疾病概述
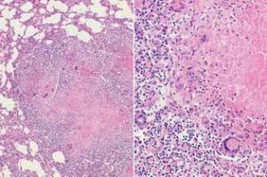
急性粟粒性肺結核結核病是由結核桿菌引起的一種慢性傳染病。主要經呼吸道傳染。全身各器官均可發生,但以肺結核最為多見。其病變特徵是結核結節形成並伴有不同程度的乾酪樣壞死。肉眼觀,雙肺充血,重量增加,切面暗紅,密布灰白或灰黃色粟粒大小的結節,微隆起於切面,並顯露於肺膜表面。
症狀體徵
起病多急驟,嬰幼兒多突然高熱(39—40℃),呈稽留熱或馳張熱,部分病例體溫可不太高,呈規則或不規則發熱,常持續數周或數月,多伴有寒顫、盜汗、食欲不振,咳嗽、面色蒼白,氣促和發紺等。肺部可聽到細濕羅音而被誤診為肺炎。約50%以上的病兒在起病時就出現腦膜炎徵象。部分患兒伴有肝脾大,以及淺表淋巴結大等,臨床上易與傷寒、敗血症等混淆。少數嬰幼兒主要表現為一般中毒症狀如發熱、食欲不振,消瘦和倦意等而被誤診為營養不良。
6個月以下嬰兒粟粒性結核的特點為發病急,症狀重而不典型,累及器官多,特別是伴髮結核性腦膜炎者居多,病程進展快,病死率高。
全身性粟粒性結核患者的眼地檢查可發現脈絡膜結核結節,後者分布於視網膜中心動脈分支周圍。
疾病病因
結核菌屬於分支桿菌屬、據抗酸性、為需氧菌、革蘭染色陽性,抗酸染色呈紅色。分裂繁殖緩慢,在固體培養基上需4—6周才出現菌落。然而有同位素標記的選擇性營養液體培養基(BACTEC)放射測量系統中生長1—3周即可鑑別。結核桿菌可分為4型:人型、牛型、鳥型、和鼠型,對人類致病的主要為人型和牛型,其中人型深人類結核病的主要病原體。
病理生理
多在原發感染後3—6個月以內發生。由於嬰幼兒免疫功能低下,機體處於高度敏感狀態,感染結核後,易形成結核桿菌血症。當原病病灶或淋巴結乾酪樣壞死發生潰破時,則大量細菌由此侵入血液而引起急性全身粟粒結核病。可累及肺、腦膜、腦、肝、脾、腎、心、腎上腺、腸、腹膜,腸系膜淋巴結等。播散到上述臟器中的結核菌,在間質組織中形成細小結節。在肺臟中的結核結節分布於上肺部者多餘下肺部,為灰白色半透明或淡黃色不透明的結節,如針尖或粟粒一般,約1—2mm大小。鏡檢示結核結節由類上皮細胞、淋巴細胞和朗格罕細胞加上中心乾酪壞死性病灶組成。
診斷檢查
診斷主要根據結核接觸史、臨床表現、肝脾大及結核菌素實驗陽性,可疑者應進行細菌學檢查,血清抗結核菌抗體檢測與胸部X線攝片,胸部X線攝片常對診斷起決定性作用,早期的粟粒狀陰影,彌補於兩側肺野,肺部CT掃描可見肺影顯示大小(1—3mm)、密度(中度)、分布(全肺)一致陰影、部分病灶有融合。
臨床上應注意與肺炎、傷寒、敗血症、組織細胞增生症X直及肺含鐵血黃素沉著等相鑑別。
病情多急重,但若能早期診斷和徹底治療仍可治癒,如延誤診斷和治療,則可導致死亡。
治療方案
早期抗結核治療甚為重要。1、抗結核藥物目前主張將化療的全療程分為兩個階段進行。即強化治療階段及維持治療階段。此方案可提高療效。前者開始時即給予強有力的四聯殺菌藥物如INH、RFP、PZA及SM。不僅能迅速殺滅生長繁殖時期的結核菌,而且RFP對代謝低下的細菌亦能殺滅,並可防止或減少續發耐藥菌株的產生。SM能殺滅在鹼性環境下中國生長、分裂、繁殖活躍的細胞外的結核菌,PZA能殺滅在酸性環境中細胞內結合菌及乾酪病灶內代謝緩慢的結核菌。開始治療殺滅的效果越好,以後產生耐菌的機會越小,此法對原發耐藥病例亦有效。2、糖皮質激素有嚴重中毒症狀及呼吸困難者,在套用組兩抗結核藥物的同時,可用潑尼松1—2mg/(kg.d)療程1—2個月。

