常見症狀
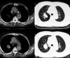
肺部陳舊性病變
1、心臟應呈靴狀,心尖圓鈍而翅起,不如重症型那么扁平,心臟都無較著增大;可有輕度、中度增大或沒事了。增大以右心室為主,右心房少數有增大。
2、肺動脈段及肺靜血管:肺動脈段凹下不如重症者顯著,亦可平直或輕細隆起,肺門仍小,肺野血管紋纖維。
3、上縱隔陰影和動脈:和重症型同樣地增寬及增大,可有占位大動脈現象。
陳舊性黃斑病變
目前認為是黃斑部視網膜下有新生血管長入所致,它來源於脈絡膜。病理改變為肉芽腫性炎症。黃斑病變通常有兩種類型。一種是乾性黃斑病變,占總發病率的90%,是由於黃斑隨年齡增長而發生的一種老化,不會發生眼底出血及滲出,病變進展緩慢,視力逐漸下降,危害相對較小。最常見症狀是:視物模糊,不清楚,需要更多照明才能分辨細節,較遠距離情況下,辨別人臉有困難。當乾性黃斑病變進一步發展,中央視力會出現模糊,隨時間發展,這部分會變大、變暗、以致喪失中央視力。
另一種是濕性黃斑病變占總發病率的10%,是由於視網膜下有異常的血管生長,新生血管破裂出血,並引起疤痕組織生長,使視力突然下降,會迅速嚴重地影響患者的中心視力,甚至導致中心視力喪失。濕性黃斑病變的主要症狀表現為:中央視力快速減弱,視物變形,紙上字句彎曲,視覺中央出現黑影或模糊區域。
黃斑病變的治療方法:藥物治療對於黃斑病變的症狀無效,雷射光凝是目前治療黃斑病變的有效方法。在活動期,病灶位於黃斑中心1/4PD以外者,可以用雷射治療。

