病因
應該說,煙霧病與吸菸並無關係。有學者發現,個別家族中母子或兄妹可有類似疾病,考慮與先天因素有關。但根據臨床、病理、免疫及實驗室研究,大多數學者認為這是一組後天發生的閉塞性腦血管病,可能與變態反應性腦血管炎有關。
症狀體徵
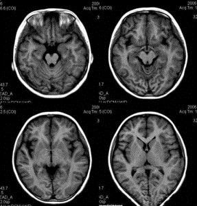
煙霧病一般頭部CT掃描可見梗死或出血性改變。梗死常為多發性的,以額、顳 、頂葉、枕葉 、基底節區、丘腦等處多見,半數病人可合併額葉萎縮。出血者可以是腦葉出血、基底節出血或蛛網膜下腔 出血,而高血壓引起的腦出血多位於基底節區。腦出血的患者也可同時發現梗死灶和(或)腦萎縮 。
腦血管造影可以發現頸內動脈 起始部、大腦 前、中動脈起始段狹窄或不顯影,基底節區可見大量細小血管團如吸菸吐出的煙霧。此外可見腦內形成側支循環代償支。隨著病程的延長,代償吻合支的數量逐漸減少或縮小。
診斷檢查
煙霧病2、體檢:有無眼底水腫、肢體癱瘓、失語和腦膜刺激征。
3、實驗室檢查:作血清和腦脊液的梅毒 、鉤端螺旋體 免疫反應、血沉 ,有助於了解病因。
4、腰椎穿刺:繼發蛛網膜下腔出血者,可見血性腦脊液。
5、腦血管造影:見頸內動脈虹吸上段和大腦前、中動脈起始部狹窄,腦底煙霧狀異常血管網和廣泛的側支循環形成。應與腦動脈硬化性腦梗死和動靜脈畸形 鑑別。
6、CT掃描: 繼發腦梗死者可見血管分布相符的低密度區。蛛網膜 下腔出血者可見密度增高或血腫形成。
誤診原因
煙霧病1、煙霧病臨床症狀複雜多變
煙霧病的有些症狀如發作性肢體麻木無力或一側肢體癱瘓容易想到是血管病,但某些症狀卻很難直接想到與血管病變有關,如視物不清、頭痛、頭暈眩暈、發作性意識障礙、肢體抽搐或智力減退等,因此,如果臨床醫生對煙霧病缺乏足夠認識,不給病人安排與腦動脈病變有關的相應檢查,如經顱都卜勒超聲 (TCD)、核磁血管成像 (MRA)和數字減影血管造影(DSA )等,就會造成漏診。
2、頭顱CT 和MRI 並不一定都有異常改變
很多病人甚至不少醫生都錯誤地認為只要頭顱CT或MRI正常就沒有問題了,其實對煙霧病診斷來講並非如此。煙霧病的病變最早發生在腦底動脈環,動脈並不是在短時間內從狹窄發展到閉塞,通常是經過了相當長時間,短則數年長則數十年,因此,病人只有輕微症狀時就已經有明顯的腦動脈狹窄或閉塞,但此時頭顱CT可能是正常的,而且,如果沒有經驗或不仔細觀察,臨床醫生 還會忽略頭顱MRI-T2相上所顯示的顱底大動脈血管稀少及腦基底部血管流空影的增多。有的醫生給病人反反覆覆做了很多次頭顱CT和頭顱MRI檢查,但就是沒有檢查過一次腦動脈,從而導致症狀較輕的煙霧病患者長期得不到診斷。
3、有些病人頭顱MRI改變容易與其他疾病混淆
煙霧病患者顱底動脈逐漸閉塞以後,導致廣泛的顱內外和皮層側支形成,從而使各主要腦動脈的血液供應範圍發生變化,因此,某些病人腦梗塞 的病灶與腦動脈分布範圍不相符,而易與腦炎或線粒體肌腦病等混淆。這樣的病人也往往做了很多次頭顱MRI但就是沒有檢查過腦動脈。
4、成人缺血症狀容易被簡單地冠以腦動脈硬化腦血栓形成而不再尋找卒中的病因
