基本內容
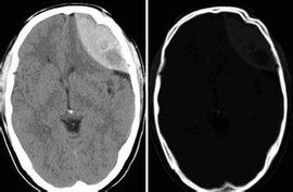
硬腦膜下血腫是指出血積聚於硬腦膜下腔是顱內血腫中最常見者常呈多發性或與別種血腫合併發生。
硬膜下血腫是常見的顱內血腫之一,可分為急性,亞急性及慢性三種。
硬膜下血腫與顱腦外傷有密切的關係,特別是急性和亞急性硬膜下血腫,多在傷後數小時或數日出現臨床症狀。慢性硬膜下血腫常在傷後兩周以上出現症狀。部分病人無明顯外傷史,部分病例可因劇烈咳嗽,血管本身缺陷,凝血過程障礙引起。
急性、亞急性硬膜下血腫與外傷有密切關係,常不易誤診。慢性硬膜下血腫常不能及時診斷,貽誤病情。
硬膜下血腫臨床表現以顱內壓增高為主,如頭痛、嘔吐、視乳頭水腫,意識障礙等。
年齡不同的硬膜下血腫病人,其臨床表現可各有特點。青壯年由於血腫的壓迫,使腦靜脈回流發生障礙,引起腦水腫,產生顱高壓症狀。而老年患者,因腦萎縮顱人間隙相對增大,顱高壓症狀相對較輕。動脈硬化患者,容易出現神經及精神症狀。
慢性硬膜下血腫患者常將輕微的頭部外傷史遺忘,臨床上僅以顱人高壓增高為主,局限性腦功能障礙出現較晚,因此,診斷常造成一定困難,易誤診為腦腫瘤。
硬膜下血腫的治療主要是消除血腫,摘除囊壁,以利於受壓腦組織復位。因此手術愈早腦組織受壓愈輕,腦功能恢復則愈快,因而,早期診斷硬膜下血腫至關重要。

