發病機制及病理變化
急性粟粒型肺TB是由於大量的TB桿菌一
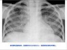
急性粟粒型肺結核X線表現
急性粟粒型肺TB的臨床表現為發病急、高熱、寒戰、頭痛、食欲不振、嗜睡、盜汗等明顯的症狀,以在滲出後出現乾酪樣變或部分空洞形成時症狀表現更重,此時胸透X線改變一般在發病後3~4周才能顯示。急性粟粒型肺TB隨著病情的進展和治療情況肺內X線表現則出現不同的變化,肺內X線表現陰影增多、減少、消失,密度增濃、變淡、乾酪壞死,甚至空洞形成對臨床有很大的指導意義,但也因的體質不同而異,肺內的改變受諸多因素的影響。有資料統計表明陰影最初出現的時間多為發病後3~4d,但也有1~4周不等,一般多為2周左右,經正規系統化治療後可完全或部分消失,別病例經3~5周可發生變化,頑固性的或沒有正規系統化治療者,肺內的變化不明顯或有加重、加深的改變,數病例在1年內都可消失,年老體弱者則吸收慢,需要長時間才能吸收,有時會殘留肺纖維化或鈣化,如有空洞形成時出現厚壁或淨化空洞或轉為慢性纖維空洞型肺TB,此種改變非常罕見。雖然典型的急性粟粒型肺TB“三均勻”是其特徵性表現,但有時不一定出現此均勻之徵象,一點應引起重視。有人曾做過統計,全肺野均勻分布的粟粒性陰影只占全部急性粟粒型肺TB發病人數的58.11%,說明有相當數量的病人粟粒陰影分布是不均勻或局限性的。另外,病灶大小不等,比粟粒狀陰影大而又有相互融合的病例約占9.98%。因此,在診斷急性粟粒型肺TB時應特別慎重,此種情況甚為重要。
急性粟粒型肺TB全程正規系統化治療的病人,可以按照肺TB的轉歸而癒合。如若不能堅持正規系統化治療的病人,出現的情況則不同,肺內病變的X線徵象也不相同,應根據具體情況具體分析,不要以單純的X線表現做出結論。
鑑別診斷
3.1粟粒狀肺轉移癌和肺泡癌由於廣泛癌性淋巴管炎在肺野內出現異常的線行陰影,肺中下野可見Kerley氏A、B、C線,(1)KerleyA線長約2.0~4.0cm,寬1.0mm,呈直線或近似直線向肺門方向走行。(2)KerleyB線,長<2.0cm,寬1.0mm,呈垂直於胸膜面走行,多為小葉間隔內癌性淋巴管炎所形成。(3)KerleyC線為相互交織成網路狀陰影,粟粒型肺癌多在中下野,形成多數散在粟粒狀結節,肺尖部少見,粟粒狀轉移性癌,多分布兩肺下野,上肺野少見,病灶較粟粒型肺TB稍大,在短期內陰影增大並出現新病灶。
3.2矽肺、塵肺兩肺均有粟粒狀陰影,分布不均勻,形成上淡下濃的徵象,臨床可有粉塵接觸病史。
3.3肺血吸蟲病病人多有疫水區接觸史,以成年人多見。早期肺部改變類似急性粟粒型肺TB,但陰影密度較淡,其大小不一,直徑多在1~5mm之間,分布亦不均,以中下肺野及內中帶多見,血常規檢查可見嗜酸細胞異常增多,結合臨床病史不難做出診斷。
3.4含鐵血黃素沉著通常多見於10歲以下兒童,成人中少見,早期肺出血期為兩肺廣泛斑點狀及小片狀模糊陰影。其直徑0.5~10mm不等,密度淡,邊緣不清,分布多呈對稱性,兩肺中下野相對較多,其他肺野較少,
在模糊陰影內可見到“雙軌”征(也稱“支氣管充氣”征),此病可引起肺間質纖維化。
3.5肺泡微石症本症表現比較特殊,表現為全肺均勻散布的細小砂粒狀鈣化點,邊緣銳利,單個病灶<1mm,晚期可粗大而融合,肺的中下野內帶多見,同時肺尖部可見肺氣腫之徵象。嚴重者,胸膜表面呈緻密鈣化層,形如一硬殼包繞肺臟,顯示肺緣清晰,有時肺門附近有線條狀陰影或鈣化影。
臨床表現
1.多在原發感染後6個月內發生,常繼發於麻疹、百日咳、營養不良者。2.多數起病急,患兒突然高熱伴盜汗、食欲不振、面色蒼白,可有咳嗽、氣急、紫紺等。3.早期肺部體徵不明顯,晚期可聞及細小濕囉音,淺表淋巴結、肝、脾腫大,6個月以下嬰兒可出現黃疸,胸背部皮膚偶見粟粒疹。4.血沉增快,部分病人血象可出現類白血病樣反應。5.特殊檢查1)OT、PPD試驗:呈陽性,嚴重病人也可假陰性。2)胸部Ⅹ線檢查:早期常呈陰性,起病1~2周后可見大小一致,分布均勻的粟粒狀陰影,密布於兩側肺野,或僅有彌散性網狀結構陰影,病變急劇進展可形成空洞、肺氣腫、肺大泡、自發性氣胸。經合理化療,病灶可於2~10周后開始吸收,6~7個月完全消失。3)眼底檢查:可發現脈絡膜結核結節,分布於視網膜中心動脈分枝周圍。
治療方法
1.一般治療與對症治療。2.抗結核治療。3.有嚴重中毒症狀及呼吸困難者在套用足量抗結核藥物的同時可加用激素治療,療程1~2個月。
急性粟粒型肺結核應與哪些疾病鑑別?
1.肺血吸蟲病:①病灶分布均勻,中下肺野較多。②病灶一般密度較低,邊緣模糊。③有疫水接觸史。④血液嗜酸粒細胞增高。
2.肺血行轉移性腫瘤:①病變以中下肺多見。②病灶大小不一致。③無急性感染症狀。
