死亡。不經治療的家族性HPS患者存活期約29個月有的患者經過化療後可存活9年以上但只有造血幹細胞移植才能治癒家族性HPS由細菌引起的噬血細胞綜合徵預後較好。惡性血液病患者合併與不合併HPS組平均生存期分別為7個月,48個月。HPS患者死亡的主要原因有:出血、感染多臟器功能衰竭和彌散性血管內凝血。
預防:
對有患有感染性疾病、結締組織病惡性腫瘤的患者,早期應積極給予治療提高免疫功能及抗病能力。