當兒童發生卒中時人們容易想到要去查找卒中的原因,而對於成人缺血性卒中患者則往往很輕易地下一個腦動脈硬化腦血栓形成的結論而不去深究病因,從而使很多成人煙霧病患者被漏診。
治療
煙霧病對出現梗死的病人一般按血栓治療。可用擴容、擴張血管、鈣離子拮抗劑等治療,也可以用激素治療。
外科治療煙霧病外科手術可以分為直接搭橋,間接搭橋及兩者結合這三種方式。據目前證據的專家共識,對於有腦缺血型臨床表現亞型的患者,在改善血流動力學障礙方面的治療策略上:直接搭橋手術或間接搭橋手術對小兒均有效;直接搭橋或直接搭橋聯合間接搭橋手術對成人有效,而單用間接搭橋手術因對成人效果欠佳不推薦使用。用藥安全
1、注意休息和癱瘓肢體的功能鍛鍊。
2、加強營養,給予高蛋白質、高維生素飲食。
3、出現蛛網膜下腔出血者,不能搬動病人,避免咳嗽、噴嚏和屏氣、排便等增加胸腔、腹腔壓力的動作。
4、應防止洪水泛濫,滅鼠,家禽應圈養,防止污染水源,做好飲水消毒。
5、教育兒童不要喝生水,不要到疫水中玩水、洗澡等,避免患鉤端螺旋體病。
疾病預防
煙霧病早發現、早診斷、早治療是關鍵,通過早期手術治療,80%以上的患者都可以恢復正常人的生活。
1、注意休息和癱瘓肢體的功能鍛鍊。
2、加強營養,給予高蛋白質高維生素飲食。
3、出現蛛網膜下腔出血者,不能搬動病人,避免咳嗽、噴嚏和屏氣排便等增加胸腔、腹腔壓力的動作。
4、應防止洪水泛濫,滅鼠,家禽應圈養,防止污染水源,做好飲水消毒。
5、教育兒童不要喝生水,不要到疫水中玩水、洗澡等,避免患鉤端螺旋體病。
外科治療:國內外均有文獻報導,煙霧病可用顱內外血管吻合術、腦-肌-血管聯合術等手術重建血運,改善預後。
併發症
1.煙霧病可能伴隨的疾病包括腎動脈狹窄性高血壓,顱內動脈瘤,腦血管畸形,原發性肺源性高血壓,周期性斜頸和發育障礙等。
伴隨煙霧病的腦動脈瘤有兩種類型:
(1)普通顱內動脈瘤:以Willis環上的動脈瘤多見,但分布不同,主要位於基底動脈的頂端,這與本病的椎基底動脈血流動力學負荷增大有關,其次發生在頸內動脈,大腦中動脈和前交通動脈瘤很少見。
(2)煙霧血管或側支血管上動脈瘤:這些動脈瘤如有足夠的血供代償或血管重建手術後可自行消失。
在成人這些動脈瘤是腦內出血,腦室內出血和蛛網膜下隙出血的原因之一。
2.術後併發症
(1)慢性硬膜下血腫:可能與腦梗死部位高度腦萎縮及使用阿司匹林等抗血小板製劑有關。
(2)吻合部腦內血腫:可能與吻合受血動脈壁菲薄破裂及術後高血壓有關。
(3)缺血症狀:可能與受血動脈過細,吻合困難,顳肌壓迫腦組織,吻合時血流暫時阻斷,原有側支循環被破壞以及術中低碳酸血症等因素有關。
(4)其他不良反應:術後可引起頭痛,癲癇等。
飲食禁忌
煙霧病患者飲食要注意衛生,要適量清淡,不偏食,如過食肥甘厚味,使煩躁加重,過食生冷寒涼,會導致食慾缺乏,腹痛腹瀉。偏食辛辣,如辣椒、蔥、蒜、胡椒可致胃腸積熱,大便乾燥等。忌食過冷過燙食物,忌猛吸麵條,以免引起過度換氣誘發大腦缺氧。飲食應以高蛋白,高維生素,低脂,易消化食物(如魚、瘦肉、雞蛋、蔬菜、水果等)為宜。


